Kết thúc điều trị xô lệch với chỉnh nha
Sau 2 năm điều trị niềng răng – 2 răng cửa hàm trên bị mất cân đối trước đây của Minh đã cân đối trở lại – Răng xô lệch trên 2 hàm được làm thẳng đều – Các sai khớp được điều chỉnh về đúng khớp cắn, đúng vị trí Nụ cười của Minh […]
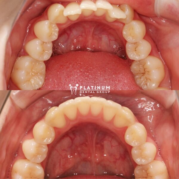
Sau 2 năm điều trị niềng răng
– 2 răng cửa hàm trên bị mất cân đối trước đây của Minh đã cân đối trở lại
– Răng xô lệch trên 2 hàm được làm thẳng đều
– Các sai khớp được điều chỉnh về đúng khớp cắn, đúng vị trí
Nụ cười của Minh đã hoàn toàn thay đổi đẹp và thẩm mỹ hơn rất nhiều.

Nếu bạn có những tình trạng răng giống như Minh và muốn được tư vấn chỉnh nha, hãy liên hệ qua 𝗛𝗼𝘁𝗹𝗶𝗻𝗲: 𝟬𝟵𝟲 𝟳𝟳𝟵 𝟳𝟳𝟵𝟵 – 𝟬𝟮𝟴 𝟯𝟵𝟮𝟬 𝟵𝟵𝟲𝟵

English