KẾT THÚC CASE NIỀNG RĂNG THÀNH CÔNG
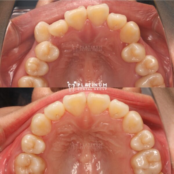
Hết tình trạng cắn chéo, cắn hở, hàm dưới lệch trái, nhô 2 hàm, răng khấp khểnh, cằm lùi, thay vào đó bạn khách hàng của Platinum đã hoàn toàn có một nụ cười mới với hàm răng thẳng đều, gương mặt hài hoà, cân đối hơn rất nhiều
Hết tình trạng cắn chéo, cắn hở, hàm dưới lệch trái, nhô 2 hàm, răng khấp khểnh, cằm lùi, thay vào đó bạn khách hàng của Platinum đã hoàn toàn có một nụ cười mới với hàm răng thẳng đều, gương mặt hài hoà, cân đối hơn rất nhiều.



English