Cùi giả răng là gì? Quy trình & lợi ích phục hồi răng sứ
Trong các trường hợp răng bị vỡ lớn, yếu sau điều trị tủy hoặc mất mô nhiều do sâu răng, mão sứ không thể bám chắc nếu không có một “nền móng” ổn định nâng đỡ phía dưới. Đó là lý do cùi giả răng trở thành bước quan trọng trong quá trình phục hồi răng hư tổn. Cùi giả giúp tái tạo lại hình dạng thân răng, tăng độ bền và giúp mão sứ hoạt động chắc chắn như răng thật.
Trong bài viết này, Platinum Dental Group sẽ giải thích rõ cùi giả răng là gì, khi nào cần làm, các loại vật liệu phổ biến và quy trình thực hiện theo tiêu chuẩn quốc tế – giúp khách hàng hiểu đúng và yên tâm hơn trước khi điều trị.
Nội dung bài viết
- 1 Cùi giả răng là gì? “Nền móng” vững chắc cho một chiếc răng khỏe mạnh
- 2 Vai trò quan trọng của cùi giả trong phục hồi răng sứ
- 3 Những trường hợp nào bác sĩ sẽ chỉ định làm cùi giả?
- 4 So sánh các loại cùi giả phổ biến hiện nay
- 5 Quy trình làm cùi giả 6 bước tiêu chuẩn quốc tế
- 6 Tại sao nên chọn làm cùi giả tại Platinum Dental Group?
- 7 Các câu hỏi thường gặp về cùi giả răng sứ
- 8 Kết bài
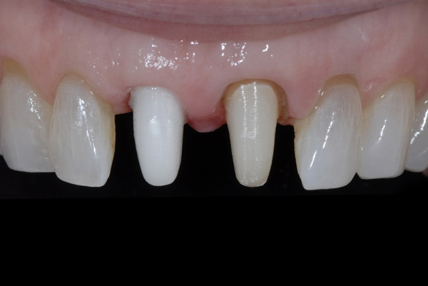
Cùi giả răng là gì? “Nền móng” vững chắc cho một chiếc răng khỏe mạnh
Trong những trường hợp răng mất mô nhiều, thân răng yếu hoặc đã điều trị tủy, phần răng còn lại không đủ để nâng đỡ mão sứ. Lúc này, bác sĩ sẽ sử dụng cùi giả răng – một trụ phục hồi nhỏ được đặt vào trong thân răng nhằm tạo lại hình dạng chuẩn để gắn mão sứ lên trên.
Có thể hình dung cùi giả như một “nền móng” mới giúp nâng đỡ mão răng, đảm bảo mão sứ được gắn chắc chắn, hoạt động ổn định và bền lâu.

Vai trò quan trọng của cùi giả trong phục hồi răng sứ
- Tăng độ lưu giữ và độ bền cho mão sứ: Cùi giả giúp mão răng bám chắc vào phần chân răng, hạn chế tình trạng mão bị sút hoặc lỏng sau một thời gian sử dụng.
- Phân bố lực nhai đồng đều: Nhờ nền móng vững chắc, lực nhai được truyền đều xuống chân răng còn lại, giúp hạn chế nguy cơ gãy, nứt hoặc vỡ thân răng.
- Giải pháp bắt buộc trong trường hợp răng tổn thương nặng: Những răng bị sâu lớn, vỡ nhiều hoặc mô răng mỏng yếu sẽ không thể bọc sứ trực tiếp nếu không có cùi giả hỗ trợ.
Nhờ những vai trò quan trọng này, cùi giả được xem là bước nền tảng để bác sĩ phục hồi lại thẩm mỹ và chức năng ăn nhai cho các răng bị tổn thương nặng – giúp khách hàng tự tin hơn khi giao tiếp và sinh hoạt hằng ngày.
Những trường hợp nào bác sĩ sẽ chỉ định làm cùi giả?
Cùi giả răng không phải trường hợp nào cũng cần làm. Bác sĩ sẽ chỉ định khi mô răng còn lại không đủ để nâng đỡ mão sứ hoặc răng có cấu trúc bất thường cần tái tạo lại trước khi phục hồi. Dưới đây là những tình huống thường gặp nhất:

Răng đã điều trị tủy, mô răng còn lại rất ít, yếu và giòn
Sau điều trị tủy, răng thường mất nước và trở nên giòn hơn. Nếu phần thân răng còn lại quá ít, mão sứ khó bám chắc, dễ bị sút hoặc gãy. Lúc này, cùi giả đóng vai trò như “khung đỡ” giúp tăng độ bền và độ lưu giữ cho mão sứ.
Thân răng bị vỡ, gãy lớn do chấn thương hoặc sâu răng
Những răng bị tổn thương nặng do sâu hoặc chấn thương thường không đủ cấu trúc để gắn mão sứ trực tiếp. Cùi giả sẽ giúp tái tạo lại hình thể răng, từ đó đảm bảo mão sứ có nền tảng vững chắc để hoạt động lâu dài.
Răng có hình dáng hoặc vị trí bất thường
Một số răng có kích thước nhỏ, thân răng quá ngắn hoặc mọc lệch khiến việc bọc sứ khó đạt độ lưu giữ. Bác sĩ sẽ làm cùi giả để tạo lại hình dạng chuẩn, giúp mão sứ ôm sát và bền chắc hơn.
Làm trụ đỡ cho cầu răng sứ trong trường hợp mất răng
Khi khách hàng mất răng và lựa chọn phục hồi bằng cầu răng sứ, các răng bên cạnh sẽ được mài nhỏ để làm trụ. Nếu các răng này yếu hoặc không đủ mô răng, bác sĩ sẽ đặt cùi giả để đảm bảo cầu răng có điểm tựa chắc chắn.
So sánh các loại cùi giả phổ biến hiện nay
Hiện nay, cùi giả răng có hai nhóm vật liệu chính: cùi giả kim loại và cùi giả toàn sứ Zirconia. Mỗi loại có những ưu – nhược điểm riêng và sẽ được bác sĩ chỉ định tùy theo tình trạng răng, yêu cầu thẩm mỹ và nhu cầu của khách hàng.
Cùi giả kim loại (cùi giả đúc)
Ưu điểm:
- Chi phí thấp, phù hợp với nhiều khách hàng.
- Độ bền cao, chịu lực tốt trong quá trình ăn nhai.
Nhược điểm:
- Màu kim loại có thể ánh đen ra viền nướu theo thời gian, ảnh hưởng thẩm mỹ.
- Một số khách hàng nhạy cảm với kim loại có thể bị kích ứng nhẹ.
- Không phù hợp dùng cho răng cửa – khu vực yêu cầu thẩm mỹ tự nhiên.
Cùi giả kim loại thường được chọn cho răng hàm – nơi ưu tiên độ bền hơn thẩm mỹ.

Cùi giả toàn sứ (cùi giả Zirconia)
Ưu điểm:
- Thẩm mỹ tối ưu, màu trắng ngà tương tự răng thật, không bị ánh đen.
- Tương thích sinh học cao, an toàn với mô nướu.
- Độ cứng và độ bền vượt trội, hạn chế nứt vỡ khi ăn nhai.
- Là lựa chọn hàng đầu trong phục hồi răng hư tổn hiện nay.
Nhược điểm:
- Chi phí cao hơn so với cùi giả kim loại.
Cùi giả Zirconia phù hợp cho cả răng cửa và răng hàm, đặc biệt lý tưởng trong các trường hợp khách hàng quan tâm đến thẩm mỹ.

Bảng so sánh nhanh
| Tiêu chí | Cùi giả kim loại | Cùi giả toàn sứ Zirconia |
| Thẩm mỹ | Thấp, dễ lộ màu kim loại | Rất cao, trắng ngà tự nhiên |
| Độ bền | Bền | Bền vượt trội |
| Tương thích sinh học | Trung bình | Rất cao, an toàn với mô nướu |
| Chi phí | Thấp | Cao hơn nhưng xứng đáng |
Quy trình làm cùi giả 6 bước tiêu chuẩn quốc tế
Tại Platinum Dental Group, quy trình làm cùi giả được thực hiện theo tiêu chuẩn quốc tế, ứng dụng công nghệ kỹ thuật số nhằm đảm bảo độ chính xác, an toàn và mang lại kết quả phục hồi tối ưu cho khách hàng. Toàn bộ các bước được tiến hành nhẹ nhàng, hạn chế tối đa cảm giác khó chịu trong quá trình điều trị.

Bước 1: Thăm khám, chụp phim X-quang và tư vấn
Bác sĩ tiến hành kiểm tra tình trạng mô răng còn lại, đánh giá răng sau điều trị tủy (nếu có) và chụp phim X-quang để quan sát cấu trúc chân răng. Từ đó, bác sĩ tư vấn kế hoạch phục hồi phù hợp, bao gồm việc có cần làm cùi giả hay không và lựa chọn loại vật liệu tối ưu.
Bước 2: Sửa soạn ống tủy
Trong trường hợp răng đã điều trị tủy, bác sĩ sẽ làm sạch và tạo khoảng trống bên trong ống tủy để đặt vật liệu giúp cố định cùi giả. Bước này đảm bảo trụ cùi giả được ổn định và vững chắc khi nâng đỡ mão sứ.
Bước 3: Lấy dấu cùi giả bằng máy Scan 3D Trios
Công nghệ Scan 3D Trios giúp lấy dấu kỹ thuật số nhanh chóng và chính xác. Phương pháp này mang đến trải nghiệm thoải mái hơn cho khách hàng, đồng thời cho phép bác sĩ có dữ liệu chuẩn xác để chế tác cùi giả.
Bước 4: Thiết kế và chế tác cùi giả Zirconia bằng công nghệ CAD/CAM
Dữ liệu scan được chuyển vào hệ thống CAD/CAM để thiết kế cùi giả với độ chính xác cao. Cuil giả Zirconia được chế tác hoàn toàn kỹ thuật số, đảm bảo vừa khít với thân răng và có độ bền vượt trội khi ăn nhai.
Bước 5: Gắn cùi giả và lấy dấu mão sứ
Sau khi cùi giả hoàn thiện, bác sĩ tiến hành gắn thử và điều chỉnh để đạt độ ổn định tối ưu. Khi cùi giả đã vững chắc, bác sĩ lấy dấu để chế tác mão sứ phù hợp về kích thước, màu sắc và khớp cắn.
Bước 6: Gắn mão sứ hoàn tất
Mão sứ được gắn lên cùi giả bằng vật liệu chuyên dụng. Bác sĩ kiểm tra lại khớp cắn, độ kín và thẩm mỹ tổng thể để đảm bảo khách hàng có thể ăn nhai tự nhiên và thoải mái ngay sau khi hoàn thiện.
Tại sao nên chọn làm cùi giả tại Platinum Dental Group?
Làm cùi giả là bước quan trọng trong quá trình phục hồi răng mất mô. Vì vậy, việc lựa chọn nha khoa uy tín, có đội ngũ bác sĩ chuyên môn và công nghệ hiện đại sẽ quyết định đến độ bền, thẩm mỹ và trải nghiệm điều trị của khách hàng. Platinum Dental Group là một trong những địa chỉ được nhiều khách hàng tin tưởng nhờ những ưu điểm vượt trội dưới đây.

Đội ngũ bác sĩ – chuyên gia phục hình hàng đầu
Khách hàng được thăm khám và điều trị trực tiếp bởi các bác sĩ có nhiều năm kinh nghiệm trong lĩnh vực phục hồi răng hư tổn và bọc răng sứ. Với chuyên môn cao và sự tỉ mỉ trong từng thao tác, bác sĩ tại Platinum đảm bảo cùi giả được đặt đúng kỹ thuật, vừa khít với mô răng còn lại, nâng đỡ mão sứ một cách tối ưu.
Sự tận tâm trong quá trình tư vấn và điều trị cũng giúp khách hàng yên tâm hơn khi bước vào các giai đoạn quan trọng của phục hồi răng.
Công nghệ kỹ thuật số mang lại trải nghiệm khác biệt
Platinum Dental Group ứng dụng công nghệ kỹ thuật số toàn diện trong chẩn đoán và chế tác, giúp quy trình làm cùi giả diễn ra nhanh chóng, chính xác và thoải mái hơn:
- Scan 3D Trios cho hình ảnh lấy dấu rõ nét, không gây khó chịu.
- Hệ thống CAD/CAM hỗ trợ thiết kế và chế tác cùi giả với độ chính xác cao, đặc biệt là với vật liệu Zirconia đòi hỏi sự tỉ mỉ đến từng micromet.
- Quy trình kỹ thuật số giúp mão sứ và cùi giả khớp hoàn hảo, tăng độ bền và hạn chế cần chỉnh sửa nhiều lần.
Công nghệ hiện đại không chỉ giúp rút ngắn thời gian điều trị mà còn đảm bảo kết quả cuối cùng đạt thẩm mỹ cao.
Vật liệu đa dạng, chính hãng, bảo hành rõ ràng
Tại Platinum Dental Group, tất cả các vật liệu dùng để chế tác cùi giả và mão sứ, từ kim loại đến toàn sứ Zirconia, đều được cam kết là hàng chính hãng, có chứng nhận nguồn gốc và độ an toàn cao. Chúng tôi mang đến nhiều sự lựa chọn để đáp ứng các nhu cầu khác nhau của khách hàng:
- Cùi giả kim loại: Độ cứng cao, chịu lực tốt, chi phí hợp lý, là lựa chọn bền vững cho các răng hàm.
- Cùi giả toàn sứ Zirconia: Sở hữu nhiều ưu điểm vượt trội về thẩm mỹ và sinh học:
- Màu trắng ngà tự nhiên, phù hợp cả răng cửa và răng hàm.
- Độ cứng cao, chịu lực tốt, duy trì bền đẹp lâu dài.
- Tương thích sinh học, thân thiện với mô nướu.
Khi phục hồi tại Platinum Dental Group, khách hàng được hướng dẫn bảo dưỡng chi tiết và nhận chế độ bảo hành rõ ràng, minh bạch – giúp yên tâm sử dụng trong thời gian dài.
Các câu hỏi thường gặp về cùi giả răng sứ
Làm cùi giả mất bao lâu?
Thời gian làm cùi giả thường dao động từ 1–2 buổi hẹn, tùy thuộc vào tình trạng răng và quy trình phục hồi của từng khách hàng.
- Với công nghệ kỹ thuật số (Scan 3D Trios, CAD/CAM), thời gian chế tác được rút ngắn đáng kể.
- Nhiều trường hợp có thể hoàn thiện cùi giả và lấy dấu mão sứ trong cùng một buổi.
Cùi giả có bền không, sử dụng được trong bao lâu?
Cùi giả có độ bền cao, đặc biệt là cùi giả toàn sứ Zirconia. Với kỹ thuật đặt đúng chuẩn và chăm sóc tốt, cùi giả có thể sử dụng 10–15 năm hoặc lâu hơn.
Độ bền phụ thuộc vào:
- Chất lượng mô răng còn lại
- Loại vật liệu được lựa chọn
- Thói quen chăm sóc răng miệng của khách hàng
Răng đã lấy tủy thì có bắt buộc phải làm cùi giả không?
Không phải tất cả răng đã điều trị tủy đều bắt buộc làm cùi giả. Bác sĩ sẽ chỉ định khi:
- Mô răng còn lại quá ít
- Thành răng mỏng, không đủ vững để giữ mão sứ
- Răng yếu, có nguy cơ vỡ khi ăn nhai
Nếu mô răng còn đủ và thân răng vẫn chắc, bác sĩ có thể phục hồi trực tiếp bằng mão sứ mà không cần cùi giả.
Chi phí làm cùi giả là bao nhiêu?
Chi phí làm cùi giả phụ thuộc vào vật liệu (kim loại hoặc Zirconia) và tình trạng răng cần phục hồi.
- Cùi giả kim loại: Chi phí thấp hơn, phù hợp răng hàm
- Cùi giả Zirconia: Chi phí cao hơn nhưng thẩm mỹ và độ bền vượt trội
Để biết chi phí chính xác, khách hàng cần được bác sĩ kiểm tra và đánh giá trực tiếp. Platinum Dental Group luôn tư vấn rõ ràng và minh bạch trước khi điều trị.
Kết bài
Cùi giả răng là bước quan trọng giúp phục hồi lại những chiếc răng bị tổn thương nặng, đảm bảo mão sứ được gắn chắc chắn và duy trì chức năng ăn nhai lâu dài. Với đội ngũ bác sĩ kinh nghiệm, công nghệ kỹ thuật số toàn diện và vật liệu sứ Zirconia chính hãng, Platinum Dental Group mang đến cho khách hàng quy trình điều trị nhẹ nhàng, chính xác và thẩm mỹ vượt trội.
Nếu khách hàng đang gặp tình trạng răng yếu, vỡ lớn hoặc đã điều trị tủy và cần phục hồi bằng mão sứ, Platinum Dental Group luôn sẵn sàng đồng hành từ bước thăm khám đến hoàn thiện nụ cười.
PLATINUM DENTAL GROUP
Platinum Dental Central:
- Địa chỉ: 127 Nguyễn Cư Trinh, Phường Cầu Ông Lãnh, TP. HCM
- Hotline: 0967 797 799
Platinum Dental Thảo Điền:
- Địa chỉ: 1H Đường số 10, Phường An Khánh, TP. HCM
- Hotline: 096 71 78 799
Email: info@platinumdentalvietnam.com
Website: https://platinumdentalvietnam.com/
Instagram: https://www.instagram.com/platinumdental.vietnam/
Facebook: facebook.com/platinumdentalvn
Xem thêm:
- Giải đáp: răng sứ giá bao nhiêu?
- Thông tin về giá trồng răng Implant
- Tổng quan trồng răng bằng cấy ghép Implant?
- Giải thích “trồng răng Implant có đau ko“?
- Bọc răng sứ Veneer giá bao nhiêu?
- Giải đáp bọc răng sứ thẩm mỹ

English