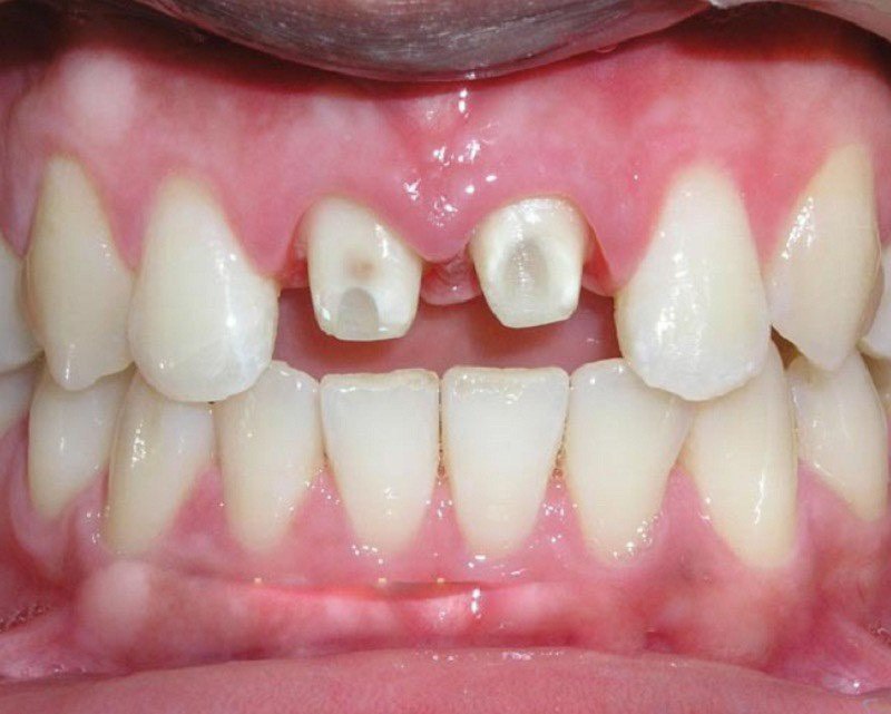
Phải làm gì khi răng sứ rớt ra, nguyên nhân và cách khắc phục ?
Răng sứ rớt ra sau khi bọc do nhiều nguyên nhân kể đến như: do lực tác động, cách chăm sóc răng chưa đúng, kỹ thuật làm răng kém chất lượng,…
Nhiều trường hợp răng sứ bị hư kiểm tra sớm có thể khắc phục được. Nhưng phần lớn bắt buộc phải gắn lại răng sứ mới, thậm chí phải nhổ bỏ cùi răng thật vì đã bị tổn thương nặng.
Những trường hợp này nguyên nhân do đâu và khắc phục như thế nào hiệu quả? Cùng Platinum Dental Group tìm hiểu qua bài viết sau.

Nội dung bài viết
Nguyên nhân vì sao răng sứ rớt ra ngoài
Cùng điểm qua một số nguyên nhân khiến răng sứ rớt ra ngoài:
Do keo dán răng
Thực tế, mão răng sứ sẽ được các nha sĩ gắn cố định vào răng thật bằng một loại keo chuyên dụng trong nha khoa. Loại keo này giúp cố định răng cứng, chắc chắn, tránh tình trạng lệch, dịch chuyển khi vận động hàm như: nhai, cắn,…
Quá trình ăn nhai thức ăn hàng ngày khiến lớp keo liên kết giữa răng sứ và cùi răng thật bị phá vỡ, trong môi trường nước bọt vi khuẩn tác động lên răng tạo nên hiện tượng rỗng cùi và làm cho răng sứ rớt ra.
Do kỹ thuật dán răng
Tay nghề của nha sĩ quyết định đến 80% kết quả phục hình răng sứ và các phương pháp thẩm mỹ răng khác.
Tình trạng răng sứ rớt ra có thể do nha sĩ sử dụng lượng keo dán quá ít. Không đủ độ liên kết hoặc vị trí tiếp xúc giữa keo và răng sứ quá nhỏ không đủ để giữ răng sứ gắn kết chặt chẽ, dẫn đến răng sứ bị rớt ra bên ngoài.
Do hết tuổi thọ răng sứ
Tuy phương pháp phục hình răng sứ thẩm mỹ đem đến rất nhiều lợi ích cho bạn. Song, răng sứ cũng có tuổi thọ và thời gian sử dụng giới hạn. Vì vậy, sau một thời gian sử dụng quá lâu thì hiện tượng răng sứ bị rớt ra, hư hỏng là điều không thể tránh khỏi.
Do lực nhai cắn quá mạnh
Đây là nguyên nhân hàng đầu khiến răng sứ rớt ra bên ngoài. Trong quá trình nhai cắn thức ăn hàng ngày, bạn ăn những thức ăn quá cứng hoặc quá dai. Bắt buộc phải dùng lực mạnh để nghiền nát, cắn xé thức ăn. Điều này gây ra tình trạng răng sứ bị xô lệch hoặc lung lay, thậm chí có thể bị rơi rớt ra. Làm ảnh hưởng đến tính thẩm mỹ và chức năng nhai cắn của răng miệng.
Xem thêm: Răng ê sau khi làm răng sứ
Xem thêm: Răng sứ bị nứt

Biện pháp khắc phục răng sứ rớt ra
Cách khắc phục tình trạng răng sứ rớt đó là bạn nên trực tiếp đến cơ sở nha khoa uy tín để các nha sĩ thăm khám kỹ lưỡng, xác định nguyên nhân khiến răng sứ bị rơi ra, hư hỏng.
Từ đó, có phương pháp xử lý phù hợp nhất cho từng đối tượng cụ thể như sau:
Trường hợp bạn mới phục hình răng, tình trạng răng còn sử dụng tốt
Nếu như bạn nằm trong trường hợp này, thông thường nha sĩ sẽ tiến hành vệ sinh răng miệng kỹ lưỡng cho bạn. Sau đó, làm sạch răng sứ và sử dụng xi măng, keo dán chất lượng cao để gắn cố định răng sứ lại cho vừa khít, khớp chính xác, không hở, không cộm cấn vào cùi răng thật.
Lưu ý: sau khi nha sĩ khắc phục răng lại cho bạn xong, bạn có thể ăn nhai như bình thường. Tuy nhiên, để hạn chế tối đa tình trạng răng sứ rớt ra và bảo vệ tuổi thọ cho răng sứ tối đa. Bạn nên có thói quen chăm sóc răng miệng đúng cách nhé!
Trường hợp răng sứ đã hết tuổi thọ không còn sử dụng được nữa
Trường hợp này, nha sĩ sẽ tiến hành kiểm tra lại cùi răng thật cho bạn. Sau đó tiến hành lấy dấu hàm lại để chế tác lại răng sứ thay thế mới, đảm bảo chức năng ăn, nhai cắn và tính thẩm mỹ cho bạn.
Mão răng sứ sẽ được nha sĩ gắn cố định lại lên răng bằng keo dán nha khoa chất lượng cao, đảm bảo đúng kỹ thuật để răng sứ bền chắc lâu dài, tránh tình trạng răng sứ rớt ra ngoài một lần nữa.
Xem thêm: Răng sứ bể
Biện pháp phòng tránh răng sứ rơi ra
- Bạn không nên tự ý tháo lắp hay tác động khắc phục tình trạng răng.
- Duy trì chế độ chăm sóc răng sau khi bọc sứ như: vệ sinh răng miệng ít nhất 2-3 lần/ngày bằng bàn chải lông mềm, đánh răng nhẹ nhàng và kỹ lưỡng, tránh gây ra tổn thương đến nướu.
- Kết hợp dùng chỉ nha khoa để làm sạch răng miệng, không dùng tăm xỉa răng vì chúng có thể gây chảy máu chân răng, viêm lợi và ảnh hưởng đến tuổi thọ của răng.
- Chú ý chế độ ăn uống không ăn nhai các đồ quá cứng hoặc quá dai.
- Bạn nên đến các cơ sở nha khoa uy tín để thăm khám và lấy cao răng định kỳ ít nhất 6 tháng/1 lần để đảm bảo sức khỏe răng miệng.
- Bạn nên tìm hiểu và lựa chọn nha khoa uy tín để thực hiện việc phục hình răng sứ.
Platinum Dental Group sở hữu đội ngũ nha sĩ, kỹ thuật viên dày dặn kinh nghiệm, không ngừng cập nhật và nâng cao kiến thức chuyên môn. Chúng tôi cam kết mang lại dịch vụ chăm sóc sức khỏe răng miệng và thẩm mỹ răng tốt nhất, uy tín – chất lượng nhất đến với khách hàng.

Vấn đề răng sứ rớt ra không còn đáng lo ngại, hãy đến với nha khoa Platinum Dental Group để khắc phục răng và sử dụng các dịch vụ thẩm mỹ răng hiện đại nhất.
Liên hệ ngay với Platinum Dental Group để nhận báo giá các dịch vụ miễn phí:
- Hotline: 096 779 7799
Trụ sở: 127 Nguyễn Cư Trinh, phường Nguyễn Cư Trinh, Quận 1, Tp. Hồ Chí Minh.
Xem thêm:
- Giải đáp câu hỏi 1 bộ răng sứ bao nhiêu tiền?
- Chi tiết cấy ghép răng Implant giá bao nhiêu?
- Tìm hiểu quy trình cắm răng Implant
- Thắc mắc về trồng Implant có đau không?
- Giải thích dán sứ Veneer bao nhiêu tiền?
- Tổng quan làm răng thẩm mỹ

English