Chỉnh nha tăng trưởng là gì? Thời điểm vàng giúp trẻ có hàm răng và khuôn mặt cân đối
Sự phát triển hài hòa của răng và xương hàm trong giai đoạn trẻ em có ảnh hưởng trực tiếp đến khớp cắn, chức năng ăn nhai cũng như hình thái khuôn mặt khi trưởng thành. Trên thực tế, nhiều sai lệch như hô, móm hoặc lệch khớp cắn có thể xuất hiện từ sớm do sự phát triển chưa cân đối của hai hàm, nhưng thường chỉ được phát hiện khi trẻ đã lớn, làm hạn chế hiệu quả điều trị.
Trong nha khoa hiện đại, chỉnh nha tăng trưởng được xem là phương pháp can thiệp sớm nhằm định hướng sự phát triển của xương hàm trong thời kỳ trẻ còn đang tăng trưởng, khi xương hàm và cung răng vẫn tiếp tục phát triển và có thể điều chỉnh theo hướng thuận lợi. Thay vì chỉ sắp xếp răng, phương pháp này tập trung điều chỉnh nền tảng xương hàm, từ đó hỗ trợ khớp cắn ổn định và tạo điều kiện thuận lợi cho quá trình chỉnh nha về sau nếu cần thiết.
Bài viết dưới đây của Platinum Dental Group sẽ cung cấp những thông tin cơ bản về chỉnh nha tăng trưởng, gồm thời điểm thực hiện, đối tượng phù hợp và những lợi ích lâu dài đối với sự phát triển răng hàm mặt của người bệnh/khách hàng. Cùng khám phá nhé!
Nội dung bài viết
- 1 Chỉnh nha tăng trưởng là gì?
- 2 Ai nên thực hiện chỉnh nha tăng trưởng?
- 3 Lợi ích của chỉnh nha tăng trưởng
- 4 Các phương pháp chỉnh nha tăng trưởng phổ biến hiện nay
- 5 Quy trình chỉnh nha tăng trưởng diễn ra như thế nào?
- 6 Chỉnh nha tăng trưởng mất bao lâu? Có đau không?
- 7 Chi phí chỉnh nha tăng trưởng bao nhiêu?
- 8 Những lưu ý quan trọng khi cho trẻ chỉnh nha tăng trưởng
- 9 Chỉnh nha tăng trưởng tại Platinum Dental Group
- 10 Câu hỏi thường gặp về chỉnh nha tăng trưởng
Chỉnh nha tăng trưởng là gì?
Chỉnh nha tăng trưởng là phương pháp chỉnh nha được áp dụng cho trẻ em đang trong giai đoạn phát triển, nhằm can thiệp và định hướng sự phát triển của xương hàm theo hướng hài hòa và cân đối hơn. Khác với điều trị chỉnh nha ở người trưởng thành tập trung vào việc di chuyển răng, Chỉnh nha tăng trưởng tác động trực tiếp đến nền tảng xương hàm khi cấu trúc xương vẫn còn khả năng tăng trưởng tự nhiên.

Trong nha khoa chỉnh hình răng hàm mặt, sự phát triển của xương hàm trên và hàm dưới diễn ra mạnh mẽ nhất ở độ tuổi từ khoảng 6–12 tuổi. Đây được xem là “giai đoạn vàng” để bác sĩ chỉnh nha can thiệp bằng các khí cụ chuyên biệt, giúp điều chỉnh hướng phát triển của xương hàm, cải thiện tương quan hai hàm và hỗ trợ thiết lập khớp cắn đúng ngay từ sớm.
Về bản chất, chỉnh nha tăng trưởng hoạt động dựa trên nguyên lý sinh học của quá trình phát triển xương. Khi trẻ còn đang lớn, xương hàm có khả năng thích nghi và thay đổi dưới tác động của lực chỉnh nha nhẹ, liên tục từ các khí cụ chỉnh hình. Nhờ đó, bác sĩ có thể “hướng dẫn” sự phát triển tự nhiên của xương hàm thay vì phải xử lý hậu quả sai lệch sau khi cấu trúc xương đã hoàn thiện.
Phương pháp này thường được chỉ định trong các trường hợp sai lệch liên quan đến yếu tố xương như hàm hô, hàm móm, hàm hẹp, cắn ngược hoặc mất cân đối khuôn mặt do tăng trưởng không đồng đều. Việc thăm khám và đánh giá sớm giúp bác sĩ xác định đúng thời điểm can thiệp, từ đó tối ưu hiệu quả điều trị và hỗ trợ sự phát triển răng hàm mặt ổn định lâu dài cho người bệnh/khách hàng.
Ai nên thực hiện chỉnh nha tăng trưởng?
Chỉnh nha tăng trưởng không áp dụng cho tất cả mọi trường hợp sai lệch răng miệng mà được chỉ định dựa trên độ tuổi, tình trạng phát triển xương hàm và mức độ sai lệch khớp cắn của từng người bệnh/khách hàng. Việc xác định đúng đối tượng điều trị giúp phương pháp phát huy hiệu quả tối ưu, đồng thời hạn chế các can thiệp phức tạp ở giai đoạn trưởng thành.
Độ tuổi lý tưởng để chỉnh nha tăng trưởng
Thời điểm phù hợp nhất để thực hiện chỉnh nha tăng trưởng thường nằm trong giai đoạn từ 6 đến 12 tuổi, khi trẻ đang ở thời kỳ thay răng và xương hàm phát triển mạnh. Ở giai đoạn này, cấu trúc xương còn mềm và có khả năng thích nghi tốt với lực chỉnh hình, cho phép bác sĩ định hướng sự phát triển hàm theo hướng cân đối hơn.

Việc can thiệp đúng thời điểm mang lại nhiều lợi ích:
- Điều chỉnh tương quan hàm trên – hàm dưới ngay khi sai lệch bắt đầu hình thành.
- Tạo đủ khoảng cho răng vĩnh viễn mọc đúng vị trí.
- Hỗ trợ phát triển khuôn mặt hài hòa theo quá trình tăng trưởng tự nhiên.
Ngược lại, khi đã qua giai đoạn tăng trưởng, xương hàm trở nên ổn định và gần như không còn khả năng thay đổi bằng khí cụ chỉnh hình. Vì vậy, người trưởng thành thường chỉ phù hợp với niềng răng hoặc các phương pháp điều trị khác, thay vì chỉnh nha tăng trưởng.
Các dấu hiệu trẻ cần chỉnh nha tăng trưởng sớm
Phụ huynh có thể cân nhắc đưa trẻ đi thăm khám chỉnh nha khi xuất hiện một số dấu hiệu sau:
- Hàm hô hoặc hàm móm do cấu trúc xương.
- Cắn ngược (răng dưới phủ ngoài răng trên).
- Cắn sâu, cắn hở hoặc khớp cắn lệch.
- Khuôn mặt phát triển không cân đối, lệch mặt khi cười hoặc khi cắn răng.
- Hàm hẹp, răng mọc chen chúc sớm.
- Trẻ có thói quen thở miệng, đẩy lưỡi hoặc phát âm chưa rõ.
- Khó ăn nhai hoặc thường xuyên cắn vào má, môi.
Những dấu hiệu này có thể liên quan đến sự phát triển chưa cân đối của xương hàm, do đó việc thăm khám sớm giúp bác sĩ đánh giá chính xác nguyên nhân và lựa chọn thời điểm can thiệp phù hợp.
Trường hợp nào không phù hợp chỉnh nha tăng trưởng?
Không phải mọi sai lệch răng đều cần chỉnh nha tăng trưởng. Một số trường hợp có thể không được chỉ định phương pháp này, bao gồm:
- Trẻ đã qua giai đoạn tăng trưởng xương hàm.
- Sai lệch nhẹ chủ yếu ở vị trí răng, có thể điều trị bằng niềng răng thông thường.
- Tình trạng răng miệng cần điều trị bệnh lý trước như sâu răng, viêm nướu hoặc mất răng sớm chưa được kiểm soát.
- Trẻ không thể tuân thủ việc đeo khí cụ theo hướng dẫn của bác sĩ.
Do đó, việc thăm khám chỉnh nha định kỳ từ sớm đóng vai trò quan trọng trong việc xác định trẻ có phù hợp với chỉnh nha tăng trưởng hay không. Bác sĩ sẽ dựa trên phân tích tăng trưởng xương hàm, phim chẩn đoán và tình trạng răng miệng tổng thể để đưa ra kế hoạch điều trị an toàn và phù hợp cho từng người bệnh/khách hàng.
Lợi ích của chỉnh nha tăng trưởng
Chỉnh nha tăng trưởng mang lại nhiều lợi ích cả về chức năng lẫn thẩm mỹ khi được thực hiện đúng thời điểm phát triển của trẻ. Thay vì chỉ xử lý hậu quả sai lệch răng – hàm ở giai đoạn trưởng thành, phương pháp này tập trung can thiệp sớm vào nguyên nhân nền tảng là sự phát triển chưa cân đối của xương hàm. Nhờ đó, quá trình điều trị về sau thường nhẹ nhàng và ổn định hơn đối với người bệnh/khách hàng.
Hạn chế phải nhổ răng hoặc phẫu thuật sau này
Một trong những mục tiêu quan trọng của chỉnh nha tăng trưởng là tạo đủ không gian cho răng vĩnh viễn mọc đúng vị trí. Khi xương hàm được mở rộng hoặc định hướng phát triển phù hợp từ sớm, tình trạng chen chúc răng có thể được cải thiện đáng kể.
Điều này giúp giảm khả năng phải nhổ răng khi niềng răng ở giai đoạn sau; Hạn chế nguy cơ cần phẫu thuật chỉnh hàm đối với các trường hợp sai lệch xương nghiêm trọng; Và tạo nền tảng khớp cắn ổn định lâu dài.
Cải thiện cấu trúc khuôn mặt và khớp cắn
Sự phát triển hài hòa giữa hàm trên và hàm dưới ảnh hưởng trực tiếp đến hình thái khuôn mặt. Khi xương hàm được định hướng đúng trong giai đoạn tăng trưởng, khuôn mặt có xu hướng phát triển cân đối hơn theo tự nhiên.

Rút ngắn thời gian niềng răng giai đoạn sau
Trong nhiều trường hợp, chỉnh nha tăng trưởng được xem là giai đoạn điều trị nền tảng (Phase 1). Sau khi xương hàm phát triển ổn định và răng vĩnh viễn mọc đầy đủ, người bệnh/khách hàng có thể vẫn cần niềng răng giai đoạn 2 để sắp xếp răng chi tiết.
Tăng cơ hội đạt khớp cắn hoàn hảo
Khi bắt đầu chỉnh hình răng mặt sớm, bác sĩ sẽ kịp thời tác động vào sự tăng trưởng của xương hàm để trẻ có khung xương hàm cân đối hài hòa, không hô hay móm hay bị mất cân xứng hai bên.
Một số tình trạng tương quan xương hàm không hài hòa như: cười hở nướu nhiều, hàm trên nhô hơn hàm dưới, hàm dưới nhô hơn hàm trên, hàm trên hẹp, hàm trên hay hàm dưới lệch qua bên phải hay trái gây mất cân xứng khuôn mặt… có thể cải thiện rất tốt nếu được điều trị sớm và đúng thời điểm.
Tác động tích cực đến tâm lý và sự tự tin của trẻ
Sai lệch khớp cắn hoặc khuôn mặt mất cân đối có thể ảnh hưởng đến sự tự tin của trẻ trong giao tiếp và sinh hoạt hằng ngày. Việc can thiệp sớm giúp cải thiện dần diện mạo và chức năng răng miệng trong quá trình trẻ lớn lên.
Nhìn chung, chỉnh nha tăng trưởng không chỉ hướng đến yếu tố thẩm mỹ trước mắt mà còn góp phần xây dựng nền tảng răng hàm mặt ổn định, hỗ trợ sức khỏe răng miệng lâu dài cho người bệnh/khách hàng khi trưởng thành.
Các phương pháp chỉnh nha tăng trưởng phổ biến hiện nay
Trong chỉnh nha tăng trưởng, bác sĩ không sử dụng một phương pháp cố định cho tất cả trường hợp mà sẽ lựa chọn khí cụ phù hợp dựa trên độ tuổi, mức độ sai lệch xương hàm và giai đoạn phát triển của từng người bệnh/khách hàng. Mục tiêu chung của các phương pháp này là định hướng sự phát triển tự nhiên của xương hàm, đồng thời tạo điều kiện thuận lợi cho răng vĩnh viễn mọc đúng vị trí.
Dưới đây là những phương pháp chỉnh nha tăng trưởng được áp dụng phổ biến trong nha khoa hiện nay.
Khí cụ tháo lắp chỉnh hình xương hàm
Khí cụ tháo lắp là nhóm khí cụ thường được chỉ định ở trẻ nhỏ, đặc biệt trong giai đoạn răng hỗn hợp (vừa có răng sữa vừa có răng vĩnh viễn). Người bệnh/khách hàng có thể tháo ra khi ăn uống và vệ sinh răng miệng theo hướng dẫn của bác sĩ.
- Nong hàm tháo lắp: Được chỉ định khi cung hàm hẹp hoặc thiếu khoảng cho răng vĩnh viễn mọc. Khí cụ giúp mở rộng cung hàm từ từ thông qua lực chỉnh nhẹ, tạo thêm không gian cho răng sắp xếp tự nhiên và hỗ trợ cải thiện tương quan khớp cắn. Người bệnh/khách hàng có thể tháo ra khi ăn uống và vệ sinh răng miệng theo hướng dẫn của bác sĩ.
- Khí cụ chức năng: Loại khí cụ này hoạt động dựa trên việc điều chỉnh vị trí hàm và sự phối hợp của cơ môi – má – lưỡi. Thường được áp dụng trong trường hợp hàm dưới lùi hoặc mất cân đối hai hàm, giúp hướng dẫn hàm phát triển đúng hướng trong quá trình tăng trưởng. Hiệu quả phụ thuộc nhiều vào thời gian đeo khí cụ mỗi ngày.
Ưu điểm của khí cụ tháo lắp là lực tác động nhẹ, phù hợp với trẻ nhỏ và dễ thích nghi. Tuy nhiên, hiệu quả điều trị phụ thuộc nhiều vào việc tuân thủ thời gian đeo khí cụ theo chỉ định.

Khí cụ cố định định hướng tăng trưởng
Trong một số trường hợp sai lệch xương hàm rõ rệt, bác sĩ có thể chỉ định khí cụ cố định nhằm kiểm soát hướng phát triển của hàm hiệu quả hơn.
- Headgear: Là khí cụ hỗ trợ kiểm soát sự phát triển của hàm trên, thường được chỉ định khi hàm trên phát triển quá mức gây tình trạng hô. Headgear tạo lực kéo từ bên ngoài nhằm làm chậm hoặc điều chỉnh hướng phát triển của hàm trên, giúp cải thiện tương quan giữa hai hàm theo thời gian.
- Face mask (kéo hàm): Được sử dụng chủ yếu trong các trường hợp móm do hàm trên phát triển kém. Khí cụ tạo lực kéo nhẹ ra trước nhằm kích thích sự phát triển của hàm trên trong giai đoạn xương còn tăng trưởng, từ đó cải thiện khớp cắn và sự cân đối khuôn mặt.

Các khí cụ cố định thường cần được theo dõi sát sao định kỳ để đảm bảo lực chỉnh hình phù hợp với tốc độ phát triển xương của trẻ.
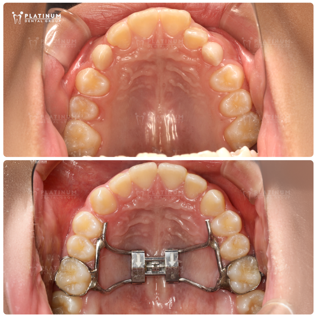
Nong hàm nhanh (RPE) trong chỉnh nha tăng trưởng
Nong hàm nhanh (Rapid Palatal Expander – RPE) là khí cụ cố định gắn trong miệng nhằm mở rộng xương khẩu cái khi cung hàm trên quá hẹp. Phương pháp này thường được chỉ định trong trường hợp chen chúc răng, cắn chéo hoặc thiếu khoảng mọc răng vĩnh viễn. Việc nong hàm giúp tạo thêm không gian tự nhiên cho răng, đồng thời hỗ trợ cải thiện khớp cắn và đường thở ở trẻ đang trong giai đoạn phát triển.
Các trường hợp nên sử dụng nong hàm nhanh có thể kể đến như:
- Hàm trên hẹp gây chen chúc răng.
- Cắn chéo hoặc cắn ngược vùng răng sau.
- Thiếu không gian cho răng vĩnh viễn mọc.
- Một số trường hợp có liên quan đến thở miệng do khẩu cái hẹp.
Lợi ích của việc nong hàm nhanh gồm:
- Mở rộng xương khẩu cái khi đường khớp giữa khẩu cái chưa đóng.
- Tạo thêm khoảng tự nhiên cho răng mà không cần nhổ răng.
- Hỗ trợ cải thiện khớp cắn và sự ổn định lâu dài.
Do nong hàm tác động trực tiếp lên cấu trúc xương, việc chỉ định và theo dõi cần được thực hiện bởi bác sĩ chỉnh nha có chuyên môn, đảm bảo quá trình tăng trưởng diễn ra an toàn và phù hợp với từng người bệnh/khách hàng.
Quy trình chỉnh nha tăng trưởng diễn ra như thế nào?
Chỉnh nha tăng trưởng là quá trình điều trị cần được theo dõi trong suốt giai đoạn phát triển của trẻ, vì vậy quy trình thực hiện thường được xây dựng bài bản và cá nhân hóa theo tình trạng răng hàm mặt của từng người bệnh/khách hàng. Mỗi bước đều nhằm đảm bảo việc can thiệp diễn ra đúng thời điểm tăng trưởng, giúp đạt hiệu quả ổn định và an toàn lâu dài.
Thăm khám và chẩn đoán tăng trưởng xương hàm
Giai đoạn đầu tiên đóng vai trò quan trọng trong việc xác định trẻ có phù hợp với chỉnh nha tăng trưởng hay không. Bác sĩ sẽ tiến hành đánh giá toàn diện, bao gồm:
- Khám lâm sàng khuôn mặt, khớp cắn và vị trí răng.
- Đánh giá sự cân đối giữa hàm trên và hàm dưới.
- Chụp phim X-quang sọ nghiêng và phim toàn cảnh để phân tích cấu trúc xương hàm.
- Theo dõi giai đoạn phát triển xương và thời điểm thay răng.
Thông qua các dữ liệu này, bác sĩ có thể xác định nguyên nhân sai lệch đến từ răng hay từ xương hàm, từ đó đưa ra chỉ định điều trị phù hợp.

Lập kế hoạch điều trị cá nhân hóa
Sau khi hoàn tất chẩn đoán, bác sĩ xây dựng phác đồ chỉnh nha tăng trưởng riêng cho từng người bệnh/khách hàng. Kế hoạch điều trị thường bao gồm:
- Lựa chọn loại khí cụ chỉnh hình phù hợp.
- Xác định thời gian đeo khí cụ mỗi ngày.
- Dự đoán hướng phát triển của xương hàm theo từng giai đoạn.
- Lộ trình theo dõi và điều chỉnh định kỳ.
Việc cá nhân hóa kế hoạch giúp lực chỉnh nha phù hợp với tốc độ tăng trưởng tự nhiên của trẻ, hạn chế tác động quá mức và đảm bảo sự phát triển hài hòa của khuôn mặt.
Giai đoạn đeo khí cụ và theo dõi định kỳ
Sau khi lắp khí cụ, người bệnh/khách hàng bước vào giai đoạn điều trị chính. Trong thời gian này, sự phối hợp giữa bác sĩ, trẻ và phụ huynh đóng vai trò quan trọng đối với hiệu quả điều trị.

Quá trình theo dõi thường bao gồm:
- Tái khám định kỳ khoảng 4–8 tuần/lần để kiểm tra tiến triển.
- Điều chỉnh khí cụ theo sự thay đổi của xương hàm và răng.
- Theo dõi quá trình mọc răng vĩnh viễn.
- Hướng dẫn vệ sinh răng miệng và kiểm soát thói quen ảnh hưởng đến khớp cắn.
Thời gian điều trị có thể thay đổi tùy mức độ sai lệch và tốc độ phát triển của từng trẻ. Sau giai đoạn chỉnh nha tăng trưởng, bác sĩ sẽ đánh giá lại toàn bộ khớp cắn để quyết định có cần bước sang giai đoạn niềng răng hoàn thiện hay không.
Nhìn chung, quy trình chỉnh nha tăng trưởng là sự theo dõi liên tục theo sự phát triển tự nhiên của trẻ, nhằm đạt được sự cân đối xương hàm và nền tảng khớp cắn ổn định cho tương lai.
Chỉnh nha tăng trưởng mất bao lâu? Có đau không?
Thời gian điều trị và mức độ cảm giác khi đeo khí cụ là những vấn đề được nhiều phụ huynh quan tâm khi tìm hiểu về chỉnh nha tăng trưởng. Trên thực tế, quá trình này thường diễn ra nhẹ nhàng hơn so với niềng răng ở tuổi trưởng thành vì phương pháp tận dụng sự phát triển tự nhiên của xương hàm thay vì tạo lực dịch chuyển răng mạnh.
Thời gian trung bình
Thời gian chỉnh nha tăng trưởng không cố định mà phụ thuộc vào nhiều yếu tố như độ tuổi, mức độ sai lệch xương hàm và tốc độ phát triển của từng người bệnh/khách hàng. Thông thường:
- Giai đoạn chỉnh nha tăng trưởng kéo dài khoảng 12–24 tháng.
- Một số trường hợp cần theo dõi lâu hơn để đồng bộ với quá trình thay răng và phát triển xương hàm.
- Sau khi hoàn tất giai đoạn tăng trưởng (Phase 1), bác sĩ sẽ đánh giá lại để quyết định có cần niềng răng giai đoạn 2 hay không.
Do sự phát triển của mỗi trẻ là khác nhau, thời gian điều trị luôn được điều chỉnh linh hoạt theo tiến triển thực tế thay vì áp dụng một mốc cố định.

Chỉnh nha tăng trưởng có đau không?
Phần lớn người bệnh/khách hàng chỉ cảm thấy căng nhẹ hoặc hơi vướng trong những ngày đầu khi bắt đầu đeo khí cụ hoặc sau mỗi lần điều chỉnh. Nguyên nhân là do xương và cơ miệng đang thích nghi với lực chỉnh hình mới.
Một số đặc điểm thường gặp:
- Cảm giác khó chịu nhẹ trong 2–5 ngày đầu.
- Có thể hơi ê khi nhai thức ăn cứng.
- Trẻ thường thích nghi nhanh sau thời gian ngắn.
Khác với niềng răng truyền thống, chỉnh nha tăng trưởng sử dụng lực sinh học nhẹ và liên tục nhằm hướng dẫn sự phát triển xương hàm, vì vậy mức độ đau thường thấp và không ảnh hưởng đáng kể đến sinh hoạt hằng ngày.
Khả năng thích nghi của trẻ trong quá trình điều trị
Hầu hết trẻ có khả năng thích nghi tốt với khí cụ khi được hướng dẫn đúng cách. Để quá trình làm quen diễn ra thuận lợi, phụ huynh có thể hỗ trợ bằng cách:
- Khuyến khích trẻ đeo khí cụ đúng thời gian bác sĩ chỉ định.
- Cho trẻ ăn thức ăn mềm trong vài ngày đầu.
- Duy trì vệ sinh răng miệng đầy đủ.
- Tái khám đúng lịch để bác sĩ kiểm tra và điều chỉnh kịp thời.
Nhìn chung, chỉnh nha tăng trưởng là quá trình điều trị tương đối nhẹ nhàng, tập trung vào việc đồng hành cùng sự phát triển tự nhiên của trẻ, giúp đạt hiệu quả ổn định mà vẫn đảm bảo sự thoải mái cho người bệnh/khách hàng trong suốt thời gian điều trị.
Chi phí chỉnh nha tăng trưởng bao nhiêu?
Chi phí chỉnh nha tăng trưởng là một trong những vấn đề được nhiều phụ huynh quan tâm khi cân nhắc điều trị sớm cho trẻ. Trên thực tế, mức giá không cố định mà sẽ được bác sĩ chỉnh nha xác định dựa trên tình trạng phát triển xương hàm và kế hoạch điều trị cá nhân hóa cho từng người bệnh.
Tại các nha khoa Platinum Dental Group, chi phí niềng răng trẻ em Giai đoạn chỉnh nha tăng trưởng (Trẻ cần chỉnh xương từ 6– 24 tháng tùy trường hợp) dao động từ 30.000.000 – 50.000.000 VNĐ/ 1 liệu trình.
Mức chi phí này thường đã bao gồm:
- Thăm khám và chẩn đoán tăng trưởng xương hàm
- Chụp phim X-quang, phân tích khớp cắn
- Thiết kế và chế tác khí cụ chỉnh hình
- Các lần tái khám, điều chỉnh định kỳ trong suốt quá trình điều trị
Trong nhiều trường hợp, chỉnh nha tăng trưởng là giai đoạn tiền chỉnh nha, giúp giảm độ phức tạp ở giai đoạn niềng răng sau này, từ đó có thể tối ưu tổng chi phí điều trị lâu dài.
Chi phí thực tế sẽ thay đổi tùy theo nhiều yếu tố chuyên môn:
- Mức độ sai lệch xương hàm: Trẻ có tình trạng hô, móm do xương hoặc lệch hàm rõ rệt thường cần khí cụ chuyên biệt và thời gian theo dõi lâu hơn.
- Loại khí cụ chỉnh nha sử dụng: Khí cụ tháo lắp, nong hàm nhanh (RPE), face mask hay headgear đều có chi phí khác nhau do cấu tạo và chức năng điều trị riêng biệt.
- Độ tuổi và giai đoạn tăng trưởng của trẻ: Can thiệp đúng “thời điểm vàng” giúp quá trình điều trị thuận lợi hơn, đôi khi giảm thời gian và chi phí so với điều trị muộn.
- Trình độ chuyên môn của bác sĩ chỉnh nha: Chỉnh nha tăng trưởng đòi hỏi bác sĩ có kiến thức chuyên sâu về phát triển sọ mặt và chỉnh nha trẻ em, không chỉ đơn thuần sắp xếp răng.
- Hệ thống chẩn đoán và theo dõi điều trị: Việc ứng dụng phim sọ nghiêng, phân tích tăng trưởng và lập kế hoạch cá nhân hóa giúp nâng cao độ chính xác nhưng cũng ảnh hưởng đến tổng chi phí.
Để biết chính xác chi phí, người bệnh cần được bác sĩ chỉnh nha thăm khám trực tiếp và đánh giá tăng trưởng xương hàm trước khi đưa ra kế hoạch điều trị phù hợp.
Những lưu ý quan trọng khi cho trẻ chỉnh nha tăng trưởng
Chỉnh nha tăng trưởng là quá trình điều trị kéo dài theo sự phát triển tự nhiên của trẻ, vì vậy hiệu quả không chỉ phụ thuộc vào khí cụ hay kỹ thuật chuyên môn mà còn liên quan chặt chẽ đến thời điểm can thiệp, sự tuân thủ điều trị và vai trò đồng hành của phụ huynh. Dưới đây là những lưu ý quan trọng giúp quá trình chỉnh nha diễn ra thuận lợi và đạt kết quả ổn định lâu dài cho người bệnh/khách hàng.
Không nên chờ răng mọc đủ mới đi khám
Nhiều phụ huynh có thói quen chờ trẻ thay hết răng sữa mới đưa đi chỉnh nha. Tuy nhiên, trong chỉnh nha tăng trưởng, việc thăm khám sớm lại đóng vai trò quyết định.
- Nhiều sai lệch xương hàm đã hình thành từ khi trẻ còn nhỏ.
- Giai đoạn 6–7 tuổi là thời điểm phù hợp để bác sĩ đánh giá tăng trưởng sọ mặt.
- Phát hiện sớm giúp can thiệp nhẹ nhàng hơn và tận dụng tối đa khả năng phát triển tự nhiên của xương hàm.
Khám chỉnh nha sớm không đồng nghĩa phải điều trị ngay, mà giúp theo dõi và lựa chọn đúng thời điểm can thiệp nếu cần.
Tuân thủ thời gian đeo khí cụ
Hiệu quả của chỉnh nha tăng trưởng phụ thuộc rất lớn vào thời gian đeo khí cụ mỗi ngày, đặc biệt với các khí cụ tháo lắp.
Một số nguyên tắc quan trọng:
- Đeo khí cụ đúng số giờ bác sĩ chỉ định (thường 12–16 giờ/ngày tùy loại).
- Không tự ý tháo hoặc ngưng sử dụng khi chưa có hướng dẫn chuyên môn.
- Bảo quản khí cụ đúng cách để tránh biến dạng hoặc hư hỏng.
Việc đeo không đủ thời gian có thể làm chậm tiến độ điều trị hoặc giảm hiệu quả định hướng tăng trưởng xương hàm.

Chọn nha khoa có chuyên môn chỉnh nha trẻ em
Chỉnh nha tăng trưởng không chỉ là sắp xếp răng mà liên quan trực tiếp đến sự phát triển của hệ thống sọ mặt. Vì vậy, việc lựa chọn cơ sở nha khoa có chuyên môn chỉnh nha trẻ em là yếu tố quan trọng.
Một cơ sở điều trị phù hợp thường:
- Có bác sĩ được đào tạo chuyên sâu về chỉnh nha.
- Thực hiện phân tích tăng trưởng xương hàm trước khi điều trị.
- Xây dựng kế hoạch điều trị dài hạn theo từng giai đoạn phát triển.
- Theo dõi định kỳ và điều chỉnh khí cụ phù hợp với tốc độ tăng trưởng của trẻ.
Vai trò của phụ huynh trong quá trình điều trị
Trẻ nhỏ thường chưa có ý thức tự giác hoàn toàn trong việc đeo khí cụ và chăm sóc răng miệng, do đó sự đồng hành của phụ huynh là yếu tố quan trọng giúp duy trì hiệu quả điều trị.
Phụ huynh nên:
- Nhắc nhở trẻ đeo khí cụ đúng thời gian.
- Theo dõi trẻ vệ sinh răng miệng hằng ngày.
- Khuyến khích trẻ duy trì thói quen ăn nhai và sinh hoạt lành mạnh.
- Đưa trẻ tái khám đúng lịch hẹn để bác sĩ kiểm tra tiến triển.
Sự phối hợp tốt giữa bác sĩ, phụ huynh và trẻ giúp quá trình chỉnh nha tăng trưởng diễn ra ổn định, tận dụng tối đa giai đoạn phát triển tự nhiên và tạo nền tảng răng hàm mặt khỏe mạnh lâu dài cho người bệnh/khách hàng.
Chỉnh nha tăng trưởng tại Platinum Dental Group
Chỉnh nha tăng trưởng là một lĩnh vực chuyên sâu trong chỉnh nha trẻ em, đòi hỏi sự phối hợp giữa kiến thức về tăng trưởng sọ mặt, chẩn đoán sớm và theo dõi điều trị lâu dài. Tại Platinum Dental Group, phương pháp này được xây dựng theo định hướng điều trị bảo tồn – can thiệp đúng thời điểm phát triển tự nhiên của trẻ, nhằm cải thiện khớp cắn và định hướng cấu trúc hàm mặt một cách khoa học.
Định hướng điều trị dựa trên tăng trưởng sinh học
Khác với chỉnh nha ở người trưởng thành chủ yếu sắp xếp răng, chỉnh nha tăng trưởng tại Platinum Dental Group tập trung vào việc:
- Đánh giá sự phát triển xương hàm trên – hàm dưới thông qua thăm khám lâm sàng và phim chẩn đoán chuyên biệt
- Phát hiện sớm các dấu hiệu sai lệch xương hàm như hô, móm, cắn ngược hoặc mất cân đối khuôn mặt
- Can thiệp đúng giai đoạn tăng trưởng để hỗ trợ xương hàm phát triển theo hướng hài hòa hơn.
Cách tiếp cận này giúp quá trình điều trị phù hợp với sinh lý phát triển của trẻ, hạn chế can thiệp quá mức và hướng đến hiệu quả ổn định lâu dài.

Cá nhân hóa kế hoạch chỉnh nha cho từng trẻ
Mỗi trẻ có tốc độ phát triển xương khác nhau, vì vậy kế hoạch chỉnh nha không áp dụng theo một khuôn mẫu chung. Tại phòng khám, bác sĩ sẽ:
- Phân tích độ tuổi xương và giai đoạn tăng trưởng
- Lựa chọn loại khí cụ chỉnh hình phù hợp (khí cụ chức năng, nong hàm hoặc khí cụ định hướng tăng trưởng)
- Thiết lập lịch tái khám định kỳ để điều chỉnh lực và theo dõi sự thích nghi của trẻ
Việc theo dõi liên tục giúp đảm bảo khí cụ hoạt động đúng mục tiêu điều trị và giảm nguy cơ sai lệch thứ phát.
Môi trường điều trị thân thiện với trẻ em
Trong chỉnh nha tăng trưởng, sự hợp tác của trẻ đóng vai trò quan trọng. Platinum Dental Group chú trọng xây dựng trải nghiệm điều trị nhẹ nhàng thông qua:
- Quy trình tư vấn rõ ràng để phụ huynh hiểu mục tiêu từng giai đoạn
- Hướng dẫn chăm sóc và đeo khí cụ phù hợp với sinh hoạt hằng ngày của trẻ
- Theo dõi sát sao nhằm hỗ trợ trẻ thích nghi tốt trong thời gian đầu
Điều này góp phần giúp trẻ duy trì thói quen đeo khí cụ ổn định – yếu tố quan trọng quyết định hiệu quả chỉnh nha tăng trưởng.
Hướng đến hiệu quả lâu dài
Việc can thiệp sớm trong giai đoạn phát triển không chỉ giúp cải thiện khớp cắn hiện tại mà còn tạo nền tảng thuận lợi cho các giai đoạn chỉnh nha sau (nếu cần). Khi xương hàm phát triển đúng hướng, nhiều trường hợp có thể:
- Giảm mức độ sai lệch răng vĩnh viễn
- Rút ngắn thời gian niềng răng ở tuổi thiếu niên
- Hạn chế chỉ định nhổ răng hoặc can thiệp phẫu thuật về sau.

Với định hướng điều trị dựa trên an toàn và tính sinh học của tăng trưởng tự nhiên, chỉnh nha tăng trưởng tại Platinum Dental Group được xây dựng như một bước chăm sóc dự phòng sớm, giúp trẻ phát triển hàm răng và khuôn mặt cân đối theo thời gian.
Câu hỏi thường gặp về chỉnh nha tăng trưởng
Chỉnh nha tăng trưởng có thay đổi khuôn mặt không?
Chỉnh nha tăng trưởng có thể tạo ra những thay đổi tích cực về sự cân đối khuôn mặt, đặc biệt trong các trường hợp sai lệch do xương hàm như hô, móm hoặc hàm phát triển không đồng đều.
Phương pháp này không làm thay đổi khuôn mặt theo hướng đột ngột mà hỗ trợ xương hàm phát triển hài hòa hơn theo quá trình tăng trưởng tự nhiên của trẻ. Khi tương quan hai hàm được cải thiện, các đường nét như môi, cằm và góc nghiêng khuôn mặt có xu hướng cân đối hơn theo thời gian.
Chỉnh nha tăng trưởng có cần niềng răng lại không?
Trong nhiều trường hợp, trẻ vẫn cần niềng răng giai đoạn sau (giai đoạn 2) khi răng vĩnh viễn mọc đầy đủ. Tuy nhiên, chỉnh nha tăng trưởng giúp xử lý nền tảng xương hàm từ sớm nên:
- Mức độ sai lệch răng thường giảm đáng kể.
- Thời gian niềng răng có thể ngắn hơn.
- Hạn chế chỉ định nhổ răng trong một số trường hợp.
Không phải tất cả trẻ đều cần niềng răng lại, quyết định này sẽ được bác sĩ đánh giá sau khi quá trình tăng trưởng hoàn tất.
Có thể chỉnh nha tăng trưởng cho người lớn không?
Chỉnh nha tăng trưởng chỉ hiệu quả khi xương hàm còn đang phát triển. Sau tuổi dậy thì, cấu trúc xương hàm đã ổn định nên các khí cụ chỉnh hình không còn khả năng định hướng tăng trưởng.
Đối với người trưởng thành, bác sĩ thường chỉ định niềng răng để sắp xếp răng, hoặc phối hợp các phương pháp điều trị khác nếu sai lệch liên quan đến xương hàm. Vì vậy, việc thăm khám sớm trong giai đoạn trẻ em có ý nghĩa quan trọng để tận dụng “thời điểm vàng” điều trị.
Đeo khí cụ bao lâu mỗi ngày?
Thời gian đeo khí cụ phụ thuộc vào loại khí cụ và kế hoạch điều trị cụ thể, nhưng phổ biến:
- Khí cụ tháo lắp: khoảng 12–16 giờ mỗi ngày, bao gồm cả thời gian ngủ.
- Một số khí cụ chức năng hoặc khí cụ ngoài mặt có thể có thời gian đeo riêng theo chỉ định bác sĩ.
Việc đeo đủ thời gian là yếu tố quan trọng quyết định hiệu quả chỉnh nha tăng trưởng. Đeo không đều có thể làm kéo dài thời gian điều trị.
Bao nhiêu tuổi nên khám chỉnh nha lần đầu?
Các hiệp hội chỉnh nha khuyến nghị trẻ nên được khám chỉnh nha lần đầu vào khoảng 6–7 tuổi, khi răng vĩnh viễn bắt đầu mọc và xương hàm đang phát triển mạnh.
Khám sớm giúp:
- Phát hiện các dấu hiệu sai lệch khớp cắn từ giai đoạn đầu.
- Theo dõi sự phát triển xương hàm theo thời gian.
- Xác định thời điểm phù hợp để can thiệp nếu cần.
Ngay cả khi chưa cần điều trị, việc kiểm tra định kỳ vẫn giúp bác sĩ theo dõi tăng trưởng và đưa ra hướng chăm sóc răng hàm mặt phù hợp cho người bệnh/khách hàng.
Chỉnh nha tăng trưởng là phương pháp can thiệp sớm dựa trên nguyên lý phát triển tự nhiên của xương hàm, giúp định hướng khớp cắn và cấu trúc khuôn mặt ngay từ giai đoạn trẻ đang lớn. Khi được thăm khám và điều trị đúng thời điểm, phương pháp này không chỉ hỗ trợ cải thiện thẩm mỹ mà còn góp phần xây dựng nền tảng chức năng ăn nhai ổn định và sức khỏe răng miệng lâu dài cho người bệnh/khách hàng.
Tuy nhiên, hiệu quả chỉnh nha tăng trưởng phụ thuộc nhiều vào việc chẩn đoán chính xác, lựa chọn thời điểm phù hợp và sự theo dõi xuyên suốt quá trình phát triển của trẻ. Vì vậy, phụ huynh nên cho trẻ khám chỉnh nha sớm để bác sĩ đánh giá tăng trưởng xương hàm và đưa ra hướng can thiệp khi cần thiết, thay vì chờ đến khi răng mọc hoàn chỉnh.
Tại Platinum Dental Group, quá trình chỉnh nha tăng trưởng được xây dựng theo hướng điều trị cá nhân hóa, dựa trên phân tích tăng trưởng và theo dõi định kỳ nhằm đảm bảo sự phát triển hài hòa của răng và xương hàm theo thời gian. Việc can thiệp đúng giai đoạn không chỉ giúp tối ưu hiệu quả chỉnh nha mà còn tạo tiền đề cho nụ cười khỏe mạnh và cân đối khi trẻ trưởng thành.
Hiện nay, Platinum Dental Group đang hoạt động với 2 cơ sở, giúp phụ huynh và trẻ em thuận tiện hơn trong việc thăm khám, theo dõi và tái khám định kỳ trong suốt quá trình điều trị.
Platinum Dental Central:
- Địa chỉ: 127 Nguyễn Cư Trinh, Phường Cầu Ông Lãnh, TP. HCM
- Hotline: 0967 797 799
Platinum Dental Thảo Điền:
- Địa chỉ: 1H Đường số 10, Phường An Khánh, TP. HCM
- Hotline: 096 71 78 799
Email: info@platinumdentalvietnam.com
Website: https://platinumdentalvietnam.com/
Instagram: https://www.instagram.com/platinumdental.vietnam/
Facebook: facebook.com/platinumdentalvn

English