Chỉnh nha giúp hàm răng thẳng đều khoẻ mạnh
Sau gần 2 năm niềng răng tình trạng khấp khểnh lệch lạc đã hoàn toàn hết. Nụ cười thẩm mỹ hơn rất nhiều với hai hàm răng thẳng đều, sức ăn nhai khoẻ hơn. Bạn thiếu tự tin với nụ cười của mình? Hãy thực hiện bước đầu tiên trong quá trình biến đổi nụ […]
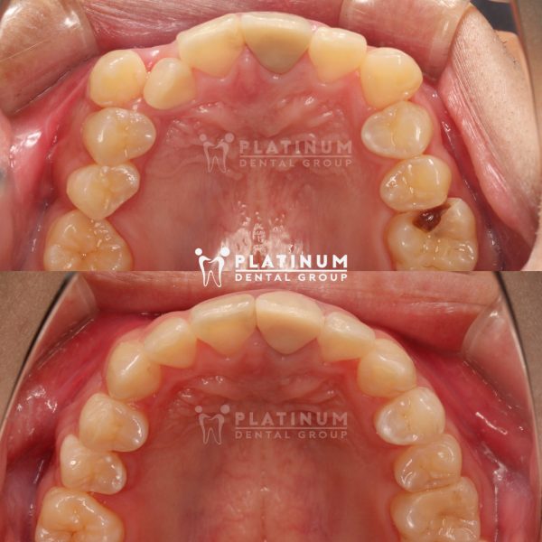
Sau gần 2 năm niềng răng tình trạng khấp khểnh lệch lạc đã hoàn toàn hết. Nụ cười thẩm mỹ hơn rất nhiều với hai hàm răng thẳng đều, sức ăn nhai khoẻ hơn.



Bạn thiếu tự tin với nụ cười của mình? Hãy thực hiện bước đầu tiên trong quá trình biến đổi nụ cười của bạn bằng cách gọi cho chúng tôi ngay để đặt lịch tư vấn

English