Hương Ly đã lấy lại được nét đẹp rạng rỡ của mình
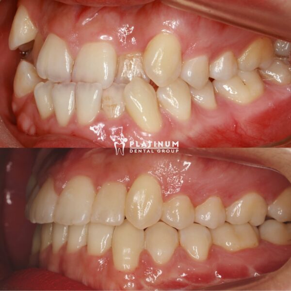
Kiên trì mỗi tháng bay từ Hà Nội vào TP HCM chỉnh nha tại PLATINUM, Hương Ly đã lấy lại được nét đẹp rạng rỡ của mình Hương Ly đã từng có hàm răng xô lệch, khấp khểnh nặng, sai khớp cắn, khớp cắn ngược. Các bác sĩ đã tiến hành lên kế hoạch điều […]
Kiên trì mỗi tháng bay từ Hà Nội vào TP HCM chỉnh nha tại PLATINUM, Hương Ly đã lấy lại được nét đẹp rạng rỡ của mình
Hương Ly đã từng có hàm răng xô lệch, khấp khểnh nặng, sai khớp cắn, khớp cắn ngược. Các bác sĩ đã tiến hành lên kế hoạch điều trị bao gồm phẫu thuật hàm và chỉnh nha cho Hương Ly.
Với sự kiên trì bám sát quá trình điều trị, sau 2 năm Hương Ly hoàn toàn thay đổi đầy tự tin và rạng ngời sau khi hoàn tất quá trình chỉnh nha tại Platinum.


Hương Ly đã hoàn thiện nét đẹp vốn có của mình thành công, hãy xem sự thay đổi rạng ngời của cô ấy có giúp bạn thêm động lực để thực hiện giấc mơ thay đổi nụ cười của mình không nhé!

English