Hàn răng sâu và các lưu ý quan trọng cần phải biết
Sâu răng là bệnh lý thường gặp ở nhiều người, tuy rằng bệnh lý này không gây nguy hiểm đến tính mạng nhưng nếu để các triệu chứng kéo dài sẽ dẫn đến nhiều vấn đề răng miệng khác. Hàn răng sâu là phương pháp được chọn lựa nhiều nhất khi xử lý các vấn đề răng sâu vì hiệu quả mà nó mang lại cực cao. Khi chuẩn bị hàn răng sâu, bạn cũng nên tìm hiểu thêm về hàn răng sâu là các lưu ý quan trọng cần phải biết để đảm bảo việc chữa trị và chăm sóc răng miệng đạt hiệu quả tốt nhất.
Nội dung bài viết
Hàn răng sâu là gì?
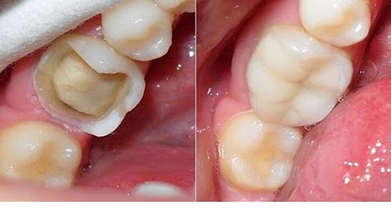
Hàn răng sâu hay còn được gọi với tên gọi quen thuộc là trám răng. Phương pháp hàn răng sâu là phương pháp mà các nha sĩ sẽ dùng những vật liệu nha khoa, kết hợp với các kỹ thuật y khoa chuyên ngành khác nhằm trám bít các lỗ sâu, khoảng trống trên răng do sâu răng gây ra.

Các vật liệu được sử dụng để trám răng bao gồm vàng, sứ, nhựa composite và amalgam (hợp kim của thủy ngân, bạc, đồng, thiếc),… Đây là những vật liệu nha khoa có màu sắc tương đồng với răng thật vì vậy bạn có thể yên tâm lựa chọn phương pháp hàn răng sâu khi điều trị các bệnh lý sâu răng.
Tác hại khi bị sâu răng nhưng không chữa trị
Bệnh sâu răng nếu không được chữa trị kịp thời sẽ gây ra nhiều bệnh lý nguy hiểm cho răng, lợi và hàm. Không những vậy, sâu răng còn gây ra cảm giác đau đớn khó chịu và gây nhiều ảnh hưởng đến sinh hoạt của bệnh nhân. Nếu bạn đang gặp phải vấn đề này cần tìm hiểu những tác hại của nó và lựa chọn phương pháp điều trị phù hợp. Hàn răng sâu là phương pháp điều trị thích hợp để cải thiện nhiều tác hại của sâu răng như sau:
Hôi miệng
Hôi miệng là triệu chứng thường gặp nhất ở các bệnh nhân khi gặp vấn đề sâu răng. Răng sâu tạo nên những lỗ trống trên răng, khi ăn uống thì thức ăn rất dễ kẹt vào đây và rất khó để vệ sinh bằng cách vệ sinh thông thường.

Lâu dần thức ăn thừa tích tụ dễ gây ra hôi miệng. Khi hàn răng sâu thì các lỗ trống này sẽ được lấp đầy một cách khá đơn giản và từ đó tình trạng hôi miệng cũng sẽ dần được cải thiện.
Ảnh hưởng đến thẩm mỹ
Hàn răng sâu có thể khắc phục nhược điểm khi bị sâu răng để lại. Khi bị sâu răng các lỗ hỏng trên răng làm người bệnh cảm thấy mất tự tin khi giao tiếp từ đó gây ảnh hưởng đến công việc.

Thẩm mỹ tuy là yếu tố không gây ảnh hưởng nhiều đến sức khỏe nhưng nó khiến người bệnh mắc phải nhiều chướng ngại về tâm lý nên cũng cần được khắc phục.
Nhiều bệnh lý răng miệng khác
Sâu răng kéo dài nếu không được chữa trị sẽ dẫn đến nhiều bệnh lý cho răng hàm như bị áp xe răng, răng bị hỏng, mất răng, gây nhiều bất lợi khi ăn nhai và gây nên nhiều tổn thương cho răng lợi, nặng nề hơn là biến chứng ung thư hàm.
Các lưu ý quan trọng khi hàn răng sâu
Sau khi hàn răng sâu, bạn cần lưu ý đến những điều sau để có thể chăm sóc cho răng sau khi hàn được tốt hơn.
- Lưu ý khi ăn nhai: Sau khi hàn răng sâu, bạn không nên ăn nhai các thức ăn hoặc cắn các vật quá cứng. Thông thường, 2 giờ sau khi hàn răng sâu, bạn nên ăn thức ăn loãng để vết hàn có thời gian đông cứng, tránh bong tróc. Sau đó thì bạn có thể ăn uống thoải mái không cần kiêng quá nhiều thức ăn.

- Vệ sinh răng miệng: Sau khi hàn răng sâu, vấn đề vệ sinh răng miệng là vấn đề nên được ưu tiên hàng đầu. Bạn phải chăm sóc răng miệng thật cẩn thận, chải răng đúng cách ngày 2 lần. Bạn cũng nên hạn chế các thức ăn thức uống có màu để tránh làm ố vàng răng và vết trám.
Hàn răng sâu ở đâu uy tín, giá tốt?
Nha khoa Platinum tự hào là đơn vị chuyên cung cấp các dịch vụ nha khoa hàng đầu hiện nay và đặc biệt là vấn đề hàn răng sâu, chữa sâu răng. Đội ngũ y bác sĩ tại Nha Khoa Platinum là những vị bác sĩ đầu ngành, có kinh nghiệm nhiều năm trong lĩnh vực răng hàm mặt.

Tại đây còn được lắp đặt trang thiết bị hiện đại để phục vụ cho việc chẩn đoán của các bác sĩ đạt độ chính xác cao nhất. Vì vậy đây là địa chỉ được nhiều khách hàng tin tưởng khi lựa chọn nơi chăm sóc sức khỏe răng miệng cho cả gia đình.
Xem thêm:
- Cập nhật và tham khảo bảng giá răng sứ
- Chi tiết chi phí trồng Implant
- Giải đáp trồng răng Implant là gì?
- Giải thích trồng răng Implant có đau không?
- Thông tin về giá dán sứ Veneer
- Thông tin về làm răng sứ thẩm mỹ

English