Răng nhiễm Tetracycline – Triệu chứng, nguyên nhân và giải pháp phù hợp
Một nụ cười rạng rỡ luôn là “vũ khí” giúp bạn tạo thiện cảm trong giao tiếp. Thế nhưng, nhiều người lại mất tự tin vì răng bị đổi màu do nhiễm Tetracycline tình trạng thường khó khắc phục bằng những cách làm trắng răng thông thường. Đây không chỉ là vấn đề thẩm mỹ, khiến khuôn mặt kém tươi sáng, mà còn ảnh hưởng đến tâm lý, giao tiếp và cả công việc.
Hiểu đúng về nguyên nhân, triệu chứng cũng như lựa chọn giải pháp điều trị phù hợp sẽ giúp bạn lấy lại hàm răng sáng khỏe và nụ cười tự tin. Trong bài viết này, Platinum Dental Group sẽ chia sẻ chi tiết về răng nhiễm Tetracycline cùng những phương pháp điều trị hiệu quả, an toàn được áp dụng thành công cho nhiều khách hàng.
Nội dung bài viết
- 1 Răng nhiễm Tetracycline là gì?
- 2 Triệu chứng nhận biết răng bị nhiễm Tetracycline
- 3 Nguyên nhân dẫn đến răng nhiễm Tetracycline
- 4 Răng nhiễm Tetracycline ảnh hưởng thế nào?
- 5 Các phương pháp điều trị và hiệu quả theo mức độ nhiễm
- 6 Ca điều trị răng nhiễm Tetracycline tại Platinum Dental Group
- 7 Vì sao khách hàng lựa chọn Platinum Dental Group trong điều trị răng nhiễm Tetracycline?
- 8 Giải pháp phòng ngừa răng bị nhiễm Tetracycline
Răng nhiễm Tetracycline là gì?
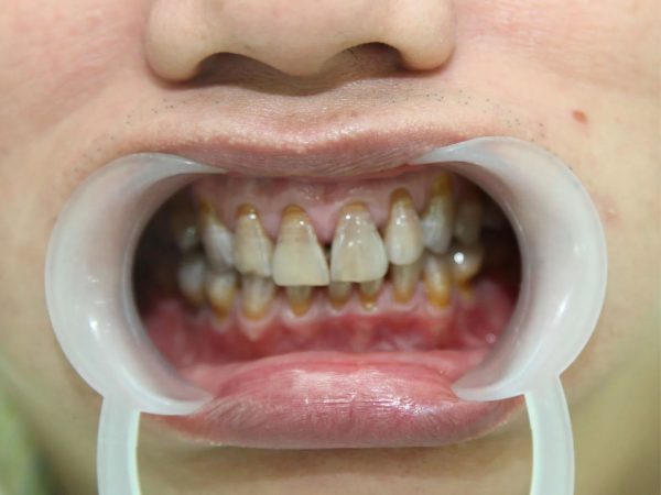
Răng nhiễm Tetracycline là tình trạng răng bị đổi màu vĩnh viễn do ảnh hưởng của kháng sinh Tetracycline trong giai đoạn hình thành và phát triển men răng. Khi thuốc đi vào cơ thể (thường trong thời kỳ bào thai hoặc giai đoạn trẻ em dưới 8 tuổi), các phân tử Tetracycline có thể liên kết với canxi và lắng đọng trong cấu trúc men, ngà răng. Lâu dần, chúng tạo nên những vệt màu vàng, nâu, xám hoặc tím xanh đặc trưng mà các phương pháp làm trắng răng thông thường rất khó cải thiện.

Khác với tình trạng răng ố màu do thực phẩm, thuốc lá hay vệ sinh răng miệng chưa tốt, răng nhiễm Tetracycline thường có màu loang lổ trên toàn bộ bề mặt răng và ăn sâu vào cấu trúc răng. Vì vậy, đây được xem là một trong những dạng răng nhiễm màu khó điều trị nhất trong nha khoa thẩm mỹ.
Tình trạng này không gây đau đớn hay ảnh hưởng trực tiếp đến sức khỏe răng miệng, nhưng lại khiến nhiều người e ngại trong giao tiếp, thiếu tự tin khi cười nói. Do đó, việc hiểu rõ răng nhiễm Tetracycline là gì sẽ là bước đầu tiên để bạn tìm ra giải pháp điều trị phù hợp, lấy lại nụ cười sáng đẹp và tự nhiên.
Triệu chứng nhận biết răng bị nhiễm Tetracycline
Răng nhiễm Tetracycline có những đặc điểm nhận biết khá rõ ràng so với các trường hợp răng xỉn màu thông thường. Người bệnh có thể quan sát bằng mắt thường hoặc được bác sĩ nha khoa xác định qua thăm khám. Một số dấu hiệu thường gặp gồm:
- Thay đổi màu sắc đặc trưng: Răng có thể chuyển sang nhiều tông màu khác nhau như vàng nhạt, vàng nâu, xám xanh hoặc tím đậm. Ở mức độ nặng, màu răng có thể trở nên sẫm và loang lổ trên toàn bộ bề mặt.
- Tính đối xứng trên hàm răng: Không giống như ố màu do cà phê, trà hay thuốc lá chỉ ảnh hưởng cục bộ, răng nhiễm Tetracycline thường đổi màu đồng loạt ở cả hàm trên và hàm dưới.
- Độ trong mờ của men răng: Một số trường hợp, men răng trở nên mờ đục hoặc kém trong suốt, khiến ánh sáng phản chiếu không tự nhiên.
- Khó cải thiện bằng tẩy trắng thông thường: Khi thử các phương pháp tẩy trắng tại nhà hoặc tại nha khoa, màu răng hầu như không thay đổi hoặc chỉ cải thiện rất ít.

Những triệu chứng này có thể xuất hiện từ khi răng vĩnh viễn mọc hoàn chỉnh và tồn tại suốt đời nếu không có biện pháp can thiệp chuyên sâu. Việc nhận biết sớm sẽ giúp bác sĩ xác định chính xác mức độ nhiễm và đưa ra phác đồ điều trị phù hợp.
Nguyên nhân dẫn đến răng nhiễm Tetracycline
Răng bị nhiễm Tetracycline bắt nguồn từ việc sử dụng thuốc kháng sinh nhóm Tetracycline trong giai đoạn hình thành và phát triển răng. Khi đó, thuốc có khả năng gắn kết với canxi trong xương và men răng, tạo nên sự đổi màu đặc trưng. Một số nguyên nhân cụ thể bao gồm:
- Dùng kháng sinh Tetracycline trong thai kỳ: Nếu phụ nữ mang thai sử dụng thuốc này ở 3 tháng giữa hoặc 3 tháng cuối, Tetracycline có thể đi qua nhau thai, ảnh hưởng trực tiếp đến sự phát triển răng của thai nhi.
- Trẻ em dưới 8 tuổi sử dụng Tetracycline: Đây là giai đoạn răng sữa và răng vĩnh viễn đang hình thành. Việc dùng thuốc kéo dài hoặc với liều cao sẽ khiến sắc tố tích tụ trong cấu trúc răng, gây nhiễm màu vĩnh viễn.
- Thời gian và liều lượng sử dụng thuốc: Người dùng thuốc trong thời gian dài hoặc liều lượng cao có nguy cơ răng bị đổi màu rõ rệt hơn.
- Độ nhạy men răng của từng cá nhân: Cơ địa mỗi người khác nhau, nên mức độ răng bị nhiễm màu có thể nhẹ hoặc nặng tùy vào khả năng hấp thụ và liên kết của Tetracycline trong răng.

Răng nhiễm Tetracycline không phải do vệ sinh răng miệng kém hay do ăn uống hàng ngày, mà chủ yếu liên quan đến yếu tố y khoa trong quá khứ. Chính vì thế, đây được xem là một dạng nhiễm màu răng khó điều trị, đòi hỏi phương pháp phục hình thẩm mỹ chuyên sâu.
Răng nhiễm Tetracycline ảnh hưởng thế nào?
Răng nhiễm Tetracycline tuy không gây đau nhức hay tổn hại trực tiếp đến chức năng ăn nhai, nhưng lại mang đến nhiều ảnh hưởng tiêu cực về mặt thẩm mỹ và tâm lý. Cụ thể:
- Ảnh hưởng đến nụ cười và gương mặt: Răng đổi màu loang lổ, xỉn tối khiến khuôn mặt trông kém tươi tắn, già hơn tuổi thật. Điều này làm giảm sự hài hòa của nụ cười và tổng thể diện mạo.
- Tác động đến sự tự tin: Nhiều người cảm thấy ngại cười, ngại giao tiếp hoặc luôn tìm cách che giấu hàm răng khi trò chuyện. Lâu dần, điều này ảnh hưởng đến chất lượng cuộc sống, công việc và các mối quan hệ xã hội.
- Khó khăn trong điều trị thẩm mỹ: Khác với răng ố vàng do thực phẩm hoặc thuốc lá có thể cải thiện bằng tẩy trắng, răng nhiễm Tetracycline thường ăn sâu vào ngà răng, khiến quá trình điều trị phức tạp và đòi hỏi kỹ thuật cao.
- Tác động tâm lý lâu dài: Cảm giác mặc cảm về nụ cười có thể khiến người bệnh dễ rơi vào trạng thái tự ti, hạn chế cơ hội thăng tiến trong công việc hoặc gặp khó khăn trong giao tiếp hằng ngày.

Vì những ảnh hưởng trên nên việc điều trị răng nhiễm Tetracycline không chỉ đơn thuần là cải thiện thẩm mỹ, mà còn mang ý nghĩa giúp bệnh nhân lấy lại sự tự tin và chất lượng sống tốt hơn.
Các phương pháp điều trị và hiệu quả theo mức độ nhiễm
Răng nhiễm Tetracycline có nhiều mức độ khác nhau, từ nhẹ đến rất nặng. Do đó, bác sĩ sẽ chỉ định phương pháp điều trị phù hợp dựa trên tình trạng cụ thể. Tại Platinum Dental Group, các giải pháp thường được cá nhân hóa tùy mức độ nhiễm, bao gồm: dán sứ Veneer, bọc sứ..
Dán sứ veneer
Khi răng bị nhiễm Tetracycline ở mức độ nhẹ, dán sứ veneer được xem là lựa chọn tối ưu. Veneer là những miếng sứ mỏng dán trực tiếp lên bề mặt ngoài của răng, giúp che phủ hoàn toàn phần răng bị đổi màu. Ưu điểm của phương pháp này là vẫn bảo tồn được phần lớn răng thật, đồng thời mang lại tính thẩm mỹ cao và màu sắc tự nhiên. Tuy nhiên, veneer đòi hỏi bác sĩ có tay nghề và kỹ thuật tốt để đảm bảo độ khít sát, thẩm mỹ cũng như độ bền.
Ngoài ra, với đặc điểm siêu mỏng của Veneer, việc dán sứ cũng khó có thể che được sắc độ đậm của răng Tetracycline. Vì vậy nếu có mong muốn dán sứ khi răng bị nhiễm Tetracycline, khách hàng cần được bác sĩ thăm khám.

Bọc răng sứ
Đối với những trường hợp răng nhiễm Tetracycline nặng, có dải màu đậm, xám xanh hoặc đen loang lổ, bọc răng sứ toàn phần là giải pháp mang lại hiệu quả che phủ vượt trội. Phương pháp này giúp bao bọc toàn bộ thân răng, không chỉ cải thiện màu sắc mà còn phục hồi hình thể và chức năng ăn nhai.

Bọc răng sứ cho kết quả thẩm mỹ rõ rệt, màu răng đồng đều và bền chắc theo thời gian. Tuy nhiên, so với veneer, bọc răng sứ cần mài nhiều mô răng hơn, vì vậy việc lựa chọn loại sứ chất lượng cao và kỹ thuật chuẩn y khoa là yếu tố quyết định để đảm bảo kết quả lâu dài.
Ca điều trị răng nhiễm Tetracycline tại Platinum Dental Group
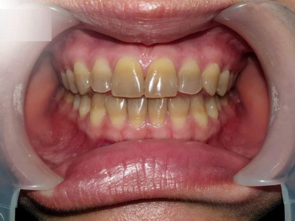
Anh Kenny lựa chọn dán sứ Veneer cho cả hai hàm
Nhiễm màu Tetracycline vốn được xem là một trong những tình trạng răng xỉn màu khó khắc phục nhất. Anh Kenny cũng từng trải qua điều này, khiến nụ cười kém tự nhiên và ảnh hưởng đến sự tự tin trong giao tiếp. Trước đây, anh đã lựa chọn dán composite để che phủ răng. Tuy nhiên, chỉ sau 3 năm, lớp composite bắt đầu mẻ, xuống màu và không còn che giấu được khuyết điểm.
Giải pháp tại Platinum Dental Group: Dán 2 hàm Veneer sứ cao cấp thay thế hoàn toàn lớp composite cũ.
Kết quả mang lại:
- Màu răng tự nhiên (BL2), sáng hài hòa với khuôn mặt
- Độ bền vượt trội, không bong tróc, không ố màu
- Tỉ lệ răng chuẩn, nụ cười cân đối và hài hòa
- Hoàn thiện nhanh chóng chỉ trong 4 ngày, 3 buổi hẹn
Với diện mạo mới, anh Kenny đã thật sự “thay áo mới” cho nụ cười: không còn nỗi lo răng xỉn màu, không ngại cười nói, thay vào đó là sự tự tin và phong thái rạng rỡ trong mọi khoảnh khắc.

Chia sẻ từ anh Kenny: “Trước đây tôi rất ngại cười vì màu răng sậm, dù đã dán composite nhưng cũng không bền và nhanh xuống cấp. Sau khi làm Veneer sứ tại Platinum Dental Group, tôi thật sự bất ngờ vì kết quả ngoài mong đợi. Răng sáng tự nhiên, cười thoải mái mà không lo bị lộ khuyết điểm nữa. Tôi cảm thấy tự tin hơn rất nhiều, từ công việc đến cuộc sống hàng ngày.”
Anh Bill Huỳnh – Hành trình tìm lại nụ cười rạng rỡ cùng Platinum Dental Group
Từng mặc cảm vì hàm răng nhiễm Tetracycline cấp độ 4 – mức nặng nhất, anh Bill Huỳnh (Australia) đã tìm đến Platinum Dental Group để tìm lại nụ cười tự tin. Tình trạng răng xám vàng kéo dài nhiều năm khiến anh ngại giao tiếp, ảnh hưởng không nhỏ đến công việc và cuộc sống.
Sau khi được Dr. Lan Anh trực tiếp thăm khám, anh được chỉ định giải pháp Răng sứ thẩm mỹ toàn diện hàm trên và hàm dưới. Kết quả mang lại sự thay đổi vượt ngoài mong đợi:
- Răng trắng sáng, tự nhiên, loại bỏ hoàn toàn vết nhiễm màu nặng.
- Dáng răng – cung cười đạt tỉ lệ vàng, hài hòa với gương mặt
- Thần thái trẻ trung, gương mặt rạng rỡ và cuốn hút hơn.
Hoàn tất điều trị, anh Bill chia sẻ cảm giác như được “tái sinh”: thoải mái cười tươi, tự tin xuất hiện trong mọi khoảnh khắc. Với Platinum Dental Group, mỗi ca phục hình không chỉ là cải thiện thẩm mỹ, mà còn là hành trình đồng hành để kiến tạo một phiên bản rực rỡ hơn của chính bạn.

Hoàn tất điều trị, anh Bill chia sẻ: “Tôi chưa bao giờ nghĩ mình có thể sở hữu một hàm răng trắng sáng đến vậy. Trước đây, tôi luôn tránh cười, còn bây giờ tôi cảm thấy như được sống một cuộc đời mới tự tin, thoải mái và hạnh phúc hơn rất nhiều. Cảm ơn Platinum Dental Group và bác sĩ Lan Anh đã mang lại cho tôi nụ cười này.”
Case Dán sứ Veneer 16 răng 2 hàm – Cô Hiệu trưởng Cấp 3 Ngọc Hiếu
Trước khi đến với Platinum Dental Group, răng của cô Hiếu bị nhiễm kháng sinh Tetracycline, màu răng xỉn tối, không đều. Dù từng dán sứ Composite để cải thiện nhưng miếng phủ nhanh chóng đổi màu, dễ bám thức ăn và gây sâu răng ở viền nướu.
Với đặc thù công việc thường xuyên phát biểu, giao tiếp trước tập thể, cô mong muốn sở hữu nụ cười trắng sáng, tự nhiên để thêm phần tự tin. Sau quá trình thăm khám và thiết kế, đội ngũ bác sĩ tại Platinum đã lựa chọn tông màu và dáng răng hài hòa, phù hợp với gương mặt và thần thái của một người “thầy dẫn đường” cho thế hệ trẻ. Đặc biệt, kỹ thuật mài răng tối thiểu được áp dụng nhằm bảo tồn răng thật tối đa nhưng vẫn mang lại hiệu quả thẩm mỹ vượt trội.

Ngay sau khi hoàn thiện, cô Hiệu trưởng Ngọc Hiếu chia sẻ: “Tôi cảm thấy tự tin hơn rất nhiều khi đứng lớp và giao tiếp với mọi người. Nụ cười mới thật sự giúp tôi thoải mái và rạng rỡ hơn mỗi ngày.”
Vì sao khách hàng lựa chọn Platinum Dental Group trong điều trị răng nhiễm Tetracycline?
Điều trị răng nhiễm Tetracycline là một trong những kỹ thuật khó trong nha khoa thẩm mỹ, đòi hỏi bác sĩ có chuyên môn cao, quy trình chuẩn xác và vật liệu phục hình chất lượng. Platinum Dental Group được nhiều khách hàng tin tưởng bởi những lý do sau:
Đội ngũ bác sĩ chuyên sâu phục hình thẩm mỹ
Platinum Dental Group quy tụ đội ngũ bác sĩ chuyên khoa Răng – Hàm – Mặt được đào tạo bài bản, nhiều năm kinh nghiệm trong phục hình thẩm mỹ. Các bác sĩ luôn thăm khám kỹ lưỡng, tư vấn chi tiết và đưa ra giải pháp phù hợp nhất cho từng trường hợp.

Tại Platinum Dental Group, khách hàng hoàn toàn có thể yên tâm vì đội ngũ bác sĩ đều là những chuyên gia đầu ngành, nhiều năm kinh nghiệm trong phục hình răng sứ thẩm mỹ:
- Bác sĩ CKI Trần Lan Anh: Với hơn 16 năm kinh nghiệm chuyên sâu về phục hình sứ thẩm mỹ, Bác sĩ CKI Trần Lan Anh được mệnh danh là Top 1 Veneer Việt Nam. Bác sĩ từng tu nghiệp tại Đại học Bordeaux (Pháp), Đại học British Columbia (Canada) và Học viện Digital Smile Design (Tây Ban Nha). Luôn đặt yếu tố thẩm mỹ tự nhiên và độ bền lâu dài lên hàng đầu, Bác sĩ CKI Trần Lan Anh giúp hàng nghìn khách hàng sở hữu nụ cười rạng rỡ, tự tin.
- Bác sĩ CKI Phùng Lê Phương Dung: Tốt nghiệp loại Giỏi tại Đại học Y Dược Huế và có bằng liên kết từ Đại học Bordeaux (Pháp), Bác sĩ Phương Dung sở hữu kiến thức vững vàng trong chỉnh nha và phục hình thẩm mỹ. Bác sĩ đã hoàn thành nhiều khóa đào tạo chuyên sâu về nha chu, chỉnh hình răng mặt và chỉnh nha sinh học. Tận tâm và tỉ mỉ, Bác sĩ CKI Phùng Lê Phương Dung luôn mang đến phác đồ điều trị tối ưu cho từng bệnh nhân.
- Bác sĩ Đặng Mỹ Hằng: Với gần 13 năm kinh nghiệm lâm sàng, bác sĩ Mỹ Hằng được Bộ Y tế cấp chứng chỉ hành nghề, đảm bảo chuyên môn vững chắc. Thế mạnh của bác sĩ là khả năng chẩn đoán chính xác và thực hành khéo léo, mang lại trải nghiệm nhẹ nhàng, an toàn. Luôn tận tâm và giải thích rõ ràng, Bác sĩ Đặng Mỹ Hằng giúp khách hàng yên tâm trong suốt hành trình chăm sóc răng miệng.
Công nghệ hiện đại và quy trình chuẩn y khoa
Hệ thống phòng khám tại Platinum Dental Group được trang bị máy móc tiên tiến như máy scan 3D, phần mềm thiết kế nụ cười kỹ thuật số (DSD), hệ thống CAD/CAM chế tác răng sứ chính xác. Nhờ đó, khách hàng được đảm bảo kết quả thẩm mỹ tự nhiên, an toàn và nhanh chóng.

Platinum Dental Group chỉ sử dụng răng sứ nhập khẩu chính hãng, có chứng nhận nguồn gốc rõ ràng. Các loại răng sứ toàn sứ, sứ Zirconia, sứ E.max… đều đạt chuẩn quốc tế, mang lại độ bền chắc, màu sắc tự nhiên và tương thích sinh học tốt với cơ thể.
Mọi khâu thực hiện đều tuân thủ nghiêm ngặt quy trình vô trùng, từ dụng cụ, ghế nha khoa đến không gian phòng khám. Điều này giúp hạn chế tối đa nguy cơ lây nhiễm chéo, mang lại sự an tâm cho khách hàng trong suốt quá trình điều trị.
Kết quả thực tế được minh chứng qua nhiều ca điều trị
Hàng trăm khách hàng đã lấy lại nụ cười trắng sáng, tự tin sau khi điều trị răng nhiễm Tetracycline tại Platinum Dental Group. Những ca lâm sàng thành công, hình ảnh trước sau rõ ràng cùng phản hồi tích cực từ khách hàng chính là minh chứng thuyết phục cho chất lượng dịch vụ. Platinum Dental Group không chỉ giúp cải thiện màu sắc răng mà còn mang đến sự thay đổi tích cực về tâm lý và phong thái tự tin cho khách hàng.

Giải pháp phòng ngừa răng bị nhiễm Tetracycline
Răng nhiễm Tetracycline là tình trạng có thể phòng ngừa được nếu bạn hiểu rõ nguyên nhân và có biện pháp bảo vệ ngay từ đầu:
- Không tự ý dùng kháng sinh: Thuốc Tetracycline và dẫn xuất của nó không nên sử dụng cho phụ nữ mang thai và trẻ nhỏ dưới 8 tuổi vì có nguy cơ gây nhiễm màu răng vĩnh viễn.
- Tham khảo ý kiến bác sĩ trước khi dùng thuốc: Nếu cần điều trị bằng kháng sinh, hãy tuân thủ hướng dẫn và chỉ định của bác sĩ để đảm bảo an toàn.
- Chăm sóc răng miệng thường xuyên: Đánh răng ít nhất 2 lần/ngày, dùng chỉ nha khoa và khám răng định kỳ 6 tháng/lần để kịp thời phát hiện và xử lý sớm các vấn đề về răng.
- Xây dựng chế độ dinh dưỡng lành mạnh: Bổ sung thực phẩm giàu canxi, vitamin D và hạn chế thức uống có màu sậm như cà phê, trà, rượu vang để giảm nguy cơ ố màu răng.

Việc phòng ngừa không chỉ giúp bảo vệ men răng mà còn duy trì thẩm mỹ và sức khỏe răng miệng lâu dài.
Răng nhiễm Tetracycline không chỉ ảnh hưởng đến thẩm mỹ mà còn khiến nhiều người mất tự tin trong giao tiếp hằng ngày. Tuy nhiên, với sự phát triển của nha khoa hiện đại, đặc biệt là các phương pháp thẩm mỹ răng tiên tiến, bạn hoàn toàn có thể sở hữu nụ cười trắng sáng, rạng rỡ và tự tin trở lại.
Nếu bạn đang gặp tình trạng răng nhiễm Tetracycline và muốn được bác sĩ chuyên sâu thăm khám, hãy liên hệ Platinum Dental Group để được tư vấn chi tiết và đưa ra giải pháp tối ưu cho riêng bạn.
Liên hệ ngay để được tư vấn miễn phí và nhận lịch hẹn thăm khám sớm nhất.
- Hotline: 028 3920 9969 – 096 779 7799
- Địa chỉ: 127 Nguyễn Cư Trinh, Phường Cầu Ông Lãnh, TP.Hồ Chí Minh
Xem thêm:
- Giải thích rõ trồng răng sứ giá bao nhiêu trong từng trường hợp
- Các yếu tố ảnh hưởng đến giá cấy ghép Implant
- Lưu ý khi chọn trồng Implant
- Thắc mắc về trồng Implant có đau không?
- Thông tin về giá dán sứ Veneer
- Tổng quan làm răng thẩm mỹ

English