Vôi Răng Là Gì? Nguyên Nhân, Triệu Chứng Và Cách Phòng Ngừa
Vôi răng là một trong những vấn đề răng miệng phổ biến nhất hiện nay. Nó ảnh hưởng không chỉ đến sức khỏe răng miệng mà còn có thể gây ra những vấn đề nghiêm trọng cho cơ thể. Tuy nhiên, nhiều người vẫn chưa hiểu rõ về vôi răng là gì và cách phòng ngừa cũng như điều trị nó. Trong bài viết này, Platinum Dental sẽ giải đáp tất cả những thắc mắc xoay quanh vấn đề này và cung cấp cho bạn những thông tin hữu ích để duy trì sức khỏe răng miệng của mình.
Nội dung bài viết
Vôi răng là gì?
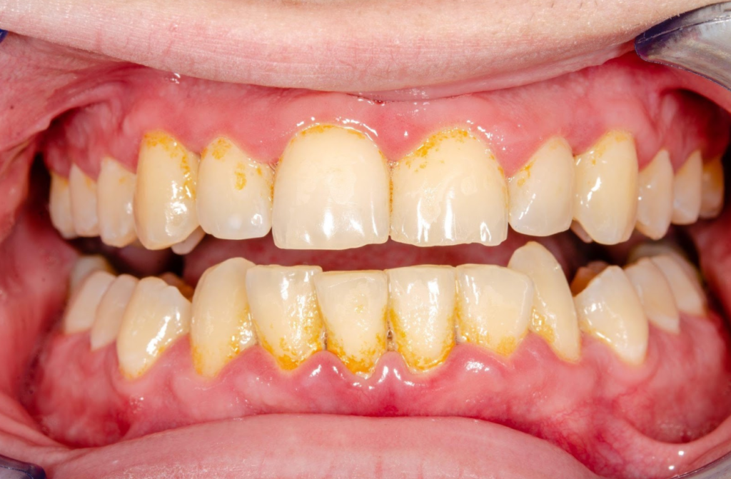
Vôi răng hay còn được gọi là mảng bám răng, là một lớp màng dính bám trên bề mặt răng, thường có màu trắng hoặc vàng nhạt. Đây là một trong những vấn đề răng miệng phổ biến nhất và có thể xảy ra ở bất kỳ ai, bất kể tuổi tác hay giới tính. Vôi răng được hình thành từ sự kết tủa của các khoáng chất trong nước bọt miệng, cộng với vi khuẩn và mảng bám thức ăn.

Nguyên nhân gây ra vôi răng
Vôi răng có thể được hình thành do nhiều nguyên nhân khác nhau, bao gồm:
- Thói quen ăn uống không lành mạnh: Đồ uống có ga, đồ ngọt, rượu, thuốc lá, cà phê và trà đều có thể gây ra vôi răng.
- Chăm sóc răng miệng không đúng cách: Nếu bạn không đánh răng đủ lâu hoặc không đúng cách, vôi răng có thể dễ dàng hình thành trên bề mặt răng.
- Thiếu vệ sinh răng miệng: Nếu bạn không sử dụng chỉ nha khoa hoặc không súc miệng sau khi ăn uống, vi khuẩn và mảng bám thức ăn có thể tích tụ và gây ra vôi răng.
- Bệnh lý răng miệng: Các bệnh lý như viêm nướu, sâu răng hay viêm lợi có thể làm cho bề mặt răng dễ bị vôi hóa hơn.
- Yếu tố di truyền: Nếu trong gia đình bạn có người bị vôi răng, khả năng bạn cũng sẽ gặp phải vấn đề này là rất cao.
Các yếu tố ảnh hưởng đến vôi răng
Ngoài các nguyên nhân trên, còn có một số yếu tố khác có thể ảnh hưởng đến quá trình hình thành và phát triển của vôi răng. Điều này bao gồm:

- Tuổi tác: Với tuổi tác, men răng sẽ mất đi và răng dễ bị tổn thương hơn, dẫn đến việc hình thành vôi răng.
- Sức khỏe tổng thể: Những người có hệ miễn dịch yếu hoặc bị suy giảm sức khỏe do bệnh tật có thể dễ dàng bị vôi răng hơn.
- Thuốc: Một số loại thuốc như thuốc chống trầm cảm, thuốc chống co giật và thuốc chống dị ứng có thể làm cho miệng khô, tạo điều kiện thuận lợi cho vi khuẩn và mảng bám thức ăn tích tụ.
- Mang thai: Trong quá trình mang thai, nồng độ hormone trong cơ thể phụ nữ sẽ tăng lên, làm cho miệng khô và dễ bị vôi răng hơn.
Dấu hiệu nhận biết vôi răng
Vôi răng có thể không gây ra bất kỳ triệu chứng nào ở giai đoạn đầu, khi chỉ mới hình thành những mảng nhỏ. Tuy nhiên, khi lớp vôi dày lên, bạn có thể bắt đầu cảm thấy những triệu chứng khó chịu sau:
- Răng bị nhạt màu hoặc có màu vàng: Đây là dấu hiệu rõ ràng nhất của vôi răng. Lớp vôi dày lên sẽ làm cho răng trông nhợt nhạt và không còn màu trắng sáng như trước.
- Hơi thở có mùi khó chịu: Vôi răng là một môi trường thuận lợi cho vi khuẩn sinh sống và phát triển. Khi vi khuẩn tích tụ, chúng sẽ tạo ra các chất gây mùi hôi trong miệng.
- Cảm giác khó chịu và nặng miệng: Vôi răng có thể làm cho bạn cảm thấy khó chịu và nặng miệng, đặc biệt sau khi ăn uống hoặc khi thức dậy vào buổi sáng.
- Răng bị nhạy cảm: Lớp vôi dày lên có thể làm cho men răng mất đi, khiến cho răng trở nên nhạy cảm với các kích thích như nhiệt độ hay đường chát.
Tác hại của cao răng
Nếu không được điều trị kịp thời, vôi răng có thể gây ra những biến chứng nghiêm trọng cho sức khỏe răng miệng. Dưới đây là những dấu hiệu cảnh báo bạn nên để ý:

- Viêm nướu: Vôi răng có thể làm cho vi khuẩn tích tụ và gây ra viêm nướu. Nếu không được điều trị kịp thời, viêm nướu có thể lan sang các mô và cấu trúc xung quanh răng, gây ra những tổn thương nghiêm trọng.
- Sâu răng: Khi vôi răng không được loại bỏ, nó có thể làm cho bề mặt răng bị ăn mòn và tạo ra những lỗ hổng. Điều này sẽ tạo điều kiện thuận lợi cho vi khuẩn và mảng bám thức ăn tích tụ, gây ra sâu răng.
- Viêm lợi: Vôi răng có thể làm cho các mảng bám thức ăn tích tụ dưới nướu, gây ra viêm lợi. Nếu không được điều trị kịp thời, viêm lợi có thể lan sang các cấu trúc xương và gây ra những tổn thương nghiêm trọng.
Cách phòng ngừa vôi răng
Để ngăn ngừa vôi răng, bạn cần chú ý đến những thói quen ăn uống và chăm sóc răng miệng hàng ngày. Dưới đây là những cách đơn giản để giảm thiểu nguy cơ bị vôi răng:
Thay đổi thói quen ăn uống
Thói quen ăn uống không lành mạnh là một trong những nguyên nhân chính gây ra vôi răng. Vì vậy, việc thay đổi thói quen ăn uống là một trong những cách hiệu quả nhất để ngăn ngừa vôi răng. Dưới đây là những lời khuyên bạn nên áp dụng:
- Hạn chế sử dụng đồ uống có ga: Đồ uống có ga chứa nhiều đường và acid, gây ra sự tăng trưởng của vi khuẩn và mảng bám thức ăn.
- Tránh các loại đồ uống có màu đậm: Các loại đồ uống có màu đậm như cà phê, trà hay rượu có thể làm cho răng bị nhạt màu và dễ bị vôi hóa hơn.
- Uống nước sau khi ăn uống: Nước có tính kiềm giúp cân bằng lại độ pH trong miệng, giảm thiểu nguy cơ bị vôi răng.
- Ăn nhiều rau xanh và trái cây: Rau xanh và trái cây giàu vitamin và khoáng chất, giúp duy trì sức khỏe răng miệng.

Chăm sóc răng miệng đúng cách
Việc chăm sóc răng miệng đúng cách là điều quan trọng để ngăn ngừa vôi răng. Dưới đây là những lời khuyên bạn nên tuân thủ:

- Đánh răng đúng cách: Đánh răng ít nhất hai lần mỗi ngày, trong ít nhất hai phút mỗi lần. Sử dụng bàn chải có đầu nhỏ và lông mềm để làm sạch kỹ các kẽ răng.
- Sử dụng chỉ nha khoa: Chỉ nha khoa giúp loại bỏ mảng bám thức ăn và vi khuẩn tích tụ trên bề mặt răng và dưới nướu.
- Súc miệng sau khi ăn uống: Súc miệng với nước muối hoặc dung dịch súc miệng có chứa clorexidin giúp giảm thiểu vi khuẩn và mảng bám thức ăn trong miệng.
Điều trị các bệnh lý răng miệng liên quan
Nếu bạn đã bị vôi răng, điều quan trọng là phải điều trị các bệnh lý răng miệng liên quan để ngăn ngừa tình trạng tái phát. Điều này bao gồm:
-
- Điều trị viêm nướu: Nếu bạn bị viêm nướu, hãy điều trị kịp thời để ngăn ngừa vi khuẩn và mảng bám thức ăn tích tụ.
- Điều trị sâu răng: Nếu bạn bị sâu răng, hãy điều trị kịp thời để loại bỏ các lỗ hổng trên bề mặt răng và ngăn ngừa vi khuẩn tích tụ.
- Điều trị viêm lợi: Nếu bạn bị viêm lợi, hãy điều trị kịp thời để giảm thiểu vi khuẩn và mảng bám thức ăn dưới nướu.
Xem thêm:
- Bọc răng sứ giá bao nhiêu 1 chiếc?
- Giải đáp cấy ghép Implant giá bao nhiêu?
- Tổng quan trồng răng bằng cấy ghép Implant?
- Giải đáp cấy Implant có đau không?
- Bọc răng sứ Veneer giá bao nhiêu?
- Thông tin về làm răng sứ thẩm mỹ
Phương pháp điều trị vôi răng
Nếu đã bị vôi răng, bạn cần phải điều trị kịp thời để ngăn ngừa những biến chứng nghiêm trọng. Dưới đây là những phương pháp điều trị thông dụng cho vôi răng:
Điều trị tại nhà
Đối với những trường hợp vôi răng nhẹ, bạn có thể điều trị tại nhà bằng cách sử dụng các sản phẩm chuyên dụng như kem đánh răng chứa fluoride hoặc gel tẩy vôi răng. Bạn cũng có thể sử dụng chỉ nha khoa để loại bỏ mảng bám thức ăn và vi khuẩn tích tụ trên bề mặt răng.
Điều trị tại phòng khám nha khoa
Nếu vôi răng đã nghiêm trọng, bạn cần phải điều trị tại phòng khám nha khoa. Các phương pháp điều trị tại đây bao gồm:

- Tẩy vôi răng: Bác sĩ sẽ sử dụng các công cụ chuyên dụng để loại bỏ lớp vôi dày lên trên bề mặt răng.
- Điều trị sâu răng: Nếu vôi răng đã gây ra sâu răng, bác sĩ sẽ tiến hành điều trị sâu răng bằng cách làm sạch và lấp đầy các lỗ hổng trên bề mặt răng.
- Điều trị viêm nướu: Nếu vôi răng đã gây ra viêm nướu, bác sĩ sẽ tiến hành điều trị viêm nướu bằng cách làm sạch và loại bỏ các mảng bám thức ăn tích tụ dưới nướu.
- Điều trị viêm lợi: Nếu vôi răng đã gây ra viêm lợi, bác sĩ sẽ tiến hành điều trị viêm lợi bằng cách làm sạch và loại bỏ các mảng bám thức ăn tích tụ dưới nướu.
Lời khuyên để có răng khỏe mạnh
Để duy trì sức khỏe răng miệng và ngăn ngừa vôi răng, bạn cần tuân thủ những lời khuyên sau:
- Điều chỉnh thói quen ăn uống: Hạn chế sử dụng đồ uống có ga và các loại đồ uống có màu đậm. Thay vào đó, hãy tăng cường ăn nhiều rau xanh và trái cây.
- Chăm sóc răng miệng đúng cách: Đánh răng ít nhất hai lần mỗi ngày và sử dụng chỉ nha khoa để loại bỏ mảng bám thức ăn và vi khuẩn tích tụ.
- Điều trị các bệnh lý răng miệng liên quan: Nếu đã bị viêm nướu, sâu răng hoặc viêm lợi, hãy điều trị kịp thời để ngăn ngừa tái phát và biến chứng nghiêm trọng.
- Điều trị vôi răng kịp thời: Nếu đã bị vôi răng, hãy điều trị kịp thời để ngăn ngừa những biến chứng nghiêm trọng.
- Điều trị định kỳ tại nha khoa: Hãy điều trị định kỳ tại nha khoa để bác sĩ có thể kiểm tra và điều trị các vấn đề răng miệng kịp thời.
Khi hình thành vôi răng, chỉ có chuyên gia nha khoa mới có thể loại bỏ được chúng. Vì vậy, hãy đến nha sĩ 6 tháng 1 lần để loại bỏ mảng bám và cao răng. Vệ sinh răng miệng đúng cách để ngăn ngừa vôi răng hình thành và các vấn đề răng miệng và sức khỏe khác. Platinum Dental cung cấp dịch vụ lấy vôi răng không gây khó chịu khi thực hiện, liên hệ hotline 096 779 7799 để được tư vấn và đặt lịch.
Tham khảo:
Cạo vôi răng xong ăn gì tốt nhất
Phương pháp cạo vôi răng và đánh bóng cho sức khỏe răng miệng

English