Khớp cắn ngược ở trẻ nhỏ là gì? Dấu hiệu nhận biết và cách chỉnh khớp cắn ngược cho bé hiệu quả
Khớp cắn ngược ở trẻ nhỏ là một dạng sai lệch khớp cắn phức tạp xuất hiện ngay ở bộ răng sữa và thời kỳ thay răng vĩnh viễn. Nếu không điều trị kịp thời, khớp cắn ngược có thể ảnh hưởng đến sự phát triển xương hàm, thẩm mỹ khuôn mặt, khả năng ăn nhai và cả tâm lý của trẻ khi trưởng thành. Bài viết dưới đây, Platinum Dental Group sẽ giúp phụ huynh hiểu rõ khớp cắn ngược là gì, dấu hiệu nhận biết và các phương pháp chỉnh khớp cắn ngược cho bé hiệu quả nhất hiện nay.
Nội dung bài viết
- 1 Khớp cắn ngược ở trẻ nhỏ là gì?
- 2 Nguyên nhân khiến trẻ bị khớp cắn ngược
- 3 Dấu hiệu nhận biết khớp cắn ngược ở trẻ nhỏ
- 4 Khớp cắn ngược ở trẻ có nguy hiểm không?
- 5 Thời điểm vàng chỉnh khớp cắn ngược cho bé
- 6 Các phương pháp chỉnh khớp cắn ngược cho bé hiện nay
- 7 Quy trình chỉnh khớp cắn ngược cho bé diễn ra như thế nào?
- 8 Chi phí chỉnh khớp cắn ngược cho trẻ em khoảng bao nhiêu?
- 9 Cách phòng ngừa khớp cắn ngược ở trẻ nhỏ
- 10 Câu hỏi thường gặp
- 10.1 Khớp cắn ngược ở trẻ có tự hết không?
- 10.2 Chỉnh khớp cắn ngược cho bé có đau không?
- 10.3 Thời gian chỉnh khớp cắn ngược mất bao lâu?
- 10.4 Bé đeo khí cụ chỉnh nha có ảnh hưởng ăn uống không?
- 10.5 Sau khi chỉnh khớp cắn ngược có bị tái phát không?
- 10.6 Người trưởng thành bị hàm móm có cần phẫu thuật hàm không?
- 10.7 Phẫu thuật hàm móm cho người trưởng thành có cần niềng răng trước không?
Khớp cắn ngược ở trẻ nhỏ là gì?
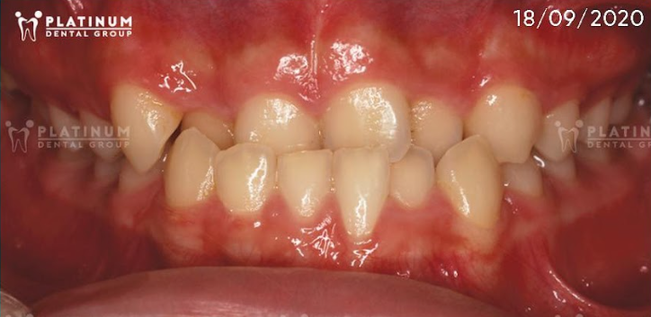
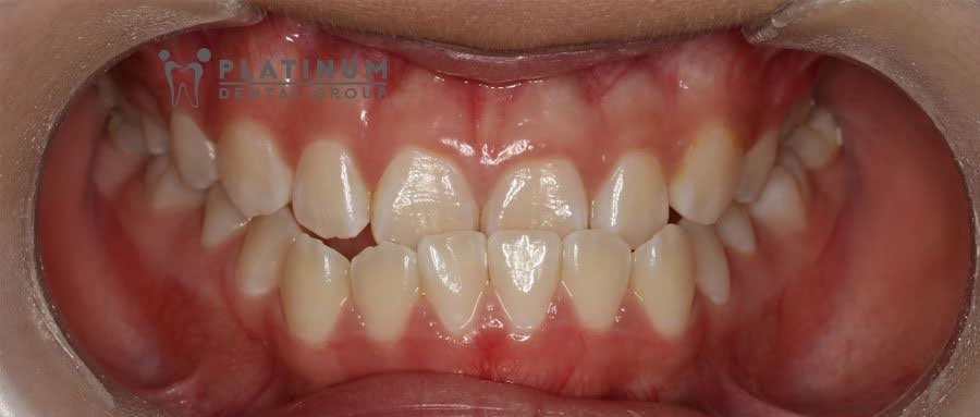
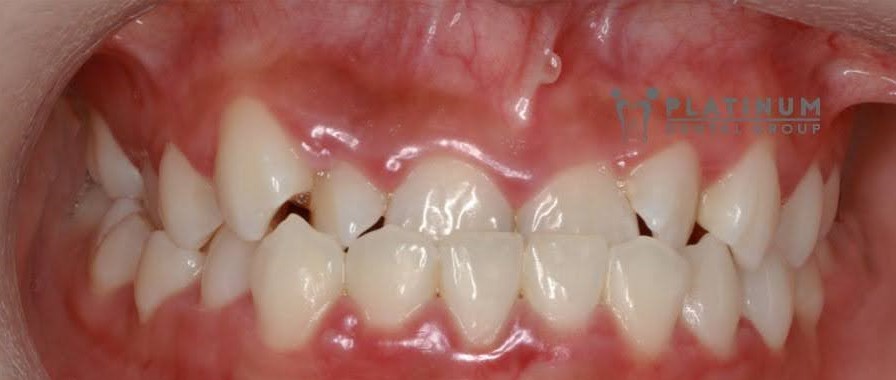
Khớp cắn ngược (underbite) là tình trạng sai lệch khớp cắn khi răng hàm dưới nằm phía ngoài hoặc đưa ra trước răng hàm trên khi trẻ ngậm miệng lại. Đây là sự đảo ngược tương quan khớp cắn so với trạng thái sinh lý bình thường của hai hàm.
Ở trẻ có khớp cắn chuẩn, răng cửa hàm trên sẽ phủ nhẹ lên răng cửa hàm dưới, tạo nên sự ăn khớp hài hòa giữa hai cung hàm. Tuy nhiên, khi bị khớp cắn ngược, răng hàm dưới lại nằm phía trước răng hàm trên, khiến khuôn mặt có xu hướng cằm nhô và môi dưới đưa ra trước.


Tình trạng này có thể xuất hiện từ giai đoạn răng sữa hoặc bắt đầu rõ ràng hơn trong thời kỳ thay răng. Nhiều trường hợp ban đầu chỉ là sai lệch nhẹ ở vài răng cửa nhưng nếu không được phát hiện sớm, sự sai lệch này có thể ảnh hưởng đến sự phát triển của toàn bộ cấu trúc xương hàm.
Khớp cắn ngược khác gì so với khớp cắn chuẩn?
Một khớp cắn được xem là chuẩn khi răng hai hàm sắp xếp đều đặn và ăn khớp hài hòa. Răng hàm trên phủ nhẹ lên răng hàm dưới, đồng thời các răng tiếp xúc đều khi nhai. Sự cân đối này giúp lực nhai được phân bổ đồng đều và tạo nên đường nét khuôn mặt cân xứng.
Ngược lại, ở trẻ bị khớp cắn ngược, tương quan hai hàm bị đảo chiều. Khi trẻ cắn lại, răng dưới đưa ra phía trước, làm cho lực nhai không còn cân bằng. Theo thời gian, điều này có thể khiến răng bị mòn bất thường, gây căng cơ hàm và ảnh hưởng đến cấu trúc khuôn mặt.

Các dạng khớp cắn ngược thường gặp ở trẻ
Khớp cắn ngược ở trẻ em thường được chia thành hai dạng chính tùy theo nguyên nhân gây ra sai lệch.
- Khớp cắn ngược do răng: Trong trường hợp này, xương hàm vẫn phát triển bình thường nhưng một số răng cửa mọc lệch vào trong hoặc mọc sai vị trí khiến răng dưới chìa ra trước. Đây là dạng sai lệch khá phổ biến và thường có thể điều chỉnh hiệu quả bằng các phương pháp chỉnh nha đơn giản nếu phát hiện sớm.
- Khớp cắn ngược do xương hàm: Tình trạng này xảy ra khi hàm dưới phát triển quá mức hoặc hàm trên phát triển kém hơn so với bình thường. Khi đó, sự sai lệch không chỉ nằm ở răng mà còn liên quan đến cấu trúc xương hàm, khiến việc điều trị trở nên phức tạp hơn.
Nguyên nhân khiến trẻ bị khớp cắn ngược
Khớp cắn ngược ở trẻ nhỏ có thể xuất phát từ nhiều yếu tố khác nhau trong quá trình phát triển của răng và xương hàm. Thông thường, tình trạng này liên quan đến hai nhóm nguyên nhân chính là cấu trúc xương hàm bẩm sinh hoặc di truyền và sự sai lệch trong quá trình mọc răng. Việc xác định đúng nguyên nhân sẽ giúp bác sĩ lựa chọn phương pháp điều trị phù hợp và mang lại hiệu quả chỉnh nha tối ưu cho trẻ.
Nguyên nhân do cấu trúc xương hàm (bẩm sinh hoặc di truyền)
Ở nhiều trường hợp, khớp cắn ngược hình thành do sự phát triển không cân đối giữa hàm trên và hàm dưới. Những yếu tố liên quan đến cấu trúc xương hàm thường bao gồm:
- Cấu trúc xương hàm di truyền từ cha mẹ: Nếu cha hoặc mẹ có đặc điểm hàm móm, cằm nhô thì trẻ có nguy cơ cao thừa hưởng đặc điểm này.
- Hàm dưới phát triển quá mức hoặc hàm trên kém phát triển: Sự mất cân đối trong quá trình phát triển của hai hàm khiến răng hàm dưới đưa ra trước răng hàm trên khi trẻ cắn lại.
- Thói quen xấu ảnh hưởng đến sự phát triển xương hàm, gây cắn ngược chẳng hạn như:
- Mút tay kéo dài
- Ngậm ti giả lâu
- Đẩy lưỡi khi nuốt
Những thói quen này nếu duy trì trong thời gian dài có thể tác động đến lực cơ quanh miệng và làm thay đổi hướng phát triển tự nhiên của xương hàm.

Nguyên nhân do răng mọc sai vị trí
Ngoài yếu tố xương hàm, sự sai lệch trong quá trình mọc răng cũng có thể dẫn đến khớp cắn ngược. Một số nguyên nhân thường gặp gồm:
- Mất răng sữa sớm: Khi răng sữa rụng quá sớm, các răng còn lại có thể di chuyển vào khoảng trống, làm thay đổi vị trí mọc của răng vĩnh viễn.
- Răng vĩnh viễn mọc lệch hoặc mọc sai hướng: Răng có thể mọc vào trong hoặc chìa ra ngoài cung hàm, làm đảo ngược tương quan khớp cắn giữa hai hàm.
- Cung hàm hẹp khiến răng mọc chen chúc: Khi cung hàm không đủ chỗ cho răng mọc, các răng dễ bị lệch khỏi vị trí chuẩn và dẫn đến sai lệch khớp cắn gây ra cắn ngược.
Nhìn chung, dù khớp cắn ngược xuất phát từ cấu trúc xương hàm hay từ vị trí mọc răng, việc phát hiện sớm vẫn đóng vai trò rất quan trọng. Can thiệp đúng thời điểm sẽ giúp quá trình chỉnh nha đơn giản hơn, đồng thời hỗ trợ sự phát triển hài hòa của khuôn mặt và chức năng ăn nhai của trẻ.
Dấu hiệu nhận biết khớp cắn ngược ở trẻ nhỏ
Khớp cắn ngược ở trẻ nhỏ có thể được phát hiện khá sớm nếu phụ huynh chú ý quan sát sự thay đổi trên khuôn mặt và các hoạt động ăn nhai, phát âm của trẻ. Trong nhiều trường hợp, dấu hiệu ban đầu khá nhẹ nên dễ bị bỏ qua. Tuy nhiên, khi tình trạng sai lệch khớp cắn rõ ràng hơn, các biểu hiện sẽ ngày càng dễ nhận thấy trong sinh hoạt hằng ngày. Việc nhận biết sớm các dấu hiệu bất thường không chỉ giúp phụ huynh chủ động đưa trẻ đi thăm khám mà còn giúp quá trình điều trị trở nên đơn giản và hiệu quả hơn.
Dấu hiệu khi nhìn trực diện
Khi quan sát khuôn mặt trẻ ở tư thế bình thường, phụ huynh có thể nhận thấy một số thay đổi liên quan đến cấu trúc khuôn mặt và vị trí của hai hàm. Những biểu hiện thường gặp gồm:
- Cằm nhô: Hàm dưới phát triển hoặc đưa ra trước khiến phần cằm của trẻ có xu hướng nhô ra nhiều hơn so với bình thường.
- Môi dưới đưa ra trước: Khi ngậm miệng tự nhiên, môi dưới có thể nằm phía trước môi trên, tạo cảm giác môi dưới dày và nhô.
- Mặt mất cân đối nhẹ: Tỷ lệ giữa hai hàm không hài hòa có thể khiến khuôn mặt trông kém cân đối, đặc biệt khi nhìn nghiêng.
- Răng hàm trên nằm phía trong răng hàm dưới: Khi trẻ cắn lại, răng cửa hàm trên không phủ ra ngoài răng cửa hàm dưới như bình thường mà nằm phía trong, khiến hàm dưới trông như đưa ra trước. Đây là dấu hiệu đặc trưng của khớp cắn ngược.
Ở giai đoạn đầu, những dấu hiệu này có thể khá nhẹ. Tuy nhiên, nếu tình trạng khớp cắn ngược kéo dài trong quá trình phát triển, sự sai lệch của khuôn mặt có thể trở nên rõ rệt hơn theo thời gian.


Dấu hiệu khi ăn nhai và phát âm
Ngoài những thay đổi về hình dạng khuôn mặt, khớp cắn ngược còn ảnh hưởng đến chức năng ăn nhai và khả năng phát âm của trẻ. Phụ huynh có thể nhận thấy một số biểu hiện sau:
- Khó cắn thức ăn bằng răng cửa: Khi răng cửa hàm dưới nằm phía trước răng hàm trên, trẻ sẽ gặp khó khăn khi cắn các loại thức ăn cần dùng răng cửa như trái cây hoặc bánh mì.
- Nhai lệch: Do khớp cắn không cân đối, trẻ có thể có xu hướng nhai nhiều hơn ở một bên hàm để cảm thấy thoải mái hơn.
- Phát âm không rõ một số âm: Sai lệch khớp cắn có thể ảnh hưởng đến vị trí lưỡi và môi khi nói, khiến trẻ phát âm không rõ một số âm nhất định.
Những dấu hiệu này nếu xuất hiện kéo dài có thể ảnh hưởng đến khả năng ăn nhai, tiêu hóa và giao tiếp của trẻ. Vì vậy, khi nhận thấy các biểu hiện bất thường, phụ huynh nên đưa trẻ đến nha khoa để được kiểm tra và tư vấn sớm.
Khớp cắn ngược ở trẻ có nguy hiểm không?
Nhiều phụ huynh cho rằng khớp cắn ngược chỉ ảnh hưởng đến thẩm mỹ và có thể tự cải thiện khi trẻ lớn lên. Tuy nhiên, trên thực tế đây là một dạng sai lệch khớp cắn có thể gây ra nhiều tác động lâu dài nếu không được phát hiện và điều trị kịp thời. Tình trạng này không chỉ ảnh hưởng đến cấu trúc khuôn mặt mà còn tác động đến chức năng ăn nhai, tiêu hóa và cả tâm lý của trẻ trong quá trình trưởng thành.
Ảnh hưởng đến phát triển xương mặt
Khi khớp cắn ngược kéo dài trong giai đoạn trẻ đang phát triển, sự sai lệch giữa hai hàm có thể làm thay đổi hướng phát triển của gương mặt. Theo thời gian, hàm dưới có xu hướng phát triển mạnh hơn so với hàm trên kết hợp với hoạt động nhai khiến khuôn mặt mất đi sự cân đối tự nhiên,. Những ảnh hưởng thường gặp bao gồm:
- Mặt dài: Sự phát triển không cân đối giữa hai hàm có thể khiến tỷ lệ khuôn mặt thay đổi, làm gương mặt trông dài hơn so với bình thường.
- Gương mặt hình lưỡi cày, ảnh hưởng thẩm mỹ và tự tin của trẻ
Những thay đổi này thường trở nên rõ ràng hơn khi trẻ bước vào tuổi trưởng thành, khiến việc điều trị trở nên phức tạp hơn nếu không can thiệp sớm, có thể cần phẫu thuật hàm.
Ảnh hưởng chức năng ăn nhai và tiêu hóa
Khớp cắn đóng vai trò quan trọng trong việc phân bố lực nhai và nghiền nhỏ thức ăn. Khi hai hàm không ăn khớp đúng cách, chức năng nhai của trẻ sẽ bị ảnh hưởng đáng kể. Một số tác động thường gặp gồm:
- Nhai kém: Răng cửa không thể cắn xé thức ăn hiệu quả, khiến trẻ phải sử dụng răng hàm nhiều hơn hoặc nhai lệch sang một bên.
- Ảnh hưởng hấp thu dinh dưỡng: Khi thức ăn không được nghiền nhỏ đầy đủ, hệ tiêu hóa phải hoạt động nhiều hơn để xử lý, từ đó có thể ảnh hưởng đến khả năng hấp thu dinh dưỡng của cơ thể.
Nếu tình trạng này kéo dài, trẻ có thể gặp khó khăn trong việc ăn uống và ảnh hưởng đến sự phát triển thể chất.

Tác động tâm lý và thẩm mỹ của trẻ
Ngoài những ảnh hưởng về sức khỏe, khớp cắn ngược còn tác động đáng kể đến tâm lý của trẻ, đặc biệt khi trẻ bắt đầu quan tâm nhiều hơn đến ngoại hình của mình. Những tác động thường thấy gồm:
- Tự ti khi giao tiếp: Sự thay đổi về cấu trúc khuôn mặt hoặc nụ cười có thể khiến trẻ ngại cười, ngại nói chuyện trước đám đông.
- Ảnh hưởng đến sự phát triển tâm lý: Khi trẻ cảm thấy khác biệt so với bạn bè, điều này có thể làm giảm sự tự tin và ảnh hưởng đến quá trình phát triển tâm lý xã hội.
Vì vậy, việc phát hiện và điều trị khớp cắn ngược từ sớm không chỉ giúp cải thiện chức năng răng miệng mà còn góp phần giúp trẻ phát triển toàn diện cả về thể chất lẫn tinh thần.
Thời điểm vàng chỉnh khớp cắn ngược cho bé
Việc điều trị khớp cắn ngược ở trẻ nhỏ đạt hiệu quả cao nhất khi được thực hiện đúng thời điểm. Trong từng giai đoạn phát triển, xương hàm của trẻ có mức độ tăng trưởng và khả năng đáp ứng với các phương pháp chỉnh nha khác nhau. Nếu can thiệp sớm, việc điều chỉnh khớp cắn thường đơn giản hơn, ít tốn thời gian và hạn chế được nhiều biến chứng sau này.
Từ 5 tuổi: Có thể thăm khám và can thiệp sớm
Từ khoảng 5 tuổi, nếu nhận thấy dấu hiệu khớp cắn ngược, ba mẹ nên cho trẻ thăm khám với bác sĩ chỉnh nha có kinh nghiệm để được đánh giá sự phát triển của răng và xương hàm. Trong một số trường hợp, bác sĩ có thể chỉ định trẻ sử dụng khí cụ tiền chỉnh nha (khí cụ EF) nhằm hỗ trợ định hướng sự phát triển của hàm, cải thiện thói quen cơ miệng và tạo điều kiện để răng mọc đúng vị trí hơn. Việc phát hiện và can thiệp sớm có thể giúp giảm mức độ sai lệch khớp cắn và tạo nền tảng thuận lợi cho quá trình chỉnh nha sau này nếu cần.
6–12 tuổi: Giai đoạn vàng chỉnh nha tăng trưởng
Giai đoạn này được xem là thời điểm lý tưởng để chỉnh khớp cắn ngược. Khi trẻ đang trong thời kỳ thay răng và xương hàm vẫn tiếp tục phát triển, các phương pháp chỉnh nha có thể tác động hiệu quả hơn đến sự tăng trưởng của xương mặt. Việc điều trị trong giai đoạn này thường giúp cải thiện khớp cắn rõ rệt, đồng thời hạn chế nguy cơ phải can thiệp phức tạp sau này.

Sau 12 tuổi: Điều trị phức tạp hơn
Khi trẻ bước qua tuổi 12, tốc độ phát triển của xương hàm bắt đầu chậm lại. Lúc này, việc chỉnh khớp cắn ngược có thể vẫn thực hiện được nhưng thường mất nhiều thời gian hơn và có thể cần các phương pháp điều trị phức tạp hơn.
Trong trường hợp không được điều trị trong giai đoạn vàng, khi trưởng thành (trên 18 tuổi), tình trạng sai lệch xương hàm có thể đã ổn định và khó điều chỉnh bằng chỉnh nha thông thường. Khi đó, một số trường hợp nặng có thể cần kết hợp phẫu thuật hàm để đưa hai hàm về vị trí cân đối và cải thiện chức năng ăn nhai.
Các phương pháp chỉnh khớp cắn ngược cho bé hiện nay
Tùy vào nguyên nhân gây khớp cắn ngược, độ tuổi của trẻ và mức độ sai lệch giữa hai hàm, bác sĩ sẽ chỉ định phương pháp điều trị phù hợp. Hiện nay, hai hướng điều trị phổ biến nhất gồm niềng răng chỉnh nha và phẫu thuật hàm trong những trường hợp sai lệch xương nghiêm trọng.
Niềng răng chỉnh nha điều trị khớp cắn ngược
Niềng răng là phương pháp phổ biến giúp điều chỉnh vị trí răng và tương quan giữa hai hàm, đặc biệt hiệu quả khi được thực hiện trong giai đoạn trẻ đang phát triển.
Trường hợp áp dụng
Phương pháp niềng răng thường được chỉ định trong các trường hợp sau:
- Khớp cắn ngược do răng, do xương hàm mà trẻ đang trong độ tuổi tăng trưởng
- Sai lệch nhẹ đến trung bình
- Trẻ đang trong giai đoạn phát triển xương hàm
Ưu điểm của phương pháp niềng răng
Niềng răng mang lại nhiều lợi ích trong điều trị khớp cắn ngược cho trẻ:
- Điều chỉnh khớp cắn về đúng tương quan sinh lý
- Ít xâm lấn, an toàn cho trẻ
- Cải thiện chức năng ăn nhai và thẩm mỹ nụ cười
- Hiệu quả cao nếu can thiệp sớm
Niềng răng cho trẻ dưới 12 tuổi (giai đoạn thay răng)
Ở giai đoạn này, bác sĩ thường sử dụng các khí cụ chỉnh nha giúp định hướng sự phát triển của xương hàm và điều chỉnh vị trí răng. Các khí cụ thường dùng gồm:
- Facemask (khí cụ kéo hàm trên): Thường dùng trong trường hợp cắn ngược do hàm trên kém phát triển. Khí cụ tạo lực kéo từ bên ngoài giúp kích thích hàm trên phát triển ra trước, cải thiện tương quan giữa hai hàm.
- Khí cụ nong hàm: Giúp mở rộng cung hàm trên khi hàm trên hẹp, tạo không gian cho răng phát triển đúng vị trí và hỗ trợ điều chỉnh khớp cắn.
- Khí cụ chỉnh nha tháo lắp: Hỗ trợ điều chỉnh vị trí răng, định hướng sự phát triển của cung hàm và cải thiện khớp cắn trong giai đoạn răng đang thay
Những khí cụ này giúp can thiệp sớm vào quá trình phát triển của hàm, từ đó hạn chế tình trạng sai lệch nặng khi trẻ lớn lên.
Các giai đoạn niềng răng ở trẻ
Quá trình chỉnh nha cho trẻ thường được chia thành hai giai đoạn chính:
- Giai đoạn 1: Chỉnh nha tăng trưởng – định hướng lại sự phát triển của xương hàm và tạo điều kiện cho răng mọc đúng vị trí.
- Giai đoạn 2: Niềng răng hoàn chỉnh nhằm sắp xếp răng đều đặn và hoàn thiện khớp cắn.

Niềng răng cho trẻ trên 12–15 tuổi và người trưởng thành
Khi trẻ bước vào giai đoạn dậy thì hoặc đã mọc gần đủ răng vĩnh viễn, có thể can thiệp mạnh vào sự phát triển của xương hàm và hầu hết răng vĩnh viễn đã mọc, việc điều trị khớp cắn ngược thường tập trung vào các kỹ thuật chỉnh nha để điều chỉnh vị trí răng và tương quan khớp cắn.
Kỹ thuật chỉnh nha chuyên sâu trong điều trị khớp cắn ngược
Trong những trường hợp móm ở trẻ đã qua tuổi tăng trưởng xương hàm (<12 tuổi), bác sĩ có thể sử dụng kỹ thuật cung MEAW (Multiloop Edgewise Arch Wire) – cung đa loop kết hợp với hệ thống mắc cài để kiểm soát hướng di chuyển của răng và cải thiện khớp cắn.
Kỹ thuật này cho phép tạo các lực chỉnh nha phức tạp hơn, giúp điều chỉnh tương quan giữa hai hàm và cải thiện chức năng ăn nhai cũng như thẩm mỹ nụ cười. Tuy nhiên, phương pháp điều trị cụ thể vẫn cần được bác sĩ chỉnh nha đánh giá dựa trên tình trạng răng, khớp cắn và cấu trúc xương hàm của từng bệnh nhân.
Phẫu thuật hàm điều trị khớp cắn ngược
Trong những trường hợp khớp cắn ngược do sai lệch cấu trúc xương hàm nghiêm trọng, chỉnh nha đơn thuần có thể không đủ để khắc phục. Khi đó, phẫu thuật hàm sẽ được cân nhắc để điều chỉnh vị trí của xương hàm.
Trường hợp cần phẫu thuật hàm
Phẫu thuật hàm thường được chỉ định khi:
- Khớp cắn ngược do cấu trúc xương hàm
- Hàm dưới phát triển quá mức
- Hàm trên kém phát triển
- Sai lệch xương hàm nghiêm trọng
Độ tuổi có thể thực hiện phẫu thuật
Phẫu thuật chỉnh hình hàm thường được thực hiện khi xương hàm đã phát triển hoàn chỉnh, để đảm bảo kết quả ổn định lâu dài. Thông thường, độ tuổi phù hợp là từ 18 tuổi trở lên. Ở thời điểm này, cấu trúc xương mặt đã ngừng tăng trưởng nên việc can thiệp phẫu thuật sẽ giúp cố định vị trí hàm chính xác và hạn chế nguy cơ tái lệch sau điều trị.
Phẫu thuật hàm có cần kết hợp niềng răng không?
Trong hầu hết các trường hợp, phẫu thuật hàm cần kết hợp với niềng răng để đạt kết quả tối ưu. Quy trình điều trị thường gồm:
- Niềng răng trước phẫu thuật để sắp xếp răng đúng vị trí
- Phẫu thuật chỉnh hình xương hàm
- Niềng răng sau phẫu thuật để hoàn thiện khớp cắn
Hiệu quả của phẫu thuật hàm
Phẫu thuật hàm có thể mang lại những thay đổi rõ rệt cả về chức năng lẫn thẩm mỹ:
- Khắc phục triệt để sai lệch xương hàm
- Cải thiện khớp cắn và chức năng ăn nhai
- Thay đổi thẩm mỹ khuôn mặt rõ rệt, giúp gương mặt cân đối hơn.
Quy trình chỉnh khớp cắn ngược cho bé diễn ra như thế nào?
Quy trình điều trị khớp cắn ngược ở trẻ thường được thực hiện theo từng bước rõ ràng để đảm bảo hiệu quả và phù hợp với sự phát triển của xương hàm. Tùy theo độ tuổi, nguyên nhân gây khớp cắn ngược và mức độ sai lệch, bác sĩ sẽ xây dựng phác đồ điều trị cá nhân hóa cho từng trẻ.
Thăm khám và chẩn đoán
Bước đầu tiên trong quá trình điều trị là thăm khám tổng quát tình trạng răng miệng của trẻ. Bác sĩ sẽ kiểm tra khớp cắn, vị trí răng, sự phát triển của hai hàm và đánh giá mức độ sai lệch.
Trong nhiều trường hợp, trẻ sẽ được chỉ định chụp phim X-quang, chụp ảnh trong miệng và ngoài mặt hoặc lấy dấu răng. Những dữ liệu này giúp bác sĩ xác định nguyên nhân khớp cắn ngược là do răng hay do cấu trúc xương hàm, từ đó đưa ra hướng điều trị phù hợp.
Lập kế hoạch điều trị cá nhân hóa
Sau khi chẩn đoán, bác sĩ sẽ xây dựng kế hoạch điều trị dựa trên độ tuổi, giai đoạn phát triển xương hàm và mức độ sai lệch khớp cắn của trẻ.
Trẻ dưới 12 tuổi (giai đoạn tăng trưởng xương hàm)
Đây là giai đoạn lý tưởng để can thiệp chỉnh nha sớm nhằm định hướng sự phát triển của xương hàm. Việc điều trị thường được chia thành hai giai đoạn chỉnh nha.
Giai đoạn 1: Chỉnh nha tăng trưởng
Ở giai đoạn này, mục tiêu chính là điều chỉnh sự phát triển của xương hàm và tạo điều kiện thuận lợi cho răng vĩnh viễn mọc đúng vị trí. Bác sĩ có thể áp dụng các phương pháp như:
- Khí cụ nong hàm: Được sử dụng khi cung hàm trên hẹp, giúp mở rộng cung hàm và tạo điều kiện thuận lợi cho việc điều chỉnh khớp cắn. Trong nhiều trường hợp, nong hàm sẽ được thực hiện trước khi sử dụng facemask để tăng hiệu quả kéo hàm trên.
- Khí cụ chức năng hoặc khí cụ chỉnh nha tháo lắp: Hỗ trợ định hướng sự phát triển của xương hàm và cải thiện một số thói quen cơ miệng ảnh hưởng đến khớp cắn.
- Facemask (khí cụ kéo hàm trên): Đây là khí cụ chỉnh nha ngoài mặt, thường được sử dụng trong trường hợp móm xương do hàm trên phát triển kém. Khí cụ tạo lực kéo nhẹ và liên tục giúp đưa hàm trên phát triển ra trước, từ đó cải thiện tương quan giữa hàm trên và hàm dưới.
Những khí cụ này giúp hỗ trợ định hướng phát triển xương hàm, từ đó hạn chế tình trạng sai lệch nghiêm trọng trong tương lai.

Giai đoạn 2: Niềng răng hoàn chỉnh
Giai đoạn này được thực hiện khi răng vĩnh viễn đã mọc tương đối đầy đủ. Bác sĩ sẽ sử dụng các phương pháp niềng răng như mắc cài hoặc khay chỉnh nha trong suốt để sắp xếp răng đều đặn và hoàn thiện khớp cắn. Mục tiêu của giai đoạn này là điều chỉnh vị trí các răng và đảm bảo hai hàm khớp với nhau đúng chức năng sinh lý.
Trẻ đã bỏ lỡ giai đoạn chỉnh nha tăng trưởng (trên 12–15 tuổi)
Khi trẻ bước vào giai đoạn này, xương hàm đã phát triển tương đối ổn định nên việc điều trị chủ yếu tập trung vào chỉnh nha bằng các hệ thống niềng răng cố định. Trong nhiều trường hợp khớp cắn ngược, bác sĩ có thể áp dụng kỹ thuật cung MEAW (Multiloop Edgewise Archwire). Kỹ thuật này giúp kiểm soát lực kéo răng tốt hơn và hỗ trợ điều chỉnh tương quan khớp cắn hiệu quả, đặc biệt ở giai đoạn dậy thì và sau dậy thì.
Trường hợp sai lệch xương hàm nặng
Đối với những trường hợp khớp cắn ngược do sai lệch cấu trúc xương hàm nghiêm trọng, niềng răng đơn thuần thường không thể cải thiện tối ưu về chức năng và thẩm mỹ. Trong tình huống này, bệnh nhân thường cần chờ đến khi xương hàm phát triển hoàn chỉnh (thường từ 18 tuổi trở lên). Khi đó, bác sĩ có thể chỉ định phẫu thuật chỉnh hình xương hàm kết hợp với chỉnh nha để đưa hai hàm về vị trí cân đối.
Theo dõi và tái khám định kỳ
Trong suốt quá trình điều trị, trẻ cần tái khám định kỳ theo lịch hẹn của bác sĩ. Việc tái khám giúp kiểm tra sự di chuyển của răng, điều chỉnh khí cụ nếu cần và đảm bảo quá trình chỉnh nha diễn ra đúng kế hoạch. Ngoài ra, phụ huynh cũng cần hỗ trợ trẻ duy trì vệ sinh răng miệng tốt và tuân thủ các hướng dẫn của bác sĩ để đạt được kết quả điều trị tối ưu.
Chi phí chỉnh khớp cắn ngược cho trẻ em khoảng bao nhiêu?
Chi phí chỉnh khớp cắn ngược cho trẻ em tại Platinum Dental Group có thể khác nhau tùy vào độ tuổi của trẻ, mức độ sai lệch khớp cắn cũng như phương pháp điều trị được chỉ định. Thông thường, bác sĩ sẽ thăm khám, chụp phim và đánh giá tình trạng răng xương hàm trước khi đưa ra kế hoạch điều trị phù hợp và báo chi phí cụ thể cho từng trường hợp.
Trong giai đoạn trẻ đang phát triển xương hàm (khoảng 6–12 tuổi), phương pháp chỉnh nha tăng trưởng thường được áp dụng để định hướng sự phát triển của hàm và cải thiện khớp cắn sớm. Chi phí cho giai đoạn này thường dao động khoảng 20.000.000 – 50.000.000 đồng tùy loại khí cụ và mức độ sai lệch.
Khi răng vĩnh viễn đã mọc tương đối đầy đủ, trẻ có thể cần niềng răng hoàn chỉnh để sắp xếp răng và hoàn thiện khớp cắn. Với phương pháp niềng răng mắc cài kim loại, chi phí thường nằm trong khoảng 40.000.000 – 50.000.000 đồng cho toàn bộ quá trình điều trị.
Mức chi phí thực tế còn phụ thuộc vào nhiều yếu tố như mức độ khớp cắn ngược, thời gian điều trị, loại khí cụ chỉnh nha sử dụng và tình trạng răng miệng của trẻ. Vậy nên, phụ huynh hãy đưa trẻ đến thăm khám sớm để bác sĩ tư vấn phương án điều trị phù hợp và dự trù chi phí chính xác nhé!
Cách phòng ngừa khớp cắn ngược ở trẻ nhỏ
Khớp cắn ngược ở trẻ nhỏ có thể được hạn chế hoặc phòng ngừa nếu phụ huynh chú ý đến các thói quen sinh hoạt và sự phát triển răng miệng của trẻ ngay từ sớm. Việc theo dõi sát quá trình thay răng và đưa trẻ đi khám nha khoa định kỳ sẽ giúp phát hiện sớm những dấu hiệu bất thường, từ đó can thiệp kịp thời trước khi tình trạng trở nên nghiêm trọng.
Loại bỏ thói quen xấu từ sớm
Một số thói quen xấu trong giai đoạn đầu đời có thể ảnh hưởng đến sự phát triển của răng và xương hàm, làm tăng nguy cơ hình thành khớp cắn ngược. Phụ huynh nên chú ý hạn chế hoặc loại bỏ sớm các thói quen như mút ngón tay, đẩy lưỡi, cắn môi hoặc ngậm ti giả trong thời gian dài. Việc điều chỉnh những thói quen này từ sớm sẽ giúp răng và hàm phát triển đúng hướng, giảm nguy cơ sai lệch khớp cắn khi trẻ lớn lên.
Theo dõi quá trình thay răng của trẻ
Giai đoạn thay răng là thời điểm quan trọng trong sự phát triển của hệ răng miệng. Phụ huynh nên theo dõi quá trình răng sữa rụng và răng vĩnh viễn mọc để kịp thời phát hiện các dấu hiệu bất thường như răng mọc lệch, răng mọc sai vị trí hoặc hai hàm không khớp đúng cách. Nếu nhận thấy răng cửa hàm dưới có xu hướng nằm phía trước răng hàm trên hoặc trẻ gặp khó khăn khi cắn thức ăn, phụ huynh nên đưa trẻ đi kiểm tra sớm để được tư vấn hướng xử lý phù hợp.

Khám răng định kỳ cho trẻ 6 tháng/lần
Thói quen khám răng định kỳ giúp bác sĩ theo dõi sự phát triển của răng và xương hàm theo từng giai đoạn. Thông qua các buổi kiểm tra định kỳ, những dấu hiệu khớp cắn ngược hoặc sai lệch khớp cắn khác có thể được phát hiện từ rất sớm. Các chuyên gia nha khoa thường khuyến khích phụ huynh đưa trẻ đi khám răng định kỳ 6 tháng/lần. Điều này không chỉ giúp phòng ngừa các vấn đề về khớp cắn mà còn góp phần bảo vệ sức khỏe răng miệng lâu dài cho trẻ.
Câu hỏi thường gặp
Khớp cắn ngược ở trẻ có tự hết không?
Trong phần lớn các trường hợp, khớp cắn ngược ở trẻ không tự hết khi lớn lên. Nếu tình trạng này liên quan đến sự sai lệch của răng hoặc xương hàm, nó thường có xu hướng rõ rệt hơn theo thời gian. Khi trẻ phát triển, xương hàm dưới có thể phát triển mạnh hơn hàm trên, khiến tình trạng móm trở nên dễ nhận thấy. Nếu không được can thiệp sớm, việc điều trị sau này có thể phức tạp và tốn nhiều thời gian hơn. Vì vậy, phụ huynh nên đưa trẻ đi thăm khám nha khoa sớm khi phát hiện dấu hiệu khớp cắn bất thường.
Chỉnh khớp cắn ngược cho bé có đau không?
Quá trình chỉnh khớp cắn ngược cho trẻ thường không gây đau nhiều như nhiều phụ huynh lo lắng. Trong những ngày đầu đeo khí cụ hoặc sau mỗi lần điều chỉnh lực, trẻ có thể cảm thấy hơi ê hoặc căng nhẹ ở răng. Đây là phản ứng bình thường khi răng bắt đầu dịch chuyển về vị trí mới. Cảm giác khó chịu này thường chỉ kéo dài vài ngày rồi giảm dần. Khi đã quen với khí cụ chỉnh nha, trẻ có thể sinh hoạt và ăn uống gần như bình thường.
Thời gian chỉnh khớp cắn ngược mất bao lâu?
Thời gian điều trị khớp cắn ngược phụ thuộc vào nhiều yếu tố như độ tuổi của trẻ, nguyên nhân gây sai lệch và mức độ khớp cắn ngược. Với những trường hợp được can thiệp sớm trong giai đoạn tăng trưởng, thời gian điều trị thường ngắn và hiệu quả cao hơn. Thông thường, quá trình chỉnh nha có thể kéo dài khoảng 12–24 tháng. Với các trường hợp phức tạp hoặc cần điều trị qua nhiều giai đoạn, thời gian có thể lâu hơn. Việc tuân thủ lịch tái khám và hướng dẫn của bác sĩ sẽ giúp rút ngắn thời gian điều trị.

Bé đeo khí cụ chỉnh nha có ảnh hưởng ăn uống không?
Trong thời gian đầu đeo khí cụ chỉnh nha, trẻ có thể cảm thấy hơi vướng hoặc khó nhai một số loại thức ăn. Tuy nhiên cảm giác này thường chỉ kéo dài trong thời gian ngắn khi trẻ đang làm quen với khí cụ. Sau một thời gian, hầu hết trẻ có thể ăn uống gần như bình thường. Phụ huynh nên cho trẻ ăn các loại thực phẩm mềm, dễ nhai trong giai đoạn đầu. Đồng thời, nên hạn chế thức ăn quá cứng, quá dai hoặc quá dính để tránh làm hỏng khí cụ chỉnh nha.
Sau khi chỉnh khớp cắn ngược có bị tái phát không?
Sau khi hoàn tất quá trình chỉnh nha, kết quả điều trị thường khá ổn định nếu được duy trì đúng cách. Trẻ sẽ được chỉ định đeo hàm duy trì trong một khoảng thời gian để giữ răng ở vị trí mới. Nếu không tuân thủ hướng dẫn của bác sĩ, răng có thể có xu hướng dịch chuyển trở lại. Ngoài ra, sự phát triển của xương hàm trong giai đoạn dậy thì cũng có thể ảnh hưởng đến khớp cắn. Vì vậy, việc tái khám định kỳ là rất quan trọng để theo dõi và đảm bảo kết quả lâu dài.
Người trưởng thành bị hàm móm có cần phẫu thuật hàm không?
Không phải tất cả các trường hợp hàm móm ở người trưởng thành đều cần phẫu thuật. Nếu nguyên nhân chủ yếu do răng mọc sai vị trí, bác sĩ có thể điều trị bằng niềng răng chỉnh nha. Tuy nhiên, nếu khớp cắn ngược xuất phát từ sự sai lệch của xương hàm, niềng răng đơn thuần có thể không mang lại kết quả tối ưu. Trong những trường hợp này, phẫu thuật chỉnh hình xương hàm có thể được chỉ định. Bác sĩ sẽ thăm khám và phân tích phim chụp để xác định phương pháp điều trị phù hợp.
Phẫu thuật hàm móm cho người trưởng thành có cần niềng răng trước không?
Trong hầu hết các trường hợp, phẫu thuật hàm móm cần kết hợp với niềng răng để đạt hiệu quả điều trị tối ưu. Trước khi phẫu thuật, bệnh nhân thường được niềng răng để sắp xếp lại vị trí các răng trên hai hàm. Điều này giúp tạo điều kiện thuận lợi cho quá trình phẫu thuật và đảm bảo khớp cắn chính xác sau khi chỉnh hình xương hàm. Sau phẫu thuật, quá trình niềng răng có thể tiếp tục trong một thời gian ngắn để hoàn thiện khớp cắn. Sự kết hợp giữa hai phương pháp này giúp cải thiện cả chức năng ăn nhai và thẩm mỹ khuôn mặt.
Khớp cắn ngược ở trẻ nhỏ nếu được phát hiện và điều trị sớm sẽ giúp quá trình chỉnh nha nhẹ nhàng, hiệu quả hơn, đồng thời hạn chế những ảnh hưởng đến sự phát triển của xương hàm và thẩm mỹ khuôn mặt trong tương lai. Vì vậy, việc cho trẻ thăm khám nha khoa định kỳ đóng vai trò quan trọng trong việc phát hiện sớm các dấu hiệu bất thường và có hướng can thiệp kịp thời. Tại Platinum Dental Group, đội ngũ bác sĩ giàu kinh nghiệm cùng hệ thống công nghệ hiện đại sẽ thăm khám kỹ lưỡng và xây dựng phác đồ điều trị phù hợp cho từng bé. Bố mẹ hãy liên hệ ngay với chúng tôi để được tư vấn chi tiết và lựa chọn giải pháp chỉnh khớp cắn ngược an toàn, hiệu quả cho trẻ.

English