Mất chân răng là gì? Nguyên nhân, hậu quả và cách khắc phục hiệu quả
Mất chân răng là tình trạng khá phổ biến, có thể xảy ra do bệnh lý nha chu, chấn thương hoặc lão hóa. Khi không còn chân răng, vùng xương hàm tại vị trí đó sẽ dần tiêu biến, ảnh hưởng đến khả năng ăn nhai, thẩm mỹ khuôn mặt và sức khỏe răng miệng tổng thể. Bài viết dưới đây của Platinum Dental Group sẽ giúp cô chú, anh chị hiểu rõ nguyên nhân, hậu quả cũng như các phương pháp phục hồi phù hợp giúp tái tạo chân răng đã mất, hồi phục chức năng và hình dáng tự nhiên cho nụ cười.
Nội dung bài viết
- 1 Mất chân răng là gì?
- 2 Dấu hiệu nhận biết bị mất chân răng
- 3 Nguyên nhân dẫn đến mất chân răng
- 4 Mất chân răng có ảnh hưởng gì không?
- 5 Các phương pháp khắc phục mất chân răng phổ biến hiện nay
- 6 Cấy implant khi mất chân răng hết bao nhiêu tiền?
- 7 Mất chân răng bao lâu thì nên trồng lại?
- 8 Platinum Dental Group – khắc phục tình trạng mất chân răng hiệu quả
- 9 Các câu hỏi thường gặp
Mất chân răng là gì?
Định nghĩa mất chân răng
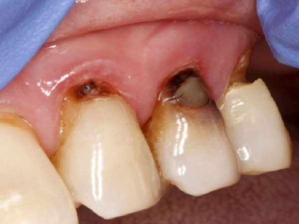
Mất chân răng là tình trạng phần chân răng (tức phần nằm sâu trong xương hàm, có nhiệm vụ nâng đỡ và giữ răng cố định) bị tổn thương, tiêu biến hoặc buộc phải loại bỏ. Khi đó, toàn bộ cấu trúc nâng đỡ răng bị mất đi, khiến răng không thể mọc lại tự nhiên như trước.

Trong nhiều trường hợp, răng có thể bị gãy hoặc nhổ bỏ phần thân, nhưng phần chân răng vẫn còn nằm trong xương hàm. Tuy nhiên, nếu không được xử lý kịp thời, phần chân răng còn sót lại có thể bị viêm, nhiễm trùng hoặc tiêu xương, dẫn đến mất hoàn toàn cấu trúc răng.
Tình trạng này thường gặp ở người trung niên và cao tuổi, hoặc ở những trường hợp có bệnh lý nha chu kéo dài, chấn thương vùng mặt
Phân biệt mất chân răng và mất cả chân răng – thân răng
Để hiểu rõ hơn, cô chú anh chị cần phân biệt giữa mất chân răng và mất cả chân răng – thân răng:
- Mất thân răng: Là tình trạng phần thân răng (phần nhìn thấy trong khoang miệng) bị gãy, sứt hoặc hư hỏng, nhưng phần chân răng vẫn còn trong xương hàm. Trong trường hợp này, bác sĩ có thể giữ lại chân răng và phục hồi bằng phương pháp bọc sứ hoặc làm chụp răng.
- Mất cả chân răng và thân răng: Là khi toàn bộ răng, bao gồm cả chân răng nằm trong xương, bị mất đi. Khi đó, khoảng trống trên cung hàm không còn cấu trúc nâng đỡ tự nhiên, và xương hàm tại vị trí đó sẽ dần tiêu biến.
- Mất riêng phần chân răng: Ít gặp hơn nhưng nguy hiểm hơn. Răng bị tiêu chân do viêm quanh chóp hoặc răng gãy dọc chân. Cả hai đều dẫn đến chỉ định nhổ răng và thay thế bằng Implant hoặc cầu răng

Tầm quan trọng của chân răng đối với sức khỏe răng miệng
Chân răng đóng vai trò như “nền móng” vững chắc giúp răng cố định trong xương hàm. Khi mất đi phần chân răng:
- Xương ổ răng không còn được kích thích → xảy ra hiện tượng tiêu xương tự nhiên.
- Mất lực nâng đỡ → răng xung quanh dễ xô lệch, sai khớp cắn.
- Cấu trúc khuôn mặt thay đổi, gây hóp má hoặc chùng cơ vùng miệng.
Do đó, việc hiểu rõ và điều trị đúng cách khi mất chân răng là điều cần thiết để bảo tồn sức khỏe răng miệng lâu dài.
Dấu hiệu nhận biết bị mất chân răng
Việc phát hiện sớm tình trạng mất chân răng giúp bác sĩ có hướng xử lý kịp thời, hạn chế tiêu xương và bảo tồn cấu trúc răng miệng. Dưới đây là một số dấu hiệu cô chú, anh chị có thể tự nhận biết hoặc quan sát trong quá trình chăm sóc răng miệng hằng ngày.
Kiểm tra trực quan trong khoang miệng
Một trong những cách nhận biết dễ thấy nhất là quan sát trực tiếp khu vực nghi ngờ bị mất răng.
- Nếu khu vực đó lõm xuống, không còn thấy chân răng hoặc phần nướu khuyết sâu, rất có thể chân răng đã bị tiêu hoặc mất hoàn toàn.
- Răng kế cận có thể nghiêng nhẹ về khoảng trống, tạo cảm giác khấp khểnh hoặc không đều khi cắn khớp.
- Ở một số trường hợp, nướu tại vị trí đó đổi màu nhạt hơn hoặc sậm hơn bình thường, kèm theo cảm giác hơi lõm khi chạm tay.

Khi nhận thấy dấu hiệu này, nên đến nha khoa kiểm tra X-quang để xác định có còn chân răng trong xương hàm hay không, tránh nhầm lẫn với trường hợp gãy thân răng.
Các cơn đau hoặc sưng nướu liên quan
Sau khi mất chân răng, mô nướu và xương ổ răng xung quanh thường bị tổn thương nhẹ, gây đau âm ỉ, sưng nướu hoặc chảy máu khi chải răng.
- Một số người có thể cảm thấy đau lan sang vùng răng bên cạnh hoặc đau tăng khi nhai thức ăn cứng.
- Nếu còn sót lại phần chân răng hư, nướu có thể xuất hiện mủ hoặc túi nha chu nhỏ, gây mùi hôi miệng và viêm kéo dài.
Các cơn đau hoặc sưng nướu liên quan là những tín hiệu cảnh báo cơ thể đang phản ứng với sự mất cân bằng trong mô xương và mô mềm quanh răng, cần được thăm khám sớm để xử lý triệt để.
Triệu chứng tiêu xương hàm khi mất chân răng lâu ngày
Nếu tình trạng mất chân răng không được phục hồi sớm, xương hàm tại vị trí đó sẽ bắt đầu tiêu dần do không còn lực kích thích từ chân răng.

Các biểu hiện thường thấy gồm:
- Khuôn mặt lệch nhẹ hoặc hóp má, đặc biệt ở vùng răng cửa và răng nanh.
- Răng kế cận lung lay hoặc thưa dần, tạo khoảng trống giữa các răng.
- Khi nhai hoặc nói, có cảm giác không cân đối, cắn lệch hoặc khó phát âm rõ.
Ở giai đoạn này, việc điều trị sẽ phức tạp hơn, có thể cần đến kỹ thuật ghép xương trước khi phục hồi bằng Implant. Vì vậy, việc nhận biết và can thiệp sớm sẽ giúp hạn chế tiêu xương, duy trì khuôn mặt và khớp cắn ổn định lâu dài.
Khi nào nên đến nha khoa kiểm tra?
Nếu cô chú, anh chị thấy răng lung lay, đau nướu kéo dài, vùng mất răng lõm xuống hoặc thay đổi hình dạng khuôn mặt thì nên đến nha khoa sớm để được bác sĩ chụp phim và đánh giá tình trạng xương hàm.
Tại Platinum Dental Group, bác sĩ sẽ tiến hành kiểm tra tổng quát, chụp X-quang 3D và xác định có cần cấy ghép Implant hoặc can thiệp bảo tồn xương hàm hay không. Việc chẩn đoán sớm giúp quá trình phục hồi đơn giản, nhẹ nhàng và hiệu quả hơn rất nhiều.
Nguyên nhân dẫn đến mất chân răng
Mất chân răng là hậu quả của nhiều yếu tố khác nhau, từ bệnh lý răng miệng đến các tác động cơ học hoặc sinh lý tự nhiên của cơ thể. Việc hiểu rõ nguyên nhân không chỉ giúp cô chú, anh chị phòng ngừa hiệu quả mà còn lựa chọn được phương pháp điều trị phù hợp khi chẳng may gặp phải tình trạng này.
Do bệnh lý răng miệng (viêm nha chu, sâu răng nặng…)
Các bệnh lý về răng miệng là nguyên nhân phổ biến nhất dẫn đến mất chân răng.
- Viêm nha chu là bệnh lý khiến mô nướu và dây chằng quanh răng bị viêm, làm yếu phần nâng đỡ của răng. Khi không được điều trị, xương ổ răng dần tiêu đi, khiến răng lung lay và cuối cùng rụng cả chân răng.
- Sâu răng nặng lan xuống tủy và chân răng cũng là nguyên nhân nghiêm trọng. Vi khuẩn phá hủy mô cứng của răng, gây nhiễm trùng chân răng. Nếu không điều trị nội nha hoặc nhổ bỏ đúng cách, viêm nhiễm lan rộng sẽ khiến chân răng bị tiêu và không thể giữ lại.

Việc khám răng định kỳ 6 tháng/lần và điều trị triệt để các bệnh lý răng miệng sớm là cách tốt nhất để ngăn ngừa tình trạng này.
Do tai nạn, chấn thương vùng mặt
Những va đập mạnh trong quá trình sinh hoạt, chơi thể thao hoặc tai nạn giao thông có thể khiến răng bị gãy, bật khỏi ổ răng hoặc rạn nứt phần chân.
- Trường hợp răng bị gãy sâu tới chân thường gây đau nhức, chảy máu và cần nhổ bỏ phần còn lại để tránh viêm nhi
- Nếu chân răng bị nứt hoặc lộ tủy, răng sẽ yếu dần và có thể gãy hoàn toàn sau một thời gian ngắn.
Khi gặp chấn thương răng, cô chú, anh chị nên đến nha khoa càng sớm càng tốt để bác sĩ kiểm tra và cố định lại răng nếu còn khả năng bảo tồn, tránh để kéo dài gây tiêu xương và viêm quanh răng.
Do nhổ răng trong trường hợp cần thiết
Nhổ răng khi răng bị sâu lớn có nhiễm trùng hoặc răng bị viêm nha chu nặng không thể điều trị cải thiện là nguyên nhân trực tiếp khiến chân răng bị mất đi khỏi xương hàm. Trong quá trình nhổ, toàn bộ thân và chân răng được loại bỏ để điều trị tình trạng răng sâu nặng, viêm nha chu hoặc răng mọc lệch. Việc mất chân răng sau nhổ là cần thiết về mặt điều trị, tuy nhiên nếu không có kế hoạch phục hồi sớm, vùng xương ổ răng có thể tiêu hõm dần theo thời gian, ảnh hưởng đến thẩm mỹ và cấu trúc các răng kế cận.

Vì vậy, các bác sĩ luôn khuyến cáo nên phục hồi sớm sau nhổ răng để duy trì cấu trúc xương và thẩm mỹ khuôn mặt.
Do quá trình lão hóa tự nhiên
Theo thời gian, mật độ xương và mô liên kết quanh răng sẽ dần suy yếu. Ở người trung niên và cao tuổi, nướu có thể tụt, dây chằng nha chu giảm đàn hồi, khiến răng không còn được cố định vững chắc.
- Quá trình này diễn ra âm thầm, ban đầu chỉ là răng lung lay nhẹ, nhưng về lâu dài có thể dẫn đến rụng chân răng.
- Một số bệnh lý toàn thân như loãng xương, tiểu đường, viêm khớp cũng làm tăng tốc độ tiêu xương hàm, ảnh hưởng trực tiếp đến sức khỏe răng miệng.
Chế độ dinh dưỡng đầy đủ canxi, vitamin D, cùng thói quen khám nha khoa định kỳ sẽ giúp hạn chế nguy cơ mất răng do lão hóa.
Nếu cô chú, anh chị đang có dấu hiệu răng lung lay, sưng nướu hoặc đau nhức kéo dài, nên đến nha khoa sớm để kiểm tra tình trạng chân răng. Việc chẩn đoán sớm giúp ngăn ngừa tiêu xương, bảo tồn răng thật và lựa chọn được phương pháp phục hồi phù hợp, đặc biệt là cấy ghép Implant, giải pháp duy trì xương hàm và chức năng ăn nhai bền vững lâu dài.
Mất chân răng có ảnh hưởng gì không?
Mất chân răng không chỉ là vấn đề thẩm mỹ đơn thuần mà còn kéo theo nhiều ảnh hưởng nghiêm trọng đến sức khỏe răng miệng và cấu trúc xương hàm. Nhiều cô chú, anh chị thường cho rằng “chỉ mất một răng thì không sao”, tuy nhiên thực tế, hậu quả của việc mất chân răng kéo dài có thể tiến triển âm thầm và khó phục hồi nếu không điều trị sớm.
Tiêu xương hàm và biến dạng khuôn mặt
Khi chân răng mất đi, vùng xương ổ răng không còn được kích thích tự nhiên từ lực nhai nên dần tiêu biến. Sau một thời gian, xương hàm bị teo lại khiến vùng nướu lõm xuống, khuôn mặt có xu hướng hóp, môi bị móm nhẹ và xuất hiện nhiều nếp nhăn quanh miệng. Đây là nguyên nhân khiến gương mặt trông già hơn so với tuổi thật.
Ảnh hưởng đến khả năng ăn nhai
Thiếu chân răng đồng nghĩa với việc lực nhai không còn được phân bố đều. Các răng bên cạnh phải chịu lực lớn hơn, dẫn đến mòn men, lung lay hoặc nứt gãy. Ngoài ra, việc nhai không kỹ còn khiến hệ tiêu hóa phải hoạt động nhiều hơn, ảnh hưởng đến dạ dày và khả năng hấp thu dinh dưỡng.
Dịch chuyển và sai lệch khớp cắn
Khi mất chân răng, các răng kế cận có xu hướng nghiêng hoặc trồi xuống vùng trống, gây lệch khớp cắn và sai vị trí răng. Về lâu dài, điều này khiến việc ăn nhai mất cân đối, tăng nguy cơ đau khớp thái dương hàm và mòn men răng bất thường.

Tăng nguy cơ bệnh lý răng miệng khác
Khoảng trống mất răng là nơi dễ tích tụ thức ăn và vi khuẩn, làm tăng nguy cơ viêm nướu, sâu răng và hôi miệng. Nếu không được làm sạch hoặc phục hồi sớm, vi khuẩn có thể lan rộng gây tiêu xương thêm, ảnh hưởng đến các răng còn lại.
Ảnh hưởng đến thẩm mỹ và giao tiếp
Mất răng, đặc biệt là răng cửa, khiến nụ cười mất tự nhiên và giảm tự tin trong giao tiếp. Một số cô chú, anh chị có xu hướng hạn chế cười hoặc nói chuyện, từ đó ảnh hưởng đến tâm lý và chất lượng cuộc sống.
Các phương pháp khắc phục mất chân răng phổ biến hiện nay
Sau khi mất chân răng, việc lựa chọn phương pháp phục hồi phù hợp là yếu tố quyết định đến hiệu quả lâu dài về cả chức năng và thẩm mỹ. Tùy thuộc vào số lượng răng mất, tình trạng xương hàm, sức khỏe răng miệng và nhu cầu của từng cô chú, anh chị, bác sĩ sẽ tư vấn giải pháp tối ưu nhất. Hiện nay, có 3 phương pháp phổ biến được áp dụng trong nha khoa hiện đại: hàm giả tháo lắp, cầu răng sứ và cấy ghép Implant.
Cầu răng sứ truyền thống
Cầu răng sứ là phương pháp phục hồi răng đã mất cố định, sử dụng 2 răng thật bên cạnh răng mất để làm trụ, sau đó gắn cầu sứ lên trên nhằm lấp đầy khoảng trống.

- Ưu điểm: Tính thẩm mỹ cao, cảm giác ăn nhai khá tự nhiên, thời gian thực hiện nhanh (thường từ 3-5 ngày).
- Hạn chế: Cần mài nhỏ 2 răng kế cận để làm trụ, có thể gây xâm lấn mô răng thật. Bên cạnh đó, cầu sứ không có chân răng giả nên vẫn xảy ra tiêu xương tại vị trí mất răng, và tuổi thọ trung bình khoảng 7-10 năm.
Hàm giả tháo lắp
Hàm giả tháo lắp là phương án truyền thống, được sử dụng trong trường hợp mất nhiều răng hoặc mất toàn hàm. Hàm được chế tác từ nhựa hoặc khung kim loại, có thể tháo ra lắp vào dễ dàng để vệ sinh.
- Ưu điểm: Chi phí thấp, quy trình thực hiện nhanh, phù hợp với người lớn tuổi hoặc có sức khỏe xương hàm yếu.
- Hạn chế: Không ngăn được tình trạng tiêu xương hàm, độ bám dính kém hơn so với răng thật, dễ gây vướng víu khi nói chuyện và ăn nhai. Ngoài ra, hàm cần được thay định kỳ do sự thay đổi của cấu trúc nướu theo thời gian.
Cấy ghép Implant – giải pháp tối ưu cho mất chân răng
Cấy ghép Implant là phương pháp hiện đại nhất hiện nay, được xem là giải pháp tối ưu trong phục hồi răng mất. Bác sĩ sẽ đặt trụ Implant bằng titanium vào xương hàm để thay thế chân răng thật, sau đó gắn mão sứ lên trên, giúp khôi phục cả chân và thân răng.

Ưu điểm:
- Phục hồi cấu trúc răng hoàn chỉnh, ngăn ngừa tiêu xương hàm.
- Độ bền cao, có thể sử dụng trọn đời nếu chăm sóc tốt.
- Không ảnh hưởng đến răng thật kế cận.
- Cảm giác ăn nhai và thẩm mỹ gần như răng tự nhiên.
Hạn chế:
- Chi phí cao hơn so với các phương pháp khác
- Đòi hỏi xương hàm đủ điều kiện để cấy trụ.
Tại Platinum Dental Group, bác sĩ sẽ trực tiếp thăm khám, chụp phim CT 3D để đánh giá mật độ xương hàm, sau đó tư vấn phương án phục hồi phù hợp nhất với tình trạng răng và nhu cầu của từng người. Mục tiêu là giúp cô chú, anh chị lấy lại khả năng ăn nhai vững chắc, nụ cười tự nhiên và duy trì sức khỏe răng miệng lâu dài.
Cấy implant khi mất chân răng hết bao nhiêu tiền?
Chi phí cấy ghép Implant khi mất chân răng phụ thuộc vào nhiều yếu tố như loại trụ Implant sử dụng, tình trạng xương hàm, loại mão sứ, cũng như kinh nghiệm của bác sĩ thực hiện. Tại Platinum Dental Group, toàn bộ quy trình đều được thực hiện theo tiêu chuẩn quốc tế, đảm bảo tính an toàn và hiệu quả lâu dài cho cô chú, anh chị.

Để giúp cô chú, anh chị dễ hình dung, dưới đây là bảng giá tham khảo các gói trồng răng Implant đang được áp dụng tại Platinum Dental Group. Bảng giá này đã bao gồm chi phí trụ Implant, phẫu thuật đặt trụ, mão sứ phục hình và tái khám sau điều trị:
| Dịch vụ | Loại trụ Implant | Xuất xứ | Giá trọn gói (VNĐ) | Thời gian bảo hành |
| Implant đơn lẻ | Implant DIO UV | Hàn Quốc | 18 – 25 triệu/trụ | 10 năm |
| Implant ETK | Pháp | 30 – 36 triệu/trụ | 10 năm | |
| Implant Straumann | Thuỵ Sĩ | 38 – 45 triệu/ trụ | 10 năm | |
| Abutment + Sứ Cercon trên Implant | Implant DIO UV | Hàn Quốc | 8 triệu/trụ | 5 năm |
| Implant ETK | Pháp | 10 triệu/trụ | 7 năm | |
| Implant Straumann | Thuỵ Sĩ | 13 triệu/trụ | 10 năm | |
| ALL ON 4 | Implant DIO UV | Hàn Quốc | 150 – 160 triệu/hàm | 10 năm |
| Implant ETK | Pháp | 200 – 240 triệu/hàm | 10 năm | |
| Implant Straumann | Thuỵ Sĩ | 230 – 270 triệu/hàm | 10 năm | |
| ALL ON 6 | Implant DIO UV | Hàn Quốc | 180 – 200 triệu/hàm | 10 năm |
| Implant ETK | Pháp | 280 – 315 triệu/hàm | 10 năm | |
| Implant Straumann | Thuỵ Sĩ | 340 – 390 triệu/hàm | 10 năm | |
| Ghép xương | Ghép xương nâng xoang/ vùng | 5 – 10 triệu | ||
| Ghép xương – Nâng xoang hở | 10 – 15 triệu | |||
| Ghép xương toàn hàm | 50 – 70 triệu |
Mất chân răng bao lâu thì nên trồng lại?
Sau khi mất chân răng, nhiều cô chú, anh chị thường băn khoăn không biết thời điểm thích hợp để trồng răng Implant là khi nào. Trên thực tế, càng trì hoãn việc phục hồi răng đã mất, nguy cơ tiêu xương hàm và biến dạng nướu càng cao, khiến quá trình cấy ghép về sau trở nên phức tạp và tốn kém hơn.
Thời điểm lý tưởng để trồng răng Implant sau khi mất chân răng
Thông thường, thời điểm trồng Implant tốt nhất là từ 1-3 tháng sau khi mất răng. Đây là giai đoạn mô nướu đã lành, xương ổ răng bắt đầu ổn định, thuận lợi cho việc đặt trụ Implant vào đúng vị trí mà không cần can thiệp quá nhiều.

Trong một số trường hợp đặc biệt, bác sĩ có thể chỉ định “trồng Implant tức thì”, nghĩa là đặt trụ ngay sau khi nhổ răng, nếu vùng xương hàm còn khỏe và không có nhiễm trùng. Phương án này giúp tiết kiệm thời gian và giảm thiểu tiêu xương, nhưng đòi hỏi kỹ thuật cao và điều kiện lâm sàng nghiêm ngặt.
Trường hợp trì hoãn trồng răng quá lâu
Nếu cô chú, anh chị để mất chân răng quá lâu (từ 6 tháng đến vài năm), phần xương hàm ở vị trí đó sẽ bị tiêu dần, gây tụt nướu, xô lệch khớp cắn và hóp má. Khi đó, bác sĩ thường cần ghép xương hoặc nâng xoang trước khi đặt trụ Implant để đảm bảo độ vững chắc và tính thẩm mỹ cho răng phục hồi.
Quy trình này sẽ kéo dài hơn, chi phí cao hơn và thời gian chờ lành thương lâu hơn so với trường hợp trồng Implant sớm. Vì vậy, việc cấy Implant ngay khi đủ điều kiện luôn là lựa chọn được khuyến khích.
Platinum Dental Group – khắc phục tình trạng mất chân răng hiệu quả
Việc phục hồi chân răng mất đòi hỏi kỹ thuật chính xác, công nghệ hiện đại và tay nghề chuyên môn cao. Tại Platinum Dental Group, toàn bộ quy trình cấy ghép Implant được thiết kế nhằm đảm bảo an toàn – hiệu quả – lâu dài, giúp cô chú, anh chị lấy lại chức năng ăn nhai và thẩm mỹ nụ cười một cách tự nhiên.
Đội ngũ bác sĩ chuyên môn cao
Toàn bộ quy trình cấy ghép Implant tại Platinum Dental Group được thực hiện bởi đội ngũ bác sĩ chuyên khoa Răng Hàm Mặt và Implant, có nhiều năm kinh nghiệm, từng tu nghiệp và cập nhật các kỹ thuật quốc tế. Bác sĩ trực tiếp thăm khám, đánh giá tình trạng xương hàm, lên kế hoạch phục hồi và theo dõi sát sao trong suốt quá trình điều trị, đảm bảo mỗi ca cấy Implant được thực hiện chính xác, an toàn và mang lại kết quả tối ưu.

Nhờ sự kết hợp giữa chuyên môn cao và kinh nghiệm thực tiễn, cô chú, anh chị có thể yên tâm về hiệu quả lâu dài và sự an toàn tuyệt đối cho sức khỏe răng miệng.
Công nghệ và thiết bị hiện đại
- Chụp phim CT 3D và mô phỏng kỹ thuật số giúp bác sĩ đánh giá mật độ xương, vị trí thần kinh và cấu trúc răng lân cận trước khi đặt trụ.
- Hệ thống trụ Implant chính hãng từ Hàn Quốc, Mỹ, Pháp, Thụy Sĩ, đảm bảo tích hợp xương tốt, duy trì lâu dài và tương thích sinh học tối ưu.
- Công nghệ scan răng 3D kỹ thuật số giúp ghi nhận rõ nét và chân thực toàn bộ cung răng hàm trên và hàm dưới. Dữ liệu này hỗ trợ lập kế hoạch cấy ghép Implant tối ưu, hạn chế xâm lấn và rút ngắn thời gian điều trị.
- Ứng dụng công nghệ Hướng dẫn động – Navigation, công nghệ 4.0 giúp bác sĩ theo dõi mũi khoan cấy Implant theo thời gian thực, xác định vị trí cấy ghép chính xác tuyệt đối theo 3 chiều trong không gian, tránh các cấu trúc giải phẫu quan trọng và đảm bảo tối ưu cho phục hình.
- Ứng dụng công nghệ PIC – hệ thống lấy dấu kỹ thuật số sử dụng quang trắc lập thể để xác định chính xác vị trí, góc độ và khoảng cách của các trụ Implant trong điều trị Implant toàn hàm. Công nghệ này giúp hoàn thiện quy trình lấy dấu răng, mang lại độ chính xác cao, giảm thiểu thời gian điều trị và mang lại trải nghiệm nhẹ nhàng, không đau cho bệnh nhân.
Quy trình phục hồi tiêu chuẩn quốc tế
Tại Platinum Dental Group, quy trình phục hồi răng mất được thiết kế theo tiêu chuẩn quốc tế, đảm bảo an toàn, chính xác và hiệu quả lâu dài. Mỗi ca đều bắt đầu bằng việc thăm khám tổng quát và chụp phim kiểm tra tình trạng răng, nướu và xương hàm, từ đó bác sĩ lên kế hoạch phục hồi phù hợp với từng trường hợp.

Quá trình cấy trụ Implant được thực hiện trong môi trường vô trùng, kết hợp công nghệ hiện đại giúp đặt trụ chính xác, giảm xâm lấn và rút ngắn thời gian lành thương. Sau khi trụ ổn định, bác sĩ sẽ gắn mão sứ hoàn thiện, khôi phục chức năng ăn nhai và thẩm mỹ tự nhiên. Toàn bộ quy trình được theo dõi sát sao, đồng thời bệnh nhân được hướng dẫn chăm sóc tại nhà, đảm bảo kết quả phục hồi bền vững và an toàn.
Chăm sóc hậu phẫu tận tâm
Tại Platinum Dental Group, sau khi hoàn tất quá trình cấy ghép Implant, bệnh nhân luôn được chăm sóc hậu phẫu tận tâm nhằm đảm bảo quá trình lành thương diễn ra nhanh chóng và an toàn. Bác sĩ sẽ hướng dẫn chi tiết cách vệ sinh răng miệng, sử dụng thuốc giảm đau hoặc kháng viêm nếu cần, đồng thời tư vấn chế độ ăn uống phù hợp để hạn chế tác động lên vùng trồng răng.
Ngoài ra, đội ngũ y tá và chuyên viên chăm sóc sẽ theo dõi sát sao tình trạng của trụ Implant trong những ngày đầu, giải đáp mọi thắc mắc và hỗ trợ kịp thời nếu có bất kỳ dấu hiệu bất thường. Nhờ sự chăm sóc hậu phẫu chuyên nghiệp này, cô chú, anh chị có thể yên tâm về hiệu quả lâu dài và cảm giác thoải mái trong suốt quá trình phục hồi.
Các câu hỏi thường gặp
Mất chân răng có trồng răng sứ được không?
Nếu chỉ mất thân răng mà chân răng còn nguyên vẹn, răng sứ có thể phục hồi được hình dáng và chức năng ăn nhai. Tuy nhiên, trong trường hợp chân răng bị mất hoàn toàn, trồng răng sứ trên nướu mà không có Implant không thể thay thế chân răng, dễ dẫn đến tiêu xương, lệch khớp cắn và răng bên cạnh chịu lực quá tải. Do đó, bác sĩ thường khuyến nghị cấy ghép Implant trước khi gắn mão sứ để đảm bảo bền vững và tự nhiên.
Mất chân răng có trám được không?
Trám răng chỉ áp dụng khi răng bị sâu hoặc mẻ nhẹ, còn chân răng vẫn vững chắc. Khi mất chân răng hoàn toàn, trám không thể khôi phục chức năng ăn nhai hoặc ngăn ngừa tiêu xương hàm. Trong trường hợp này, giải pháp tối ưu là cấy Implant hoặc sử dụng cầu răng sứ, hàm giả tháo lắp tùy theo nhu cầu và tình trạng răng miệng.
Mất chân răng có bọc sứ được không?
Bọc sứ giúp cải thiện thẩm mỹ và bảo vệ răng thật còn nguyên vẹn. Nếu chân răng đã mất, bọc sứ không thể thay thế chân răng, và việc bọc trực tiếp trên nướu sẽ không ngăn được tiêu xương. Do đó, với những răng đã mất chân, bác sĩ thường đề xuất cấy Implant rồi bọc mão sứ trên Implant, vừa khôi phục thẩm mỹ, vừa duy trì chức năng ăn nhai lâu dài.
Mất nhiều chân răng có trồng được Implant toàn hàm không?
Hoàn toàn có thể. Với những trường hợp mất nhiều răng hoặc mất toàn hàm, bác sĩ sẽ đánh giá mật độ xương và sức khỏe tổng thể để thiết kế phương án cấy Implant toàn hàm. Thông thường, chỉ cần từ 4-6 trụ Implant là có thể hỗ trợ phục hồi toàn bộ hàm răng bằng cầu sứ cố định, giúp khôi phục chức năng ăn nhai và thẩm mỹ hiệu quả mà không cần cấy Implant cho từng răng riêng lẻ.
Cấy ghép Implant khi mất chân răng có đau không?
Cấy ghép Implant là một thủ thuật nha khoa phẫu thuật nhẹ, thường được thực hiện dưới gây tê cục bộ, do đó trong quá trình cấy trụ, bệnh nhân hầu như không cảm thấy đau. Sau khi hết thuốc tê, vùng cấy Implant có thể bị sưng nhẹ và đau âm ỉ trong 1-3 ngày đầu, tương tự cảm giác sau khi nhổ răng.
Mất chân răng nếu không được phục hồi kịp thời có thể dẫn đến tiêu xương hàm, lệch khớp cắn, ảnh hưởng thẩm mỹ và chức năng ăn nhai. Các phương pháp phục hồi hiện nay như hàm giả tháo lắp, cầu răng sứ hay cấy ghép Implant đều giúp khôi phục răng mất, trong đó Implant được xem là giải pháp tối ưu, vừa thay thế chân răng, vừa duy trì cấu trúc xương và nụ cười tự nhiên. Việc thăm khám sớm và lựa chọn phương pháp phù hợp là bước quan trọng để bảo vệ sức khỏe răng miệng lâu dài.
Cô chú, anh chị có thể liên hệ ngay với Platinum Dental Group qua hotline 096 779 7799 để được tư vấn miễn phí, đánh giá tình trạng răng và lựa chọn giải pháp phục hồi phù hợp nhất.
PLATINUM DENTAL GROUP
Platinum Dental Central:
- Địa chỉ: 127 Nguyễn Cư Trinh, Phường Cầu Ông Lãnh, TP. HCM
- Hotline: 0967 797 799
Platinum Dental Thảo Điền:
- Địa chỉ: 1H Đường số 10, Phường An Khánh, TP. HCM
- Hotline: 096 71 78 799
Email: info@platinumdentalvietnam.com
Website: https://platinumdentalvietnam.com/
Instagram: https://www.instagram.com/platinumdental.vietnam/
Facebook: facebook.com/platinumdentalvn
Xem thêm:
- Giải thích rõ trồng răng sứ giá bao nhiêu trong từng trường hợp
- Trồng răng Implant bao nhiêu tiền 1 cái
- Giải đáp cấy ghép Implant là gì?
- Giải thích trồng răng Implant có đau không?
- Giải thích dán sứ Veneer bao nhiêu tiền?
- Thông tin về làm răng sứ thẩm mỹ

English