Giải đáp: Có nên làm răng sứ không?
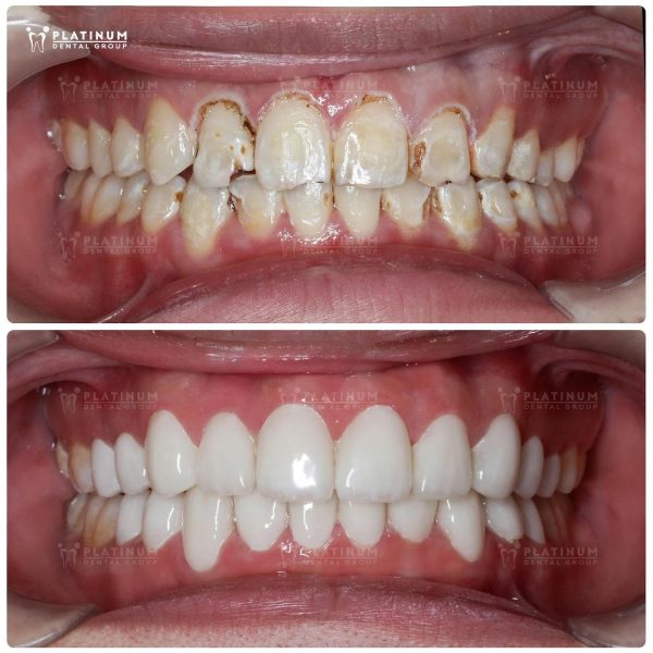
Một nụ cười rạng rỡ không chỉ giúp bạn tự tin trong giao tiếp mà còn tạo ấn tượng tích cực với người đối diện. Chính vì vậy, nhiều người tìm đến giải pháp răng sứ để cải thiện thẩm mỹ và bảo vệ răng miệng. Nhưng liệu “Có nên làm răng sứ không?”, làm răng sứ có thật sự cần thiết và phù hợp với mọi trường hợp? Hãy cùng Platinum Dental Group tìm hiểu ưu – nhược điểm, các trường hợp nên làm và những điều bạn cần lưu ý trước khi quyết định.
Nội dung bài viết
Có nên làm răng sứ không?
Làm răng sứ bao gồm hai phương pháp chính: dán sứ Veneer và bọc mão sứ. Khi cân nhắc có nên làm răng sứ hay không, bạn cần hiểu rõ cả những ưu điểm và hạn chế của phương pháp này. Việc nắm bắt đầy đủ thông tin sẽ giúp bạn đưa ra quyết định phù hợp nhất với nhu cầu thẩm mỹ cũng như tình trạng sức khỏe răng miệng của mình.
Ưu điểm
- Cải thiện thẩm mỹ: Khắc phục hiệu quả các nhược điểm như răng ố vàng, xỉn màu, thưa hoặc không đều.
- Bảo vệ răng thật: Che chắn và tăng độ bền cho răng bị yếu, nứt gãy hoặc sau điều trị tủy.
- Tăng sự tự tin: Màu sắc và hình dáng tự nhiên, giúp nụ cười hài hòa, rạng rỡ hơn.
- Độ bền cao: Tuổi thọ trung bình từ 7–15 năm, thậm chí lâu hơn nếu chăm sóc đúng cách.
- An toàn, lành tính: Chất liệu sứ cao cấp tương thích tốt với cơ thể, không gây kích ứng nướu.
Nhược điểm
- Cần mài răng thật: Bác sĩ phải mài đi một phần men răng, nếu kỹ thuật không tốt có thể gây ê buốt.
- Chi phí cao: So với các phương pháp khác như tẩy trắng hay dán veneer, bọc răng sứ thường đắt hơn.
- Yêu cầu chăm sóc kỹ lưỡng: Nếu vệ sinh răng miệng không đúng cách có thể dẫn đến viêm nướu, tụt lợi hoặc mão sứ bị lỏng.
- Không phù hợp cho mọi trường hợp: Với người có chân răng yếu hoặc bệnh lý răng miệng nghiêm trọng, phương pháp này cần được cân nhắc kỹ.
Từ những phân tích trên có thể thấy, làm răng sứ mang lại nhiều lợi ích cả về thẩm mỹ lẫn chức năng, giúp cải thiện nụ cười và bảo vệ răng thật. Tuy nhiên, phương pháp này vẫn tồn tại một số hạn chế nhất định, đặc biệt nếu thực hiện tại nha khoa kém uy tín hoặc không phù hợp với tình trạng răng. Vì vậy, việc quyết định có nên làm răng sứ hay không sẽ phụ thuộc vào nhu cầu, tình trạng răng miệng và chỉ định của bác sĩ.
Để đảm bảo an toàn và đạt hiệu quả thẩm mỹ lâu dài, bạn nên lựa chọn nha khoa uy tín như Platinum Dental Group, nơi có đội ngũ bác sĩ nhiều kinh nghiệm và trang thiết bị hiện đại, sẵn sàng thăm khám – tư vấn chi tiết cho bạn. Liên hệ ngay 0967 797 799 để được hỗ trợ tận tình.
Trường hợp nào nên làm răng sứ?
Hai phương pháp: dán sứ Veneer và bọc mão sứ sẽ phù hợp với tình trạng răng khác nhau. Veneer thường áp dụng cho răng còn khỏe, ít hư tổn, cần cải thiện thẩm mỹ nhẹ nhàng, trong khi mão sứ thường dùng cho răng yếu, hư tổn nhiều, cần bảo vệ toàn diện.
Răng ố vàng, nhiễm màu nặng
Với những trường hợp răng bị xỉn màu, ố vàng nặng hoặc nhiễm kháng sinh mà tẩy trắng không còn hiệu quả, bọc mão sứ là giải pháp tối ưu. Lớp mão sứ trắng sáng, tự nhiên sẽ che phủ toàn bộ bề mặt răng, mang lại nụ cười rạng rỡ và đều màu hơn.

Răng thưa nhẹ, hình dáng không đều, mẻ nhẹ, mòn mặt cắn
Nếu răng chỉ bị thưa nhẹ, hình dáng to nhỏ không đồng đều, men răng bị ố vàng mức độ nhẹ đến trung bình, hoặc mẻ, mòn mặt cắn nhỏ, thì dán sứ Veneer không mài là lựa chọn phù hợp. Phương pháp này giữ lại gần như toàn bộ răng thật, chỉ cần xử lý rất ít hoặc không mài răng, nhưng vẫn giúp cải thiện hình thể và màu sắc, mang lại nụ cười tự nhiên, hài hòa.
Răng sâu, nứt, gãy cần phục hồi
Khi răng bị sâu lớn, nứt mẻ hoặc gãy một phần, răng thật trở nên yếu và khó đảm bảo chức năng ăn nhai. Lúc này, bác sĩ sẽ chỉ định bọc mão sứ để bao bọc toàn bộ thân răng, bảo vệ phần răng thật bên trong, đồng thời khôi phục khả năng ăn nhai gần như nguyên vẹn.
Răng thưa hoặc không đều
Trường hợp răng mọc thưa rõ rệt, hình thể ngắn, lệch lạc, bọc mão sứ sẽ mang lại hiệu quả nhanh chóng hơn. Mão sứ giúp tái tạo lại hình dáng, tăng độ đều đẹp và cân đối chỉ sau vài buổi điều trị, thay vì mất nhiều thời gian chỉnh nha.
Răng có bệnh lý như thiểu sản men răng, dễ vỡ mẻ, men răng yếu
Ở những người có men răng yếu bẩm sinh, thiểu sản men răng hoặc răng dễ sứt mẻ, bác sĩ thường khuyến nghị bọc mão sứ. Lớp sứ bọc ngoài đóng vai trò như một tấm “lá chắn”, vừa tăng độ cứng chắc vừa bảo vệ răng thật lâu dài.

Răng cần bảo vệ sau điều trị sâu hoặc tủy
Sau khi điều trị sâu răng hoặc lấy tủy, cấu trúc răng thường giòn, dễ nứt vỡ khi ăn nhai. Để duy trì tuổi thọ răng, bọc mão sứ là cần thiết nhằm cố định và bảo vệ răng, đồng thời ngăn ngừa các biến chứng về sau.
Trường hợp không nên hoặc cần cân nhắc kỹ
Không phải ai cũng phù hợp để làm răng sứ. Bên cạnh những trường hợp nên thực hiện, vẫn có một số tình huống mà bọc răng sứ không mang lại hiệu quả tối ưu hoặc thậm chí có thể gây ảnh hưởng đến sức khỏe răng miệng. Trong những trường hợp này, người bệnh cần được bác sĩ thăm khám và tư vấn kỹ lưỡng trước khi đưa ra quyết định.
Sai lệch khớp cắn nặng / hô móm do xương
Trong các trường hợp sai lệch khớp cắn nghiêm trọng, hô móm do xương hàm, bọc răng sứ gần như không thể khắc phục triệt để. Giải pháp phù hợp hơn thường là niềng răng hoặc phẫu thuật chỉnh hình xương. Nếu chỉ bọc sứ trong những tình trạng này, kết quả thẩm mỹ sẽ không đạt được như mong muốn, thậm chí có thể gây thêm áp lực lên răng và khớp thái dương hàm.

Răng quá nhạy cảm / chân răng yếu
Những người có răng quá nhạy cảm hoặc chân răng yếu cần cân nhắc kỹ trước khi bọc sứ. Bởi trong quá trình thực hiện, bác sĩ sẽ phải mài một phần men răng, dễ làm tăng cảm giác ê buốt và khiến răng thật suy yếu thêm. Với đối tượng này, bác sĩ thường khuyên nên chọn các phương pháp ít xâm lấn hơn như dán sứ veneer.
Viêm nhiễm, bệnh lý nặng
Khi răng miệng đang mắc các bệnh lý như viêm nướu, viêm nha chu hay nhiễm trùng tủy, việc bọc răng sứ cần được tạm hoãn. Nếu không điều trị triệt để trước, tình trạng viêm nhiễm có thể tiếp tục tiến triển dưới mão sứ, gây biến chứng và ảnh hưởng đến tuổi thọ của răng. Do đó, người bệnh nên điều trị khỏi hẳn các vấn đề răng miệng trước khi nghĩ đến việc phục hình bằng sứ.
Những điều cần lưu ý khi làm răng sứ
Để đảm bảo hiệu quả thẩm mỹ cũng như tuổi thọ lâu dài của răng sứ, bạn cần chuẩn bị kỹ lưỡng trước khi thực hiện và có chế độ chăm sóc phù hợp sau khi hoàn tất. Một số lưu ý quan trọng dưới đây sẽ giúp bạn có trải nghiệm an toàn và kết quả tối ưu.
Chọn nha khoa uy tín, bác sĩ có tay nghề
Quy trình làm răng sứ đòi hỏi kỹ thuật cao, từ bước mài răng, lấy dấu cho đến lắp mão sứ. Vì vậy, lựa chọn nha khoa uy tín với đội ngũ bác sĩ giàu kinh nghiệm và công nghệ hiện đại là yếu tố quyết định thành công. Các bác sĩ tại Platinum Dental Group đều có kinh nghiệm lâm sàng dày dặn, từng xử lý thành công hàng nghìn ca phục hình mão sứ, dán sứ veneer, trồng răng implant, chỉnh nha và thiết lập khớp cắn toàn diện. Không chỉ giỏi chuyên môn, đội ngũ bác sĩ còn có khả năng giao tiếp tiếng Anh, tiếng Pháp, giúp quá trình tư vấn và trao đổi với khách hàng quốc tế thuận tiện và rõ ràng hơn.

Một số chuyên gia tiêu biểu tại Platinum Dental Group:
- Bác sĩ CKI Trần Lan Anh – Chuyên gia phục hình thẩm mỹ, Top 1 Veneer tại Việt Nam, 16 năm kinh nghiệm, tu nghiệp tại Pháp, Canada và Tây Ban Nha.
- ThS. BS CKII Dương Minh Tùng – Chuyên gia trồng răng Implant, phẫu thuật hàm mặt, Phó khoa Hàm Mặt tại BV RHM TP.HCM, từng tu nghiệp Mỹ, Pháp, Hàn Quốc.
- Bác sĩ CKI Phùng Lê Phương Dung – Chuyên sâu chỉnh nha và phục hình thẩm mỹ, tu nghiệp Đại học Bordeaux (Pháp), giàu kinh nghiệm lâm sàng.
- Bác sĩ Đặng Mỹ Hằng – Gần 13 năm kinh nghiệm lâm sàng, nổi bật với phong cách điều trị nhẹ nhàng, tận tâm, được bệnh nhân tin tưởng.
- Bác sĩ Đăng Duy Phương và Bác sĩ Bùi Quốc Duy – Chuyên sâu phục hình thẩm mỹ, nha khoa tổng quát và tiểu phẫu răng khôn, giàu kinh nghiệm thực tế.

Tại Platinum Dental Group, khách hàng được trải nghiệm quy trình thăm khám và điều trị toàn diện với những công nghệ tiên tiến hàng đầu:
- Máy CT Cone Beam 3D PaX-i3D SMART (Mỹ): Cho hình ảnh phim toàn cảnh, sọ nghiêng và 3D chi tiết, hỗ trợ chính xác trong phục hình sứ, chỉnh nha, implant hay nội nha.
- Máy T-Scan: Đo kiểm khớp cắn chuẩn sau điều trị.
- Máy quét dấu răng iTero 5 và 3Shape TRIOS Scanner: Mang lại trải nghiệm lấy dấu răng thoải mái, nhanh chóng, chính xác về hình dạng và màu sắc răng; đồng thời mô phỏng kế hoạch điều trị, thiết kế phục hình với độ khít sát tối ưu.
- Công nghệ Smile Design và hệ thống Cad/Cam: Thiết kế và chế tác mão sứ, veneer chỉ trong 2 lần hẹn, đồng thời mô phỏng trước kết quả nụ cười để khách hàng an tâm lựa chọn.
- AirFlow và hệ thống tiệt trùng châu Âu: Vệ sinh răng an toàn, không đau, kiểm soát vô trùng tuyệt đối, ngăn ngừa lây nhiễm chéo.

Không chỉ nổi bật về công nghệ, Platinum Dental Group còn đầu tư vào không gian điều trị theo phong cách châu Âu hiện đại, sang trọng nhưng vẫn tối giản, ấm áp. Phòng khám có 9 ghế điều trị, phòng tư vấn riêng, khu nha khoa nhi với ghế chuyên biệt cùng đồ chơi cho trẻ em, phòng tiểu phẫu implant chuyên dụng, phòng vô trùng đạt chuẩn, phòng chụp X-quang và lab chế tác răng sứ ngay tại nha khoa. Điều này giúp mọi quy trình từ chẩn đoán, điều trị đến phục hình đều được rút ngắn, an toàn và khép kín ngay tại một địa điểm.
Chính sự đồng bộ về chuyên môn bác sĩ – công nghệ hiện đại – không gian chuẩn châu Âu đã giúp Platinum Dental Group trở thành địa chỉ tin cậy, mang lại sự an tâm và trải nghiệm thoải mái cho khách hàng khi lựa chọn bọc răng sứ.
Chăm sóc răng sứ đúng cách
Sau khi bọc răng sứ, bạn cần duy trì thói quen vệ sinh răng miệng khoa học: đánh răng ít nhất 2 lần/ngày, sử dụng chỉ nha khoa để loại bỏ mảng bám, đồng thời súc miệng với nước muối hoặc dung dịch chuyên dụng. Bên cạnh đó, nên hạn chế các loại thực phẩm quá cứng, quá nóng hoặc quá lạnh để tránh gây ảnh hưởng đến mão sứ và răng thật bên trong. Khám nha khoa định kỳ 6 tháng/lần cũng là thói quen cần thiết để phát hiện sớm các vấn đề bất thường.

Cân nhắc phương pháp thay thế ít xâm lấn hơn
Không phải lúc nào bọc răng sứ cũng là lựa chọn duy nhất. Với những trường hợp răng chỉ bị xỉn màu hoặc thưa nhẹ, bạn có thể cân nhắc các phương pháp ít xâm lấn hơn như tẩy trắng răng hoặc dán sứ veneer. Những giải pháp này vừa bảo tồn được răng thật nhiều hơn, vừa đáp ứng tốt nhu cầu thẩm mỹ trong thời gian ngắn.
Câu hỏi thường gặp
Có nên bọc răng sứ sau khi lấy tủy?
Sau khi lấy tủy, răng thật sẽ không còn được nuôi dưỡng, trở nên giòn và dễ gãy vỡ hơn so với răng bình thường. Vì vậy, việc bọc răng sứ sau khi lấy tủy là rất cần thiết để bảo vệ răng, phục hồi chức năng ăn nhai và duy trì tính thẩm mỹ.
Lớp mão sứ sẽ bao bọc toàn bộ thân răng, giúp cố định phần răng thật còn lại, hạn chế tình trạng nứt mẻ, đồng thời mang lại cảm giác ăn nhai chắc chắn gần như răng thật. Ngoài ra, mão sứ còn tái tạo lại hình dáng và màu sắc, giúp răng sau điều trị tủy trông tự nhiên, hài hòa với cả hàm răng.
Nếu không bọc sứ, răng sau khi lấy tủy có nguy cơ nứt vỡ sớm, gây khó khăn khi ăn nhai và thậm chí có thể phải nhổ bỏ. Do đó, hầu hết các bác sĩ nha khoa đều khuyến nghị nên bọc mão sứ để bảo tồn răng tối đa và đảm bảo sức khỏe răng miệng lâu dài.
Làm răng sứ có bị hư răng thật không?
Nếu được thực hiện đúng kỹ thuật và áp dụng cho tình trạng răng phù hợp, làm răng sứ hoàn toàn không gây hư hại đến răng thật. Việc chỉ định đúng phương pháp (dán sứ Veneer hay bọc mão sứ) sẽ giúp răng được bảo tồn tối đa. Lớp sứ khi được gắn chuẩn xác sẽ đóng vai trò như một “lá chắn”, vừa bảo vệ răng thật bên trong, vừa tăng độ bền chắc và cải thiện thẩm mỹ.
Làm răng sứ có đau không?
Trong quá trình bọc răng sứ, bác sĩ sẽ gây tê nên bạn gần như không cảm thấy đau. Sau khi hoàn tất, có thể xuất hiện ê buốt nhẹ trong vài ngày đầu, nhưng cảm giác này sẽ nhanh chóng biến mất khi răng thích nghi.
Răng sứ dùng được bao lâu?
Tuổi thọ của răng sứ phụ thuộc vào loại sứ, kỹ thuật thực hiện và chế độ chăm sóc. Thông thường, răng toàn sứ có thể bền đẹp từ 7 – 15 năm, thậm chí lâu hơn nếu được chăm sóc đúng cách.
Làm răng sứ có bị đen viền nướu không?
Hiện tượng đen viền nướu chỉ thường gặp ở răng sứ kim loại. Với các loại răng toàn sứ cao cấp, bạn có thể yên tâm vì hoàn toàn không bị thâm nướu, đảm bảo tính thẩm mỹ lâu dài.
Làm răng sứ có bị hôi miệng không?
Nếu được bọc đúng kỹ thuật, răng sứ sẽ ôm khít với răng thật nên hoàn toàn không gây hôi miệng. Ngược lại, hôi miệng thường xảy ra khi răng sứ kém chất lượng hoặc bạn không vệ sinh răng miệng sạch sẽ hàng ngày.
Làm răng sứ là giải pháp thẩm mỹ nha khoa phổ biến, vừa giúp cải thiện nụ cười vừa hỗ trợ bảo vệ răng thật trong nhiều trường hợp. Tuy nhiên, phương pháp này cũng có những điểm cần cân nhắc và không phải ai cũng phù hợp. Vì vậy, trước khi quyết định, bạn nên thăm khám và nhận tư vấn trực tiếp từ bác sĩ chuyên môn.
Tại Platinum Dental Group, đội ngũ bác sĩ nhiều năm kinh nghiệm cùng hệ thống công nghệ hiện đại sẽ giúp bạn có được phương án phục hình răng an toàn, thẩm mỹ và bền lâu. Nếu bạn đang băn khoăn có nên làm răng sứ hay không, hãy để Platinum Dental Group đồng hành cùng bạn trên hành trình lấy lại nụ cười tự tin.
Liên hệ ngay với Platinum Dental Group theo hotline: 096 779 7799 để được tư vấn miễn phí và đặt lịch thăm khám sớm nhất!
Xem thêm:
- Cập nhật và tham khảo bảng giá răng sứ
- Tham khảo bảng giá trồng răng Implant
- Giải thích về trồng răng Implant
- Thắc mắc: làm Implant có đau không?
- Giải đáp dán răng sứ giá bao nhiêu
- Tổng quan làm răng thẩm mỹ

English