Những trường hợp không nên bọc răng sứ – Cẩn trọng trước khi làm
Bọc răng sứ được xem là giải pháp thẩm mỹ và phục hình hiệu quả, giúp cải thiện nụ cười và chức năng ăn nhai. Tuy nhiên, không phải ai cũng phù hợp để thực hiện phương pháp này. Việc tìm hiểu rõ những trường hợp không nên bọc răng sứ sẽ giúp bạn tránh được rủi ro, đồng thời có hướng điều trị đúng đắn, an toàn hơn. Trong bài viết này, Platinum Dental Group sẽ cùng bạn phân tích chi tiết để dễ dàng đưa ra quyết định phù hợp.
Nội dung bài viết
Các trường hợp không nên bọc răng sứ
Bọc răng sứ là phương pháp hiện đại giúp cải thiện nụ cười, nâng cao chức năng ăn nhai. Tuy nhiên, không phải ai cũng phù hợp để thực hiện. Nếu bọc răng sứ trong những trường hợp “chống chỉ định”, răng có thể bị yếu đi, gây đau nhức hoặc thậm chí mất răng. Dưới đây là những nhóm đối tượng cần lưu ý trước khi quyết định bọc răng sứ.
Nhóm cấu trúc răng
Sai lệch khớp cắn nghiêm trọng
Khớp cắn là cách răng trên và răng dưới khớp lại với nhau khi ăn nhai. Nếu khớp cắn lệch nhẹ, bọc sứ vẫn có thể cải thiện. Nhưng với trường hợp lệch nặng (cắn chéo, cắn sâu, cắn hở, hô, móm), việc bọc sứ hoàn toàn không hiệu quả vì mão sứ chỉ thay đổi được hình dáng bên ngoài của răng chứ không điều chỉnh được xương hàm. Nếu cố tình bọc, sai lệch khớp cắn không cải thiện được, sức khỏe răng thật bị ảnh hưởng.

Răng gãy vỡ, chỉ còn chân răng
Khi răng chỉ còn lại chân, không còn đủ mô răng để làm trụ, mão sứ sẽ không thể bám chắc. Nếu vẫn cố thực hiện, mão sứ dễ bị bung ra, gây đau và tổn thương nướu. Ngoài ra, phần chân răng còn lại cũng có nguy cơ viêm nhiễm. Do đó, khi răng gãy vỡ chỉ còn chân răng, bệnh nhân nên thăm khám với bác sĩ chuyên về Implant, có thể cần nhổ răng và trồng implant để vừa đảm bảo thẩm mỹ, vừa duy trì khả năng ăn nhai.
Nhóm tình trạng sức khỏe
Sức khỏe răng miệng
Bọc răng sứ chỉ nên được thực hiện khi sức khỏe răng miệng đủ điều kiện. Những người đang mắc các bệnh lý như viêm lợi, viêm nha chu, viêm quanh răng nặng hoặc sâu răng chưa điều trị thì không nên bọc sứ ngay. Nếu cố tình thực hiện, vi khuẩn và ổ viêm có thể phát triển mạnh hơn dưới mão sứ, gây đau nhức, hôi miệng và giảm tuổi thọ răng sứ. Tương tự, trường hợp đang có nhiễm trùng trong khoang miệng cần được điều trị dứt điểm trước khi tiến hành bọc sứ.

Sức khỏe tổng quát
Ngoài tình trạng răng miệng, sức khỏe toàn thân cũng là yếu tố quan trọng. Người mắc bệnh tim mạch, huyết áp cao, tiểu đường không kiểm soát thường có khả năng hồi phục kém và dễ gặp biến chứng trong quá trình điều trị. Người bị rối loạn đông máu hoặc có cơ địa dễ chảy máu kéo dài cũng cần thận trọng. Ngoài ra, những bệnh nhân đang trong quá trình điều trị ung thư, sử dụng thuốc ức chế miễn dịch hoặc phụ nữ mang thai trong 3 tháng đầu và 3 tháng cuối thai kỳ cũng không được khuyến khích bọc răng sứ để tránh ảnh hưởng đến sức khỏe.
Nhóm đối tượng
Người mắc các bệnh lý về sức khỏe
Những bệnh nhân bị tiểu đường, tim mạch, rối loạn đông máu… có sức đề kháng yếu và khả năng hồi phục kém. Quá trình mài răng, gây tê hoặc đặt mão sứ có thể làm tăng nguy cơ nhiễm trùng hoặc biến chứng. Do đó, bệnh nhân cần tham khảo ý kiến bác sĩ chuyên khoa và thông báo rõ tình trạng sức khỏe trước khi quyết định bọc sứ.

Trẻ em dưới 17 tuổi
Đây là một trong những trường hợp không nên bọc răng sứ mà các bác sĩ luôn tư vấn bệnh nhân. Ở tuổi này, răng và xương hàm vẫn đang phát triển. Nếu bọc sứ quá sớm, mão răng có thể gây cản trở sự mọc răng tự nhiên, khiến xương hàm phát triển lệch, ảnh hưởng lâu dài đến thẩm mỹ và khớp cắn. Với các trường hợp này, bệnh nhân chỉ nên thực hiện các biện pháp bảo vệ răng tạm thời (như trám hoặc đeo máng bảo vệ), đợi đến khi răng và xương hàm phát triển hoàn thiện mới cân nhắc bọc sứ.
Tuy nhiên, trong một số trường hợp đặc biệt như trẻ bị thiểu sản men răng, răng sâu nặng, răng nứt vỡ hoặc mòn men quá mức, bác sĩ vẫn sẽ chỉ định bọc răng sứ. Quá trình thực hiện được tiến hành với mức độ xâm lấn tối thiểu, hạn chế mài răng tối đa nhằm bảo tồn mô răng và đảm bảo sức khỏe răng miệng lâu dài cho trẻ.
Khi nào nên bọc răng sứ
Bọc răng sứ không chỉ giúp phục hồi chức năng ăn nhai mà còn mang lại nụ cười thẩm mỹ, tự tin hơn trong giao tiếp. Tuy nhiên, phương pháp này phù hợp nhất trong một số trường hợp cụ thể dưới đây:
Răng xỉn màu, ố vàng nặng, khó làm sáng với tẩy trắng và dán sứ Veneer
Một số tình trạng nhiễm màu răng (như nhiễm tetracycline, nhiễm fluor) hoặc men răng bị đổi màu nặng sẽ không thể cải thiện chỉ bằng tẩy trắng hay dán sứ Veneer. Khi đó, bọc sứ là giải pháp hiệu quả vì lớp sứ phủ bên ngoài có màu trắng sáng tự nhiên, đồng đều, giúp nụ cười rạng rỡ hơn.

Răng sứt mẻ, mòn men, răng yếu
Những chiếc răng bị sứt góc, mẻ hoặc vỡ miếng lớn hoặc mòn men do thiểu sản men răng, do nghiến răng hay do tuổi tác… thường yếu và dễ tổn thương. Bọc sứ sẽ bao phủ toàn bộ thân răng, giúp bảo vệ răng thật, đồng thời phục hồi hình dáng ban đầu, mang lại cảm giác chắc khỏe hơn khi ăn nhai.
Răng hô, lệch nhẹ
Trong trường hợp răng chỉ bị hô nhẹ hoặc hơi lệch vị trí nhưng khách hàng mong muốn giải pháp tiết kiệm thời gian, bọc sứ có thể cải thiện nhanh chóng. Mão sứ được thiết kế vừa vặn, khít sát giúp tạo cảm giác răng đều, thẳng hàng và hài hòa với khuôn mặt.
Răng sau điều trị tủy
Những răng đã lấy tủy thường giòn, dễ nứt vỡ nếu không được bảo vệ. Lúc này, bọc sứ là lựa chọn cần thiết để “gia cố” răng, tránh nguy cơ gãy vỡ và đảm bảo tuổi thọ lâu dài cho răng thật.
Người muốn cải thiện thẩm mỹ toàn diện
Nhiều khách hàng lựa chọn bọc sứ không chỉ vì lý do bệnh lý mà còn để thay đổi toàn bộ diện mạo nụ cười. Bọc răng sứ có thể giúp:
- Răng đều và sáng hơn trong trường hợp nhiễm màu nặng.
- Nụ cười cân đối, hài hòa với khuôn mặt.
- Tăng sự tự tin khi giao tiếp, chụp ảnh một cách nhanh chóng, hiệu quả.
Bọc răng sứ mang đến lợi ích gì?
Không phải ngẫu nhiên mà bọc răng sứ ngày càng được nhiều người lựa chọn trong phục hình và thẩm mỹ nha khoa. Phương pháp này không chỉ giúp răng đẹp hơn mà còn cải thiện nhiều khía cạnh liên quan đến sức khỏe răng miệng.
Cải thiện chức năng ăn nhai
Sau khi bọc sứ, răng trở nên cứng chắc hơn, giúp việc cắn xé và nghiền nát thức ăn dễ dàng. Đặc biệt, đối với những răng đã yếu, mòn men hay sứt mẻ, mão sứ hoạt động như một “lá chắn bảo vệ”, giúp bạn ăn nhai thoải mái mà không lo ê buốt.
Bảo vệ răng thật
Mão sứ bao phủ toàn bộ thân răng, hạn chế vi khuẩn và tác nhân gây hại xâm nhập vào men và ngà răng. Nhờ đó, răng thật bên trong được bảo vệ tốt hơn, giảm nguy cơ sâu răng, viêm tủy hay nứt gãy. Đây cũng là lý do nhiều bác sĩ khuyên nên bọc sứ cho răng sau điều trị tủy để tránh mất răng sớm.

Cải thiện thẩm mỹ, tuổi thọ dài nếu chăm sóc tốt
Răng sứ có màu sắc sáng bóng, tự nhiên như răng thật, mang lại nụ cười đều đẹp, hài hòa. Nếu lựa chọn loại sứ chất lượng và chăm sóc răng miệng đúng cách, tuổi thọ của răng sứ có thể kéo dài 10-15 năm, thậm chí hơn. Đây là một khoản đầu tư xứng đáng cho cả thẩm mỹ lẫn sức khỏe lâu dài.
Cải thiện phát âm
Răng mọc lệch, thưa hoặc bị khuyết thường ảnh hưởng đến khả năng phát âm, khiến lời nói không tròn vành, rõ chữ. Khi được bọc sứ, răng đều và sát khít hơn, từ đó giúp phát âm chính xác, giọng nói rõ ràng và tự tin hơn trong giao tiếp.
Thoải mái, tiện lợi
Khi được thực hiện đúng kỹ thuật, bọc răng sứ không gây cộm cấn, vướng víu. Sau giai đoạn đầu làm quen, bạn có thể ăn nhai, vệ sinh và sinh hoạt gần như bình thường. Răng sứ cũng không yêu cầu chế độ kiêng khem quá khắt khe, chỉ cần duy trì thói quen chăm sóc răng miệng tốt.
Một số rủi ro khi bọc răng sứ kém chất lượng
Bọc răng sứ có thể mang lại hiệu quả cao nếu được thực hiện đúng kỹ thuật và sử dụng vật liệu tốt. Tuy nhiên, khi lựa chọn nha khoa kém uy tín hoặc mão sứ không đạt chuẩn, người bệnh có nguy cơ gặp phải nhiều rủi ro ảnh hưởng trực tiếp đến sức khỏe răng miệng.
Răng ê buốt, đau nhức kéo dài
Quá trình bọc sứ cần mài răng chuẩn xác, vừa đủ để mão sứ ôm khít. Nếu bác sĩ mài quá sâu hoặc sai kỹ thuật, răng sẽ bị tổn thương, gây ê buốt khi ăn nhai. Tình trạng này có thể kéo dài nhiều tháng, thậm chí dẫn đến viêm tủy hoặc mất răng.

Viêm nướu, hôi miệng
Mão sứ kém chất lượng hoặc lắp đặt không khít sát sẽ tạo khe hở giữa răng và nướu. Đây là nơi thức ăn và vi khuẩn dễ mắc lại, gây viêm lợi, sưng đỏ và hôi miệng. Nếu không xử lý kịp thời, vi khuẩn có thể lan xuống chân răng, làm nặng thêm bệnh lý nha chu.
Răng sứ dễ nứt, vỡ, đổi màu
Sứ kém chất lượng thường có độ bền thấp, dễ nứt vỡ khi ăn nhai thức ăn cứng hoặc dai. Ngoài ra, lớp men sứ có thể ngả vàng, xỉn màu chỉ sau vài năm, làm mất tính thẩm mỹ. Điều này khiến khách hàng vừa tốn chi phí sửa chữa, vừa cảm thấy phiền toái trong sinh hoạt.

Nguy cơ mất răng thật
Một trong những hậu quả nghiêm trọng nhất là mất răng thật. Nguyên nhân có thể đến từ việc mài răng quá nhiều, không xử lý bệnh lý trước khi bọc hoặc do viêm nhiễm kéo dài. Khi đó, răng thật bên trong bị hư hỏng nặng, buộc phải nhổ bỏ và thay thế bằng phương pháp khác như implant.
Bọc răng sứ kém chất lượng không chỉ khiến bạn “tiền mất, tật mang” mà còn ảnh hưởng lâu dài đến sức khỏe răng miệng. Vì vậy, việc lựa chọn một cơ sở nha khoa uy tín, bác sĩ có chuyên môn cao là yếu tố quyết định đến sự thành công của quá trình bọc sứ.
Một số lưu ý khi chọn địa chỉ bọc răng sứ uy tín
Để sở hữu hàm răng đều đẹp, bền chắc sau khi bọc sứ, việc lựa chọn nha khoa là yếu tố quyết định. Bạn có thể tham khảo các tiêu chí dưới đây và đối chiếu với dịch vụ tại Platinum Dental Group để yên tâm hơn trước khi thực hiện.
Giấy phép hoạt động rõ ràng
Một nha khoa uy tín cần có giấy phép hành nghề hợp pháp. Tại Platinum Dental Group, mọi dịch vụ đều được Sở Y tế cấp phép, đảm bảo môi trường điều trị an toàn và đúng tiêu chuẩn y khoa.

Đội ngũ bác sĩ giàu kinh nghiệm
Trong bọc răng sứ, bác sĩ là yếu tố quan trọng nhất quyết định kết quả cuối cùng. Một bác sĩ giỏi không chỉ giúp khách hàng sở hữu hàm răng đều đẹp, chuẩn khớp cắn mà còn đảm bảo an toàn cho răng thật, hạn chế tối đa rủi ro sau khi thực hiện.

Tại Platinum Dental Group, khách hàng hoàn toàn có thể yên tâm vì đội ngũ bác sĩ đều là những chuyên gia đầu ngành, nhiều năm kinh nghiệm trong phục hình răng sứ thẩm mỹ:
- Bác sĩ CKI Trần Lan Anh: Với hơn 16 năm kinh nghiệm chuyên sâu về phục hình sứ thẩm mỹ, bác sĩ CKI Trần Lan Anh được mệnh danh là Top 1 Veneer Việt Nam. Bác sĩ từng tu nghiệp tại Đại học Bordeaux (Pháp), Đại học British Columbia (Canada) và Học viện Digital Smile Design (Tây Ban Nha). Luôn đặt yếu tố thẩm mỹ tự nhiên và độ bền lâu dài lên hàng đầu, bác sĩ CKI Trần Lan Anh giúp hàng nghìn khách hàng sở hữu nụ cười rạng rỡ, tự tin.
- Bác sĩ CKI Phùng Lê Phương Dung: Tốt nghiệp loại Giỏi tại Đại học Y Dược Huế và có bằng liên kết từ Đại học Bordeaux (Pháp), bác sĩ Phùng Lê Phương Dung sở hữu kiến thức vững vàng trong chỉnh nha và phục hình thẩm mỹ. Bác sĩ đã hoàn thành nhiều khóa đào tạo chuyên sâu về nha chu, chỉnh hình răng mặt và chỉnh nha sinh học. Tận tâm và tỉ mỉ, bác sĩ Phùng Lê Phương Dung luôn mang đến phác đồ điều trị tối ưu cho từng bệnh nhân.
- Bác sĩ Đặng Mỹ Hằng: Với gần 13 năm kinh nghiệm lâm sàng, bác sĩ Đặng Mỹ Hằng được Bộ Y tế cấp chứng chỉ hành nghề, đảm bảo chuyên môn vững chắc. Thế mạnh của bác sĩ là khả năng chẩn đoán chính xác và thực hành khéo léo, mang lại trải nghiệm nhẹ nhàng, an toàn. Luôn tận tâm và giải thích rõ ràng, bác sĩ Đặng Mỹ Hằng giúp khách hàng yên tâm trong suốt hành trình chăm sóc răng miệng.
Trang thiết bị và công nghệ hiện đại
Công nghệ nha khoa tiên tiến giúp hạn chế đau buốt, đảm bảo độ khít sát của mão sứ và rút ngắn thời gian thực hiện. Platinum Dental Group hiện đang ứng dụng máy scan trong miệng, phần mềm CAD/CAM, cùng hệ thống chế tác răng sứ chuẩn châu Âu, mang lại nụ cười tự nhiên và bền đẹp.

Chất lượng vật liệu sứ
Không chỉ đa dạng về mẫu mã, các dòng răng sứ tại Platinum Dental Group đều có nguồn gốc chính hãng, rõ ràng về xuất xứ. Từ răng sứ kim loại đến sứ cao cấp toàn sứ, tất cả đều đáp ứng tiêu chuẩn an toàn sinh học, màu sắc tự nhiên, chống bám màu và chịu lực tốt.
Cam kết bảo hành lâu dài
Chính sách bảo hành minh bạch là yếu tố giúp khách hàng an tâm hơn. Tại Platinum Dental Group, thời gian bảo hành tùy loại sứ có thể lên đến 10 – 15 năm. Ngoài ra, khách hàng còn được đồng hành chăm sóc định kỳ để duy trì kết quả lâu dài.
Điều trị thành công cho nhiều khách hàng
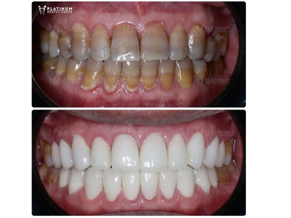
Tại Platinum Dental Group, mỗi ca phục hình đều được bác sĩ lên kế hoạch kỹ lưỡng và thực hiện theo tiêu chí an toàn – thẩm mỹ – bảo tồn răng thật tối đa. Nhờ vậy, chúng tôi đã đồng hành và mang lại kết quả thành công cho rất nhiều khách hàng với những nhu cầu khác nhau.
Một trong những ca điển hình là trường hợp của chị Leyla – chỉ bọc một răng sứ nhưng vẫn đạt được vẻ tự nhiên, đồng nhất hoàn hảo với các răng còn lại.

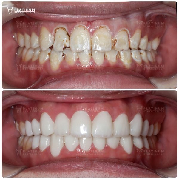
Bên cạnh đó, ca bọc răng sứ của Ms. Michelle R. Gattringer đến từ Úc cũng là minh chứng rõ ràng. Khi đến Platinum Dental Group, chị gặp tình trạng răng mòn, ố vàng, không đều và nhiều mảng trám cũ. Đội ngũ bác sĩ đã áp dụng giải pháp bọc sứ toàn hàm, vừa bảo vệ cấu trúc răng vừa cải thiện thẩm mỹ. Kết quả là hàm răng của chị Michelle được “lột xác” hoàn toàn, trở nên sáng đẹp, tự nhiên và mang lại cho chị sự tự tin trọn vẹn.

Bọc răng sứ là phương pháp mang lại nhiều lợi ích về thẩm mỹ và sức khỏe răng miệng, nhưng không phải trường hợp nào cũng phù hợp. Việc hiểu rõ những lưu ý và lựa chọn đúng địa chỉ nha khoa uy tín sẽ giúp bạn yên tâm hơn trong quá trình điều trị. Nếu bạn đang tìm kiếm một giải pháp an toàn, bền vững, hãy đến Platinum Dental Group để được đội ngũ bác sĩ chuyên môn cao thăm khám và tư vấn chi tiết, từ đó sở hữu nụ cười khỏe đẹp dài lâu.
Xem thêm:
- Các yếu tố ảnh hưởng đến giá bọc răng sứ
- Thông tin về giá trồng răng Implant
- Giải thích phương pháp cấy răng Implant
- Giải thích “trồng răng Implant có đau ko“?
- Bọc răng sứ Veneer giá bao nhiêu?
- Giải đáp bọc răng sứ thẩm mỹ

English