Tổng hợp các hình ảnh trồng răng Implant tại Platinum Dental Group
Trong hành trình mang lại nụ cười trọn vẹn, Platinum Dental Group tự hào chia sẻ những hình ảnh trồng răng Implant thực tế – từ những ca đơn lẻ đến toàn hàm. Mỗi bức ảnh là minh chứng cho tài năng, tâm huyết của đội ngũ bác sĩ cùng với công nghệ hiện đại, và cả niềm tin mà khách hàng dành cho chúng tôi. Hãy cùng dõi theo những câu chuyện “trước – sau” ngay dưới đây nhé!
Nội dung bài viết
Hình ảnh kết quả trồng răng Implant đơn lẻ tại Platinum Dental Group
Dưới đây là những trường hợp khách hàng thực tế đã lựa chọn Platinum Dental Group để phục hồi răng đã mất bằng phương pháp cấy ghép Implant đơn lẻ. Mỗi ca là một hành trình lột xác đầy cảm xúc, từ những e ngại ban đầu đến khoảnh khắc tự tin nở nụ cười trọn vẹn.
Hãy cùng nhìn lại sự thay đổi rõ rệt trước – sau điều trị để thấy rằng: một hàm răng chắc khỏe và nụ cười mới hoàn toàn có thể trở lại, dù bạn đang ở bất kỳ giai đoạn nào của tình trạng mất răng.
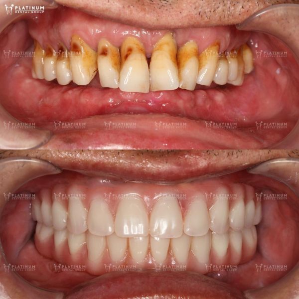
Hành trình lấp đầy khoảng trống nụ cười của MR. Raymond Boost
Mr. Raymond Boost – vị khách đến từ Úc đã từng phải sống trong nhiều năm với tình trạng mất gần như toàn bộ răng hàm. Việc ăn uống trở nên khó khăn khi ông chỉ còn vài chiếc răng cửa để đảm nhiệm chức năng nhai. Những ảnh hưởng kéo dài khiến sức khỏe răng miệng và chất lượng sống suy giảm nghiêm trọng:
- Không thể ăn uống thoải mái như trước do khả năng nhai bị hạn chế
- Răng cửa bị mòn nhanh vì phải chịu lực nhai quá lớn
- Xương hàm tiêu dần theo thời gian tại những vị trí mất răng
- Các răng còn lại yếu đi, sậm màu và có dấu hiệu viêm nhiễm

Sau quá trình thăm khám và tư vấn chuyên sâu tại Platinum Dental Group, ông Raymond đã quyết định lựa chọn giải pháp trồng 4 trụ Implant phục hình toàn bộ hàm răng đã mất. Kết quả mang lại không chỉ là một hàm răng chắc khỏe mà còn là sự tự tin, niềm vui ăn uống và tận hưởng trọn vẹn từng khoảnh khắc cuộc sống.
Mất răng lâu năm, nướu tiêu biến – Liệu có còn cơ hội để lấy lại nụ cười?
Với nhiều người, việc mất một vài chiếc răng có thể chỉ đơn thuần là trồng lại răng mới. Nhưng ở những trường hợp mất răng lâu năm như cô Tuyết Hoa (65 tuổi), vấn đề không còn là chiếc răng riêng lẻ, mà là cả một hệ thống nâng đỡ đã bị tổn hại nghiêm trọng, từ tiêu xương hàm, tụt nướu cho đến sai lệch khớp cắn.
Trước khi tìm đến Platinum Dental Group, cô đã phải sống chung với: Cầu răng sai chỉ định khiến răng sứ mẻ liên tục do không có trụ nâng đỡ phù hợp phía sau; nướu tiêu, tụt sâu, phải dùng nướu giả gây kẹt thức ăn, hôi miệng, mất thẩm mỹ. Chính những điều này đã khiến nụ cười cô không còn tự nhiên, cảm giác thiếu tự tin mỗi khi giao tiếp.

Sau khi được bác sĩ tại Platinum Dental Group thăm khám và xây dựng kế hoạch điều trị cá nhân hóa, cô Tuyết Hoa đã được:
- Trồng Implant ở vùng răng sau để tái lập lại khớp cắn, cải thiện sức nhai.
- Ứng dụng kỹ thuật phục hình nướu Ovate Pontic giúp tái tạo hình dáng nướu thật, không còn phải dùng nướu giả.
- Bọc răng sứ thẩm mỹ, mang lại sự cân đối và hài hòa cho toàn bộ cung hàm.
Kết quả là cô đã có một hàm răng mới chắc khỏe, thẩm mỹ tự nhiên, không còn e ngại khi ăn uống hay trò chuyện. Quan trọng hơn, cô tìm lại được sự tự tin mà mình đã đánh mất suốt nhiều năm.
Khi răng khôn mọc lệch – “Thủ phạm” âm thầm làm mất răng bên cạnh
Không phải ai cũng biết rằng, răng khôn mọc sai hướng không chỉ gây đau nhức tạm thời mà còn có thể là nguyên nhân dẫn đến mất răng vĩnh viễn. Trường hợp bệnh nhân này là một minh chứng điển hình: phim X-quang cho thấy răng khôn hàm dưới bên trái mọc lệch ngang, đâm trực tiếp vào chân răng số 7 bên cạnh. Áp lực kéo dài âm thầm khiến răng khôn bị tiêu xương vùng xa, sâu nặng ở chân răng và cuối cùng không còn đủ điều kiện để giữ lại.

Trước mức độ tổn thương không thể hồi phục, ThS, BS CKII Dương Minh Tùng đã chỉ định nhổ bỏ cả hai răng, đồng thời tiến hành cấy Implant tại vị trí răng số 7 nhằm phục hồi chức năng nhai cho bệnh nhân. Giải pháp này không chỉ đảm bảo lực nhai bền vững như răng thật, mà còn giúp bảo tồn cấu trúc xương hàm, ngăn ngừa tiêu xương trong tương lai, điều mà cầu răng hay hàm tháo lắp không thể làm được. Đây là lý do vì sao Implant luôn là lựa chọn ưu tiên trong các trường hợp mất răng hàm quan trọng.
Cấy ghép Implant trong trường hợp mất 1 răng
Trường hợp bệnh nhân này bị mất răng cối nhỏ hàm dưới bên trái (răng số 35). Khoảng trống đã tồn tại trong thời gian dài, dẫn đến hiện tượng tiêu xương tại vùng mất răng, gây ảnh hưởng không nhỏ đến khả năng ăn nhai cũng như sự ổn định của toàn bộ hàm. Sau khi thăm khám lâm sàng và đánh giá kỹ qua phim X-quang toàn cảnh, đội ngũ bác sĩ tại Platinum xác định chất lượng xương vẫn đủ điều kiện để tiến hành cấy ghép mà không cần ghép xương bổ sung.

Chúng tôi lựa chọn trụ Implant có kích thước phù hợp, đảm bảo tích hợp chắc chắn với xương hàm. Nhờ ứng dụng công nghệ hiện đại, quy trình cấy ghép được thực hiện chính xác, an toàn và ít xâm lấn. Sau khi trụ ổn định, răng sứ được thiết kế bằng công nghệ CAD/CAM và gắn lên Implant, đảm bảo cả về thẩm mỹ, độ sát khít và khớp cắn lý tưởng. Không chỉ khôi phục chức năng nhai như răng thật, kết quả cuối cùng còn giúp bệnh nhân cảm thấy tự tin, thoải mái hơn trong sinh hoạt hằng ngày. Platinum Dental Group luôn đồng hành cùng khách hàng trong việc chăm sóc hậu phẫu, tái khám định kỳ và hướng dẫn duy trì kết quả lâu dài.
Hình ảnh ca nhổ răng nhiễm trùng và cắm Implant tức thì
Răng nhiễm trùng nghiêm trọng là một trong những nguyên nhân phổ biến khiến nhiều người buộc phải nhổ bỏ răng vĩnh viễn. Không chỉ ảnh hưởng đến thẩm mỹ, tình trạng này còn gây suy giảm chức năng nhai và tiềm ẩn nhiều nguy cơ cho sức khỏe tổng thể. Tuy nhiên, với sự tiến bộ của nha khoa hiện đại, đặc biệt là kỹ thuật cắm Implant tức thì, khách hàng hoàn toàn có thể phục hồi răng mất một cách nhanh chóng và an toàn, thay vì phải chờ đợi nhiều tháng như trước đây.

Tại Platinum Dental Group, quy trình điều trị được cá nhân hóa và thực hiện theo chuẩn y khoa: từ bước chẩn đoán bằng phim CT/X-quang, nhổ răng nhẹ nhàng không đau, đến kiểm soát nhiễm trùng kỹ lưỡng trước khi cắm Implant ngay tại vị trí răng vừa nhổ. Nhờ kỹ thuật tiên tiến, trụ Implant có thể được đặt trong cùng một ngày, rút ngắn thời gian điều trị, giảm xâm lấn và phục hồi thẩm mỹ lẫn chức năng ăn nhai gần như tức thì. Bệnh nhân cũng được theo dõi sát sao hậu phẫu và hướng dẫn chăm sóc đúng cách, đảm bảo kết quả bền vững theo thời gian.
Hình ảnh kết quả trồng răng Implant toàn hàm tại Platinum Dental Group
Tiếp theo, hãy cùng xem chi tiết những hình ảnh thực tế về kết quả trồng răng Implant toàn hàm tại Platinum Dental Group – phương pháp tối ưu cho những cô chú anh chị mất toàn bộ răng, giúp tìm lại nụ cười trọn vẹn và sức khỏe răng miệng bền vững cho khách hàng.
Mỗi ca điều trị là một câu chuyện chuyển mình đầy cảm xúc, minh chứng rõ nét cho sự thay đổi tích cực về thẩm mỹ và chức năng nhai sau khi phục hồi toàn bộ hàm răng bằng công nghệ Implant toàn hàm tiên tiến.
Hình ảnh trước và sau khi trồng Implant của Mr. James Harrison
Hành trình của Mr. James Harrison – đến từ Úc là minh chứng cho sức mạnh của công nghệ nha khoa hiện đại trong việc tái tạo nụ cười. Trước khi điều trị, Mr. James phải đối mặt với tình trạng răng mòn, sâu nặng và biến màu do viêm nhiễm kéo dài. Những chiếc răng cửa phía trước bị vỡ và tiêu xương nghiêm trọng, trong khi răng hàm trên và dưới gần như mất hết chức năng, khiến khả năng nhai và thẩm mỹ của anh bị ảnh hưởng lớn.

Sau khi được bác sĩ tại Platinum Dental Group thăm khám và lên kế hoạch điều trị, Mr. James đã lựa chọn phương pháp cấy ghép Implant toàn hàm với 6 trụ cho hàm trên và 6 trụ cho hàm dưới. Kết quả đạt được là một hàm răng trắng sáng, cân đối hài hòa với khuôn mặt, cùng khả năng nhai phục hồi hoàn toàn. Implant mang lại cảm giác chắc chắn, thoải mái như răng thật, giúp anh tự tin tận hưởng cuộc sống hàng ngày. Với quyết định bay từ Úc sang Việt Nam để điều trị, Mr. James đã thực sự tìm lại được nụ cười và sự thoải mái mà mình hằng mong muốn.
Kỹ thuật ALL-ON-6
Mỗi trường hợp mất răng đến với Platinum Dental Group, chúng tôi hiểu rằng khách hàng không chỉ đối mặt với khó khăn trong ăn nhai mà còn chịu ảnh hưởng sâu sắc về ngoại hình và tinh thần. Nỗi lo lắng, trăn trở về sức khỏe răng miệng luôn hiện hữu, bởi một nụ cười khỏe mạnh không chỉ là vấn đề chức năng mà còn là sự tự tin trong cuộc sống hàng ngày.

Với vị khách quốc tế này, phương án tối ưu mà Platinum lựa chọn là kỹ thuật ALL-ON-6. Chỉ sau 2 ngày cấy ghép 6 trụ Implant, một hàm răng cố định với tông màu và kiểu dáng hài hòa, phù hợp với gương mặt đã được gắn cố định lên Implant. Kết quả cuối cùng là một diện mạo trẻ trung và rạng rỡ hơn hẳn, giúp anh lấy lại sự tự tin và niềm vui trong cuộc sống.
Mr. Mario và hành trình lột xác nụ cười nhờ cấy ghép Implant All-on-6
Trước khi tìm đến Platinum Dental Group, Mr. Mario phải sống chung với tình trạng mất toàn bộ răng, điều này không chỉ ảnh hưởng đến khả năng ăn nhai mà còn khiến anh gặp nhiều trở ngại trong sinh hoạt và giao tiếp. Những bữa ăn trở nên thiếu trọn vẹn và nụ cười dần biến mất vì sự tự ti kéo dài.

Giải pháp được lựa chọn cho anh là phương pháp cấy ghép Implant All-on-6 – phục hồi toàn diện cả về chức năng lẫn thẩm mỹ. Sau điều trị, Mr. Mario đã sở hữu một hàm răng chắc khỏe, đều đặn với màu sắc trắng sáng tự nhiên, form răng chuẩn tỉ lệ gương mặt và đường nét hài hòa. Kết quả không chỉ vượt mong đợi mà còn giúp anh tự tin hơn mỗi ngày với nụ cười trọn vẹn.
Chú Tuấn lấy lại nụ cười và chất lượng sống sau nhiều năm mất răng
Trường hợp của chú Tuấn là một trong những minh chứng rõ nét cho việc mất răng lâu năm không phải là dấu chấm hết. Trải qua thời gian dài gặp khó khăn trong ăn nhai và dần đánh mất sự tự tin vì hàm răng xuống cấp, chú đã tìm đến Platinum Dental Group với mong muốn khôi phục lại chức năng và thẩm mỹ răng miệng một cách bền vững.


Sau quá trình thăm khám và lên phác đồ điều trị cá nhân hóa, đội ngũ bác sĩ tại Platinum đã thực hiện phục hình răng bằng phương pháp cấy ghép Implant hiện đại. Không chỉ giúp chú lấy lại hàm răng chắc khỏe và thẩm mỹ tự nhiên, ca điều trị còn mang đến sự thay đổi tích cực về diện mạo và tinh thần. Từ đó, chú có thể tận hưởng cuộc sống một cách trọn vẹn và thoải mái hơn mỗi ngày.
Anh Phúc vượt qua thách thức nhiễm trùng nặng với giải pháp Implant
Anh Phúc tìm đến Platinum Dental Group trong tình trạng khá phức tạp: nhiễm trùng nặng, tiêu xương nghiêm trọng kèm theo một nang lớn, và từng được đánh giá là không đủ điều kiện xương để cắm Implant. Đây là một ca lâm sàng nhiều thách thức, đòi hỏi bác sĩ không chỉ có chuyên môn cao mà còn phải đưa ra kế hoạch điều trị chính xác, an toàn trong từng bước.


Với sự tập trung tối đa và kỹ thuật điều trị hiện đại, đội ngũ bác sĩ tại Platinum đã hoàn tất toàn bộ quy trình: loại bỏ ổ nhiễm trùng, lấy nang, ghép xương tái tạo và cắm 5 trụ Implant hàm trên, đồng thời phục hình tạm ngay sau phẫu thuật. Kết quả là anh Phúc đã có thể tự tin rạng rỡ với hàm răng mới, phục hồi đầy đủ chức năng ăn nhai và thẩm mỹ, kịp đón Tết với nụ cười trọn vẹn.
Hành trình lấy lại nụ cười của cô Kim Ngân
Sau nhiều năm mất gần như toàn bộ răng hàm trên, cô Kim Ngân đã gặp không ít khó khăn trong việc ăn uống. Tình trạng tiêu xương hàm ngày càng nghiêm trọng không chỉ ảnh hưởng đến chức năng nhai mà còn khiến gương mặt cô trông già hơn, giảm đi sự tự tin vốn có. Quyết tâm khắc phục tình trạng này, cô đã lựa chọn phương pháp cấy ghép Implant tại Platinum Dental để lấy lại nụ cười và chất lượng cuộc sống.

Phương án điều trị mà đội ngũ bác sĩ đề xuất là cấy ghép 6 trụ Implant hiện đại, đảm bảo phục hồi toàn bộ hàm trên. Kết quả sau điều trị là sự tích hợp chắc chắn của các trụ Implant, nâng đỡ vững vàng cho cầu răng sứ cố định, giúp cô Kim Ngân có được khả năng ăn nhai như răng thật. Cô chia sẻ rằng ban đầu từng lo lắng về đau đớn và thời gian hồi phục, nhưng trải nghiệm tại Platinum Dental Group lại nhẹ nhàng và nhanh chóng hơn nhiều. Giờ đây, cô không chỉ thoải mái thưởng thức bữa ăn mà còn rạng rỡ, tự tin hơn mỗi khi cười nói.
Mr. David vượt qua mất răng toàn hàm với giải pháp Implant toàn diện
Trước tháng 9/2025, mỗi bữa ăn của Mr. David đều trở nên khó khăn và bất tiện khi phải nhờ đến “người bạn bất đắc dĩ” – cây kéo để cắt nhỏ thức ăn. Với hàm dưới mất toàn bộ răng và hàm giả tháo lắp không còn đáp ứng tốt, cộng thêm tình trạng các răng nhai hàm trên bị mất và cầu răng trước lỏng lẻo, viêm đau, việc ăn uống trở thành nỗi ám ảnh. Đối với người lớn tuổi như Mr. David, đó không chỉ là mất đi sự tiện lợi mà còn là cảm giác buồn bã, mất tự tin trong cuộc sống thường nhật.

May mắn thay, khi đến với Platinum Dental Group, Mr. David đã được lắng nghe tận tâm và tư vấn kỹ càng bởi Bác sĩ CKI Trần Lan Anh cùng Thạc sĩ, Bác sĩ CKII Dương Minh Tùng. Phác đồ điều trị được xây dựng dựa trên tình trạng thực tế và mong muốn của chú, bao gồm tháo gỡ cầu răng cũ, nhổ những răng còn viêm nhiễm, đặt đồng thời 6 trụ Implant hàm trên và 6 trụ hàm dưới trong một lần điều trị, với răng tạm cố định chỉ sau 2 ngày. Chỉ sau một tuần, Mr. David đã nhẹ nhàng chào đón nụ cười mới cùng sự phục hồi chức năng ăn nhai, mở ra một chương mới đầy tự tin và trọn vẹn cho cuộc sống.
Hành trình lấy lại nụ cười hoàn hảo: Trồng răng Implant tại Platinum Dental Group
Để bạn có cái nhìn rõ hơn về quy trình trồng răng Implant tại Platinum Dental Group, dưới đây là những hình ảnh thực tế được ghi lại trong quá trình thăm khám, phẫu thuật và phục hình. Mỗi khoảnh khắc đều thể hiện sự tỉ mỉ, tận tâm và chuyên nghiệp của đội ngũ bác sĩ trong hành trình kiến tạo nụ cười mới cho khách hàng tại Platinum Dental Group!








Trên đây là những hình ảnh trồng răng Implant thực tế tại Platinum Dental Group, hy vọng bạn đã có cái nhìn rõ nét hơn về quy trình điều trị cũng như chất lượng chuyên môn mà chúng tôi mang lại. Mỗi ca điều trị không chỉ là phục hồi chức năng ăn nhai, mà còn là hành trình tái tạo nụ cười và sự tự tin cho từng khách hàng. Liên hệ ngay với Platinum Dental Group qua hotline 096 779 77 99 để được tư vấn miễn phí và bắt đầu hành trình khôi phục nụ cười bằng giải pháp Implant an toàn, bền vững.
Xem thêm:
- Giải đáp: làm răng sứ giá bao nhiêu?
- Chi tiết cấy ghép răng Implant giá bao nhiêu?
- Tìm hiểu quy trình cắm răng Implant
- Thắc mắc về trồng Implant có đau không?
- Giải thích dán sứ Veneer bao nhiêu tiền?
- Tổng quan làm răng thẩm mỹ

English