Những điều cần biết về tái tạo cùi răng
Tái tạo cùi răng là một bước quan trọng trong phục hình nhằm khôi phục lại phần thân răng bị mất, giúp răng đủ vững để bọc mão sứ và duy trì chức năng nhai ổn định. Đây là kỹ thuật được chỉ định trong nhiều trường hợp như răng vỡ lớn, sâu nặng, răng sau điều trị tủy hoặc khi mô răng không còn đủ để giữ mão. Việc hiểu rõ tái tạo cùi răng là gì, khi nào cần thực hiện và các phương pháp hiện nay sẽ giúp bạn chủ động hơn trong quá trình điều trị. Bài viết dưới đây cung cấp thông tin chi tiết, chính xác và dễ hiểu để bạn dễ dàng lựa chọn giải pháp phù hợp, đảm bảo sức khỏe răng miệng lâu dài.
Nội dung bài viết
- 1 Tái tạo cùi răng là gì?
- 2 Khi nào cần thực hiện tái tạo cùi răng?
- 3 Các phương pháp tái tạo cùi răng hiện nay
- 4 Vật liệu tái tạo cùi răng
- 5 Quy trình tái tạo cùi răng tại nha khoa
- 6 Chi phí tái tạo cùi răng bao nhiêu?
- 7 Tái tạo cùi răng ở đâu tốt?
- 8 Những câu hỏi thường gặp
- 8.1 Tái tạo cùi răng có bền như răng thật không?
- 8.2 Tái tạo cùi răng có đau không?
- 8.3 Tái tạo cùi răng có nguy hiểm không?
- 8.4 Tái tạo cùi răng giữ được bao lâu?
- 8.5 Tái tạo cùi răng có bị đen không?
- 8.6 Răng sau khi tái tạo có sâu lại không?
- 8.7 Có thể tái tạo cùi răng nhiều lần không?
- 8.8 Tái tạo cùi răng có bị rơi không?
Tái tạo cùi răng là gì?
Tái tạo cùi răng là kỹ thuật phục hình nhằm khôi phục lại phần thân răng bị mất hoặc thiếu, giúp tạo thành một trụ vững chắc để nâng đỡ mão sứ. Khi mô răng thật không còn đủ để giữ mão, nha sĩ sẽ dùng vật liệu như composite hoặc đặt chốt vào ống tủy để dựng lại khuôn răng. Kỹ thuật này giúp răng có hình thể chuẩn, chịu lực tốt và sẵn sàng cho bước bọc sứ phía ngoài.

Tái tạo cùi răng thường được chỉ định trong các trường hợp:
- Răng vỡ lớn hoặc gãy thân răng: phần mô răng còn lại quá ít để giữ mão sứ.
- Răng sâu nặng, sâu tái phát: cấu trúc răng bị phá hủy nhiều, không thể trám thông thường.
- Răng sau điều trị tủy: răng thường yếu và giòn hơn, cần củng cố bằng chốt hoặc khối dựng composite.
- Răng mẻ hoặc mòn nhiều: không đủ mô bám để tiến hành bọc sứ an toàn.
Những trường hợp này nếu không tái tạo cùi, mão sứ rất dễ lỏng, rơi hoặc gây gãy chân răng trong quá trình ăn nhai.
Phân biệt tái tạo cùi răng với trám răng thông thường
Trám răng là kỹ thuật phục hồi những tổn thương nhỏ đến trung bình trên bề mặt răng, chủ yếu nhằm lấp đầy lỗ sâu hoặc che phủ phần men, ngà bị mất. Vật liệu trám được gắn trực tiếp lên răng và không có nhiệm vụ tạo trụ nâng đỡ. Trong khi đó, tái tạo cùi răng được chỉ định khi phần thân răng mất quá nhiều, mô răng còn lại không đủ để giữ mão sứ. Lúc này, nha sĩ cần dựng lại hình thể răng bằng composite hoặc chốt post-core để tạo nền vững chắc trước khi phục hình toàn sứ.
Phân biệt tái tạo cùi răng với bọc răng sứ
Tái tạo cùi răng và bọc răng sứ là hai bước khác nhau trong quá trình phục hình. Tái tạo cùi là giai đoạn làm lại phần thân răng đã mất, tạo trụ cố định để hỗ trợ mão. Bọc răng sứ là bước tiếp theo, dùng mão sứ bao phủ toàn bộ cùi nhằm phục hồi thẩm mỹ và chức năng ăn nhai. Nói cách khác, tái tạo cùi giúp “chuẩn bị nền”, còn bọc sứ là phần hoàn thiện, mang lại vẻ ngoài tự nhiên và độ bền lâu dài.
Khi nào cần thực hiện tái tạo cùi răng?
Tái tạo cùi răng được chỉ định khi mô răng thật không còn đủ để nâng đỡ mão sứ hoặc không thể tự chịu lực trong quá trình ăn nhai. Mỗi tình huống dưới đây đều tiềm ẩn nguy cơ gãy răng, rơi mão hoặc giảm tuổi thọ phục hình nếu không tái tạo đúng thời điểm.
Răng bị vỡ lớn, không còn đủ mô giữ mão sứ
Khi răng bị chấn thương, vỡ góc lớn hoặc gãy thân răng, phần mô còn lại thường không đủ để gắn chặt mão sứ. Nếu bỏ qua tái tạo cùi, mão sứ sẽ dễ lỏng, lệch hoặc bật ra khi ăn nhai. Nghiêm trọng hơn, lực nhai có thể gây gãy dọc chân răng khiến răng không thể bảo tồn và buộc phải nhổ bỏ.
Răng sâu nặng hoặc sâu tái phát
Ở những răng sâu lớn, sâu lan rộng hoặc sâu tái phát sau trám, mô răng tự nhiên đã bị phá hủy nhiều, không còn khả năng chịu lực. Nếu không tái tạo lại cấu trúc thân răng, mão sứ không thể bám chắc và nguy cơ viêm tủy, nứt răng hoặc gãy răng trong tương lai rất cao. Tái tạo cùi đảm bảo răng có nền tảng vững trước khi bước vào phục hình.

Răng sau điều trị tủy yếu, giòn, dễ gãy
Sau khi lấy tủy, răng mất nuôi dưỡng nên trở nên giòn hơn và dễ vỡ dưới tác động lực nhai. Tái tạo cùi bằng composite hoặc chốt sợi thủy tinh giúp củng cố toàn bộ thân răng, tăng khả năng chịu lực và giảm nguy cơ vỡ ngang chân răng. Nếu không thực hiện, răng sau điều trị tủy có thể gãy đột ngột và không thể giữ lại.
Răng bị mòn men ở mức độ nghiêm trọng
Tình trạng mòn men do nghiến răng, chải răng sai cách hoặc acid gây mòn có thể khiến răng thấp, nhỏ, không còn đủ chiều cao để mài thành cùi bọc sứ. Không tái tạo lại thân răng khiến mão sứ không cố định được và dễ tuột trong thời gian ngắn. Tái tạo cùi giúp khôi phục chiều cao thân răng, tạo điều kiện cho mão sứ bám chắc và phân bổ lực nhai hợp lý.
Các phương pháp tái tạo cùi răng hiện nay
Tùy thuộc vào lượng mô răng còn lại, tình trạng tủy và yêu cầu phục hình, nha sĩ sẽ lựa chọn phương pháp tái tạo cùi phù hợp. Dưới đây là những kỹ thuật được sử dụng phổ biến trong nha khoa hiện nay.
Tái tạo cùi răng bằng Composite
Tái tạo cùi bằng composite được áp dụng khi răng vẫn còn một phần thân răng đủ để bám dính vật liệu. Composite có màu tương tự răng thật, dễ tạo hình nên phù hợp cho các trường hợp răng vỡ vừa hoặc mất mô không quá sâu.
- Ưu điểm: quá trình thực hiện nhanh, chi phí tiết kiệm và mang lại tính thẩm mỹ tương đối tốt.
- Nhược điểm: độ bền của composite thấp hơn so với chốt post-core, dễ mòn hoặc bong nếu chịu lực nhai mạnh. Vì vậy, phương pháp này thường phù hợp cho những răng không phải chịu lực quá lớn.

Tái tạo cùi răng bằng chốt (post-core)
Ở những răng mất mô nhiều, đặc biệt là răng sau điều trị tủy, việc dựng lại cùi bằng composite không đủ vững. Khi đó, nha sĩ sẽ đặt chốt vào ống tủy để cố định cùi giả, giúp răng có trụ nâng đỡ vững chắc trước khi bọc mão sứ.
Các loại chốt thường dùng như:
- Chốt sợi thủy tinh: Thẩm mỹ cao, độ đàn hồi gần giống răng thật, giảm nguy cơ nứt chân răng. Thường được ưu tiên cho răng cửa hoặc những vị trí cần tính thẩm mỹ.
- Chốt kim loại: Độ bền rất cao, chịu lực tốt, phù hợp cho răng hàm. Tuy nhiên, có thể gây ánh đen nhẹ vùng cổ răng hoặc truyền lực mạnh hơn, làm tăng nguy cơ nứt chân răng ở một số trường hợp.
Phương pháp tái tạo cùi răng bằng chốt phù hợp với các trường hợp răng vỡ lớn, thân răng còn lại rất ít hoặc răng sau điều trị tủy cần gia cố độ bền.
Kỹ thuật tái tạo cùi kết hợp mão toàn sứ
Kỹ thuật tái tạo cùi kết hợp mão toàn sứ là phương án toàn diện cho những răng yếu, mất mô nhiều hoặc cần phục hồi đồng thời cả thẩm mỹ và chức năng. Quy trình gồm xây dựng lại thân răng bằng composite hoặc chốt post-core, sau đó phủ mão toàn sứ để bảo vệ toàn bộ cấu trúc bên trong. Kỹ thuật tái tạo cùi kết hợp mão toàn sứ giúp đảm bảo răng có độ bền ổn định, phân bố lực nhai hợp lý và đạt thẩm mỹ cao, đặc biệt ở vùng răng cửa.
Vật liệu tái tạo cùi răng
Trong tái tạo cùi răng, vật liệu được lựa chọn dựa trên mức độ mất mô răng, yêu cầu chịu lực và phương án phục hình tiếp theo. Mỗi loại vật liệu sở hữu ưu – nhược điểm riêng, giúp nha sĩ đưa ra lựa chọn phù hợp nhất cho từng trường hợp.
Xi măng tái tạo cùi răng
Xi măng nha khoa từng được sử dụng phổ biến để dựng lại phần thân răng mất. Loại vật liệu này có khả năng đông cứng nhanh, bám tương đối tốt trên mô răng và chịu lực ở mức cơ bản. Tuy nhiên, ngày nay xi măng ít được sử dụng hơn vì độ bền hạn chế và tính thẩm mỹ không cao. Chúng thường chỉ được dùng trong những trường hợp tạm thời hoặc phục hình đơn giản.
Amalgam
Amalgam là vật liệu kim loại trộn, có độ cứng và độ bền cao. Nhờ khả năng chịu lực tốt, amalgam từng được dùng trong tái tạo cùi ở răng hàm. Tuy nhiên, màu kim loại đặc trưng khiến vật liệu này không phù hợp cho vị trí cần thẩm mỹ hoặc kết hợp mão sứ toàn sứ. Bên cạnh đó, amalgam có thể gây đổi màu mô răng, vì vậy hiện nay không còn được ưu tiên trong phục hình thẩm mỹ.

Composite
Composite là vật liệu phục hình phổ biến nhất hiện nay nhờ thẩm mỹ tốt, dễ tạo hình và bám dính tốt lên mô răng. Composite thích hợp cho tái tạo cùi ở răng còn tương đối nhiều mô, răng vỡ vừa hoặc răng cần nâng nhẹ thân răng trước khi bọc sứ. Nhược điểm là khả năng chịu lực có giới hạn, nên với răng mất mô quá nhiều hoặc răng sau điều trị tủy, composite thường phải kết hợp chốt post-core.
Kim loại đúc
Kim loại đúc được sử dụng trong hệ thống post-core cho những răng cần trụ nâng đỡ rất chắc chắn. Vật liệu này có độ bền cao, chịu lực tốt và phù hợp cho răng hàm hoặc răng mất mô gần như toàn bộ. Tuy nhiên, nhược điểm nằm ở tính thẩm mỹ thấp và có thể gây ánh đen nhẹ ở cổ răng. Vì vậy, kim loại đúc thường được chỉ định ở vùng răng trong, nơi yêu cầu chịu lực cao.
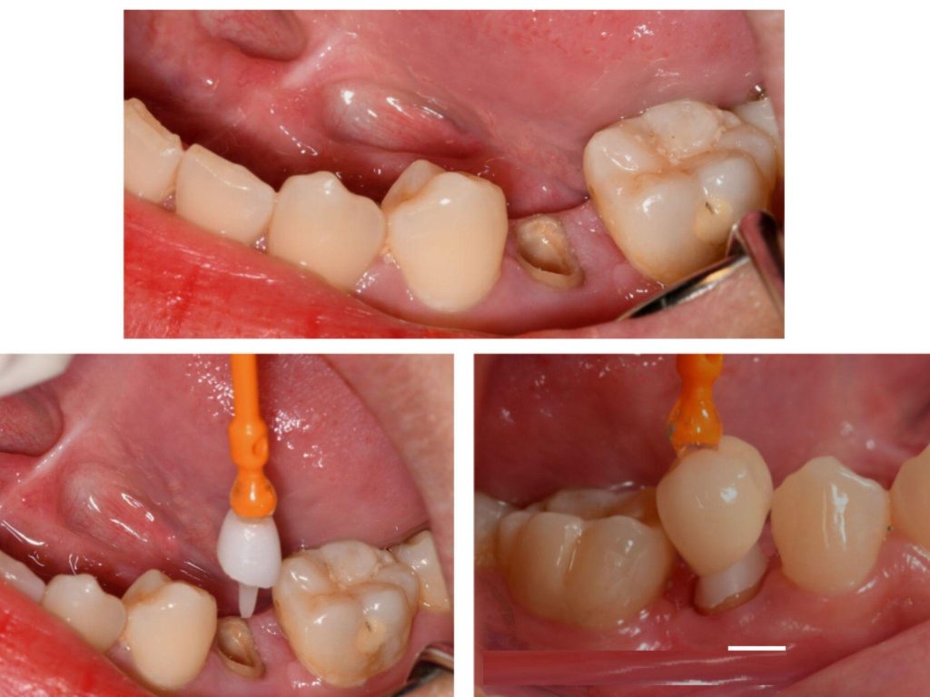
Quy trình tái tạo cùi răng tại nha khoa
Quy trình tái tạo cùi răng được thực hiện theo các bước tiêu chuẩn nhằm đảm bảo độ bền của cùi, khả năng giữ mão sứ và an toàn trong suốt quá trình điều trị. Tùy vào tình trạng của từng răng, nha sĩ có thể điều chỉnh kỹ thuật, nhưng nhìn chung gồm các bước sau:
Thăm khám – chụp X-quang xác định mô răng còn lại
Bác sĩ tiến hành kiểm tra tổng thể răng miệng, đánh giá mức độ vỡ, sâu hoặc mòn của răng. Chụp X-quang giúp xác định tình trạng chân răng, độ dài ống tủy và lượng mô răng còn lại để lựa chọn phương pháp tái tạo cùi phù hợp. Đây là bước quan trọng để đảm bảo việc dựng cùi an toàn, chính xác và không ảnh hưởng đến chân răng.

Điều trị tủy (nếu cần)
Ở những răng sâu lớn, vỡ đến buồng tủy hoặc có dấu hiệu viêm tủy, bác sĩ sẽ chỉ định điều trị tủy trước khi tái tạo. Điều này giúp loại bỏ mô tủy viêm, tránh đau nhức và bảo vệ răng lâu dài. Một số trường hợp răng còn tủy khỏe, tổn thương không ảnh hưởng đến buồng tủy thì không cần thực hiện bước này.
Đặt chốt hoặc đắp composite tái tạo thân răng
Mục tiêu của bước này là tạo một trụ vững chắc, đúng hình dạng chuẩn để nâng đỡ mão sứ. Dựa trên mức độ mất mô răng mà bác sĩ tư vấn lựa chọn phương pháp tái tạo chân răng phù hợp.
- Răng còn mô răng đủ: bác sĩ dùng composite để đắp và tạo lại hình thể thân răng.
- Răng mất mô nhiều hoặc răng sau điều trị tủy: bác sĩ đặt chốt (post-core) vào ống tủy, sau đó dựng cùi bên ngoài bằng composite hoặc kim loại đúc.
Mài cùi và lấy dấu để bọc sứ
Sau khi cùi được tái tạo hoàn chỉnh, bác sĩ mài chỉnh lại hình thể để tạo không gian cho mão sứ. Tiếp đó, việc lấy dấu được thực hiện bằng công nghệ scan 3D hoặc khay lấy dấu truyền thống để chế tác mão sứ vừa khít với cùi.

Gắn mão sứ hoàn chỉnh
Khi mão sứ được chế tác xong, bác sĩ thử mão trên cùi để kiểm tra độ khít, khớp cắn và màu sắc. Nếu mọi yếu tố đạt chuẩn, mão sẽ được gắn cố định bằng xi măng nha khoa chuyên dụng. Kết thúc quá trình này, răng phục hình có thể ăn nhai ổn định và thẩm mỹ tự nhiên.
Chi phí tái tạo cùi răng bao nhiêu?
Chi phí tái tạo cùi răng phụ thuộc vào phương pháp thực hiện, vật liệu sử dụng và tình trạng mô răng còn lại. Mức giá giữa các nha khoa có thể chênh lệch nhưng nhìn chung dao động trong khoảng hợp lý, phù hợp với nhiều nhu cầu điều trị.
Bảng dưới đây giúp bạn dễ hình dung hơn về chi phí cho từng kỹ thuật tái tạo cùi:
| Phương pháp tái tạo cùi răng | Chi phí tham khảo (VNĐ/răng) | Ghi chú |
| Tái tạo cùi bằng Composite | 300.000 – 800.000 | Phù hợp răng còn mô nhiều, vỡ vừa, không cần đặt chốt. |
| Tái tạo cùi bằng chốt sợi thủy tinh (Post-Core) | 1.000.000 – 2.500.000 | Thẩm mỹ tốt, phù hợp cho răng sau điều trị tủy hoặc mất mô lớn. |
| Tái tạo cùi bằng chốt kim loại/kim loại đúc | 800.000 – 2.000.000 | Độ bền cao, thường dùng cho răng hàm; thẩm mỹ kém hơn chốt sợi. |
Chi phí có thể thay đổi tùy theo chất lượng vật liệu, mức độ phức tạp của từng ca và công nghệ thực hiện tại mỗi nha khoa. Trường hợp răng cần điều trị tủy hoặc bọc mão sứ sau khi tái tạo, tổng chi phí sẽ được tính theo từng hạng mục riêng.
Tái tạo cùi răng ở đâu tốt?
Tái tạo cùi răng là kỹ thuật đòi hỏi bác sĩ phải có chuyên môn cao về phục hình – nội nha, khả năng đánh giá tiên lượng và lựa chọn vật liệu phù hợp từng trường hợp. Do đó, việc chọn đúng nha khoa uy tín quyết định trực tiếp đến độ bền phục hình, tính thẩm mỹ và khả năng bảo tồn răng thật lâu dài.
Khi cần tái tạo cùi răng để phục hình mão sứ, nhiều khách hàng lựa chọn Platinum Dental Group nhờ chuyên môn bác sĩ vững, quy trình điều trị chuẩn quốc tế và triết lý bảo tồn răng tối đa. Tại đây, toàn bộ các ca tái tạo cùi răng đều được thực hiện bởi bác sĩ phục hình – nội nha giàu kinh nghiệm, giúp đánh giá chính xác lượng mô răng còn lại, lựa chọn vật liệu phù hợp và kiểm soát chặt chẽ rủi ro gãy thân hoặc gãy chân răng.

Tại Platinum Dental Group, khách hàng yên tâm nhờ:
- Bác sĩ chuyên sâu về phục hình, sứ thẩm mỹ: Thực hiện tái tạo cùi bằng kỹ thuật vi phẫu, thao tác chuẩn xác để tối ưu độ bám và độ bền của mão sứ.
- Chẩn đoán số hóa 100%: Chụp CT ConeBeam, kính hiển vi nội nha, scan trong miệng để xác định rõ cấu trúc răng trước khi tái tạo.
- Vật liệu cao cấp, độ bền cao: Composite nano và trụ sợi thủy tinh nhập khẩu, giúp thân răng phục hồi chắc chắn, chịu lực tốt, hạn chế nguy cơ gãy dọc.
- Mão sứ chế tác bằng CAD/CAM: Đảm bảo mão ôm khít cùi răng tái tạo, tăng tuổi thọ phục hình và đảm bảo thẩm mỹ tối đa.
- Quy trình vô khuẩn chuẩn quốc tế: An toàn tuyệt đối đối với răng đã điều trị tủy hoặc mô răng yếu.
- Chính sách bảo hành minh bạch: Giúp khách hàng an tâm trong suốt quá trình sử dụng.
Nếu răng của bạn đang bị vỡ lớn, gãy một phần, sau điều trị tủy yếu đi hoặc không đủ mô răng để bọc sứ, việc thăm khám sớm tại Platinum Dental sẽ giúp bảo tồn tối đa răng thật và tránh nguy cơ phải nhổ bỏ.
Những câu hỏi thường gặp
Tái tạo cùi răng có bền như răng thật không?
Độ bền của cùi răng tái tạo phụ thuộc vào kỹ thuật thực hiện, vật liệu và lượng mô răng còn lại. Dù không thể bền như răng thật 100%, cùi tái tạo vẫn đạt độ cứng và độ ổn định cao khi được làm đúng chỉ định và phủ mão sứ chuẩn.
Tái tạo cùi răng có đau không?
Quy trình tái tạo cùi răng thường không gây đau, vì bác sĩ sẽ gây tê tại chỗ. Sau đó, bạn có thể hơi ê nhẹ 1-2 ngày và sẽ ổn định nhanh nếu chăm sóc đúng hướng dẫn.
Tái tạo cùi răng có nguy hiểm không?
Tái tạo cùi răng là kỹ thuật an toàn, ít xâm lấn và được sử dụng phổ biến trong nha khoa phục hình. Nguy cơ chỉ xảy ra nếu vật liệu kém chất lượng hoặc thao tác không chuẩn, vì vậy bạn nên thực hiện tại nha khoa uy tín.
Tái tạo cùi răng giữ được bao lâu?
Thời gian duy trì thường từ 5-10 năm, thậm chí lâu hơn nếu răng được phục hình mão sứ tốt, khớp cắn ổn định và chăm sóc răng miệng đúng cách.
Tái tạo cùi răng có bị đen không?
Tái tạo bằng composite hoặc chốt sợi thủy tinh hầu như không làm đen răng. Chỉ một số kỹ thuật cũ dùng chốt kim loại mới có nguy cơ ảnh hưởng màu sắc nếu răng quá mỏng hoặc mão sứ không che phủ tốt.
Răng sau khi tái tạo có sâu lại không?
Răng vẫn có thể sâu lại nếu vi khuẩn xâm nhập vào phần mô răng thật còn lại. Việc vệ sinh không tốt hoặc mão sứ bị hở có thể dẫn đến sâu tái phát. Tái khám định kỳ sẽ giúp phát hiện và xử lý sớm.
Có thể tái tạo cùi răng nhiều lần không?
Có thể thực hiện lại nếu vật liệu cũ bong, gãy hoặc mão sứ cần thay thế. Tuy nhiên, mỗi lần tái tạo lại đều phụ thuộc vào lượng mô răng tự nhiên còn lại, nên cần bác sĩ đánh giá kỹ.
Tái tạo cùi răng có bị rơi không?
Cùi răng tái tạo hiếm khi bị rơi nếu sử dụng vật liệu tốt và gắn dính đúng kỹ thuật. Trường hợp răng còn quá ít mô, bác sĩ có thể chỉ định đặt chốt sợi thủy tinh để tăng độ vững chắc.
Tái tạo cùi răng là bước quan trọng giúp phục hồi những răng đã mất mô nhiều và tạo nền vững chắc trước khi bọc sứ. Khi được thực hiện đúng chỉ định và đúng kỹ thuật, răng sẽ đạt độ bền tốt, ăn nhai ổn định và hạn chế tối đa nguy cơ gãy vỡ về sau. Nếu bạn đang gặp tình trạng răng yếu, sâu lớn, vỡ nhiều hoặc sau điều trị tủy, việc thăm khám sớm sẽ giúp bác sĩ đưa ra hướng phục hồi phù hợp và tiết kiệm chi phí nhất.
Nếu bạn cần tư vấn chi tiết hơn hoặc muốn kiểm tra tình trạng răng hiện tại, bạn có thể ghé Platinum Dental Group để được bác sĩ thăm khám và đưa ra phác đồ rõ ràng. Việc đánh giá trực tiếp sẽ giúp bạn hiểu chính xác mình có cần tái tạo cùi răng hay không và lựa chọn giải pháp an toàn nhất cho sức khỏe răng miệng của mình.
Xem thêm:
- Thông tin giá các loại răng sứ hiện nay trên thị trường
- Tham khảo bảng giá trồng răng Implant
- Giải thích về trồng răng Implant
- Thắc mắc: làm Implant có đau không?
- Giải đáp dán răng sứ giá bao nhiêu
- Tổng quan làm răng thẩm mỹ

English