Mài răng bọc sứ: Quy trình, rủi ro và địa chỉ uy tín
Mài răng bọc sứ là bước quan trọng trong quá trình phục hình thẩm mỹ, giúp tái tạo nụ cười trắng sáng và khắc phục những khuyết điểm trên răng. Tuy nhiên đây cũng là thủ thuật đòi hỏi tay nghề cao và kỹ thuật chính xác để đảm bảo an toàn cho sức khỏe răng miệng. Vậy mài răng bọc sứ có những rủi ro gì, quy trình thực hiện ra sao và đâu là địa chỉ uy tín để bạn yên tâm lựa chọn? Hãy cùng Platinum Dental Group tìm hiểu chi tiết trong bài viết sau.
Nội dung bài viết
Các trường hợp nên mài răng bọc sứ
Bọc răng sứ là phương pháp phục hình nha khoa mang lại cả giá trị thẩm mỹ và chức năng ăn nhai. Tuy nhiên, không phải trường hợp nào cũng cần mài răng để bọc sứ. Thông thường, bác sĩ sẽ chỉ định khi răng thật đã có những khuyết điểm nhất định và việc mài răng là cần thiết để đảm bảo hiệu quả điều trị. Dưới đây là những tình huống điển hình nên cân nhắc:
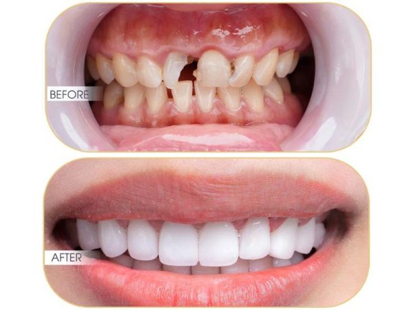
- Người có răng ố vàng, xỉn màu khó tẩy trắng muốn nâng cấp nụ cười và hình ảnh cá nhân: Trường hợp răng bị ố, xỉn màu do cà phê, trà, thuốc lá hoặc nhiễm kháng sinh tetracycline nặng, có mong muốn thẩm mỹ răng thì bọc răng sứ là giải pháp hiệu quả giúp khôi phục màu sắc trắng sáng, mang lại nụ cười tự nhiên và rạng rỡ.
- Người có răng sứt, mẻ, gãy hoặc răng yếu: Những răng bị tổn thương do tai nạn, sâu răng hoặc mài mòn lâu năm có thể được phục hình bằng mão sứ, giúp bảo vệ mô răng thật, tăng độ bền và khôi phục chức năng ăn nhai hiệu quả.
- Người bị mất răng cần phục hình: Khi bị mất một hoặc nhiều răng, khách hàng có thể lựa chọn phương pháp cầu răng sứ hoặc cấy ghép răng sứ trên trụ implant với phục hình răng sứ lên trên Implant để tái tạo răng chắc khỏe, đảm bảo thẩm mỹ và khả năng ăn nhai tương đương răng thật.
Lưu ý: Không phải ai cũng phù hợp để mài răng bọc sứ. Việc mài răng cần được bác sĩ chuyên môn đánh giá kỹ lưỡng, đảm bảo không xâm lấn quá mức, giữ vững chức năng và sức khỏe răng thật lâu dài.

Mài răng bọc sứ có ảnh hưởng gì?
Mài răng là bước bắt buộc trong quá trình bọc sứ để tạo khoảng trống cho mão sứ ôm khít và chắc chắn vào răng thật. Tuy nhiên, đây cũng là lý do khiến nhiều người lo lắng liệu mài răng có gây hại cho sức khỏe răng miệng hay không.
Thực tế, mài răng bọc sứ có thể gây một số ảnh hưởng nếu thực hiện sai kỹ thuật hoặc mài quá nhiều, chẳng hạn như:
- Gây ê buốt, đau nhức kéo dài do lộ ngà răng.
- Làm răng yếu hơn, dễ nứt gãy hoặc nhạy cảm với nhiệt độ.
- Tăng nguy cơ viêm tủy nếu xâm lấn sâu vào cấu trúc răng.
Tuy vậy, mài răng bọc sứ sẽ không ảnh hưởng gì nếu là chỉ định đúng. Khi được bác sĩ chuyên môn giàu kinh nghiệm thăm khám và mài răng đúng tỷ lệ, quá trình này sẽ an toàn và mang lại nhiều lợi ích:
- Giữ vững chức năng ăn nhai và khớp cắn ổn định.
- Đảm bảo thẩm mỹ tự nhiên, hài hòa với khuôn mặt.
Nói cách khác, việc mài răng chỉ thực sự nguy hiểm khi được thực hiện bởi nha khoa kém chất lượng, thiếu quy trình y khoa. Do đó, để yên tâm bạn nên lựa chọn nha khoa uy tín với bác sĩ có tay nghề cao và trang thiết bị hiện đại.

Quy trình mài răng bọc sứ chuẩn nha khoa
Để quá trình mài răng bọc sứ diễn ra an toàn và đạt hiệu quả thẩm mỹ, nha khoa cần tuân thủ đúng quy trình tiêu chuẩn y khoa. Dưới đây là các bước mài răng bọc sứ chuẩn từ Platinum Dental Group :
Bước 1: Thăm khám & lập kế hoạch điều trị
Bác sĩ tiến hành kiểm tra tổng quát, chụp X-quang hoặc CT Cone Beam 3D để đánh giá cấu trúc răng – nướu. Dựa trên tình trạng thực tế, bác sĩ đưa ra số lượng răng cần phục hình, lựa chọn loại sứ phù hợp và mô phỏng kết quả bằng công nghệ thiết kế nụ cười DSD giúp khách hàng hình dung trước nụ cười sau khi điều trị.
Bước 2: Mài răng & lấy dấu
Bác sĩ mài một lớp mỏng men răng (tối thiểu, bảo tồn tối đa mô răng thật) để tạo khoảng trống cho mão sứ. Sau đó, tiến hành lấy dấu răng bằng công nghệ quét 3D hiện đại hoặc vật liệu lấy dấu truyền thống. Thông số này được chuyển đến labo để chế tác răng sứ chính xác đến từng chi tiết.
Bước 3: Gắn răng tạm
Trong lúc chờ răng sứ thật, khách hàng được gắn răng tạm nhằm đảm bảo thẩm mỹ và ăn nhai tạm thời. Đây cũng là giai đoạn để bác sĩ cùng khách hàng điều chỉnh về hình dáng, độ dài và màu sắc trước khi chế tác răng sứ hoàn thiện.
Bước 4: Gắn thử & điều chỉnh
Răng sứ hoàn thiện sẽ được gắn thử để kiểm tra độ khít, màu sắc và khớp cắn. Nếu cần, bác sĩ sẽ chỉnh sửa chi tiết để mang lại cảm giác thoải mái và kết quả thẩm mỹ tự nhiên nhất.
Bước 5: Gắn cố định & hoàn tất
Khi mọi yếu tố đã tối ưu, bác sĩ sử dụng xi măng nha khoa chuyên dụng để gắn cố định mão sứ. Cuối cùng, khớp cắn được tinh chỉnh kỹ lưỡng nhằm đảm bảo ăn nhai ổn định, hạn chế ê buốt và duy trì độ bền lâu dài.

6 rủi ro tiềm ẩn do mài răng bọc sứ sai cách
Gây ê buốt và răng nhạy cảm hơn
Mài răng bọc sứ có thể dẫn đến tình trạng ê buốt và răng trở nên nhạy cảm hơn do lớp men tự nhiên bị mài mòn. Men răng vốn đóng vai trò là lớp bảo vệ đầu tiên chống lại các tác nhân từ môi trường như nhiệt độ, axit và vi khuẩn. Khi lớp men này bị loại bỏ, ngà răng và hệ thống dây thần kinh bên trong dễ bị kích thích, gây cảm giác ê buốt rõ rệt khi tiếp xúc với thức ăn hoặc đồ uống nóng, lạnh và chua.
Mòn men răng tự nhiên
Men răng là phần cứng chắc nhất trong cấu trúc răng, đóng vai trò bảo vệ ngà răng và tủy răng khỏi các tác động bên ngoài. Trong quá trình mài răng bọc sứ, lớp men này thường phải được mài mỏng hoặc loại bỏ một phần để tạo điều kiện cho mão sứ bám chặt vào răng thật. Tuy nhiên, chính điều này khiến răng trở nên nhạy cảm hơn, dễ chịu ảnh hưởng từ nhiệt độ nóng – lạnh hoặc môi trường axit.
Điều đáng lưu ý là men răng không có khả năng tái tạo tự nhiên. Một khi đã mất đi, răng có nguy cơ ê buốt kéo dài và dễ phát triển sâu răng hơn. Do đó, việc mài răng bọc sứ cần được thực hiện một cách thận trọng bởi bác sĩ giàu kinh nghiệm, nhằm hạn chế tối đa phần men răng bị xâm lấn và bảo tồn cấu trúc răng thật.

Tổn thương tủy răng
Việc mài răng quá mức hoặc thực hiện không đúng kỹ thuật có thể dẫn đến những tổn hại nghiêm trọng đối với tủy răng. Tủy là bộ phận chứa hệ thống mạch máu và dây thần kinh, đóng vai trò quan trọng trong việc nuôi dưỡng và duy trì sự sống của răng. Khi vùng tủy bị xâm phạm, người bệnh có thể gặp phải các biến chứng như viêm tủy, đau nhức kéo dài hoặc thậm chí hoại tử tủy.
Hậu quả của tình trạng này là răng mất dần cảm giác, dễ bị viêm nhiễm hoặc hình thành áp xe quanh chân răng. Trong nhiều trường hợp, người bệnh buộc phải tiến hành điều trị lấy tủy, vừa tốn kém chi phí, vừa khiến cấu trúc răng trở nên giòn, yếu và dễ gãy vỡ hơn theo thời gian.
Viêm lợi, nha chu
Nếu mão sứ được gắn không khít sát hoặc người dùng không vệ sinh răng miệng đúng cách, các khe hở giữa mão và răng thật sẽ trở thành nơi tích tụ thức ăn và vi khuẩn. Tình trạng này kéo dài dễ gây viêm nướu, hơi thở có mùi khó chịu và tiến triển thành các bệnh lý nha chu nặng hơn.
Ngoài ra, trong quá trình mài răng, nếu bác sĩ thao tác sai kỹ thuật hoặc sử dụng thiết bị không đạt chuẩn, mô nướu xung quanh có thể bị ảnh hưởng bởi lực tác động hoặc nhiệt từ máy mài. Khi đó, người bệnh có thể gặp triệu chứng đau nhức, sưng tấy, đỏ viêm. Nếu không được điều trị kịp thời, viêm nướu có nguy cơ lan rộng, gây ra biến chứng nghiêm trọng cho sức khỏe răng miệng.
Mão sứ nhanh hỏng
Mão răng sứ dễ gặp tình trạng nứt, vỡ hoặc lỏng lẻo nếu được chế tác từ vật liệu kém chất lượng hay lắp đặt sai kỹ thuật. Trong nhiều trường hợp, mão sứ quá mỏng hoặc không đúng tỷ lệ thiết kế sẽ không đảm bảo độ bền, dẫn đến hư hỏng trong quá trình ăn nhai. Bên cạnh đó, nếu mão sứ gắn không chuẩn khít hoặc khớp cắn không cân đối, lực nhai sẽ dồn cục bộ tại một vị trí, làm tăng nguy cơ mẻ, nứt và giảm tuổi thọ của răng sứ.

Đen viền nướu mất thẩm mỹ
Một trong những rủi ro dễ gặp khi mài răng bọc sứ và phục hình sai cách là hiện tượng đen viền nướu. Tình trạng này thường xuất phát từ hai nguyên nhân chính:
- Sai kỹ thuật lắp răng sứ: Nếu viền mão đặt quá sát/đi vào nướu, mão không khít hoặc phình to, xi măng thừa… sẽ dễ đọng mảng bám, gây viêm kéo dài. Khi nướu bị tụt, rìa mão lộ ra khiến viền quanh răng trông xám/đen và mất thẩm mỹ.
- Sử dụng răng sứ kim loại: Khi nướu mỏng hoặc bị tụt, viền kim loại ở cổ răng có thể lộ ra hoặc màu kim loại hắt qua mô nướu, tạo “đường đen” ở sát chân răng. Đây là hạn chế thẩm mỹ đặc trưng của mão sứ kim loại.
Đây là nhược điểm lớn của dòng răng sứ kim loại, khiến nhiều người mất tự tin khi cười. Giải pháp khắc phục là ưu tiên răng toàn sứ (zirconia, lithium disilicate) cho vùng thẩm mỹ, kết hợp quy trình phục hình chuẩn y khoa (viền đặt ở vị trí phù hợp, mão khít – gọn – dễ vệ sinh) và chăm sóc răng miệng, tái khám định kỳ để kiểm soát viêm.
Lưu ý khi mài răng để bọc sứ
Để quá trình mài răng bọc sứ diễn ra an toàn và mang lại kết quả bền vững, người bệnh cần quan tâm đến một số nguyên tắc cơ bản sau:
- Khám và trao đổi kỹ với bác sĩ: Trước khi tiến hành bọc sứ, cần được bác sĩ chuyên khoa kiểm tra tổng quát tình trạng răng miệng, đồng thời thảo luận rõ ràng về mong muốn thẩm mỹ và nhu cầu chức năng để có phương án phù hợp.
- Chọn nha khoa uy tín: Nên ưu tiên các cơ sở có đội ngũ bác sĩ tay nghề cao, trang thiết bị hiện đại và tuân thủ nghiêm ngặt quy trình vô trùng để hạn chế rủi ro trong quá trình điều trị.
- Lựa chọn vật liệu sứ phù hợp: Mỗi dòng sứ như sứ kim loại, toàn sứ Zirconia hay Cercon đều có ưu và nhược điểm riêng. Việc chọn loại sứ phù hợp phụ thuộc vào điều kiện tài chính, yêu cầu thẩm mỹ và lời khuyên chuyên môn từ bác sĩ.
- Tuân thủ chỉ định sau điều trị: Sau khi gắn răng sứ, cần thực hiện đúng hướng dẫn chăm sóc răng miệng, bao gồm chế độ ăn uống, vệ sinh và thói quen sinh hoạt để tăng tuổi thọ của mão sứ.
- Tái khám định kỳ: Việc kiểm tra theo lịch hẹn giúp bác sĩ theo dõi sự thích nghi của mão sứ, kịp thời xử lý các vấn đề phát sinh và duy trì độ ổn định lâu dài cho răng miệng.

Địa chỉ uy tín mài răng bọc sứ Platinum Dental Group
Lựa chọn nha khoa để mài răng bọc sứ không chỉ đơn thuần là tìm nơi phục hình thẩm mỹ, mà còn là quyết định ảnh hưởng trực tiếp đến sức khỏe răng miệng lâu dài. Platinum Dental Group là địa chỉ được nhiều khách hàng tin chọn bởi những ưu điểm nổi bật sau:
- Thiết kế nụ cười cá nhân hóa với công nghệ DSD: Ứng dụng Digital Smile Design, mỗi nụ cười tại Platinum đều được mô phỏng và thiết kế theo tỷ lệ gương mặt, phong cách và cá tính riêng của khách hàng. Điều này giúp mang lại kết quả thẩm mỹ hài hòa, tự nhiên và độc bản.
- Đội ngũ bác sĩ chuyên môn cao, giàu kinh nghiệm: Trực tiếp điều trị bởi các bác sĩ có nhiều năm kinh nghiệm, từng tu nghiệp tại Pháp, Canada, Tây Ban Nha. Không chỉ chú trọng khía cạnh thẩm mỹ, các bác sĩ tại Platinum còn đảm bảo an toàn và bảo tồn răng thật tối đa.
- Vật liệu sứ chính hãng, an toàn sinh học: Toàn bộ vật liệu sứ được nhập khẩu từ châu Âu và Mỹ, đảm bảo độ bền, màu sắc tự nhiên và tương thích tối ưu với cơ thể, hạn chế tối đa rủi ro kích ứng.
- Kỹ thuật hiện đại – ít mài răng, giảm xâm lấn: Nhiều trường hợp khách hàng có thể phục hình mà không cần hoặc chỉ cần mài rất ít răng, nhờ vậy bảo tồn răng thật tối đa, giảm cảm giác ê buốt và tăng tuổi thọ cho răng gốc.
- Quy trình điều trị nhẹ nhàng, không đau: Mọi thao tác đều thực hiện trong môi trường vô trùng, với kỹ thuật hiện đại và tay nghề khéo léo, mang lại trải nghiệm thoải mái ngay cả với những khách hàng nhạy cảm.
- Chính sách bảo hành minh bạch & chăm sóc lâu dài: Platinum không chỉ trao bạn một nụ cười đẹp, mà còn cam kết đồng hành cùng bạn trong suốt quá trình sử dụng với bảo hành rõ ràng, cùng các buổi tái khám định kỳ chuyên nghiệp.

Mài răng bọc sứ mang lại nhiều giá trị thẩm mỹ và chức năng, nhưng nếu thực hiện sai kỹ thuật có thể gây ra không ít hệ lụy cho sức khỏe răng miệng. Chính vì vậy, việc lựa chọn cơ sở nha khoa uy tín, bác sĩ có tay nghề cao và vật liệu chính hãng là yếu tố quyết định để sở hữu một nụ cười đẹp lâu dài. Nếu bạn đang tìm kiếm giải pháp thẩm mỹ răng an toàn, hãy để các chuyên gia tại Platinum Dental Group đồng hành, mang đến cho bạn nụ cười hoàn hảo và sự tự tin bền vững.
Xem thêm:
- Giải đáp câu hỏi 1 bộ răng sứ bao nhiêu tiền?
- Giải thích rõ trồng 1 răng hàm Implant giá bao nhiêu
- Giải đáp cấy ghép Implant là gì?
- Trải nghiệm “cắm Implant có đau ko“?
- Giải thích dán sứ Veneer bao nhiêu tiền?
- Giải đáp bọc răng sứ thẩm mỹ

English