Răng sứ bị hở: Dấu hiệu, nguyên nhân và cách khắc phục hiệu quả
Tình trạng răng sứ bị hở không chỉ là vấn đề thẩm mỹ mà còn tiềm ẩn nhiều nguy cơ ảnh hưởng đến sức khỏe răng miệng nếu không xử lý kịp thời. Trong bài viết này, Platinum Dental Group sẽ giúp bạn nhận biết dấu hiệu, tìm hiểu nguyên nhân, hệ quả và giải pháp khắc phục, phòng ngừa răng sứ bị hở một cách hiệu quả.
Nội dung bài viết
Các dấu hiệu dễ nhận biết răng sứ bị hở
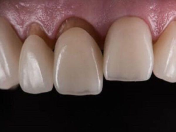
Lộ cùi răng (hở cổ răng)
Khi mão sứ không ôm khít sát viền nướu hoặc nướu bị viêm, phần chân răng thật hoặc viền cổ răng bị lộ ra ngoài, tạo cảm giác răng không còn liền mạch với mão sứ. Đây là dấu hiệu dễ nhận biết nhất và cũng gây mất thẩm mỹ rõ rệt khi cười.
Vệt đen mờ quanh chân răng
Vệt đen mờ quanh chân răng là dấu hiệu thường gặp khi bọc răng sứ kim loại. Nguyên nhân là do mão sứ không ôm khít viền nướu, phần kim loại bên trong bị oxy hóa theo thời gian, khiến viền nướu xỉn màu. Bạn có thể dễ dàng nhận biết tình trạng này bằng cách quan sát kỹ vùng chân răng, nếu thấy xuất hiện các vệt đen hoặc sẫm màu thì rất có thể răng sứ đã bị hở.

Cảm giác cộm cấn, ê buốt hoặc đau nhức khi ăn uống
Một mão sứ bị hở hoặc lắp lệch khớp cắn sẽ khiến việc ăn nhai trở nên bất tiện. Người bệnh thường cảm thấy cộm cấn, khó nhai trọn vẹn, thậm chí ê buốt khi nhai thức ăn dai hoặc cứng. Nếu tình trạng kéo dài, cơn đau nhức có thể tăng dần, ảnh hưởng trực tiếp đến răng thật bên trong.
Thức ăn dễ giắt, gây hôi miệng
Khe hở nhỏ giữa mão sứ và cùi răng chính là “ổ chứa” lý tưởng cho thức ăn thừa và vi khuẩn. Dù có chải răng, người bệnh vẫn khó làm sạch hoàn toàn. Hậu quả là hơi thở có mùi, kèm theo nguy cơ viêm nướu, sâu răng. Đây cũng là lý do nhiều khách hàng tìm đến nha khoa để kiểm tra khi thấy hơi thở có mùi bất thường sau khi bọc răng sứ.

Ê buốt, nhạy cảm khi tiếp xúc nóng/lạnh
Ở trạng thái bình thường, mão sứ hoạt động như một lớp bảo vệ, giúp cùi răng không bị ảnh hưởng bởi nhiệt độ và lực nhai. Tuy nhiên, khi bị hở, răng thật sẽ bị “lộ diện” và phản ứng nhạy cảm hơn khi uống nước lạnh, ăn kem hoặc dùng thức ăn quá nóng. Cảm giác ê buốt này thường tái diễn nhiều lần, gây khó chịu trong sinh hoạt hàng ngày.
Nguyên nhân khiến răng sứ bị hở
Răng sứ bị hở có thể xuất phát từ nhiều yếu tố khác nhau, bao gồm cả kỹ thuật thực hiện, chất lượng vật liệu lẫn thói quen chăm sóc răng miệng. Theo bác sĩ CKI Trần Lan Anh, nếu sau 4 – 5 năm bọc răng sứ, nướu bị tụt xuống lộ bờ viền của răng sứ nhưng không có khoảng không gian hở giữa răng sứ và răng thật, thì đây là trường hợp bình thường. Đây được xem là hiện tượng tụt nướu sinh lý, không ảnh hưởng đến sức khoẻ.
Còn trong trường hợp vừa mới bọc răng sứ xong mà xuất hiện các dấu hiệu hở, nguyên nhân gây ra có thể kể đến như:
Kỹ thuật thực hiện không chính xác
Tay nghề bác sĩ đóng vai trò quyết định trong quá trình bọc răng sứ. Nếu bác sĩ mài răng không đúng tỉ lệ, lấy dấu hàm sai hoặc lắp mão sứ không chuẩn khớp cắn, mão sứ sẽ không ôm khít cùi răng, tạo khe hở. Đây là lý do tại sao nhiều khách hàng sau khi bọc răng tại cơ sở kém uy tín thường gặp phải tình trạng răng sứ nhanh bị hở, ê buốt.

Răng sứ chất lượng kém
Vật liệu mão sứ nếu không chính hãng, không đạt chuẩn y khoa sẽ dễ xuống cấp, đổi màu, giòn hoặc co ngót sau thời gian ngắn sử dụng. Điều này làm cho mão sứ không còn bám sát cùi răng, dẫn đến hở viền. Ngược lại, răng sứ cao cấp chính hãng sẽ có độ bền và khả năng ôm sát cao, duy trì lâu dài mà không lo bong tróc.
Chế tác sai kích thước mão sứ
Quá trình chế tác mão sứ đòi hỏi độ chính xác cao, khớp tuyệt đối với dấu hàm của bệnh nhân. Nếu mão sứ được chế tác quá to hoặc quá nhỏ, khi lắp vào sẽ tạo khe hở hoặc gây cộm cấn. Đây thường là hậu quả của việc lấy dấu hàm không chuẩn hoặc phòng lab gia công răng sứ thiếu kinh nghiệm.

Keo dán sứ không đảm bảo hoặc dùng không đủ
Chất lượng keo gắn cũng ảnh hưởng lớn đến độ khít của mão sứ. Nếu nha khoa sử dụng loại keo kém chất lượng, không tương thích hoặc dùng quá ít, mão sứ sẽ nhanh bong tróc, tạo khoảng hở cho vi khuẩn xâm nhập.
Vệ sinh răng miệng sai cách
Chải răng quá mạnh, bỏ qua chỉ nha khoa, hoặc vệ sinh không đều đặn sẽ làm mảng bám tích tụ quanh viền răng. Lâu dần, nướu bị viêm, dẫn đến tụt nướu và khiến răng sứ trông như bị hở.

Tác động từ ngoại lực
Các thói quen xấu như nghiến răng khi ngủ, cắn đá, nhai xương hoặc va đập mạnh trong sinh hoạt cũng có thể làm mão sứ bị nứt, lung lay hoặc tách khỏi cùi răng. Đây là nguyên nhân ít được chú ý nhưng lại ảnh hưởng trực tiếp đến độ bền của răng sứ.
Có thể bạn quan tâm: Bọc Răng Sứ Có Bị Hôi Miệng Không? Nguyên Nhân Và Cách Khắc Phục
Hệ quả khi răng sứ bị hở không được xử lý
Nhiều người chủ quan cho rằng răng sứ bị hở chỉ ảnh hưởng thẩm mỹ. Thực tế, nếu không can thiệp kịp thời, tình trạng này có thể dẫn đến hàng loạt hệ quả nghiêm trọng cho cả sức khỏe răng miệng lẫn sinh hoạt hàng ngày.
Mất thẩm mỹ khi cười
Khi mão sứ không ôm sát cùi răng, phần khe hở sẽ dần lộ rõ bằng các viền xỉn màu hoặc vệt đen quanh nướu. Điều này khiến răng trông kém tự nhiên, mất đi sự hài hòa so với những răng khác. Với những người thường xuyên phải giao tiếp hoặc làm việc trong môi trường yêu cầu ngoại hình chỉn chu, đây là một bất lợi lớn, dễ làm giảm sự tự tin khi cười hoặc nói chuyện.

Tăng nguy cơ làm yếu răng thật
Mục đích của bọc răng sứ là bảo vệ cùi răng bên trong. Tuy nhiên, khi mão sứ bị hở, vi khuẩn, thức ăn và mảng bám sẽ xâm nhập trực tiếp vào khoảng trống đó. Cùi răng thật vốn đã được mài nhỏ, trở nên yếu hơn, dễ bị sâu răng, viêm tủy hoặc gãy vỡ. Nếu không xử lý sớm, bạn có thể phải đối mặt với nguy cơ mất răng vĩnh viễn.
Đau nhức và hôi miệng kéo dài
Khe hở là nơi tích tụ vi khuẩn và mảng bám. Chúng không chỉ gây viêm nướu, sưng tấy, đau nhức dai dẳng mà còn tạo mùi hôi khó chịu trong khoang miệng. Hôi miệng kéo dài ảnh hưởng trực tiếp đến chất lượng cuộc sống, gây tâm lý e ngại khi giao tiếp và giảm sự tự tin trong công việc cũng như các mối quan hệ xã hội.

Ảnh hưởng tiêu hóa
Khi răng sứ bị hở, việc ăn nhai sẽ không còn trọn vẹn như trước. Người bệnh thường có xu hướng nhai lệch sang bên còn khỏe, khiến cơ hàm mất cân bằng. Đồng thời, thức ăn không được nghiền nát kỹ, gây áp lực lớn cho dạ dày và hệ tiêu hóa. Về lâu dài, điều này có thể dẫn đến rối loạn tiêu hóa, giảm khả năng hấp thụ dinh dưỡng.
Xem thêm:
- TOP 5 Ưu Điểm Của Bọc Răng Sứ Thẩm Mỹ Bạn Cần Biết
- TOP 5 Các Loại Răng Sứ Tốt Nhất Trên Thị Trường Hiện Nay
Cách khắc phục tình trạng răng sứ bị hở hiệu quả
Để xử lý răng sứ bị hở, bác sĩ sẽ dựa trên nguyên nhân cụ thể và mức độ tổn thương của răng. Mỗi trường hợp sẽ có hướng khắc phục riêng, giúp đảm bảo tính thẩm mỹ lẫn độ bền của răng sứ.
Khám và đánh giá tại nha khoa uy tín
Bước đầu tiên và quan trọng nhất khi phát hiện răng sứ có dấu hiệu bị hở là đến nha khoa để được thăm khám. Bác sĩ sẽ kiểm tra trực tiếp kết hợp chụp X-quang để xác định nguyên nhân chính xác: mão sứ lắp sai kỹ thuật, keo dán kém chất lượng, hay do răng thật bên dưới đã bị sâu, viêm tủy. Việc chẩn đoán chính xác giúp đưa ra phương án điều trị phù hợp, tránh tình trạng xử lý tạm thời nhưng không giải quyết triệt để vấn đề, khiến răng tiếp tục bị hở sau một thời gian ngắn.

Tháo mão sứ và lắp lại khi kỹ thuật sai
Nếu tình trạng hở răng xuất phát từ kỹ thuật gắn mão sứ chưa chuẩn, bác sĩ có thể tháo mão sứ ra và tiến hành lắp lại cho khít sát. Trong trường hợp mão sứ vẫn còn mới, màu sắc và hình dáng phù hợp, việc chỉnh sửa kỹ thuật sẽ giúp tiết kiệm chi phí mà vẫn đảm bảo hiệu quả. Bằng cách sử dụng keo dán chuyên dụng và thực hiện đúng quy trình, mão sứ sẽ ôm chặt lấy cùi răng thật, cải thiện cảm giác ăn nhai và thẩm mỹ.
Lấy dấu hàm lại và chế tác mão sứ mới
Không phải lúc nào mão sứ cũ cũng có thể tái sử dụng. Nếu mão sứ bị chế tác sai kích thước, xuống cấp sau thời gian dài hoặc xuất hiện nứt vỡ, bác sĩ sẽ chỉ định thay mão sứ mới. Lúc này, bệnh nhân sẽ được lấy dấu hàm lại bằng công nghệ scan kỹ thuật số 3D để đảm bảo độ chính xác cao, sau đó chế tác mão sứ mới vừa vặn, khít sát và có màu sắc tự nhiên. Đây là cách khắc phục triệt để, giúp duy trì tuổi thọ răng sứ và bảo vệ răng thật bên dưới.

Điều trị răng thật và nướu trước khi phục hình
Trong nhiều trường hợp, răng sứ bị hở không chỉ do mão sứ mà còn liên quan đến tình trạng răng thật và mô nướu. Nếu răng thật bị sâu, viêm tủy hoặc nướu bị viêm, bác sĩ sẽ cần điều trị dứt điểm trước khi phục hình lại. Việc xử lý triệt để bệnh lý này không chỉ giúp bảo vệ sức khỏe răng miệng tổng thể mà còn tạo nền tảng chắc khỏe để mão sứ mới có thể gắn chặt, ổn định và lâu bền hơn.
Dùng keo dán nha khoa chất lượng
Keo dán đóng vai trò quyết định trong việc giúp mão sứ bám chặt vào cùi răng. Nếu sử dụng loại keo kém chất lượng, mão sứ dễ bị bong tróc, hở viền nướu chỉ sau một thời gian ngắn. Do đó, trong quy trình phục hình lại, bác sĩ sẽ dùng keo dán chính hãng, có độ bền cao và an toàn cho sức khỏe. Loại keo này vừa giúp tăng độ kết dính, vừa hạn chế sự xâm nhập của vi khuẩn và mảng bám vào khe hở giữa mão sứ và răng thật.

Vệ sinh và chăm sóc sau phục hình
Sau khi khắc phục xong, việc chăm sóc răng sứ đúng cách đóng vai trò quan trọng để duy trì độ bền đẹp lâu dài. Bác sĩ sẽ hướng dẫn bệnh nhân vệ sinh răng miệng bằng bàn chải lông mềm, sử dụng chỉ nha khoa hoặc máy tăm nước để làm sạch kẽ răng, tránh tình trạng giắt thức ăn.
Đồng thời, bệnh nhân cũng cần hạn chế những thói quen xấu như cắn đá, nhai đồ quá cứng hay nghiến răng, vì đây là những tác nhân dễ làm mão sứ bị nứt hoặc lệch. Việc tái khám định kỳ 6 tháng/lần sẽ giúp phát hiện sớm các bất thường và kịp thời xử lý, giữ cho răng sứ luôn bền chắc và thẩm mỹ.
Xem thêm:
- Thông tin tổng quan về giá răng sứ tại Platinum Dental Group
- Thông tin về giá trồng răng Implant
- Giải thích phương pháp cấy răng Implant
- Giải thích “trồng răng Implant có đau ko“?
- Bọc răng sứ Veneer giá bao nhiêu?
- Giải đáp bọc răng sứ thẩm mỹ
Cách phòng ngừa răng sứ bị hở
Răng sứ bị hở không chỉ gây mất thẩm mỹ mà còn làm giảm tuổi thọ của răng thật bên trong. Tuy nhiên, tình trạng này hoàn toàn có thể phòng tránh nếu bạn chú ý ngay từ giai đoạn đầu bọc răng sứ và trong suốt quá trình chăm sóc sau đó. Dưới đây là những giải pháp giúp bạn hạn chế tối đa nguy cơ răng sứ bị hở:
Chọn nha khoa uy tín, bác sĩ giàu kinh nghiệm
Yếu tố quan trọng nhất để tránh tình trạng răng sứ bị hở ngay từ đầu chính là lựa chọn một nha khoa uy tín. Tại đây, quy trình bọc sứ sẽ được thực hiện bởi đội ngũ bác sĩ có chuyên môn cao, giàu kinh nghiệm phục hình răng. Bác sĩ giỏi sẽ kiểm soát tốt các bước từ mài cùi, lấy dấu hàm cho đến gắn mão sứ, đảm bảo mão sứ ôm sát và khít chặt với răng thật. Ngoài ra, nha khoa uy tín cũng thường trang bị công nghệ hiện đại như scan 3D, giúp giảm thiểu sai số khi chế tác mão sứ. Đây là yếu tố then chốt giúp hạn chế tối đa nguy cơ răng sứ bị hở sau khi phục hình.

Platinum Dental Group hiện là một trong những địa chỉ bọc răng sứ hàng đầu tại TP. HCM, được đông đảo khách hàng tin tưởng lựa chọn. Nha khoa quy tụ đội ngũ bác sĩ có chuyên môn vững vàng, nhiều năm kinh nghiệm trong lĩnh vực phục hình răng sứ như: Bác sĩ CK1 Trần Lan Anh – Chuyên gia phục hình thẩm mỹ, Top 1 Veneer tại Việt Nam; Bác sĩ CKI Phùng Lê Phương Dung, Bác sĩ Đặng Mỹ Hằng, Bác sĩ Đăng Duy Phương và Bác sĩ Bùi Quốc Duy,… luôn theo sát quá trình điều trị và xử lý kịp thời mọi vấn đề phát sinh.
Không chỉ vậy, Platinum Dental Group còn sử dụng chất liệu sứ cao cấp, nhập khẩu chính hãng từ nước ngoài, an toàn tuyệt đối cho khoang miệng và có độ bền thẩm mỹ vượt trội. Kết hợp với hệ thống thiết bị hiện đại như ConeBeam CT, 3D Trios Scanner, quá trình thiết kế và chế tác mão sứ đạt độ chính xác cao, đảm bảo vừa đẹp tự nhiên, vừa ăn nhai thoải mái.
Với bác sĩ chuyên nghiệp và đội ngũ nhân viên tận tâm, Platinum Dental Group cam kết mang đến cho khách hàng kết quả bọc răng sứ thẩm mỹ cao, bền chắc và an toàn theo thời gian.
Lựa chọn răng sứ chính hãng, chất lượng cao
Chất lượng mão sứ quyết định trực tiếp đến độ khít sát, độ bền cũng như tính thẩm mỹ sau khi phục hình. Nếu sử dụng răng sứ kém chất lượng, nguy cơ nứt vỡ, xô lệch hoặc hở chân răng sẽ cao hơn. Do đó, bệnh nhân nên ưu tiên lựa chọn răng sứ chính hãng, được kiểm định rõ ràng về nguồn gốc và chất lượng. Răng sứ cao cấp không chỉ có độ cứng chắc tốt, ôm khít với cùi răng mà còn giữ được màu sắc tự nhiên lâu dài, tránh hiện tượng xỉn màu hay đen viền nướu.

Tại Platinum Dental Group, khách hàng luôn được sử dụng các dòng răng sứ chính hãng, nhập khẩu trực tiếp từ châu Âu và Mỹ, có chứng nhận rõ ràng về nguồn gốc. Các vật liệu sứ này được đánh giá cao về tính an toàn, hoàn toàn không gây kích ứng với khoang miệng và duy trì được độ trắng sáng tự nhiên theo thời gian.
Bên cạnh đó, quá trình chế tác răng sứ tại Platinum Dental Group được hỗ trợ bởi công nghệ hiện đại như máy scan 3D Trios và hệ thống labo tiêu chuẩn quốc tế, giúp mão sứ đạt độ chính xác tuyệt đối về hình dáng, kích thước và màu sắc. Nhờ vậy, răng sứ không chỉ bền chắc mà còn hòa hợp với toàn bộ hàm răng, mang lại sự tự tin tối đa cho khách hàng.
Xem thêm: Dán Sứ Veneer Có Bền Không? Thời Gian Sử Dụng Được Bao Lâu?
Khám răng định kỳ để phát hiện sớm bất thường
Ngay cả khi răng sứ đã được bọc khít sát, bệnh nhân vẫn nên duy trì thói quen khám răng định kỳ 6 tháng/lần. Trong mỗi lần tái khám, bác sĩ sẽ kiểm tra độ khít của mão sứ, tình trạng răng thật bên trong và nướu xung quanh. Việc phát hiện sớm những dấu hiệu bất thường như khe hở nhỏ, nướu tụt hay viêm nhiễm sẽ giúp xử lý kịp thời, tránh để tình trạng trở nên nghiêm trọng, gây khó khăn cho việc khắc phục.

Tránh thói quen xấu: cắn đá, nhai cứng, nghiến răng
Một trong những nguyên nhân phổ biến khiến mão sứ dễ bị lệch hoặc hở là do tác động từ thói quen xấu. Cắn đá, nhai kẹo cứng, mở nắp chai bằng răng hay nghiến răng trong lúc ngủ đều tạo ra lực quá mạnh, vượt ngưỡng chịu đựng của mão sứ. Nếu duy trì lâu dài, mão sứ có thể nứt, lệch khớp cắn hoặc bung keo dán, dẫn đến khe hở với răng thật. Vì vậy, để bảo vệ răng sứ, bệnh nhân nên tránh các thói quen này và nếu có tật nghiến răng, nên tham khảo bác sĩ để được chỉ định dùng máng chống nghiến khi ngủ.
Răng sứ bị hở không chỉ làm giảm tính thẩm mỹ khi cười mà còn tiềm ẩn nhiều rủi ro cho sức khỏe răng miệng nếu không được phát hiện và xử lý kịp thời. Nguyên nhân có thể đến từ kỹ thuật phục hình, chất lượng mão sứ hoặc thói quen chăm sóc răng miệng hằng ngày. Tuy nhiên, tình trạng này hoàn toàn có thể khắc phục và phòng ngừa nếu bạn lựa chọn đúng địa chỉ nha khoa uy tín ngay từ đầu.
Platinum Dental Group là một trong những nha khoa hàng đầu tại TP. HCM trong lĩnh vực phục hình răng sứ. Với đội ngũ bác sĩ giàu kinh nghiệm, vật liệu sứ chính hãng cao cấp và công nghệ hiện đại như ConeBeam CT, 3D Trios Scanner, chúng tôi cam kết mang đến cho khách hàng những chiếc răng sứ bền chắc, thẩm mỹ và khít sát tuyệt đối.
Nếu bạn đang gặp phải tình trạng răng sứ bị hở hoặc muốn tìm giải pháp bọc răng sứ an toàn, thẩm mỹ và lâu bền, hãy liên hệ ngay Platinum Dental Group theo Hotline: 096 779 7799 để được tư vấn và thăm khám chi tiết. Đội ngũ chuyên gia của chúng tôi luôn sẵn sàng đồng hành cùng bạn trên hành trình sở hữu nụ cười tự tin, rạng rỡ.
Tham khảo:
Răng Sứ Zirconia Là Gì? Bọc Răng Sứ Zirconia Có Tốt Không?
Bọc Răng Sứ Không Mài Có Được Không? Giá Bao Nhiêu?
Bọc Răng Sứ Có Bị Hôi Miệng Không? Nguyên Nhân Và Cách Khắc Phục

English