Trồng răng Implant All On 4 – Giải pháp phục hồi răng toàn hàm hiệu quả
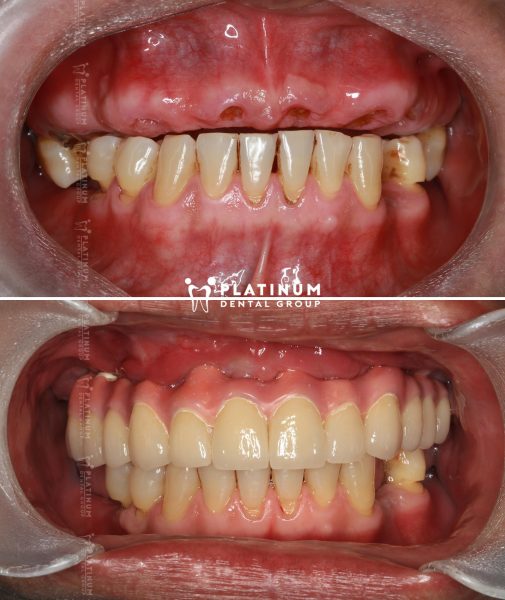
Mất răng toàn hàm không chỉ ảnh hưởng đến thẩm mỹ mà còn gây khó khăn trong ăn nhai và giao tiếp. Phương pháp trồng răng Implant All On 4 ra đời như một giải pháp hữu hiệu, giúp cô chú, anh chị phục hồi toàn bộ hàm răng cố định chỉ với 4 trụ Implant. Tại Platinum Dental Group, kỹ thuật này được thực hiện theo quy trình cá nhân hóa, ứng dụng công nghệ tiên tiến, mang đến nụ cười tự nhiên, chắc khỏe và bền vững lâu dài.
Nội dung bài viết
- 1 Trồng răng Implant All On 4 là gì?
- 2 Phương pháp trồng răng Implant All On 4 phù hợp với ai?
- 3 Ưu điểm của phương pháp Implant All On 4
- 4 Quy trình trồng răng Implant All On 4 chi tiết tại Platinum Dental Group
- 5 Chi phí trồng răng Implant All On 4
- 6 Platinum Dental Group – địa chỉ trồng răng Implant All On 4 uy tín tại TP.HCM
- 6.1 Đội ngũ bác sĩ chuyên sâu Implant
- 6.2 Platinum Dental Group – Trung tâm nha khoa kỹ thuật cao
- 6.3 Vật liệu cao cấp
- 6.4 Quy trình cá nhân hóa, khoa học và chuẩn xác
- 6.5 Trải nghiệm thoải mái, ít đau, riêng tư
- 6.6 Cam kết chất lượng – Bảo hành lâu dài
- 6.7 Phản hồi của khách hàng sau khi trồng Implant All On 4
- 7 Câu hỏi thường gặp (FAQ)
- 7.1 Trồng răng Implant All On 4 có đau không?
- 7.2 Thời gian thực hiện và hồi phục mất bao lâu?
- 7.3 Tuổi thọ của All On 4 là bao nhiêu?
- 7.4 All On 4 có cần ghép xương không?
- 7.5 Trồng răng Implant All On 4 tại Platinum Dental Group có được bảo hành không?
- 7.6 Người lớn tuổi có trồng răng Implant All On 4 được không?
Trồng răng Implant All On 4 là gì?
Trồng răng Implant All On 4 là giải pháp phục hồi toàn hàm hiện đại, giúp tái tạo lại toàn bộ răng đã mất chỉ với 4 trụ Implant cho mỗi hàm. Phương pháp này đặc biệt phù hợp với:
- Cô chú, anh chị mất nhiều răng hoặc mất răng toàn hàm.
- Đeo hàm giả lâu năm nhưng bị lỏng, vướng víu, khó ăn nhai hoặc dễ tuột khi nói chuyện.
- Trường hợp tiêu xương hàm nhiều, không đủ điều kiện để cấy nhiều trụ Implant thông thường.
- Người bị nha chu nặng, mất nhiều răng liên tiếp và mong muốn phục hồi lại hàm răng cố định, chắc khỏe.

Phương pháp All On 4 được xem là bước tiến vượt bậc trong phục hồi răng đã mất, bởi chỉ cần số lượng trụ Implant tối thiểu nhưng vẫn đảm bảo độ vững chắc, ổn định và thẩm mỹ như răng thật. Nhờ vậy, cô chú anh chị có thể phục hồi cả hàm răng trong thời gian ngắn, tiết kiệm chi phí và giảm thiểu xâm lấn phẫu thuật.
So với các phương pháp cầu răng – hàm tháo lắp, All On 4 mang lại trải nghiệm ăn nhai tự nhiên, cảm giác thoải mái và tuổi thọ sử dụng cao hơn đáng kể. Trồng răng Implant All On 4 là lựa chọn tối ưu cho những ai mong muốn khôi phục toàn bộ chức năng và thẩm mỹ răng miệng một cách lâu dài, an toàn và hiệu quả.
Phương pháp trồng răng Implant All On 4 phù hợp với ai?
Không phải mọi trường hợp mất răng đều cần đến kỹ thuật Implant All On 4. Phương pháp này được chỉ định cho những người mất răng toàn hàm hoặc mất nhiều răng liên tiếp, mong muốn phục hình cố định, đảm bảo chức năng ăn nhai và tính thẩm mỹ lâu dài. Tuy nhiên, để đạt hiệu quả tối ưu, việc xác định đúng đối tượng phù hợp là rất quan trọng.
Đối tượng phù hợp
- Người mất răng toàn hàm hoặc mất nhiều răng (>8 răng liên tiếp): Đây là nhóm đối tượng lý tưởng nhất để áp dụng All On 4. Phương pháp giúp khôi phục trọn vẹn cả hàm răng chỉ với 4 trụ Implant, tiết kiệm thời gian và chi phí so với cấy ghép từng trụ riêng lẻ.
- Người không muốn sử dụng hàm tháo lắp: Với nhiều cô chú, anh chị lớn tuổi, hàm tháo lắp thường gây vướng víu, lỏng lẻo và khó ăn nhai. All On 4 mang lại cảm giác chắc chắn, cố định và tự nhiên hơn, đồng thời không gây cộm hay tổn thương nướu.
- Trường hợp có cấu trúc xương hàm đủ điều kiện: All On 4 phù hợp với người có xương hàm còn đủ độ dày, mật độ ổn định, không cần hoặc chỉ cần ghép xương nhẹ. Nhờ thiết kế đặc biệt của 2 trụ sau nghiêng 30-45°, bác sĩ có thể tận dụng tối đa phần xương còn lại mà vẫn đảm bảo độ vững chắc cho toàn hàm.
- Người mong muốn phục hồi răng đã mất nhanh chóng, thẩm mỹ cao: Những ai cần có răng sớm để giao tiếp, sinh hoạt, hoặc muốn cải thiện diện mạo khuôn mặt nhanh chóng có thể lựa chọn All On 4, vì phương pháp này cho phép gắn răng tạm trong 24-48 giờ sau phẫu thuật.

Trường hợp không nên/hạn chế áp dụng
- Xương hàm quá mỏng, quá ngắn hoặc bị tiêu xương nghiêm trọng: Trong những trường hợp này, trụ Implant khó đạt độ vững chắc cần thiết, bác sĩ có thể chỉ định ghép xương trước hoặc chuyển sang kỹ thuật All On 6 để tăng độ nâng đỡ.
- Người mắc bệnh lý toàn thân chống chỉ định Implant: cô chú, anh chị có các bệnh như loãng xương nặng, ung thư hoặc rối loạn đông máu cần được thăm khám kỹ lưỡng. Bác sĩ sẽ đánh giá tình trạng sức khỏe tổng quát trước khi quyết định có nên cấy ghép hay không.
- Trường hợp lệch hàm, sai khớp cắn hoặc tổn thương xương nặng: Với những trường hợp này, việc trồng Implant cần kết hợp điều chỉnh cấu trúc xương, chỉnh nha hoặc phẫu thuật hỗ trợ trước khi thực hiện All On 4.
- Người không thể đảm bảo tuân thủ chăm sóc sau điều trị: Sau khi cấy ghép, việc tái khám, vệ sinh răng miệng đúng hướng dẫn là yếu tố quan trọng giúp trụ Implant tích hợp bền vững. Nếu không thể đảm bảo quá trình này, hiệu quả phục hồi răng đã mất có thể bị ảnh hưởng.
Implant All On 4 là lựa chọn tối ưu cho người mất răng toàn hàm, giúp khôi phục chức năng ăn nhai, phát âm và thẩm mỹ khuôn mặt một cách toàn diện. Tuy nhiên, mỗi trường hợp đều cần được bác sĩ chuyên khoa Implant thăm khám, chụp CT 3D và đánh giá chi tiết để xác định có đủ điều kiện thực hiện hay không. Tại Platinum Dental Group, quy trình kiểm tra được thực hiện cẩn trọng, cá nhân hóa cho từng khách hàng, đảm bảo mang đến phác đồ điều trị an toàn, chính xác và hiệu quả lâu dài.
Ưu điểm của phương pháp Implant All On 4
So với hàm tháo lắp truyền thống hay cấy ghép nhiều trụ riêng lẻ, Implant All On 4 được xem là bước tiến vượt bậc trong phục hồi răng đã mất toàn hàm hiện đại. Phương pháp này không chỉ giúp rút ngắn thời gian điều trị mà còn mang lại hiệu quả lâu dài về thẩm mỹ, chức năng và sức khỏe răng miệng.
Sử dụng ít trụ, giảm xâm lấn
Kỹ thuật All On 4 chỉ cần 4 trụ Implant cho mỗi hàm, thay vì 6-10 trụ như phương pháp truyền thống. Nhờ vậy, quá trình phẫu thuật trở nên nhẹ nhàng, ít can thiệp mô nướu, hạn chế sưng đau và rút ngắn thời gian hồi phục. Việc sử dụng ít trụ cũng giúp giảm chi phí tổng thể nhưng vẫn đảm bảo độ vững chắc và ổn định cho toàn bộ hàm răng.

Thời gian phục hồi nhanh hơn, có thể lắp răng tạm sớm
Một trong những ưu điểm nổi bật của All On 4 là khả năng gắn răng tạm chỉ sau 24-48 giờ kể từ khi cấy trụ. Nhờ thiết kế đặc biệt và kỹ thuật đặt trụ nghiêng chính xác, bệnh nhân vẫn có thể ăn nhai nhẹ, giao tiếp và sinh hoạt bình thường ngay sau khi phẫu thuật. Điều này đặc biệt ý nghĩa với những cô chú, anh chị cần phục hồi răng đã mất nhanh chóng để đảm bảo công việc và thẩm mỹ.
Giảm nhu cầu ghép xương/nâng xoang trong nhiều trường hợp
Hai trụ Implant phía sau được đặt nghiêng 30-45° giúp tận dụng tối đa phần xương sẵn có ở vùng hàm sau. Nhờ đó, trong phần lớn trường hợp, không cần thực hiện ghép xương hoặc nâng xoang phức tạp, giúp tiết kiệm thời gian, chi phí và giảm rủi ro trong điều trị. Có thể nói phương pháp phục hồi răng đã mất bằng Implant All On 4 là một lợi thế lớn cho người bị tiêu xương nhẹ đến trung bình, đặc biệt là ở người lớn tuổi.
Khôi phục khả năng ăn nhai
Cấu trúc Implant All On 4 được thiết kế vững chắc, giúp lực nhai được phân bổ đồng đều trên toàn hàm. Người điều trị có thể ăn uống thoải mái, nhai được các món cứng hoặc dai như răng thật mà không lo lỏng, rơi như hàm tháo lắp. Bên cạnh đó, cảm giác ăn nhai được khôi phục tự nhiên, giúp duy trì hệ tiêu hóa và sức khỏe tổng thể tốt hơn.

Tăng tính thẩm mỹ cho khuôn mặt
Mất răng lâu ngày thường khiến xương hàm tiêu, má hóp, môi mỏng và gương mặt già hơn tuổi. Khi trồng răng Implant All On 4, cấu trúc hàm được tái tạo, giúp đỡ má, nâng môi và phục hồi đường nét khuôn mặt tự nhiên. Hàm răng sứ cố định được thiết kế vừa khít, màu sắc hài hòa, mang lại nụ cười tươi tắn và trẻ trung hơn.
Cải thiện khả năng phát âm
Răng được cố định chắc chắn, không xê dịch khi nói, giúp phát âm rõ ràng và tự nhiên hơn. Đặc biệt, với những người từng mang hàm tháo lắp, việc chuyển sang All On 4 giúp loại bỏ cảm giác vướng víu, khô miệng hay khó nói, từ đó tăng sự tự tin trong giao tiếp hàng ngày.
Trồng răng Implant All On 4 không chỉ là phương pháp phục hồi răng toàn hàm, mà còn là giải pháp toàn diện giúp khôi phục lại chức năng, thẩm mỹ và sự tự tin cho người mất răng. Với công nghệ cấy ghép hiện đại, kỹ thuật chính xác và vật liệu cao cấp được ứng dụng tại Platinum Dental Group, quá trình điều trị trở nên nhẹ nhàng, an toàn và mang lại kết quả bền vững trong nhiều năm.
Quy trình trồng răng Implant All On 4 chi tiết tại Platinum Dental Group
Tại Platinum Dental Group, mỗi ca trồng răng Implant All On 4 đều được thực hiện theo quy trình tiêu chuẩn quốc tế, đảm bảo an toàn, chính xác và phù hợp với từng khách hàng. Tất cả các bước đều được bác sĩ chuyên khoa Implant trực tiếp thực hiện, dưới sự hỗ trợ của công nghệ chẩn đoán hình ảnh 3D và thiết bị cấy ghép hiện đại, giúp quá trình điều trị nhẹ nhàng, ít đau và đạt hiệu quả tối ưu.
Bước 1: Thăm khám tổng quát và lên kế hoạch điều trị cá nhân hóa
Đầu tiên, bác sĩ tiến hành khám tổng quát răng miệng, chụp phim CT Cone Beam 3D để đánh giá tình trạng xương hàm, mô mềm, nướu và khớp cắn. Từ dữ liệu hình ảnh, bác sĩ sẽ phân tích độ dày, mật độ xương, vị trí dây thần kinh và các yếu tố liên quan, nhằm lên phác đồ điều trị riêng biệt cho từng trường hợp.

Tại Platinum Dental Group, quá trình lập kế hoạch được hỗ trợ bằng phần mềm mô phỏng kỹ thuật số, giúp xác định vị trí, góc độ và độ sâu của trụ Implant một cách chính xác tuyệt đối trước khi phẫu thuật.
Bước 2: Phẫu thuật cấy ghép trụ Implant
Sau khi gây tê nhẹ, bác sĩ tiến hành đặt 4 trụ Implant vào xương hàm theo đúng vị trí đã được mô phỏng trước đó.
- 2 trụ phía trước được đặt thẳng đứng.
- 2 trụ phía sau được đặt nghiêng 30-45°, giúp tận dụng xương tối đa và giảm nhu cầu ghép xương.
Toàn bộ quy trình được thực hiện trong phòng phẫu thuật vô trùng đạt chuẩn quốc tế, sử dụng vật liệu Implant chính hãng có chứng nhận CO-CQ. Công nghệ DIO UV Activator được ứng dụng trong giai đoạn này giúp hoạt hóa bề mặt trụ Implant, tăng khả năng tích hợp xương và rút ngắn thời gian lành thương.
Bước 3: Gắn răng tạm để duy trì thẩm mỹ và ăn nhai
Chỉ sau 2 – 3 giờ sau phẫu thuật đặt trụ, cô chú anh chị sẽ được gắn răng tạm cố định để đảm bảo tính thẩm mỹ và khả năng ăn nhai nhẹ. Răng tạm được chế tác bằng vật liệu composite hoặc nhựa cứng, thiết kế hài hòa theo khuôn miệng và gương mặt. Điều này giúp cô chú, anh chị tự tin giao tiếp, sinh hoạt và làm việc bình thường, trong khi trụ Implant vẫn đang tích hợp với xương.

Bước 4: Tái khám và theo dõi quá trình lành thương
Sau khi đặt trụ Implant, bác sĩ sẽ hẹn tái khám định kỳ để kiểm tra mức độ lành thương, sự tích hợp giữa trụ và xương, đồng thời hướng dẫn chăm sóc răng miệng đúng cách. Trong suốt giai đoạn này, đội ngũ điều dưỡng và bác sĩ của Platinum luôn đồng hành, theo dõi sát sao tiến trình hồi phục, đảm bảo mọi chỉ số đều ổn định trước khi phục hồi răng cố định.
Bước 5: Gắn mão răng sứ cố định, hoàn tất quá trình trồng răng Implant
Sau khoảng 3-6 tháng, khi trụ Implant đã tích hợp vững chắc vào xương, bác sĩ sẽ tiến hành gắn cầu răng sứ cố định trên hệ thống trụ. Răng sứ được chế tác tỉ mỉ tại phòng Labo nha khoa kỹ thuật số, đảm bảo:
- Hình dáng và màu sắc tự nhiên như răng thật.
- Cấu trúc bền chắc, chịu lực nhai tốt.
- Tương thích sinh học, an toàn cho mô nướu.
Kết thúc quy trình, cô chú, anh chị sẽ sở hữu hàm răng hoàn chỉnh, ăn nhai chắc chắn, thẩm mỹ tự nhiên, nụ cười trẻ trung và tự tin.

Quy trình trồng răng Implant All On 4 tại Platinum Dental Group được thiết kế khoa học, chuẩn xác và cá nhân hóa cho từng khách hàng. Từ thăm khám đến phục hồi hoàn thiện, mỗi bước đều hướng đến sự an toàn, thẩm mỹ và hiệu quả lâu dài, giúp cô chú, anh chị tìm lại nụ cười trọn vẹn và chất lượng sống tốt hơn.
Chi phí trồng răng Implant All On 4
Tại Platinum Dental Group, chi phí trồng răng Implant All On 4 được niêm yết minh bạch – trọn gói – không phát sinh. Mức giá sẽ thay đổi tùy theo dòng trụ Implant, vật liệu mão sứ và tình trạng xương hàm của từng khách hàng.
Để giúp cô chú anh chị dễ hình dung, dưới đây là bảng giá tham khảo các gói trồng răng Implant đang được áp dụng tại Platinum Dental Group. Bảng giá này đã bao gồm chi phí trụ Implant, phẫu thuật đặt trụ, mão sứ phục hình và tái khám sau điều trị:
| Dịch vụ | Loại trụ Implant | Xuất xứ | Giá trọn gói (VNĐ) | Thời gian bảo hành |
| ALL ON 4 | Implant DIO UV | Hàn Quốc | 150 – 160 triệu/hàm | 10 năm |
| Implant ETK | Pháp | 200 – 240 triệu/hàm | 10 năm | |
| Implant Straumann | Thuỵ Sĩ | 230 – 270 triệu/hàm | 10 năm | |
| Ghép xương | Ghép xương nâng xoang/ vùng | 5 – 10 triệu | ||
| Ghép xương – Nâng xoang hở | 10 – 15 triệu | |||
| Ghép xương toàn hàm | 50 – 70 triệu |
Chi phí trồng răng Implant All On 4 không cố định mà phụ thuộc vào nhiều yếu tố khác nhau, bao gồm tình trạng xương hàm, loại trụ Implant, chất liệu răng sứ, số lượng răng cần phục hồi và các kỹ thuật hỗ trợ đi kèm.

- Loại trụ Implant sử dụng: Các dòng Implant cao cấp như Straumann (Thụy Sĩ) hoặc Nobel Biocare (Mỹ) có khả năng tích hợp xương nhanh, độ bền cao, bảo hành lâu dài, nên chi phí thường cao hơn. Trong khi đó, các dòng Implant Hàn Quốc (như DIO, Dentium) có giá “mềm” hơn nhưng vẫn đảm bảo chất lượng và độ ổn định, phù hợp với đa dạng khách hàng.
- Tình trạng xương hàm và mô nướu: Nếu cô chú, anh chị bị tiêu xương nặng, cần ghép xương hoặc nâng xoang, tổng chi phí sẽ tăng thêm do phát sinh thêm thủ thuật và vật liệu cấy ghép.
- Loại răng sứ phục hình: Răng sứ Zirconia nguyên khối hoặc Cercon HT có độ bền và thẩm mỹ cao hơn so với răng sứ Titan, nên chi phí sẽ cao hơn tương ứng.
- Trình độ bác sĩ và công nghệ áp dụng: Tại Platinum Dental Group, các ca All On 4 đều được bác sĩ chuyên khoa Implant trên 10 năm kinh nghiệm thực hiện, ứng dụng công nghệ mô phỏng 3D và DIO UV Activator để đảm bảo độ chính xác, an toàn và rút ngắn thời gian lành thương,đây là yếu tố giá trị mà chi phí phản ánh trực tiếp.
Platinum Dental Group – địa chỉ trồng răng Implant All On 4 uy tín tại TP.HCM
Việc lựa chọn nha khoa thực hiện Implant All On 4 đóng vai trò then chốt, quyết định đến hiệu quả phục hồi – độ bền – thẩm mỹ của toàn bộ quá trình. Với hơn 10 năm kinh nghiệm chuyên sâu trong lĩnh vực Implant nha khoa, Platinum Dental Group tự hào là địa chỉ được hàng nghìn khách hàng tin chọn, đặc biệt trong các ca trồng răng toàn hàm phức tạp.
Đội ngũ bác sĩ chuyên sâu Implant
Tại Platinum Dental Group, các ca Implant All On 4 được thực hiện trực tiếp bởi đội ngũ bác sĩ cấy ghép được đào tạo chuyên sâu trong và ngoài nước, có chứng chỉ quốc tế từ Hiệp hội Implant Hoa Kỳ (ICOI) và Hiệp hội Implant Hàn Quốc (KAOI). Bác sĩ không chỉ am hiểu cấu trúc xương – nướu mà còn có kinh nghiệm xử lý các ca tiêu xương nặng, mất răng toàn hàm, ghép xương phức tạp, giúp cô chú, anh chị an tâm tuyệt đối trong suốt quá trình điều trị.

Platinum Dental Group – Trung tâm nha khoa kỹ thuật cao
Là trung tâm nha khoa kỹ thuật cao, Platinum Dental Group được đầu tư đồng bộ hệ thống trang thiết bị hiện đại, hỗ trợ tối đa cho toàn bộ quy trình trồng răng Implant toàn hàm, từ chẩn đoán, lập kế hoạch điều trị đến phục hình sau cùng.
- Công nghệ DIO UV Activator giúp hoạt hóa bề mặt trụ Implant, tăng khả năng tích hợp xương gấp đôi, rút ngắn thời gian lành thương.
- Máy chụp CT Cone Beam 3D cho hình ảnh cấu trúc xương chính xác đến từng milimet.
- Phần mềm mô phỏng Implant 3D – Guided Surgery giúp bác sĩ lên kế hoạch cấy ghép chính xác, hạn chế xâm lấn và giảm đau.
- Hệ thống vô trùng khép kín tiêu chuẩn y khoa quốc tế, đảm bảo an toàn tuyệt đối cho cô chú, anh chị trong mọi thao tác điều trị.

Vật liệu cao cấp
Platinum Dental Group chỉ sử dụng trụ Implant chính hãng 100% từ Hàn Quốc, Đức, Thụy Sĩ, Mỹ, đi kèm tem – phiếu bảo hành – mã truy xuất nguồn gốc rõ ràng. Phần phục hình được chế tác từ vật liệu sứ cao cấp Zirconia hoặc Cercon HT, có độ bền cao, màu sắc tự nhiên như răng thật, giúp khôi phục trọn vẹn thẩm mỹ và chức năng ăn nhai.
Quy trình cá nhân hóa, khoa học và chuẩn xác
Mỗi khách hàng tại Platinum đều được thiết kế kế hoạch điều trị riêng biệt dựa trên:
- Tình trạng xương, nướu và khớp cắn.
- Mong muốn thẩm mỹ cá nhân.
- Sức khỏe tổng quát và khả năng tài chính.
Bác sĩ sẽ giải thích chi tiết từng bước, mô phỏng kết quả điều trị trước khi thực hiện, giúp cô chú, anh chị hiểu rõ và chủ động trong mọi quyết định. Toàn bộ quy trình được giám sát bằng hệ thống kỹ thuật số, đảm bảo tối ưu kết quả – an toàn – không phát sinh chi phí ngoài dự kiến.
Trải nghiệm thoải mái, ít đau, riêng tư
Không chỉ chú trọng chuyên môn, Platinum Dental Group còn đề cao trải nghiệm và cảm xúc của cô chú, anh chị:
- Không gian phòng điều trị riêng biệt, sạch sẽ và thư giãn.
- Sử dụng phương pháp gây tê hiện đại, hạn chế tối đa cảm giác đau hoặc khó chịu.
- Đội ngũ điều dưỡng tận tình theo sát trong suốt quá trình điều trị và hồi phục.
Mỗi cô chú anh chị đều được theo dõi sát sao sau phẫu thuật, đảm bảo quá trình lành thương diễn ra thuận lợi và an toàn tuyệt đối.

Cam kết chất lượng – Bảo hành lâu dài
Platinum Dental Group cam kết:
- Bảo hành trụ Implant từ 10 – 20 năm
- Bảo hành mão răng sứ từ 5 – 10 năm.
- Theo dõi, tái khám định kỳ miễn phí để đảm bảo kết quả phục hồi ổn định lâu dài.
Khi cô chú, anh chị trồng răng All On 4 đều được lưu hồ sơ điều trị điện tử, giúp bác sĩ dễ dàng theo dõi và chăm sóc sau điều trị.
Phản hồi của khách hàng sau khi trồng Implant All On 4
Hàng trăm cô chú, anh chị sau khi thực hiện Implant All On 4 tại Platinum Dental Group đều chia sẻ chung cảm nhận:
- Ăn nhai tự nhiên, thoải mái như răng thật.
- Khuôn mặt trẻ trung và tự tin hơn sau phục hồi răng đã mất.
- Không còn bất tiện, đau nhức hay lo lắng như khi mang hàm tháo lắp.
Với đội ngũ bác sĩ giàu kinh nghiệm, công nghệ tiên tiến, quy trình điều trị chuẩn quốc tế cùng chính sách bảo hành trọn đời, Platinum Dental Group tự hào là địa chỉ uy tín hàng đầu tại TP.HCM trong lĩnh vực trồng răng Implant All On 4. Cô chú, anh chị đến với Platinum không chỉ được phục hồi hàm răng chắc khỏe, mà còn tìm lại nụ cười tự tin và chất lượng sống trọn vẹn.
Xem thêm:
- Giải đáp: làm răng sứ giá bao nhiêu?
- Chi tiết chi phí trồng Implant
- Giải đáp trồng răng Implant là gì?
- Giải thích trồng răng Implant có đau không?
- Thông tin về giá dán sứ Veneer
- Thông tin về làm răng sứ thẩm mỹ
Câu hỏi thường gặp (FAQ)
Trồng răng Implant All On 4 có đau không?
Quá trình cấy ghép Implant All On 4 hầu như không gây đau, vì được thực hiện dưới gây tê cục bộ hoặc gây mê nhẹ tùy trường hợp. Sau phẫu thuật, cô chú, anh chị có thể cảm thấy hơi ê hoặc sưng nhẹ vùng nướu trong 1-2 ngày đầu, nhưng tình trạng này sẽ giảm nhanh nhờ thuốc giảm đau và hướng dẫn chăm sóc của bác sĩ.
Thời gian thực hiện và hồi phục mất bao lâu?
Thông thường, một ca Implant All On 4 được thực hiện trong khoảng 2-3 giờ cho mỗi hàm. Sau phẫu thuật ghép trụ Implant, cô chú, anh chị sẽ được lắp răng tạm để đảm bảo thẩm mỹ và ăn nhai nhẹ.
Thời gian tích hợp xương trung bình khoảng 3-4 tháng, nhanh hơn đáng kể so với phương pháp cấy ghép truyền thống (thường mất 6 tháng). Sau khi xương và trụ Implant tích hợp ổn định, bác sĩ sẽ tiến hành gắn răng sứ cố định, hoàn thiện quá trình phục hồi.
Tuổi thọ của All On 4 là bao nhiêu?
Nếu được thực hiện đúng kỹ thuật và chăm sóc tốt sau điều trị, hệ thống trụ Implant All On 4 có thể sử dụng trên 20 năm, thậm chí trọn đời. Tuổi thọ của răng phục hình (mão sứ) thường dao động từ 10-15 năm, tùy loại vật liệu (Titan, Zirconia, Cercon HT…)
All On 4 có cần ghép xương không?
Ưu điểm nổi bật của kỹ thuật All On 4 là giảm hoặc không cần ghép xương trong đa số trường hợp. Bác sĩ sẽ đặt 2 trụ Implant trước theo phương thẳng và 2 trụ sau theo góc nghiêng 30-45 độ, giúp tận dụng tối đa vùng xương hàm còn lại – đặc biệt hữu ích với người bị tiêu xương sau mất răng lâu năm. Tuy nhiên, trong một số trường hợp xương quá mỏng hoặc tiêu nghiêm trọng, bác sĩ sẽ đánh giá và chỉ định ghép xương tối thiểu để đảm bảo độ vững ổn cho trụ Implant.
Trồng răng Implant All On 4 tại Platinum Dental Group có được bảo hành không?
Toàn bộ các ca trồng Implant All On 4 tại Platinum Dental Group đều được bảo hành chính hãng:
- Trụ Implant: bảo hành từ 10 – 20 năm.
- Răng sứ: bảo hành từ 5-10 năm.
- Tái khám, vệ sinh và kiểm tra định kỳ miễn phí.
Bên cạnh đó, cô chú, anh chị sẽ được cấp thẻ bảo hành điện tử và hồ sơ điều trị cá nhân hóa, giúp dễ dàng theo dõi và chăm sóc răng Implant về sau.
Người lớn tuổi có trồng răng Implant All On 4 được không?
Người lớn tuổi hoàn toàn có thể trồng răng Implant All On 4 nếu sức khỏe tổng quát được kiểm soát tốt. Các bệnh lý mãn tính như tiểu đường, huyết áp, tim mạch không phải là chống chỉ định tuyệt đối, chỉ cần được điều trị ổn định và theo dõi chặt chẽ trước khi cấy ghép.
Thực tế, tại Platinum Dental Group đã có nhiều trường hợp cô chú ở độ tuổi 70-80 vẫn cấy Implant thành công, ăn nhai tốt và hồi phục nhanh. Quan trọng là bác sĩ cần đánh giá kỹ tình trạng xương hàm, mật độ xương và sức khỏe toàn thân, từ đó lên kế hoạch điều trị phù hợp, an toàn cho từng người.
Trồng răng Implant All On 4 không chỉ là giải pháp khôi phục răng toàn hàm hiện đại mà còn là bước ngoặt giúp cô chú, anh chị lấy lại sự tự tin, thoải mái khi ăn nhai và giao tiếp mỗi ngày. Với đội ngũ bác sĩ chuyên sâu Implant, công nghệ tiên tiến hàng đầu cùng chính sách bảo hành trọn đời, Platinum Dental Group cam kết mang đến kết quả điều trị an toàn và thẩm mỹ tự nhiên nhất.
Nếu cô chú, anh chị đang quan tâm đến phương pháp trồng răng toàn hàm All On 4, đừng ngần ngại đặt lịch thăm khám và tư vấn miễn phí tại Platinum Dental Group qua hotline 0967 797 799. Bác sĩ sẽ trực tiếp kiểm tra, chụp CT 3D và lên kế hoạch điều trị cá nhân hóa phù hợp với tình trạng xương hàm và mong muốn của cô chú, anh chị.
Tham khảo:
Trồng Răng Implant Kiêng Ăn Gì Và Nên Ăn Gì Để Nhanh Lành?
Trồng Răng Implant Trả Góp Tại Platinum Dental – Nhẹ Nỗi Lo Chi Phí
Trồng Răng Implant Có Đau Không? Thời Gian Trồng Implant Bao Lâu

English