Khí cụ nong hàm là gì? Công dụng, các loại và khi nào cần nong hàm trong chỉnh nha
Khí cụ nong hàm là một trong những phương pháp quan trọng trong chỉnh nha, giúp mở rộng cung hàm, tạo khoảng trống cho răng sắp xếp đều đặn và cải thiện khớp cắn hiệu quả. Trong nhiều trường hợp, khi cung hàm quá hẹp khiến răng mọc chen chúc hoặc sai lệch vị trí, việc sử dụng khí cụ nong hàm sẽ giúp tối ưu hóa quá trình điều trị và hạn chế phải nhổ răng. Để hiểu rõ hơn về khí cụ nong hàm là gì, khi nào cần sử dụng, cơ chế hoạt động cũng như các loại khí cụ phổ biến hiện nay, các bạn hãy cùng Platinum Dental Group tìm hiểu chi tiết trong bài viết dưới đây nhé!
Khí cụ nong hàm là gì?
Khí cụ nong hàm là một thiết bị chỉnh nha chuyên dụng được thiết kế nhằm mở rộng cung hàm, đặc biệt là hàm trên, thông qua việc tạo ra lực tác động nhẹ nhưng liên tục lên xương hàm và các răng liên quan. Dưới tác động của lực chỉnh nha được kiểm soát này, hai bên cung hàm sẽ dần tách rộng ra theo thời gian. Nhờ đó, không gian trong cung răng được tăng lên, giúp các răng có đủ chỗ để mọc và sắp xếp đúng vị trí trên cung hàm.

Trong chỉnh nha hiện đại, nong hàm không chỉ đơn thuần là một kỹ thuật hỗ trợ mà còn được xem như bước chuẩn bị quan trọng trước khi niềng răng. Việc mở rộng cung hàm đúng thời điểm giúp tạo nền tảng thuận lợi để răng dịch chuyển chính xác hơn trong quá trình chỉnh nha, đồng thời hạn chế các can thiệp phức tạp về sau.
Khi nào cần sử dụng khí cụ nong hàm?
Không phải mọi trường hợp chỉnh nha đều cần sử dụng khí cụ nong hàm. Trước khi đưa ra chỉ định, bác sĩ sẽ tiến hành thăm khám và đánh giá toàn diện tình trạng răng miệng, bao gồm cấu trúc cung hàm, vị trí răng, mức độ phát triển của xương hàm cũng như sự tương quan khớp cắn giữa hai hàm. Thông qua các phương pháp chẩn đoán như chụp X-quang, scan răng kỹ thuật số và phân tích khớp cắn, bác sĩ sẽ xác định liệu việc mở rộng cung hàm có thực sự cần thiết hay không để ghi vào kế hoạch chỉnh nha cho khách hàng.
Thông thường, khí cụ nong hàm được chỉ định trong những trường hợp sau:
- Cung hàm hẹp: Khi kích thước cung hàm nhỏ hơn so với kích thước răng, khiến răng không có đủ khoảng trống để mọc đúng vị trí.
- Răng mọc chen chúc: Các răng chồng chéo, lệch lạc do thiếu không gian trên cung hàm.
- Sai lệch khớp cắn: Bao gồm các tình trạng như khớp cắn chéo hoặc khớp cắn không cân đối giữa hai hàm: hô, móm
- Hàm trên nhỏ hơn hàm dưới: Tình trạng này khiến hai hàm không khớp đúng khi cắn, ảnh hưởng đến chức năng ăn nhai và thẩm mỹ khuôn mặt.
Trong những trường hợp trên, việc sử dụng khí cụ nong hàm sẽ giúp mở rộng cung răng một cách tự nhiên và có kiểm soát, đạt đến kích thước phù hợp từ đó tạo thêm khoảng trống để các răng sắp xếp đều đặn hơn trong quá trình chỉnh nha. Nhờ vậy, kế hoạch điều trị sẽ trở nên thuận lợi hơn, đồng thời giúp giảm thiểu nguy cơ phải nhổ răng trong nhiều trường hợp răng chen chúc hoặc cung hàm hẹp.
Nội dung bài viết
- 1 Dấu hiệu cho thấy bạn có thể cần nong hàm
- 2 Độ tuổi nào nong hàm hiệu quả nhất?
- 3 Vai trò của khí cụ nong hàm trong nha khoa
- 4 Các loại khí cụ nong hàm phổ biến hiện nay
- 5 Nong hàm nhanh (RPE) và nong hàm chậm khác nhau thế nào?
- 6 Cơ chế hoạt động của khí cụ nong hàm
- 7 Quy trình nong hàm diễn ra như thế nào?
- 8 Các bước gắn và kích hoạt khí cụ nong hàm
- 9 Dấu hiệu cần gặp bác sĩ ngay
Dấu hiệu cho thấy bạn có thể cần nong hàm
Trong nhiều trường hợp, việc sử dụng khí cụ nong hàm được bác sĩ chỉ định khi cung hàm không đủ rộng để răng phát triển và sắp xếp đúng vị trí. Tuy nhiên, trước khi thăm khám chuyên sâu, bạn vẫn có thể nhận biết một số dấu hiệu phổ biến cho thấy mình có thể cần đến phương pháp này trong quá trình chỉnh nha. Dưới đây là những dấu hiệu thường gặp:
Răng mọc chen chúc
Đây là một trong những dấu hiệu phổ biến nhất của tình trạng cung hàm hẹp. Khi cung hàm không đủ không gian, các răng sẽ không thể mọc thẳng hàng mà dễ bị lệch lạc, xoay hoặc chồng lên nhau. Không chỉ làm mất thẩm mỹ nụ cười, răng chen chúc còn khiến việc vệ sinh răng miệng trở nên khó khăn hơn, từ đó làm tăng nguy cơ sâu răng, viêm nướu và các bệnh lý nha chu.
Cung răng hẹp
Cung răng hẹp khiến khuôn miệng trông nhỏ và thiếu cân đối so với tổng thể khuôn mặt. Khi nhìn từ phía trước, nụ cười thường không mở rộng hết, làm lộ ra khoảng tối ở hai bên miệng và khiến nụ cười kém tự nhiên. Trong trường hợp này, nong hàm có thể giúp mở rộng cung răng, tạo thêm không gian cho răng và giúp nụ cười trở nên đầy đặn, hài hòa hơn.

Hàm trên nhỏ hơn hàm dưới
Khi kích thước hàm trên nhỏ hơn hàm dưới, bạn có thể gặp phải tình trạng khớp cắn chéo. Điều này khiến hai hàm không khớp đúng khi cắn, gây ảnh hưởng đến khả năng ăn nhai và lâu dài có thể dẫn đến mòn răng không đều, đau khớp thái dương hàm hoặc sai lệch khớp cắn nghiêm trọng hơn.
Cười thấy hành lang miệng rộng
“Hành lang miệng” là khoảng tối xuất hiện ở hai bên khóe miệng khi cười. Khi cung hàm quá hẹp, khoảng tối này sẽ trở nên rõ rệt, khiến nụ cười trông hẹp và thiếu sức sống. Việc nong hàm giúp mở rộng cung hàm, từ đó giảm bớt hành lang miệng và mang lại nụ cười rộng, cân đối và thẩm mỹ hơn.
Độ tuổi nào nong hàm hiệu quả nhất?
Hiệu quả của việc sử dụng khí cụ nong hàm phụ thuộc rất lớn vào giai đoạn phát triển của xương hàm. Khi xương hàm còn mềm và đang trong quá trình phát triển, việc mở rộng cung hàm sẽ diễn ra thuận lợi hơn, thời gian điều trị cũng ngắn hơn. Ngược lại, khi xương hàm đã phát triển hoàn chỉnh, quá trình nong hàm có thể phức tạp và cần nhiều can thiệp hơn. Dưới đây là những giai đoạn tuổi thường được cân nhắc trong điều trị nong hàm:
Trẻ em (giai đoạn vàng)
Trẻ em được xem là đối tượng có hiệu quả nong hàm tốt nhất. Ở giai đoạn này, xương hàm vẫn đang phát triển và chưa hoàn toàn cứng lại, đặc biệt là vùng khớp giữa của xương hàm trên vẫn còn khả năng mở rộng dễ dàng dưới tác động của lực chỉnh nha. Nhờ vậy, việc sử dụng khí cụ nong hàm có thể giúp mở rộng cung hàm nhanh chóng và ổn định, đồng thời tạo điều kiện thuận lợi để các răng vĩnh viễn mọc đúng vị trí. Tuy nhiên cần lưu ý việc nong rộng cung hàm cần được kiểm soát bởi bác sĩ chỉnh nha có chuyên môn, có kinh nghiệm niềng răng cho trẻ em để có thể tác động lực chính xác, an toàn giúp đạt tối ưu điều trị.
Nhiều chuyên gia chỉnh nha cho rằng độ tuổi từ 7 – 12 tuổi là thời điểm lý tưởng để can thiệp nong hàm nếu cần thiết. Việc điều chỉnh sớm không chỉ giúp cải thiện cấu trúc cung hàm mà còn góp phần phòng ngừa các vấn đề sai lệch khớp cắn phức tạp trong tương lai.
Thanh thiếu niên
Ở giai đoạn thanh thiếu niên, xương hàm đã phát triển hơn nhưng vẫn còn khả năng điều chỉnh nhất định. Việc nong hàm trong giai đoạn này vẫn mang lại hiệu quả khá tốt, tuy nhiên quá trình điều trị có thể kéo dài hơn so với trẻ nhỏ vì xương hàm bắt đầu trở nên cứng chắc hơn. Nếu được phát hiện và can thiệp kịp thời, nong hàm ở độ tuổi này vẫn có thể tạo đủ không gian cho răng sắp xếp đúng vị trí, đồng thời hỗ trợ quá trình niềng răng đạt kết quả tốt.

Người trưởng thành có nong hàm được không?
Người trưởng thành vẫn có thể thực hiện nong hàm, tuy nhiên hiệu quả sẽ phụ thuộc vào cấu trúc xương hàm và mức độ sai lệch khớp cắn. Do xương hàm đã phát triển hoàn chỉnh và cứng hơn, việc mở rộng cung hàm sẽ khó khăn hơn so với trẻ em và thanh thiếu niên.
Các khí cụ nong hàm được dùng ở người lớn bao gồm khí cụ cố định và khí cụ tháo lắp. Trong một số trường hợp phức tạp, bác sĩ có thể cần kết hợp các kỹ thuật như nong hàm hỗ trợ bằng vít mini.
Vai trò của khí cụ nong hàm trong nha khoa
Trong chỉnh nha, bước sử dụng khí cụ nong hàm không chỉ đơn thuần là thiết bị giúp mở rộng cung hàm mà còn đóng vai trò quan trọng trong việc tạo nền tảng cho toàn bộ quá trình điều trị. Khi cung hàm được mở rộng hợp lý, các răng có thêm không gian để dịch chuyển và sắp xếp đúng vị trí, từ đó giúp kế hoạch chỉnh nha đạt hiệu quả cao hơn và ổn định lâu dài. Dưới đây là những vai trò nổi bật của khí cụ nong hàm trong chỉnh nha :
Tạo không gian cho răng
Một trong những lợi ích quan trọng nhất của việc nong hàm là tạo thêm khoảng trống trên cung răng. Khi cung hàm quá hẹp, răng thường không đủ chỗ để mọc thẳng hàng, dẫn đến tình trạng chen chúc hoặc lệch lạc.
Nhờ mở rộng cung hàm, khí cụ nong hàm giúp tăng diện tích cung răng, tạo điều kiện thuận lợi để các răng sắp xếp đúng vị trí. Điều này giúp quá trình chỉnh nha diễn ra dễ dàng hơn và mang lại kết quả thẩm mỹ tốt hơn.

Hỗ trợ hoạt động niềng răng
Trong nhiều kế hoạch chỉnh nha, nong hàm được thực hiện gần như là những bước đầu tiên hoặc song song trong quá trình niềng răng. Đây được xem là bước chuẩn bị quan trọng nhằm tạo không gian cần thiết để răng có thể dịch chuyển đúng hướng. Khi cung hàm đã đủ rộng, quá trình niềng răng sẽ diễn ra thuận lợi và chính xác hơn, đồng thời giúp giảm áp lực lên răng và mô xung quanh.
Giảm thiểu việc nhổ răng
Một trong những lo lắng phổ biến của nhiều người khi chỉnh nha là phải nhổ răng để tạo khoảng trống. Tuy nhiên, trong nhiều trường hợp, việc sử dụng khí cụ nong hàm có thể giúp mở rộng cung răng và tạo đủ không gian để sắp xếp răng mà không cần nhổ răng. Nhờ đó, bệnh nhân có thể bảo tồn răng tự nhiên tối đa, đồng thời giảm bớt lo lắng trong quá trình điều trị.
Các loại khí cụ nong hàm phổ biến hiện nay
Trong chỉnh nha, khí cụ nong hàm được thiết kế với nhiều dạng khác nhau để phù hợp với từng độ tuổi, cấu trúc xương hàm và mức độ sai lệch của răng. Sau khi thăm khám và phân tích tình trạng răng miệng, bác sĩ sẽ lựa chọn loại khí cụ phù hợp nhằm đảm bảo quá trình điều trị đạt hiệu quả tối ưu.
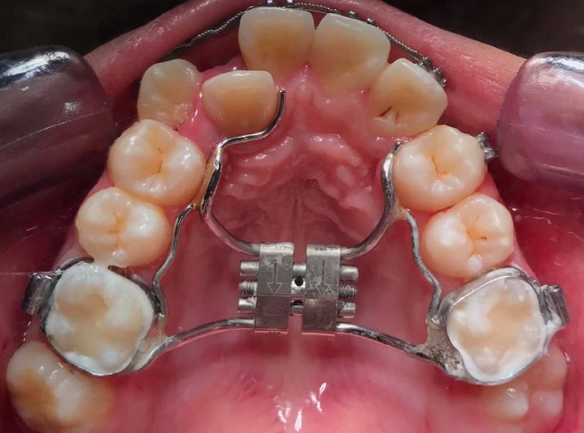
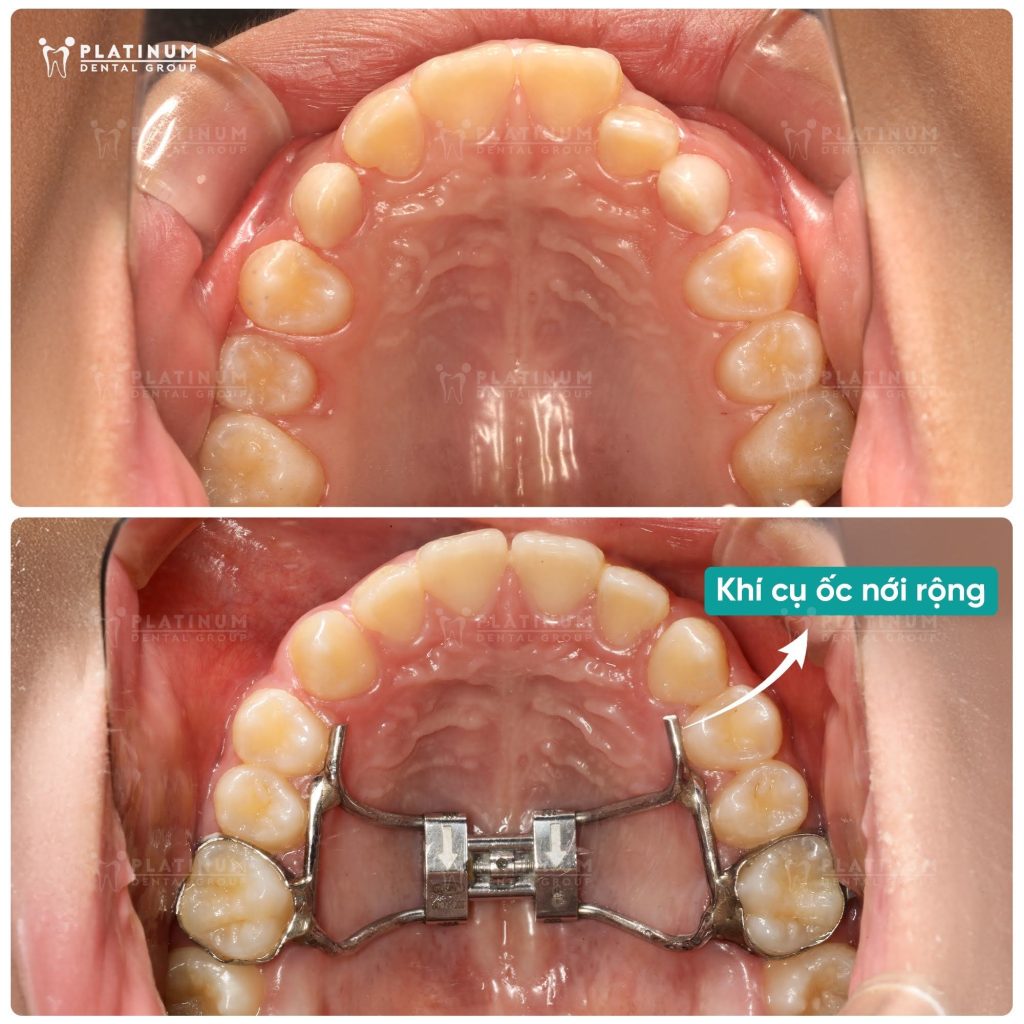
Khí cụ nong hàm cố định
Đây là loại khí cụ được gắn cố định vào các răng hàm và duy trì trong suốt quá trình điều trị. Nhờ được cố định chắc chắn trong khoang miệng, khí cụ có thể tạo ra lực nong ổn định và liên tục, giúp mở rộng cung hàm một cách hiệu quả.
Cấu tạo
Khí cụ nong hàm cố định thường bao gồm các bộ phận chính sau:
- Khung kim loại: Là phần khung giúp liên kết các bộ phận của khí cụ và tạo sự ổn định khi gắn trên răng.
- Vít nong ở trung tâm: Đây là bộ phận quan trọng giúp điều chỉnh độ rộng của cung hàm. Khi vít được vặn theo hướng dẫn của bác sĩ, lực sẽ tác động lên hai bên hàm để mở rộng cung răng.
- Các vòng gắn vào răng hàm: Những vòng kim loại này được cố định vào răng hàm nhằm giữ khí cụ ổn định trong suốt quá trình nong hàm.
Khi vít nong được kích hoạt theo lịch trình điều trị, hai bên cung hàm sẽ dần tách rộng ra, tạo thêm không gian cho răng sắp xếp đúng vị trí.

Ưu điểm
- Hiệu quả cao: Lực nong ổn định giúp mở rộng cung hàm nhanh và rõ rệt.
- Kiểm soát lực nong chính xác: Bác sĩ có thể điều chỉnh lực phù hợp với từng giai đoạn điều trị.
- Phù hợp với nhiều trường hợp chỉnh nha phức tạp: Đặc biệt là các trường hợp cung hàm hẹp hoặc sai lệch khớp cắn rõ rệt.
Nhược điểm
- Khó vệ sinh trong thời gian đầu: Do khí cụ được gắn cố định nên việc làm sạch các kẽ răng và khu vực quanh khí cụ cần cẩn thận hơn.
- Có thể gây vướng víu khi ăn uống: Người đeo có thể cần thời gian để thích nghi với sự hiện diện của khí cụ trong khoang miệng.
Khí cụ nong hàm tháo lắp
Khí cụ nong hàm tháo lắp là loại khí cụ có thể tháo ra và lắp lại dễ dàng, thường được sử dụng cho trẻ nhỏ hoặc những trường hợp cần mở rộng cung hàm ở mức độ nhẹ. Loại khí cụ này thường được thiết kế bằng nhựa nha khoa kết hợp với các thành phần kim loại để tạo lực nong phù hợp.

Ưu điểm
- Có thể tháo ra khi ăn uống: Giúp người đeo cảm thấy thoải mái hơn trong sinh hoạt hàng ngày.
- Dễ vệ sinh răng miệng: Việc tháo lắp thuận tiện giúp làm sạch răng và khí cụ dễ dàng hơn.
Nhược điểm
- Hiệu quả phụ thuộc vào sự hợp tác của người đeo: Khí cụ cần được đeo đủ thời gian theo hướng dẫn của bác sĩ. Nếu không tuân thủ đúng, quá trình điều trị có thể kéo dài hoặc không đạt hiệu quả như mong muốn.
Nong hàm nhanh (RPE) và nong hàm chậm khác nhau thế nào?
Trong chỉnh nha, bác sĩ có thể lựa chọn nong hàm nhanh hoặc nong hàm chậm tùy thuộc vào độ tuổi, cấu trúc xương hàm và mục tiêu điều trị của từng bệnh nhân. Hai phương pháp này đều nhằm mục đích mở rộng cung hàm, tuy nhiên chúng khác nhau chủ yếu ở tốc độ và lực tác động lên xương hàm.
Tốc độ dịch chuyển xương
Sự khác biệt rõ rệt nhất giữa hai phương pháp nằm ở tốc độ mở rộng cung hàm và mức độ lực tác động:
- Nong hàm nhanh (Rapid Palatal Expansion – RPE): Phương pháp này sử dụng lực nong mạnh hơn để tách hai bên xương hàm trên trong thời gian tương đối ngắn. Khi vít nong được kích hoạt thường xuyên theo hướng dẫn của bác sĩ, cung hàm sẽ mở rộng nhanh chóng, giúp tạo khoảng trống cho răng dịch chuyển.
- Nong hàm chậm: Nong hàm chậm sử dụng lực nhẹ và ổn định hơn. Quá trình mở rộng cung hàm diễn ra từ từ theo từng giai đoạn, giúp các mô xương và mô mềm thích nghi dần với sự thay đổi.
Chỉ định trong từng trường hợp
Tùy vào độ tuổi và đặc điểm phát triển của xương hàm, bác sĩ sẽ cân nhắc lựa chọn phương pháp phù hợp:
- Nong hàm nhanh: Thường được áp dụng cho trẻ em và thanh thiếu niên, khi xương hàm vẫn đang phát triển và dễ dàng đáp ứng với lực nong.
- Nong hàm chậm: Phù hợp với những trường hợp cần kiểm soát lực nhẹ và ổn định, hoặc khi bác sĩ muốn quá trình mở rộng cung hàm diễn ra từ từ để đảm bảo sự thích nghi tốt của các mô xung quanh.
Nhờ lựa chọn đúng phương pháp nong hàm, quá trình chỉnh nha sẽ diễn ra hiệu quả hơn, giúp răng được sắp xếp đúng vị trí và đảm bảo sự cân đối của toàn bộ hàm răng.
Cơ chế hoạt động của khí cụ nong hàm
Khí cụ nong hàm hoạt động dựa trên nguyên lý tạo lực mở rộng cung hàm, từ đó giúp điều chỉnh cấu trúc xương hàm và tạo khoảng trống cho răng sắp xếp đúng vị trí. Đây là một bước quan trọng trong nhiều kế hoạch chỉnh nha, đặc biệt khi cung hàm quá hẹp hoặc răng mọc chen chúc.
Nguyên lý mở rộng cung hàm
Khí cụ nong hàm tạo ra lực tác động đều lên hai bên xương hàm trên, khiến đường khớp giữa khẩu cái (đường khớp giữa hai mảnh xương hàm trên) dần tách ra. Khi lực nong được kích hoạt theo chỉ định của bác sĩ, cung hàm sẽ mở rộng từng chút một. Quá trình này diễn ra từ từ để cơ thể có đủ thời gian thích nghi và tái tạo xương mới tại vị trí được mở rộng. Nhờ vậy, sau khi hoàn tất quá trình nong, cấu trúc hàm sẽ trở nên ổn định và bền vững hơn.
Khí cụ nong hàm đặt ở hàm trên hay hàm dưới?
Trong thực tế chỉnh nha, phần lớn các trường hợp nong hàm được thực hiện ở hàm trên. Lý do là vì hàm trên có một đường khớp xương ở giữa khẩu cái, cho phép hai bên xương hàm tách ra dưới tác động của lực chỉnh nha. Ngược lại, nong hàm dưới ít phổ biến hơn, bởi cấu trúc xương hàm dưới là một khối xương liền. Vì vậy, phương pháp này thường chỉ được áp dụng trong những trường hợp đặc biệt và cần được bác sĩ chuyên khoa đánh giá kỹ lưỡng.

Vì sao nên thực hiện sớm (đặc biệt ở trẻ)?
Thời điểm thực hiện nong hàm có ảnh hưởng rất lớn đến hiệu quả điều trị. Ở trẻ em và thanh thiếu niên, xương hàm vẫn đang trong giai đoạn phát triển nên còn mềm và dễ thích nghi với lực chỉnh nha.
Nhờ đó, việc mở rộng cung hàm thường diễn ra nhanh hơn, ít gây khó chịu và đạt hiệu quả ổn định hơn so với khi thực hiện ở người trưởng thành. Bên cạnh đó, can thiệp sớm còn giúp phòng tránh các vấn đề chỉnh nha phức tạp trong tương lai, như răng mọc chen chúc, sai lệch khớp cắn hoặc phải nhổ răng khi niềng răng sau này.
Quy trình nong hàm diễn ra như thế nào?
Nong hàm là một bước quan trọng trong nhiều kế hoạch chỉnh nha. Để đảm bảo quá trình điều trị an toàn và đạt hiệu quả tối ưu, bác sĩ sẽ thực hiện một quy trình thăm khám và đánh giá kỹ lưỡng trước khi tiến hành đặt khí cụ.
Thăm khám và chẩn đoán trước khi nong hàm
Trước khi quyết định sử dụng khí cụ nong hàm, bác sĩ sẽ tiến hành nhiều bước kiểm tra chi tiết nhằm đánh giá chính xác cấu trúc răng, xương hàm và khớp cắn. Những dữ liệu này giúp bác sĩ xây dựng kế hoạch điều trị phù hợp với từng bệnh nhân. Các bước chẩn đoán thường bao gồm:

- Chụp phim X-quang: Giúp bác sĩ quan sát cấu trúc xương hàm, vị trí các răng cũng như tình trạng mọc răng bên trong xương. Nhờ đó có thể xác định mức độ hẹp của cung hàm và hướng điều trị phù hợp.
- Scan răng kỹ thuật số: Công nghệ quét răng hiện đại cho phép tạo mô hình răng 3D chính xác, giúp bác sĩ phân tích cấu trúc cung hàm và lập kế hoạch nong hàm chi tiết hơn.
- Phân tích khớp cắn: Bác sĩ sẽ đánh giá cách hai hàm trên và dưới tiếp xúc với nhau khi cắn. Việc phân tích khớp cắn giúp xác định mức độ sai lệch và quyết định phạm vi cần mở rộng của cung hàm.
Sau khi hoàn tất các bước thăm khám và phân tích dữ liệu, bác sĩ sẽ đưa ra phác đồ điều trị cụ thể, bao gồm loại khí cụ nong hàm, tốc độ nong và thời gian điều trị dự kiến. Điều này giúp quá trình chỉnh nha diễn ra hiệu quả, an toàn và đạt được kết quả tối ưu.
Các bước gắn và kích hoạt khí cụ nong hàm
Sau khi hoàn tất bước thăm khám và lập kế hoạch điều trị, bác sĩ sẽ tiến hành gắn khí cụ nong hàm và hướng dẫn cách sử dụng để đảm bảo quá trình mở rộng cung hàm diễn ra đúng lộ trình. Quá trình này thường bao gồm các bước sau:
- Gắn khí cụ: Bác sĩ sẽ cố định khí cụ nong hàm vào các răng hàm bằng vật liệu nha khoa chuyên dụng. Việc gắn khí cụ được thực hiện cẩn thận nhằm đảm bảo khí cụ ổn định, không gây xê dịch trong quá trình điều trị và tạo lực nong chính xác lên cung hàm.
- Hướng dẫn vặn nong: Sau khi gắn khí cụ, bệnh nhân hoặc phụ huynh (đối với trẻ em) sẽ được bác sĩ hướng dẫn cách vặn vít nong theo đúng lịch trình. Mỗi lần vặn vít sẽ tạo ra lực tác động giúp hai bên cung hàm dần mở rộng theo kế hoạch điều trị.
- Lịch tái khám: Trong suốt quá trình nong hàm, bệnh nhân cần tái khám định kỳ theo lịch hẹn. Tại mỗi lần tái khám, bác sĩ sẽ kiểm tra sự thay đổi của cung hàm, theo dõi tiến độ điều trị và điều chỉnh lực nong nếu cần thiết để đảm bảo hiệu quả và an toàn.
Tại Platinum Dental Group, quá trình nong hàm và chỉnh nha được thực hiện theo quy trình chuẩn y khoa, dưới sự theo dõi trực tiếp của đội ngũ bác sĩ giàu kinh nghiệm. Nổi bật là bác sĩ Phùng Lê Phương Dung – chuyên gia chỉnh nha với nhiều năm kinh nghiệm trong điều trị các trường hợp sai lệch khớp cắn từ đơn giản đến phức tạp.
Nhờ nền tảng chuyên môn vững vàng cùng khả năng ứng dụng các công nghệ chỉnh nha hiện đại như niềng răng trong suốt, mắc cài tự buộc và các kỹ thuật phân tích khớp cắn kỹ thuật số, bác sĩ Phương Dung có thể xây dựng phác đồ điều trị cá nhân hóa cho từng khách hàng. Điều này giúp tối ưu hiệu quả dịch chuyển răng, rút ngắn thời gian điều trị và đảm bảo tính thẩm mỹ trong suốt quá trình niềng.
Như trường hợp của bé K.N hiện đang niềng răng tại Platinum Dental, bé 11 tuổi đến với tình trạng cắn chéo. Chỉ với khí cụ nới rộng cung răng được sử dụng đúng thời điểm và theo dõi sát sao bởi bác sĩ chỉnh nha, sau 6 tháng tình trạng cắn chéo vùng răng nanh hàm trên của K.N đã được khắc phục hoàn toàn, giúp con ăn nhai tốt, phát âm rõ và gương mặt phát triển hài hòa.


Kết thúc giai đoạn đầu với thay đổi rõ rệt, bước tiếp theo bác sĩ Phương Dung sẽ theo dõi quá trình thay răng và chỉnh chi tiết với mắc cài, hướng đến kết thúc ca với khớp cắn chuẩn.
Kết quả hiện tại của K.N là minh chứng rõ ràng và đầy thuyết phục cho việc niềng răng sớm khi trẻ có bất thường hô, móm, lệch lạc nặng mang đến rất nhiều lợi ích.
Bên cạnh đó, Platinum Dental Group còn ứng dụng nhiều công nghệ nha khoa tiên tiến trong chẩn đoán và điều trị chỉnh nha, hỗ trợ bác sĩ theo dõi chính xác sự thay đổi của cung hàm và điều chỉnh lực nong phù hợp theo từng giai đoạn. Nhờ vậy, quá trình nong hàm và niềng răng không chỉ đạt hiệu quả cao mà còn đảm bảo an toàn và thoải mái cho khách hàng.
Nong hàm có đau không? Có ảnh hưởng gì không?
Nhiều người lo lắng rằng nong hàm sẽ gây đau hoặc ảnh hưởng đến sinh hoạt hàng ngày. Tuy nhiên, trên thực tế nong hàm thường không gây đau dữ dội. Trong giai đoạn đầu khi mới gắn khí cụ hoặc sau mỗi lần kích hoạt vít nong, bệnh nhân có thể cảm thấy một số biểu hiện nhẹ do cung hàm đang thích nghi với lực tác động. Những cảm giác thường gặp bao gồm:

- Căng tức ở vùng hàm: Khi khí cụ bắt đầu tạo lực mở rộng cung hàm, bạn có thể cảm thấy hơi căng ở hai bên hàm hoặc vùng khẩu cái. Đây là phản ứng bình thường khi xương hàm đang dần dịch chuyển.
- Hơi khó chịu trong vài ngày đầu: Những ngày đầu sau khi gắn khí cụ hoặc sau khi vặn vít nong, một số người có thể cảm thấy hơi khó chịu khi ăn nhai. Tuy nhiên cảm giác này thường chỉ kéo dài trong thời gian ngắn.
- Phát âm chưa quen: Vì trong miệng có thêm khí cụ nên việc phát âm ban đầu có thể chưa rõ hoặc hơi ngọng. Sau một thời gian ngắn, khi lưỡi và khoang miệng thích nghi, việc nói chuyện sẽ trở lại bình thường.
Nhìn chung, những cảm giác trên chỉ mang tính tạm thời và sẽ giảm dần khi miệng quen với khí cụ nong hàm. Nếu tuân thủ đúng hướng dẫn của bác sĩ và tái khám đúng lịch, quá trình nong hàm sẽ diễn ra an toàn và hiệu quả.
Ưu điểm và hạn chế của khí cụ nong hàm
Khí cụ nong hàm là một phương pháp hỗ trợ chỉnh nha hiệu quả, đặc biệt trong những trường hợp cung hàm hẹp hoặc răng mọc chen chúc. Tuy nhiên, giống như nhiều phương pháp nha khoa khác, nong hàm cũng có những ưu điểm và hạn chế nhất định mà người bệnh nên hiểu rõ trước khi điều trị.
Ưu điểm của khí cụ nong hàm
Phương pháp nong hàm mang lại nhiều lợi ích quan trọng trong quá trình chỉnh nha:
- Áp dụng được cho nhiều trường hợp sai lệch khớp cắn: Nong hàm giúp cải thiện tình trạng cung hàm hẹp, răng chen chúc hoặc khớp cắn không cân đối.
- Giúp mở rộng cung hàm hiệu quả: Khí cụ tạo lực tác động trực tiếp lên xương hàm, từ đó mở rộng nền xương và tạo thêm không gian cho răng phát triển đúng vị trí.
- Hỗ trợ quá trình niềng răng thuận lợi hơn: Khi cung hàm đã được mở rộng, răng có nhiều khoảng trống hơn để dịch chuyển, giúp việc chỉnh nha diễn ra dễ dàng và hiệu quả.
- Có thể giảm nhổ răng: Nhờ tạo thêm không gian trong cung hàm, nhiều trường hợp có thể tránh phải nhổ răng khi niềng, điều mà nhiều bệnh nhân thường lo lắng.

Hạn chế của khí cụ nong hàm
Bên cạnh những lợi ích, khí cụ nong hàm cũng có một số hạn chế nhất định trong giai đoạn đầu sử dụng:
- Khó ăn uống trong thời gian đầu: Khi mới gắn khí cụ, người đeo có thể cảm thấy vướng víu hoặc chưa quen khi nhai thức ăn.
- Phát âm thay đổi tạm thời: Do có khí cụ trong khoang miệng nên việc phát âm ban đầu có thể chưa rõ, nhưng tình trạng này thường cải thiện sau khi miệng thích nghi.
- Cần vệ sinh răng miệng kỹ lưỡng: Khí cụ có thể tạo thêm các khe nhỏ dễ bám thức ăn, vì vậy người đeo cần chú ý vệ sinh răng miệng cẩn thận để tránh các vấn đề như sâu răng hoặc viêm nướu.
Cách chăm sóc và vệ sinh khi đeo khí cụ nong hàm
Trong thời gian đeo khí cụ nong hàm, việc chăm sóc và vệ sinh răng miệng đúng cách đóng vai trò rất quan trọng. Nếu không làm sạch kỹ lưỡng, thức ăn dễ mắc lại quanh khí cụ, từ đó làm tăng nguy cơ sâu răng, viêm nướu hoặc hôi miệng. Vì vậy, người đeo cần xây dựng thói quen vệ sinh răng miệng khoa học và lựa chọn thực phẩm phù hợp.
Cách vệ sinh răng miệng đúng cách
Để đảm bảo răng miệng luôn sạch và khỏe trong suốt quá trình nong hàm, bạn nên thực hiện các bước sau:
- Sử dụng bàn chải kẽ: Bàn chải kẽ giúp làm sạch những khu vực khó tiếp cận như xung quanh khí cụ, kẽ răng và các vị trí mà bàn chải thông thường khó chạm tới.
- Dùng máy tăm nước: Máy tăm nước có khả năng loại bỏ thức ăn thừa và mảng bám ở những vị trí sâu trong khoang miệng, đặc biệt là các khu vực quanh khí cụ nong hàm.
- Súc miệng bằng dung dịch kháng khuẩn: Việc sử dụng nước súc miệng giúp giảm vi khuẩn trong khoang miệng, hỗ trợ phòng ngừa viêm nướu và giữ hơi thở luôn thơm mát.
Ngoài ra, bạn nên đánh răng ít nhất 2-3 lần mỗi ngày, đặc biệt sau bữa ăn, để hạn chế tối đa thức ăn bám lại trên khí cụ.

Nên ăn gì và tránh ăn gì khi nong hàm?
Chế độ ăn uống cũng ảnh hưởng nhiều đến sự thoải mái và hiệu quả của quá trình nong hàm. Lựa chọn thực phẩm phù hợp sẽ giúp giảm áp lực lên khí cụ và hạn chế nguy cơ làm hỏng khí cụ.
Thực phẩm nên ăn:
- Cháo
- Súp
- Thực phẩm mềm
- Rau củ nấu chín
Những loại thực phẩm này mềm, dễ nhai và ít gây áp lực lên răng cũng như khí cụ nong hàm.
Thực phẩm nên tránh:
- Đồ cứng
- Thức ăn quá dai
- Thực phẩm dính như kẹo cao su
Các loại thực phẩm này có thể làm bung khí cụ, gây khó vệ sinh hoặc khiến thức ăn dễ mắc lại, ảnh hưởng đến quá trình điều trị. Việc duy trì chế độ ăn uống hợp lý và vệ sinh răng miệng đúng cách sẽ giúp bạn thích nghi nhanh hơn với khí cụ nong hàm và đảm bảo hiệu quả chỉnh nha tốt nhất.
Dấu hiệu cần gặp bác sĩ ngay
Trong quá trình đeo khí cụ nong hàm, một số cảm giác khó chịu nhẹ là điều bình thường khi cung hàm đang dần thích nghi với lực chỉnh nha. Tuy nhiên, nếu xuất hiện những dấu hiệu bất thường kéo dài, bạn nên đến nha khoa để được bác sĩ kiểm tra kịp thời, tránh ảnh hưởng đến hiệu quả điều trị.
Bạn nên gặp bác sĩ ngay khi có các dấu hiệu sau:
- Đau kéo dài nhiều ngày: Nếu cảm giác đau hoặc căng tức không giảm sau vài ngày, hoặc ngày càng nghiêm trọng hơn, có thể lực nong đang quá mạnh hoặc khí cụ cần được điều chỉnh.
- Khí cụ bị bung hoặc lỏng: Khi khí cụ nong hàm bị lệch, bung hoặc không còn cố định chắc chắn trên răng, lực nong có thể không còn chính xác và thậm chí gây tổn thương cho răng hoặc nướu.
- Nướu sưng đỏ hoặc chảy máu: Đây có thể là dấu hiệu của viêm nướu hoặc kích ứng mô mềm xung quanh khí cụ. Việc kiểm tra sớm sẽ giúp bác sĩ xử lý kịp thời và tránh các vấn đề răng miệng nghiêm trọng hơn.
Việc tái khám đúng lịch và theo dõi các dấu hiệu bất thường sẽ giúp quá trình nong hàm diễn ra an toàn, hiệu quả và đạt được kết quả chỉnh nha như mong muốn.
Câu hỏi thường gặp về khí cụ nong hàm
Trong quá trình tìm hiểu về chỉnh nha, nhiều người thường có những thắc mắc liên quan đến chi phí, thời gian điều trị cũng như hiệu quả của khí cụ nong hàm. Dưới đây là một số câu hỏi phổ biến mà bệnh nhân thường quan tâm.
Nong hàm giá bao nhiêu?
Chi phí nong hàm có thể dao động từ khoảng 5 – 20 triệu đồng, tùy thuộc vào nhiều yếu tố như:
- Loại khí cụ nong hàm được sử dụng
- Mức độ hẹp của cung hàm
- Độ phức tạp của kế hoạch chỉnh nha
- Cơ sở nha khoa và tay nghề bác sĩ
Để biết chính xác chi phí điều trị, bệnh nhân cần được thăm khám trực tiếp và tư vấn cụ thể.

Nong hàm có cần nhổ răng không?
Trong nhiều trường hợp, nong hàm giúp tạo thêm khoảng trống trong cung hàm, từ đó hỗ trợ sắp xếp răng mà không cần phải nhổ răng. Tuy nhiên, việc có cần nhổ răng hay không còn phụ thuộc vào tình trạng răng, mức độ chen chúc và khớp cắn của từng người. Bác sĩ sẽ đưa ra chỉ định phù hợp sau khi thăm khám và phân tích dữ liệu chỉnh nha.
Nong hàm bao lâu thì thấy hiệu quả?
Thông thường, quá trình nong hàm kéo dài khoảng 3 – 6 tháng tùy vào tốc độ mở rộng cung hàm và phương pháp điều trị. Sau giai đoạn này, bệnh nhân thường cần thêm thời gian duy trì để giúp cung hàm ổn định và tránh tình trạng co lại.
Nong hàm xong có bị hẹp lại không?
Sau khi hoàn tất giai đoạn nong hàm, quá trình chỉnh nha vẫn tiếp tục để sắp xếp răng về đúng vị trí và hoàn thiện khớp cắn theo kế hoạch điều trị. Khi kết thúc toàn bộ quá trình chỉnh nha, bác sĩ sẽ chỉ định đeo hàm duy trì nhằm giữ ổn định kết quả đã đạt được. Việc tuân thủ đeo hàm duy trì theo hướng dẫn là rất quan trọng, giúp hạn chế tình trạng răng và cung hàm dịch chuyển trở lại, từ đó duy trì hiệu quả điều trị lâu dài.
Nong hàm có cần niềng răng tiếp không?
Trong đa số trường hợp, nong hàm chỉ là bước chuẩn bị trước khi niềng răng. Việc mở rộng cung hàm giúp tạo thêm khoảng trống, từ đó giúp răng được sắp xếp đều đặn và hài hòa hơn khi bước vào giai đoạn chỉnh nha bằng mắc cài hoặc khay niềng.
Khí cụ nong hàm đóng vai trò quan trọng trong nhiều kế hoạch chỉnh nha, đặc biệt khi cung hàm hẹp khiến răng không đủ không gian để sắp xếp đúng vị trí. Việc hiểu rõ cơ chế hoạt động, quy trình điều trị cũng như cách chăm sóc khi đeo khí cụ sẽ giúp quá trình nong hàm diễn ra thuận lợi và đạt hiệu quả tốt nhất. Nếu bạn đang cân nhắc phương pháp này hoặc muốn được kiểm tra tình trạng răng miệng chi tiết, hãy đến ngay Platinum Dental Group để được đội ngũ bác sĩ chuyên môn cao tư vấn và hỗ trợ nhanh chóng nhé!

English