Hình ảnh trước và sau khi niềng răng tại Platinum Dental Group
Một nụ cười đẹp không chỉ giúp gương mặt hài hòa hơn mà còn mang lại sự tự tin trong giao tiếp và cuộc sống. Với sự phát triển của công nghệ chỉnh nha hiện đại, niềng răng ngày nay không chỉ cải thiện thẩm mỹ mà còn giúp khớp cắn chuẩn, bảo vệ sức khỏe răng miệng lâu dài.
Bộ sưu tập hình ảnh niềng răng dưới đây tại Platinum Dental Group sẽ giúp bạn hình dung rõ sự thay đổi của khách hàng trước và sau khi điều trị. Từ những trường hợp răng hô, móm, khấp khểnh đến răng thưa hay lệch khớp cắn, tất cả đều có thể được cải thiện đáng kể sau quá trình chỉnh nha đúng phác đồ.
Nội dung bài viết
Tổng hợp hình ảnh trước và sau khi niềng răng theo từng tình trạng phổ biến
Niềng răng là giải pháp chỉnh nha hiệu quả giúp cải thiện nhiều tình trạng sai lệch khớp cắn như hô, móm, khấp khểnh, răng thưa, cắn hở, cắn sâu, …. Mỗi trường hợp sẽ có mức độ sai lệch và phác đồ điều trị riêng.
Dưới đây là tổng hợp hình ảnh niềng răng trước và sau thực tế của khách hàng tại Platinum Dental Group, được phân loại theo từng vấn đề phổ biến. Những hình ảnh này sẽ giúp bạn dễ dàng hình dung quá trình thay đổi của răng và khuôn mặt sau khi chỉnh nha, từ đó có cái nhìn rõ ràng hơn về hiệu quả của phương pháp niềng răng tại Platinum Dental.
Hình ảnh niềng răng hô (vẩu)


Thời gian điều trị: 2 năm
Trước điều trị, Bích Phượng gặp tình trạng hàm trên hô, môi khó khép kín ở tư thế nghỉ và cười hở nướu nhiều, khiến tổng thể khuôn mặt kém hài hòa và ảnh hưởng đến sự tự tin khi giao tiếp. Sau khi lựa chọn niềng răng trong suốt Invisalign tại Platinum Dental Group, các răng dần được sắp xếp lại, cung hàm điều chỉnh đúng vị trí và khớp cắn cải thiện rõ rệt. Tình trạng hô và cười hở nướu giảm đáng kể, giúp góc nghiêng gương mặt trở nên thanh thoát, tự nhiên hơn. Đồng thời, chức năng ăn nhai cũng được tối ưu, góp phần nâng cao sức khỏe răng miệng lâu dài.
Hình ảnh niềng răng móm (khớp cắn ngược)

Thời gian điều trị: 36 tháng
P.M (24 tuổi) gặp tình trạng móm do khớp cắn ngược khá nặng, hàm trên nằm lọt vào trong hàm dưới, gây ảnh hưởng rõ rệt đến cả thẩm mỹ khuôn mặt lẫn chức năng ăn nhai. Tình trạng này kéo dài còn dẫn đến các cơn đau khớp.
Bác sĩ tại Platinum Dental Group đã chỉ định niềng răng mắc cài sứ hai hàm nhằm điều chỉnh lại tương quan khớp cắn và đưa răng về đúng vị trí sinh lý. Sau quá trình điều trị, hàm trên đã phủ ngoài hàm dưới, khớp cắn ngược được cải thiện rõ rệt. Các răng được sắp xếp đều đặn hơn trên cung hàm, đồng thời cấu trúc khuôn miệng và đường nét gương mặt cũng trở nên hài hòa hơn. So với thời điểm ban đầu, nụ cười của P.M sau 3 năm niềng răng đã có sự thay đổi tích cực, thể hiện rõ hiệu quả của quá trình chỉnh nha.
Hình ảnh niềng răng khấp khểnh, chen chúc

Thời gian điều trị: 36 tháng
Trước khi bắt đầu chỉnh nha, Thuỳ Phương gặp tình trạng răng cửa xòe nhẹ giống “cánh bướm”, hàm răng có xu hướng đưa ra ngoài, khấp khểnh, chen chúc khiến tổng thể nụ cười kém hài hòa và thiếu tự tin khi giao tiếp.
Sau khi thăm khám, bác sĩ đã xây dựng phác đồ niềng răng phù hợp, tập trung điều chỉnh trục răng cửa và đưa hàm về tương quan cân đối hơn. Trong suốt 36 tháng điều trị, quá trình niềng diễn ra khá nhẹ nhàng, chỉ có cảm giác ê nhẹ trong giai đoạn đầu và hoàn toàn trong mức chịu đựng.
Kết quả sau chỉnh nha, hàm răng của Thuỳ Phương trở nên đều đẹp, cân đối và hài hòa hơn với khuôn mặt, giúp bạn tự tin hơn khi cười và giao tiếp hằng ngày. Đến nay, sau 5 năm tháo niềng, răng vẫn giữ được sự ổn định tốt, khớp cắn duy trì vững chắc.
Hình ảnh niềng răng thưa

Thời gian điều trị: 3 năm
Chị Thúy Hường đã hoàn thành hành trình chỉnh nha thành công tại Platinum Dental Group với sự cải thiện rõ rệt cả về khớp cắn lẫn thẩm mỹ nụ cười. Trước điều trị, răng của chị mọc lệch lạc, cung răng chưa đều và xuất hiện kẽ hở ở vùng răng cửa hàm dưới, khiến tổng thể nụ cười chưa hài hòa. Sau quá trình niềng răng theo đúng phác đồ cá nhân hóa, các răng đã được sắp xếp thẳng hàng, kẽ hở được đóng kín, cung răng trở nên tròn trịa hơn và khớp cắn được thiết lập chuẩn. Nhờ đó, không chỉ chức năng ăn nhai được cải thiện mà nụ cười của chị Thúy Hường cũng trở nên tự nhiên, cân đối và thẩm mỹ hơn rõ rệt.
Hình ảnh niềng răng lệch khớp cắn

Thời gian điều trị: 24 tháng
Hương Ly là một trường hợp sai lệch khớp cắn phức tạp khi gặp tình trạng răng xô lệch, khấp khểnh nặng kèm khớp cắn ngược do nguyên nhân xương hàm. Tại Platinum Dental Group, các bác sĩ đã xây dựng phác đồ điều trị toàn diện, kết hợp giữa phẫu thuật chỉnh hình xương hàm và chỉnh nha để đưa hai hàm về đúng tương quan. Sau hơn 2 năm kiên trì theo sát quá trình điều trị, hàm răng của Hương Ly đã được sắp xếp đều đặn, khớp cắn được cải thiện rõ rệt và khuôn mặt trở nên cân đối hơn. Sự thay đổi này không chỉ nâng cao chức năng ăn nhai mà còn giúp Hương Ly tự tin hơn với nụ cười rạng rỡ sau khi hoàn tất hành trình chỉnh nha tại Platinum.
Hình niềng răng qua từng giai đoạn thay đổi
Trong quá trình niềng răng, sự thay đổi của hàm răng không diễn ra ngay lập tức mà sẽ tiến triển theo từng giai đoạn. Mỗi giai đoạn đều có mục tiêu điều trị riêng nhằm giúp răng dịch chuyển đúng hướng và đạt kết quả tối ưu.

Ở thời điểm ban đầu, chị Hoài Thanh (1983) gặp các vấn đề như cắn sâu, hàm hẹp và răng chìa hô, khiến khớp cắn chưa chuẩn, ảnh hưởng đến cả thẩm mỹ nụ cười lẫn chức năng ăn nhai. Sau quá trình tìm hiểu kỹ lưỡng, chị đã quyết định lựa chọn Platinum Dental Group để bắt đầu hành trình chỉnh nha.
Dưới đây là hành trình thay đổi của chị qua từng giai đoạn niềng răng. Qua từng mốc thời gian, có thể dễ dàng nhận thấy sự dịch chuyển rõ rệt của răng và cung hàm – từ giai đoạn làm quen với khí cụ chỉnh nha cho đến khi hoàn tất, mang lại nụ cười cân đối và hài hòa hơn.
Giai đoạn 1 (0 – 3 tháng): Làm quen khí cụ
Trong giai đoạn đầu của quá trình niềng răng, bác sĩ tiến hành gắn mắc cài và dây cung để bắt đầu tạo lực dịch chuyển răng. Với trường hợp của chị Hoài Thanh, đây là thời điểm cơ thể và khoang miệng làm quen với khí cụ chỉnh nha.

Trong khoảng 1-2 tuần đầu, chị có cảm giác hơi ê nhẹ khi ăn nhai và cần thời gian để thích nghi với mắc cài. Tuy nhiên, cảm giác này giảm dần sau một thời gian ngắn. Đến cuối giai đoạn 3 tháng, các răng bắt đầu có dấu hiệu dịch chuyển nhẹ, cung hàm được định hình bước đầu và tạo nền tảng cho các giai đoạn chỉnh nha tiếp theo.
Giai đoạn 2 (3 – 9 tháng): Răng di chuyển rõ rệt
Từ tháng thứ 3 đến tháng thứ 9 là giai đoạn các răng bắt đầu thay đổi rõ rệt trên cung hàm. Dưới lực kéo ổn định từ dây cung và mắc cài, các răng lệch, chen chúc hoặc sai vị trí dần được sắp xếp lại. Ở giai đoạn này trong ca niềng răng của chị Hoài Thanh, sự thay đổi của hàm răng trở nên dễ nhận thấy hơn khi so sánh với hình ảnh ban đầu.
Không chỉ các răng dần thẳng hàng và cung hàm đều đặn hơn, mà tình trạng khớp cắn sâu cũng đang được cải thiện rõ rệt, khi hàm trên được nâng lên, giúp giảm độ phủ quá mức của răng cửa trên lên răng dưới. Nhờ đó, nụ cười trở nên hài hòa hơn và chức năng ăn nhai cũng được cải thiện đáng kể.

Giai đoạn 3 (9 – 18 tháng): Điều chỉnh khớp cắn
Sau khi răng đã được sắp xếp tương đối đều trên cung hàm, bác sĩ sẽ tập trung vào việc điều chỉnh khớp cắn để hai hàm ăn khớp chính xác với nhau. Trong giai đoạn này, bác sĩ có thể sử dụng thêm các khí cụ hỗ trợ như thun liên hàm để tinh chỉnh vị trí răng. Đối với trường hợp của chị Hoài Thanh, khớp cắn dần được cải thiện rõ rệt, giúp việc ăn nhai trở nên ổn định hơn đồng thời mang lại sự hài hòa cho tổng thể khuôn mặt.

Giai đoạn 4 (Hoàn tất): Tháo niềng & đeo hàm duy trì
Khi răng đã đạt vị trí mong muốn và khớp cắn ổn định, bác sĩ sẽ tiến hành tháo niềng. Đây là thời điểm đánh dấu sự hoàn tất của quá trình chỉnh nha. Sau khi tháo niềng, chị Hoài Thanh được hướng dẫn đeo hàm duy trì để giữ cho răng ổn định ở vị trí mới. Việc đeo hàm duy trì đúng theo chỉ định của bác sĩ đóng vai trò quan trọng giúp hạn chế tình trạng răng dịch chuyển trở lại và duy trì kết quả niềng răng lâu dài.

Hình ảnh niềng răng theo từng phương pháp chỉnh nha phổ biến
Hiện nay, niềng răng có nhiều phương pháp khác nhau nhằm đáp ứng đa dạng nhu cầu về thẩm mỹ, hiệu quả điều trị cũng như điều kiện tài chính của từng khách hàng. Mỗi kỹ thuật chỉnh nha sẽ có cơ chế hoạt động, ưu điểm và hạn chế riêng, phù hợp với từng tình trạng răng như hô, móm, răng thưa hay khấp khểnh.
Dưới đây là hình ảnh niềng răng trước và sau thực tế theo từng phương pháp chỉnh nha phổ biến tại Platinum Dental Group. Những hình ảnh này sẽ giúp bạn dễ dàng hình dung hiệu quả điều trị cũng như lựa chọn phương pháp niềng răng phù hợp với nhu cầu của mình.
Hình ảnh niềng răng mắc cài kim loại
Niềng răng mắc cài kim loại là phương pháp chỉnh nha truyền thống được sử dụng phổ biến trong nhiều năm qua. Hệ thống mắc cài được làm từ hợp kim không gỉ, gắn cố định trên bề mặt răng và kết hợp với dây cung để tạo lực kéo giúp răng dịch chuyển dần về vị trí mong muốn trên cung hàm.
Phương pháp này được đánh giá cao về hiệu quả điều trị và phù hợp với nhiều tình trạng răng sai lệch như răng hô, móm, khấp khểnh, răng thưa hay sai khớp cắn.
Ưu điểm
- Hiệu quả chỉnh nha cao, có thể áp dụng cho nhiều trường hợp răng sai lệch phức tạp
- Lực kéo ổn định giúp răng di chuyển chính xác theo phác đồ điều trị
- Chi phí hợp lý hơn so với nhiều phương pháp niềng răng thẩm mỹ khác
Nhược điểm
- Tính thẩm mỹ không cao vì mắc cài kim loại dễ nhìn thấy khi giao tiếp
- Trong thời gian đầu có thể gây cảm giác cộm hoặc vướng nhẹ trong khoang miệng
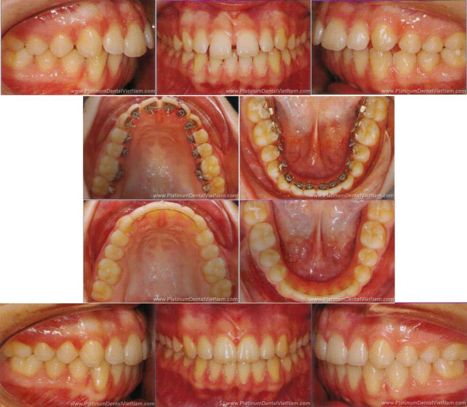
Đây là trường hợp bé gái 14 tuổi đến thăm khám tại Platinum Dental Group với tình trạng răng xô lệch và sai khớp cắn, khiến cung hàm thiếu cân đối và ảnh hưởng đến thẩm mỹ nụ cười. Sau khi thăm khám và phân tích khớp cắn, bác sĩ đã chỉ định niềng răng mắc cài kim loại hai hàm nhằm sắp xếp lại vị trí các răng và điều chỉnh khớp cắn.

Sau 12 tháng điều trị, tình trạng răng xô lệch đã được cải thiện khoảng 80%. Cung hàm dần được định hình lại, các răng lệch bắt đầu sắp xếp thẳng hàng và các sai khớp cắn đang được điều chỉnh để đưa răng về đúng vị trí trên cung hàm. Mặc dù quá trình chỉnh nha chưa kết thúc, nhưng kết quả hiện tại đã cho thấy sự thay đổi rõ rệt so với thời điểm ban đầu.
Hình ảnh niềng răng mắc cài sứ
Niềng răng mắc cài sứ là phương pháp chỉnh nha sử dụng hệ thống mắc cài làm từ vật liệu sứ có màu gần giống răng thật, kết hợp với dây cung để tạo lực kéo giúp răng dịch chuyển dần về đúng vị trí. Phương pháp này vừa đảm bảo hiệu quả điều trị, vừa mang lại tính thẩm mỹ cao trong suốt quá trình niềng răng.
Ưu điểm
- Tính thẩm mỹ cao hơn so với mắc cài kim loại
- Hiệu quả chỉnh nha tốt với nhiều tình trạng răng sai lệch
- Giúp người niềng tự tin hơn trong giao tiếp hằng ngày
Nhược điểm
- Chi phí cao hơn mắc cài kim loại
- Mắc cài sứ có thể dễ bị sứt mẻ nếu chịu lực mạnh

Trường hợp chỉnh nha bằng mắc cài sứ này được thực hiện tại Platinum Dental Group cho tình trạng răng thưa kẽ ở cả hai hàm kèm sai khớp cắn. Ngay từ đầu, bác sĩ đã xây dựng phác đồ điều trị bằng niềng răng mắc cài sứ nhằm vừa cải thiện chức năng khớp cắn, vừa đảm bảo yếu tố thẩm mỹ trong suốt quá trình niềng. Sau 20 tháng điều trị (chưa kết thúc), các khoảng thưa đã được lấp đầy khoảng 80%, khớp cắn được cải thiện rõ rệt và cung hàm dần được định hình lại cân đối hơn. Bên cạnh hiệu quả chỉnh nha, mắc cài sứ với màu sắc tiệp với răng thật cũng giúp khách hàng duy trì sự tự tin trong giao tiếp hằng ngày, ngay cả khi đang trong quá trình điều trị.
Hình ảnh niềng răng trong suốt (khay Invisalign)
Niềng răng trong suốt Invisalign là phương pháp chỉnh nha hiện đại sử dụng các khay niềng bằng nhựa trong suốt được thiết kế riêng cho từng giai đoạn dịch chuyển răng. Các khay ôm sát cung hàm, tạo lực nhẹ nhàng giúp răng di chuyển dần về đúng vị trí mà vẫn đảm bảo tính thẩm mỹ cao trong suốt quá trình điều trị.
Ưu điểm
- Tính thẩm mỹ cao, khó nhận ra khi đeo
- Có thể tháo lắp dễ dàng khi ăn uống và vệ sinh răng miệng
- Mang lại cảm giác thoải mái, ít gây kích ứng mô mềm
Nhược điểm
- Chi phí cao hơn so với niềng răng mắc cài
- Cần tuân thủ thời gian đeo khay tối thiểu 20-22 giờ mỗi ngày

Hành trình chỉnh nha tại Platinum Dental Group cho thấy sự cải thiện rõ rệt qua từng giai đoạn điều trị đối với tình trạng răng thưa kẽ và sai khớp cắn. Ở thời điểm ban đầu (08/2023), răng cửa xuất hiện khoảng thưa lớn, răng mọc lệch và khớp cắn chưa chuẩn, ảnh hưởng đến thẩm mỹ nụ cười.
Trong quá trình điều trị (10/2024), khách hàng được áp dụng niềng răng bằng khay trong suốt, giúp các răng dần dịch chuyển về đúng vị trí, khoảng thưa được thu hẹp và khớp cắn từng bước cải thiện. Đến giai đoạn gần hoàn thiện (06/2025), răng đã được sắp xếp đều đặn hơn, kẽ thưa gần như đóng kín và tương quan hai hàm trở nên hài hòa.
Hình ảnh niềng răng mặt trong (lingual)
Niềng răng mặt trong (Lingual braces) là phương pháp chỉnh nha trong đó hệ thống mắc cài được gắn ở mặt trong của răng, thay vì mặt ngoài như niềng răng truyền thống. Nhờ vị trí này, mắc cài gần như được “ẩn” hoàn toàn khi giao tiếp, giúp đảm bảo tính thẩm mỹ trong suốt quá trình niềng răng.
Phương pháp này đặc biệt phù hợp với những người thường xuyên giao tiếp, làm việc trong môi trường cần ngoại hình chuyên nghiệp nhưng vẫn muốn cải thiện tình trạng răng sai lệch.
Ưu điểm:
- Mắc cài được gắn ở mặt trong nên khó nhận thấy khi cười hoặc nói chuyện
- Hiệu quả chỉnh nha tương tự các phương pháp mắc cài truyền thống
- Giúp người niềng răng tự tin hơn trong giao tiếp
Nhược điểm:
- Chi phí điều trị cao hơn so với niềng răng mắc cài thông thường
- Thời gian đầu có thể gây vướng lưỡi hoặc hơi khó phát âm
- Yêu cầu bác sĩ có tay nghề và kinh nghiệm chỉnh nha cao
Đây là trường hợp khách hàng lựa chọn niềng răng mặt trong để đảm bảo tính thẩm mỹ trong suốt quá trình điều trị. Trước khi niềng, khách hàng gặp tình trạng răng xô lệch nhẹ và cung hàm chưa đều, khiến nụ cười chưa thật sự hài hòa. Sau khi thăm khám và lập kế hoạch điều trị, bác sĩ đã tiến hành gắn hệ thống mắc cài ở mặt trong của răng để tạo lực kéo dịch chuyển răng theo đúng phác đồ chỉnh nha.

Sau một thời gian điều trị, các răng đã bắt đầu được sắp xếp thẳng hàng hơn trên cung hàm, tình trạng lệch lạc được cải thiện rõ rệt. Nhờ mắc cài được đặt ở mặt trong nên trong suốt quá trình niềng răng, người đối diện gần như không nhận ra khách hàng đang chỉnh nha, giúp khách hàng tự tin hơn trong sinh hoạt và giao tiếp hằng ngày.
Qua những hình ảnh niềng răng trước và sau thực tế, có thể thấy rõ sự thay đổi tích cực của răng và khuôn mặt sau quá trình chỉnh nha đúng phác đồ. Nếu bạn đang gặp các vấn đề như răng hô, móm, khấp khểnh hay răng thưa, việc thăm khám sớm sẽ giúp xác định phương án điều trị phù hợp. Tại Platinum Dental Group, mỗi khách hàng đều được bác sĩ chuyên khoa trực tiếp thăm khám, xây dựng kế hoạch chỉnh nha cá nhân hóa nhằm mang lại nụ cười cân đối, tự nhiên và bền vững theo thời gian. Các bạn hãy liên hệ ngay với Platinum Dental Group để được tư vấn chi tiết và bắt đầu hành trình cải thiện nụ cười của mình nhé!

English