Nong hàm là gì? Có nên nong hàm khi niềng răng không?
Trong chỉnh nha hiện đại, nong hàm là một kỹ thuật được bác sĩ chỉ định nhằm mở rộng cung hàm, từ đó tạo thêm khoảng trống để răng sắp xếp đúng vị trí. Phương pháp này thường được áp dụng trước hoặc trong quá trình niềng răng, đặc biệt ở những trường hợp cung hàm hẹp, răng chen chúc hoặc khớp cắn chưa cân đối. Khi được thực hiện đúng chỉ định và theo dõi bởi bác sĩ chuyên môn, nong hàm có thể góp phần cải thiện chức năng ăn nhai cũng như hỗ trợ quá trình chỉnh nha đạt hiệu quả ổn định hơn.
Tuy nhiên, không phải trường hợp chỉnh nha nào cũng cần nong hàm. Việc có nên nong hàm hay không phụ thuộc vào nhiều yếu tố như cấu trúc xương hàm, độ tuổi và tình trạng răng miệng cụ thể của từng người bệnh. Trong bài viết này, Platinum Dental Group sẽ giúp người bệnh hiểu rõ nong hàm là gì, khi nào cần nong hàm, thời gian nong hàm trong bao lâu và những lưu ý quan trọng trong quá trình điều trị chỉnh nha. Cùng khám phá nhé!
Nội dung bài viết
Nong hàm là gì?
Nong hàm là một kỹ thuật trong chỉnh nha nhằm mở rộng cung hàm bằng khí cụ chuyên dụng, từ đó tạo thêm khoảng trống để răng có thể sắp xếp đúng vị trí trên cung hàm. Phương pháp này thường được bác sĩ chỉ định trong những trường hợp cung hàm hẹp, răng chen chúc hoặc khớp cắn chưa cân đối.
Về mặt chuyên môn, nong hàm hoạt động dựa trên nguyên lý tác động lực nhẹ và liên tục lên xương hàm, giúp hai bên cung hàm dần tách ra theo thời gian. Khi cung hàm được mở rộng, khoảng trống giữa các răng sẽ tăng lên, tạo điều kiện thuận lợi cho quá trình niềng răng hoặc điều chỉnh khớp cắn.
Đối với trẻ em và thanh thiếu niên, nong hàm thường cho hiệu quả tốt hơn do xương hàm còn đang phát triển và có tính linh hoạt cao. Ở người trưởng thành, việc nong hàm vẫn có thể thực hiện nhưng cần được đánh giá kỹ lưỡng và lập kế hoạch điều trị phù hợp.
Nong hàm trên là gì?
Nong hàm trên là kỹ thuật mở rộng cung hàm trên (khẩu cái) bằng khí cụ chỉnh nha nhằm tăng chiều rộng của hàm. Đây là dạng nong hàm được áp dụng phổ biến trong điều trị chỉnh nha, đặc biệt ở những trường hợp hàm trên hẹp hơn bình thường.

Trong quá trình điều trị, bác sĩ sẽ gắn một khí cụ nong hàm vào các răng hàm trên. Khí cụ này tạo lực tác động lên hai bên cung hàm, giúp phần xương khẩu cái mở rộng dần theo thời gian. Nhờ đó, cung răng trên trở nên rộng hơn và có thêm khoảng trống để sắp xếp răng.
Nong hàm trên thường được chỉ định khi người bệnh gặp các tình trạng như:
- Cung hàm trên hẹp
- Răng chen chúc ở hàm trên
- Khớp cắn chéo
- Thiếu khoảng trống để niềng răng
Trong nhiều trường hợp, việc nong hàm trên giúp giảm nhu cầu nhổ răng khi niềng, đồng thời hỗ trợ cải thiện sự cân đối giữa hai hàm.
Nong hàm dưới là gì?
So với hàm trên, nong hàm dưới được thực hiện ít phổ biến hơn do cấu trúc xương hàm dưới đặc và ít linh hoạt hơn. Tuy vậy, trong một số trường hợp nhất định, bác sĩ vẫn có thể áp dụng các phương pháp chỉnh nha để mở rộng nhẹ cung hàm dưới.
Nong hàm dưới thường được chỉ định khi:
- Cung hàm dưới hẹp
- Răng hàm dưới chen chúc nhẹ
- Hai hàm mất cân đối về chiều rộng
Phương pháp mở rộng cung hàm dưới có thể bao gồm:
- Sử dụng khí cụ chỉnh nha chuyên dụng
- Điều chỉnh dây cung trong quá trình niềng răng
Việc nong hàm dưới cần được đánh giá kỹ lưỡng dựa trên cấu trúc xương hàm và kế hoạch chỉnh nha tổng thể, nhằm đảm bảo hiệu quả điều trị cũng như sự ổn định lâu dài của khớp cắn.
Nong hàm khác gì với niềng răng?
Nhiều người bệnh thường nhầm lẫn giữa nong hàm và niềng răng vì cả hai đều thuộc lĩnh vực chỉnh nha. Tuy nhiên, đây là hai kỹ thuật có mục tiêu và cơ chế tác động khác nhau trong quá trình điều trị.
| Tiêu chí | Nong hàm | Niềng răng |
| Mục đích | Mở rộng cung hàm để tạo khoảng trống cho răng | Sắp xếp răng về đúng vị trí trên cung hàm |
| Cơ chế tác động | Tác động lên cấu trúc xương hàm, giúp cung hàm rộng hơn | Tác động lên răng, di chuyển răng bằng lực từ mắc cài hoặc khay chỉnh nha |
| Thời điểm thực hiện | Thường ở giai đoạn đầu của điều trị chỉnh nha | Thực hiện xuyên suốt quá trình chỉnh nha |
| Kết quả đạt được | Tăng diện tích cung hàm, giảm tình trạng thiếu khoảng | Cải thiện thẩm mỹ nụ cười và khớp cắn |
Trong thực tế điều trị, nong hàm được xem là một kỹ thuật nằm trong chỉnh nha. Bác sĩ có thể chỉ định nong hàm như một bước hỗ trợ nhằm chuẩn bị không gian cần thiết trước khi sắp xếp răng.
Nói cách khác, nong hàm giúp tạo khoảng trên cung hàm, còn niềng răng giúp di chuyển và sắp xếp răng vào những khoảng đó. Vì vậy, ở những trường hợp cung hàm hẹp hoặc răng chen chúc nhiều, việc kết hợp nong hàm và niềng răng thường mang lại hiệu quả điều trị toàn diện và ổn định hơn.
Nong hàm để làm gì?
Trong chỉnh nha, mục tiêu của nong hàm không chỉ đơn thuần là mở rộng cung răng mà còn giúp tạo nền tảng ổn định để các bước điều trị tiếp theo đạt hiệu quả tốt hơn. Khi được chỉ định đúng trường hợp, kỹ thuật này có thể hỗ trợ cải thiện cả khớp cắn, chức năng ăn nhai và sự cân đối của cung hàm.
Tạo khoảng không cần nhổ răng
Một trong những lý do phổ biến khiến bác sĩ chỉ định nong hàm là tạo thêm khoảng trống trên cung hàm. Khi cung hàm quá hẹp, các răng dễ mọc chen chúc hoặc lệch lạc do thiếu không gian.

Bằng cách mở rộng nhẹ chiều rộng cung hàm, nong hàm giúp:
- Tăng diện tích cung răng
- Tạo khoảng để răng sắp xếp đúng vị trí
- Giảm nhu cầu nhổ răng trong một số trường hợp chỉnh nha.
Tuy nhiên, việc có cần nhổ răng hay không vẫn cần được bác sĩ đánh giá dựa trên mức độ chen chúc răng và kế hoạch điều trị tổng thể.
Cải thiện khớp cắn
Cung hàm hẹp có thể gây ra các vấn đề về khớp cắn, đặc biệt là khớp cắn chéo khi răng hàm trên nằm vào phía trong so với răng hàm dưới.
Nong hàm giúp mở rộng cung hàm trên, từ đó:
- Cân bằng tương quan giữa hai hàm
- Hỗ trợ điều chỉnh khớp cắn
- Cải thiện chức năng ăn nhai.
Việc điều chỉnh khớp cắn đúng cách cũng góp phần giảm nguy cơ mòn răng và áp lực không đều lên khớp thái dương hàm.
Giúp gương mặt cân đối hơn
Trong một số trường hợp, cung hàm trên quá hẹp có thể khiến khuôn mặt trông kém cân đối hoặc nụ cười bị thu hẹp. Khi cung hàm được mở rộng phù hợp, nụ cười thường trở nên hài hòa và tự nhiên hơn.

Nong hàm có thể hỗ trợ:
- Mở rộng cung răng trên
- Tăng độ hài hòa của nụ cười
- Cải thiện thẩm mỹ khuôn mặt ở mức độ nhất định.
Tuy vậy, mức độ thay đổi về hình dáng khuôn mặt thường không quá lớn và phụ thuộc vào cấu trúc xương hàm của từng người bệnh.
Tăng hiệu quả chỉnh nha
Khi cung hàm được mở rộng hợp lý, quá trình niềng răng thường diễn ra thuận lợi hơn. Không gian đầy đủ trên cung hàm giúp răng di chuyển đúng hướng và ổn định hơn trong suốt quá trình chỉnh nha.
Nhờ đó, nong hàm có thể góp phần:
- Tạo nền tảng thuận lợi cho niềng răng
- Hỗ trợ sắp xếp răng chính xác hơn
- Tăng tính ổn định của kết quả điều trị lâu dài.
Vì vậy, trong nhiều kế hoạch chỉnh nha, bác sĩ có thể chỉ định nong hàm như một bước chuẩn bị quan trọng trước khi tiến hành niềng răng.
Khi nào cần nong hàm?
Không phải tất cả các trường hợp chỉnh nha đều cần nong hàm. Quyết định này cần được bác sĩ đánh giá dựa trên cấu trúc xương hàm, mức độ chen chúc của răng và tình trạng khớp cắn của từng người bệnh. Trong thực hành chỉnh nha, nong hàm thường được chỉ định khi cung hàm không đủ rộng để răng sắp xếp đúng vị trí hoặc khi tương quan giữa hai hàm chưa cân đối.

Dưới đây là một số trường hợp phổ biến có thể cần áp dụng kỹ thuật nong hàm.
- Hàm hẹp: Hàm hẹp là tình trạng cung hàm có chiều rộng nhỏ hơn bình thường, khiến các răng không có đủ không gian để mọc đúng vị trí. Trong trường hợp này, nong hàm giúp mở rộng cung răng, tạo thêm không gian để các răng sắp xếp thuận lợi hơn trong quá trình chỉnh nha.
- Răng chen chúc: Răng chen chúc xảy ra khi số lượng răng lớn hơn không gian trên cung hàm, khiến răng mọc lệch, xoay hoặc chồng lên nhau. Nong hàm trong trường hợp này giúp tăng diện tích cung hàm, hỗ trợ sắp xếp răng mà không cần can thiệp nhổ răng trong một số tình huống phù hợp.
- Khớp cắn chéo: Khớp cắn chéo là tình trạng răng hàm trên nằm bên trong so với răng hàm dưới khi hai hàm khép lại. Nguyên nhân thường liên quan đến việc hàm trên phát triển hẹp hơn hàm dưới. Nong hàm giúp mở rộng cung hàm trên, từ đó cải thiện sự tương quan giữa hai hàm và hỗ trợ điều chỉnh khớp cắn hiệu quả hơn.
- Thiếu khoảng để niềng: Trong quá trình lập kế hoạch chỉnh nha, bác sĩ sẽ đánh giá xem cung hàm có đủ khoảng để sắp xếp răng hay không. Nếu khoảng trống không đủ, việc niềng răng có thể gặp khó khăn.
- Cười hở lợi nhẹ do cung hàm hẹp: Ở một số người bệnh, cung hàm hẹp có thể khiến nụ cười trông kém cân đối hoặc xuất hiện tình trạng cười hở lợi nhẹ. Khi cung hàm được mở rộng phù hợp, sự phân bố của răng và nướu có thể trở nên hài hòa hơn, từ đó giúp nụ cười tự nhiên hơn. Tuy nhiên, mức độ cải thiện còn phụ thuộc vào nguyên nhân gây cười hở lợi và cấu trúc khuôn mặt của từng người bệnh.
Các loại khí cụ nong hàm phổ biến
Trong chỉnh nha, bác sĩ có thể lựa chọn nhiều loại khí cụ nong hàm khác nhau tùy theo độ tuổi, cấu trúc xương hàm và mục tiêu điều trị của từng người bệnh. Mỗi loại khí cụ có cơ chế hoạt động và chỉ định riêng, nhưng đều hướng đến mục tiêu chung là mở rộng cung hàm một cách kiểm soát và an toàn.
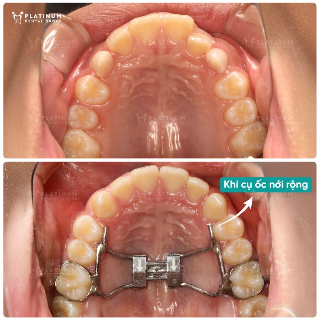
Nong hàm cố định
Khí cụ nong hàm cố định là loại được gắn trực tiếp vào các răng hàm, thường bằng vòng kim loại hoặc vật liệu chuyên dụng trong chỉnh nha. Sau khi được lắp đặt, khí cụ sẽ nằm cố định trên răng trong suốt quá trình nong hàm.

Đặc điểm của khí cụ này gồm:
- Không thể tự tháo lắp tại nhà
- Lực nong ổn định và kiểm soát tốt
- Ít phụ thuộc vào mức độ hợp tác của người bệnh.
Trong nhiều trường hợp chỉnh nha, đặc biệt là khi cần mở rộng cung hàm trên rõ rệt, khí cụ nong cố định thường được lựa chọn vì hiệu quả điều trị tương đối ổn định.
Nong hàm tháo lắp
Khí cụ nong hàm tháo lắp được thiết kế để người bệnh có thể tháo ra khi ăn uống hoặc vệ sinh răng miệng. Loại khí cụ này thường được sử dụng trong các trường hợp cần mở rộng cung hàm nhẹ hoặc trong giai đoạn chỉnh nha sớm ở trẻ em.

Một số đặc điểm của khí cụ tháo lắp:
- Dễ vệ sinh răng miệng
- Có thể tháo ra khi cần thiết
- Phù hợp với các trường hợp nong hàm mức độ nhẹ.
Tuy nhiên, hiệu quả của khí cụ này phụ thuộc nhiều vào việc đeo đúng thời gian theo hướng dẫn của bác sĩ.
Nong nhanh (RPE)
Nong nhanh khẩu cái, thường gọi là RPE, là một kỹ thuật nong hàm sử dụng khí cụ có vít nong ở trung tâm. Khi vít được vặn theo hướng dẫn, khí cụ sẽ tạo lực tách hai bên xương khẩu cái, giúp cung hàm trên mở rộng nhanh hơn.

Đặc điểm của phương pháp này:
- Tốc độ mở rộng hàm nhanh
- Thường áp dụng cho trẻ em và thanh thiếu niên
- Cần vặn vít nong theo chỉ định của bác sĩ.
Trong một số trường hợp, người bệnh có thể nhận thấy khoảng hở nhỏ giữa hai răng cửa trên trong giai đoạn nong hàm. Đây là phản ứng bình thường và thường được điều chỉnh lại trong quá trình niềng răng.
Nong chậm
Khác với nong nhanh, nong chậm sử dụng lực nhẹ hơn và mở rộng cung hàm từ từ theo thời gian. Phương pháp này thường được áp dụng khi cần điều chỉnh cung hàm ở mức độ vừa phải hoặc khi bác sĩ muốn kiểm soát lực tác động một cách nhẹ nhàng hơn.
Ưu điểm của nong chậm gồm:
- Lực tác động nhẹ và ổn định
- Người bệnh thường ít cảm thấy khó chịu hơn
- Phù hợp với một số kế hoạch chỉnh nha dài hạn
Việc lựa chọn loại khí cụ nong hàm phù hợp cần dựa trên đánh giá lâm sàng và kế hoạch điều trị tổng thể của bác sĩ chỉnh nha. Vì vậy, người bệnh nên thăm khám tại cơ sở nha khoa uy tín để được tư vấn phương án phù hợp với tình trạng răng miệng cụ thể.
Quy trình đeo nong hàm chuẩn nha khoa
Để đảm bảo hiệu quả điều trị và hạn chế các rủi ro không cần thiết, việc nong hàm cần được thực hiện theo quy trình chỉnh nha chuẩn và có sự theo dõi chặt chẽ của bác sĩ. Quy trình này thường bao gồm nhiều bước từ thăm khám ban đầu đến theo dõi tiến trình nong hàm.
Dưới đây là các bước cơ bản trong quy trình đeo nong hàm tại nha khoa.
Thăm khám – chụp phim
Trước khi chỉ định nong hàm, bác sĩ sẽ tiến hành khám tổng quát răng miệng và đánh giá tình trạng khớp cắn của người bệnh. Đây là bước quan trọng để xác định liệu cung hàm có cần mở rộng hay không.

Các phương pháp chẩn đoán thường được sử dụng gồm:
- Khám lâm sàng trong khoang miệng
- Chụp phim X-quang hoặc CT nha khoa
- Lấy dấu răng hoặc quét dấu răng kỹ thuật số.
Thông qua các dữ liệu này, bác sĩ sẽ phân tích độ rộng cung hàm, mức độ chen chúc răng và tương quan giữa hai hàm, từ đó xây dựng kế hoạch chỉnh nha phù hợp.
Lắp khí cụ
Sau khi kế hoạch điều trị được xác định, khí cụ nong hàm sẽ được thiết kế phù hợp với cấu trúc răng của người bệnh. Bác sĩ tiến hành lắp khí cụ vào răng hàm trên hoặc hàm dưới, tùy theo chỉ định điều trị.
Quá trình lắp khí cụ thường diễn ra trong thời gian ngắn và không cần can thiệp xâm lấn. Sau khi lắp xong, bác sĩ sẽ kiểm tra độ ổn định của khí cụ và hướng dẫn người bệnh làm quen với việc đeo nong hàm.
Hướng dẫn vặn nong
Đối với một số loại khí cụ, đặc biệt là khí cụ nong nhanh, người bệnh hoặc người chăm sóc sẽ cần vặn vít nong theo lịch hướng dẫn của bác sĩ.

Thông thường:
- Vít nong được vặn theo số vòng nhất định mỗi ngày
- Lực nong được điều chỉnh từ từ để đảm bảo an toàn cho xương hàm.
Việc vặn nong cần thực hiện đúng hướng dẫn để đảm bảo cung hàm mở rộng theo kế hoạch điều trị.
Tái khám định kỳ
Trong suốt quá trình nong hàm, người bệnh cần tái khám định kỳ theo lịch hẹn của bác sĩ chỉnh nha. Mục đích của các lần tái khám là:
- Theo dõi mức độ mở rộng của cung hàm
- Kiểm tra tình trạng răng và nướu
- Điều chỉnh khí cụ nếu cần thiết.
Việc tái khám đúng lịch giúp bác sĩ kiểm soát tiến trình điều trị và đảm bảo quá trình nong hàm diễn ra ổn định và phù hợp với kế hoạch chỉnh nha tổng thể.
Nong hàm trong bao lâu? Nong hàm bao lâu thì xong?
Thời gian nong hàm là một trong những vấn đề được nhiều người bệnh quan tâm khi bắt đầu điều trị chỉnh nha. Trên thực tế, thời gian nong hàm có thể khác nhau ở mỗi người, tùy thuộc vào độ tuổi, mức độ hẹp của cung hàm và loại khí cụ được sử dụng.
Thông thường, giai đoạn nong hàm diễn ra trong vài tháng đầu của kế hoạch chỉnh nha. Sau khi đạt được độ rộng cung hàm mong muốn, khí cụ có thể tiếp tục được giữ lại một thời gian để ổn định cấu trúc xương và hạn chế nguy cơ cung hàm thu hẹp trở lại.
Thời gian nong hàm trung bình
Thời gian nong hàm trung bình có thể khác nhau giữa trẻ em, thanh thiếu niên và người trưởng thành do sự khác biệt về độ phát triển và tính linh hoạt của xương hàm.
- Trẻ em: 1–3 tháng. Ở giai đoạn này, xương hàm vẫn đang phát triển nên quá trình mở rộng cung hàm thường diễn ra thuận lợi hơn.
- Thanh thiếu niên: 3–6 tháng: Xương hàm đã phát triển gần hoàn chỉnh nhưng vẫn còn khả năng đáp ứng với lực chỉnh nha tương đối tốt.
- Người lớn: có thể lâu hơn, tùy thuộc vào mức độ hẹp của cung hàm và phương pháp điều trị. Trong một số trường hợp, bác sĩ có thể cân nhắc thêm các phương pháp hỗ trợ để đạt hiệu quả điều trị phù hợp.
Sau giai đoạn nong hàm, người bệnh thường cần duy trì khí cụ thêm vài tháng để giúp xương hàm ổn định trước khi tiếp tục các bước chỉnh nha tiếp theo.

Các yếu tố ảnh hưởng thời gian nong hàm
Thời gian nong hàm không cố định mà phụ thuộc vào nhiều yếu tố liên quan đến đặc điểm sinh học và kế hoạch điều trị của từng người bệnh
- Độ tuổi: Ở trẻ em và thanh thiếu niên, xương hàm có tính linh hoạt cao nên thường nong hàm nhanh hơn so với người trưởng thành.
- Mức độ hẹp hàm: Cung hàm càng hẹp thì cần nhiều thời gian hơn để mở rộng đạt đến kích thước phù hợp.
- Loại khí cụ: Các phương pháp như nong nhanh và nong chậm có tốc độ mở rộng cung hàm khác nhau.
- Tuân thủ đeo khí cụ: Việc đeo khí cụ đúng thời gian, vặn nong theo hướng dẫn và tái khám định kỳ sẽ giúp quá trình nong hàm diễn ra đúng kế hoạch.
Để biết chính xác nong hàm trong bao lâu, người bệnh cần được thăm khám và đánh giá cụ thể bởi bác sĩ chỉnh nha. Điều này giúp xây dựng kế hoạch điều trị phù hợp với tình trạng răng miệng và đảm bảo hiệu quả lâu dài.
Nong hàm có nguy hiểm không?
Nong hàm là một kỹ thuật chỉnh nha đã được áp dụng rộng rãi trong điều trị các vấn đề về cung hàm hẹp và khớp cắn. Khi được chỉ định đúng và thực hiện bởi bác sĩ chỉnh nha có chuyên môn, nong hàm nhìn chung là phương pháp an toàn và có thể hỗ trợ hiệu quả cho quá trình niềng răng.
Tuy nhiên, giống như nhiều can thiệp nha khoa khác, người bệnh có thể gặp một số cảm giác khó chịu trong giai đoạn đầu hoặc các vấn đề phát sinh nếu việc điều trị không được theo dõi đúng cách. Vì vậy, việc hiểu rõ những phản ứng thường gặp cũng như các rủi ro có thể xảy ra sẽ giúp người bệnh chủ động hơn trong quá trình điều trị.
Những khó chịu thường gặp khi đeo nong hàm
Trong những ngày đầu sau khi lắp khí cụ nong hàm, người bệnh có thể cảm thấy một số thay đổi trong khoang miệng. Đây là phản ứng khá phổ biến khi cung hàm bắt đầu thích nghi với lực nong.
- Căng tức vùng hàm: Lực tác động từ khí cụ nong có thể khiến vùng hàm hoặc răng hàm cảm thấy căng nhẹ, đặc biệt trong vài ngày đầu hoặc sau mỗi lần vặn vít nong. Cảm giác này thường giảm dần khi cơ thể thích nghi với khí cụ.
- Khó nói chuyện thời gian đầu: Do khí cụ nằm ở vùng khẩu cái hoặc gần răng hàm, người bệnh có thể cảm thấy hơi vướng khi phát âm. Sau một thời gian ngắn, lưỡi sẽ quen dần với sự hiện diện của khí cụ và việc nói chuyện sẽ trở lại bình thường.
- Thức ăn dễ mắc: Khí cụ nong hàm có nhiều chi tiết nhỏ nên thức ăn có thể dễ mắc lại trong quá trình ăn uống. Vì vậy, người bệnh cần chú ý vệ sinh răng miệng kỹ hơn để hạn chế mảng bám và vi khuẩn.

Thông thường, sau khoảng 3 – 7 ngày, phần lớn người bệnh sẽ thích nghi với khí cụ nong hàm và các cảm giác khó chịu ban đầu sẽ giảm dần.
Các rủi ro có thể xảy ra nếu nong hàm sai cách
Trong trường hợp kế hoạch điều trị không phù hợp hoặc quá trình nong hàm không được theo dõi đầy đủ, một số vấn đề có thể xảy ra. Tuy nhiên, những tình huống này tương đối hiếm khi người bệnh điều trị tại cơ sở nha khoa uy tín.
- Nong quá mức: Nếu lực nong không được kiểm soát tốt, cung hàm có thể mở rộng quá mức so với kế hoạch điều trị, dẫn đến thay đổi khớp cắn.
- Viêm nướu: Vệ sinh răng miệng không đúng cách khi đeo khí cụ có thể làm tăng nguy cơ tích tụ mảng bám và gây viêm nướu.
- Lệch khớp cắn: Việc điều chỉnh lực nong không phù hợp có thể ảnh hưởng đến tương quan giữa hai hàm.
- Tiêu xương: Đây là biến chứng ít gặp và thường liên quan đến kỹ thuật điều trị hoặc các yếu tố sinh học của từng người bệnh.
Nhìn chung, để đảm bảo quá trình nong hàm diễn ra an toàn, người bệnh nên thăm khám tại nha khoa có bác sĩ chỉnh nha chuyên môn, đồng thời tuân thủ hướng dẫn điều trị và tái khám định kỳ theo lịch hẹn. Điều này giúp bác sĩ theo dõi tiến trình nong hàm và điều chỉnh kịp thời khi cần thiết.
Hướng dẫn chăm sóc khi đeo nong hàm
Trong thời gian đeo khí cụ nong hàm, việc chăm sóc răng miệng đúng cách đóng vai trò quan trọng để đảm bảo quá trình điều trị diễn ra thuận lợi. Do khí cụ được gắn hoặc đặt trong khoang miệng trong thời gian dài, người bệnh cần chú ý đến chế độ ăn uống và vệ sinh răng miệng để hạn chế tình trạng thức ăn mắc kẹt, mảng bám hoặc kích ứng nướu.
Cách ăn uống khi đang nong hàm
Trong giai đoạn đầu đeo nong hàm, vùng răng hàm và cung hàm có thể hơi nhạy cảm do lực tác động của khí cụ. Vì vậy, người bệnh nên lựa chọn thực phẩm phù hợp để giảm cảm giác khó chịu và tránh làm ảnh hưởng đến khí cụ.

Một số lưu ý trong ăn uống gồm:
- Tránh đồ cứng như đá lạnh, kẹo cứng, xương, các loại hạt cứng. Những thực phẩm này có thể tạo lực lớn lên khí cụ, làm lỏng hoặc lệch khí cụ nong hàm.
- Tránh đồ dính như kẹo dẻo, Caramel, bánh kẹo quá dính. Các loại thực phẩm này dễ bám vào khí cụ và khó làm sạch.
- Ưu tiên thức ăn mềm như cháo, súp, cơm mềm, thực phẩm được cắt nhỏ. Việc lựa chọn thức ăn mềm trong những ngày đầu có thể giúp người bệnh dễ thích nghi hơn với khí cụ nong hàm.
Vệ sinh răng miệng khi đeo nong hàm
Khi đeo nong hàm, các vị trí xung quanh khí cụ có thể trở thành nơi dễ tích tụ thức ăn và mảng bám. Do đó, người bệnh cần chú ý vệ sinh răng miệng kỹ hơn so với bình thường.
- Sử dụng bàn chải kẽ: Bàn chải kẽ giúp làm sạch những khu vực nhỏ quanh khí cụ và kẽ răng, nơi bàn chải thông thường khó tiếp cận.
- Sử dụng máy tăm nước: Máy tăm nước có thể hỗ trợ loại bỏ thức ăn mắc lại quanh khí cụ và dưới cung răng một cách hiệu quả.
- Súc miệng: Súc miệng bằng nước hoặc dung dịch súc miệng phù hợp giúp giảm vi khuẩn và giữ khoang miệng sạch hơn.
Ngoài ra, người bệnh nên đánh răng ít nhất hai lần mỗi ngày và tái khám đúng lịch hẹn để bác sĩ kiểm tra tình trạng khí cụ cũng như sức khỏe răng miệng trong suốt quá trình nong hàm.
Câu hỏi thường gặp
Đeo nong hàm có đau không?
Khi mới lắp khí cụ nong hàm hoặc sau mỗi lần vặn vít nong, người bệnh có thể cảm thấy căng tức nhẹ ở vùng răng hàm hoặc cung hàm. Đây là phản ứng bình thường do lực nong đang tác động lên cấu trúc xương và răng.
Cảm giác này thường xuất hiện rõ trong vài ngày đầu và giảm dần khi cơ thể thích nghi với khí cụ. Trong đa số trường hợp, người bệnh chỉ cảm thấy khó chịu nhẹ chứ không đau nhiều, và có thể sinh hoạt bình thường sau một thời gian ngắn.
Nếu xuất hiện đau kéo dài hoặc khí cụ gây cọ xát vào niêm mạc miệng, người bệnh nên liên hệ với bác sĩ chỉnh nha để được kiểm tra và điều chỉnh kịp thời.
Sau nong hàm có cần duy trì không?
Sau khi đạt được độ rộng cung hàm mong muốn, khí cụ nong hàm thường không được tháo ngay mà cần duy trì thêm một thời gian theo chỉ định của bác sĩ.
Nong hàm có làm mặt to ra không?
Nong hàm chủ yếu tác động đến chiều rộng của cung răng và xương hàm, vì vậy sự thay đổi về hình dạng khuôn mặt thường không quá rõ rệt. Nong hàm không làm khuôn mặt to ra theo nghĩa tăng kích thước tổng thể của khuôn mặt. Mức độ thay đổi nếu có thường ở mức nhẹ và phụ thuộc vào cấu trúc xương hàm của từng người bệnh.
Người lớn có nong hàm được không?
Người lớn vẫn có thể thực hiện nong hàm, tuy nhiên quá trình này thường phức tạp hơn so với trẻ em và thanh thiếu niên. Nguyên nhân là do xương hàm ở người trưởng thành đã phát triển hoàn chỉnh và kém linh hoạt hơn.
Nong hàm có phải nhổ răng không?
Nong hàm thường được áp dụng với mục tiêu tạo thêm khoảng trống trên cung hàm, do đó trong một số trường hợp có thể giúp giảm nhu cầu nhổ răng khi niềng.
Nong hàm xong răng có chạy lại không?
Sau khi nong hàm, nếu không có giai đoạn duy trì phù hợp, cung hàm có thể có xu hướng thu hẹp trở lại theo thời gian. Vì vậy, việc duy trì sau nong hàm là bước quan trọng trong kế hoạch chỉnh nha.
Có thể nong hàm dưới được không?
Về mặt kỹ thuật, có thể mở rộng cung hàm dưới trong một số trường hợp nhất định. Tuy nhiên, so với hàm trên, việc nong hàm dưới thường khó hơn do cấu trúc xương hàm dưới đặc và ít linh hoạt hơn.
Nong hàm là một kỹ thuật quan trọng trong chỉnh nha, giúp mở rộng cung hàm và tạo khoảng trống để răng sắp xếp đúng vị trí. Trong những trường hợp cung hàm hẹp, răng chen chúc hoặc khớp cắn chưa cân đối, nong hàm có thể được bác sĩ chỉ định như một bước hỗ trợ trước hoặc trong quá trình niềng răng.
Thời gian nong hàm và loại khí cụ sử dụng sẽ phụ thuộc vào nhiều yếu tố như độ tuổi, cấu trúc xương hàm và kế hoạch điều trị cụ thể của từng người bệnh. Khi được thực hiện đúng chỉ định và theo dõi bởi bác sĩ chỉnh nha, phương pháp này có thể góp phần cải thiện khớp cắn, hỗ trợ sắp xếp răng hiệu quả và giúp quá trình chỉnh nha đạt kết quả ổn định hơn.
Để biết có cần nong hàm hay không, người bệnh nên thăm khám tại cơ sở nha khoa uy tín để được đánh giá tình trạng răng miệng và tư vấn kế hoạch điều trị phù hợp. Tại Platinum Dental Group, đội ngũ bác sĩ sẽ thăm khám kỹ lưỡng, phân tích cấu trúc cung hàm và xây dựng phác đồ chỉnh nha phù hợp nhằm đảm bảo hiệu quả điều trị lâu dài cho từng khách hàng.
PLATINUM DENTAL GROUP
Platinum Dental Central:
Địa chỉ: 127 Nguyễn Cư Trinh, Phường Cầu Ông Lãnh, TP. HCM
Hotline: 0967 797 799
Platinum Dental Thảo Điền:
Địa chỉ: 1H Đường số 10, Phường An Khánh, TP. HCM
Hotline: 096 71 78 799
Email: info@platinumdentalvietnam.com
Website: https://platinumdentalvietnam.com/
Instagram: https://www.instagram.com/platinumdental.vietnam/
Facebook: facebook.com/platinumdentalvn

English