Phương pháp chỉnh răng mọc lệch không cần niềng hiệu quả
Niềng răng được biết đến là một trong những lựa chọn hàng đầu của những người gặp phải tình trạng răng mọc lệch. Hầu hết những trường hợp liên quan đến các vấn đề về sai lệch răng, sai khớp cắn hay bị móm… đều có thể sử dụng phương thức này. Nhưng trên thực tế không phải lúc nào niềng răng cũng là lựa chọn tối ưu và duy nhất với những người có răng mọc lệch. Bài viết này sẽ gửi đến bạn đọc phương pháp chỉnh răng mọc lệch không cần niềng răng hiệu quả cao và trải nghiệm tốt cho người dùng.
Nội dung bài viết
Có thể chỉnh răng mọc lệch không cần niềng được không?
Hiểu hơn về niềng răng thì đây là phương pháp mà các bác sĩ sẽ sử dụng các loại khí cụ chỉnh nha để định hình cho răng, điều chỉnh và kéo cho răng về vị trí phù hợp nhất với tổng thể cung hàm. Phương pháp này được cho là can thiệp trực tiếp vào khớp cắn và sẽ phù hợp cũng như tối ưu cả với điều chỉnh sai lệch khớp cắn, cũng như tình trạng răng mọc lệch.

Một trong những hạn chế của phương pháp niềng răng này là việc thời gian để có được hiệu quả tốt và tối ưu nhất là từ 18 đến 36 tháng, tùy vào tình hình thực tế của mỗi người bệnh khác nhau. Điều này diễn ra nhanh hay chậm đều dựa trên nhiều yếu tố tác động như cơ địa người bệnh, tình trạng thực tế của răng và phương pháp, kỹ thuật được sử dụng để thực hiện niềng răng. Cũng bới điều này mà một bộ phận người bệnh không muốn quá mất thời gian hay không phải sử dụng những loại khí cụ rườm rà, mất thẩm mỹ và cả những vấn đề chăm sóc phức tạp.
Những người thuộc trường hợp không muốn niềng răng để giải quyết tình trạng răng mọc lệch của minh, thì một trong những phương pháp tối ưu khác có thể kể đến mà hiệu quả không kém đó là bọc răng sứ thẩm mỹ.
Bọc răng sứ thẩm mỹ được biết đến là phương pháp mài nhỏ răng và sử dụng mão sứ để dáng và định hình lại cho răng. Răng sau khi bọc thì có thể định hình được theo cung hàm cũng như sử dụng chức năng như những chiếc răng thông thường. Một lưu ý là phương pháp này sẽ không có hiệu quả cao với những người vừa bị lệch cả về khớp cắn lẫn răng mọc lệch.
Những trường hợp có thể chỉnh răng đều mà không cần niềng
Để xác định được tình trạng cũng như đưa ra được phương pháp điều trị răng miệng hiệu quả thì thông thường bác sĩ sẽ tiến hành thăm khám cũng như đưa ra những nhận định chính xác và lên phương án xử lý. Chỉnh răng mà không cần niềng sẽ khả thi với những trường hợp:
- Răng bị hô hay chìa ra bên ngoài ở mức nhẹ
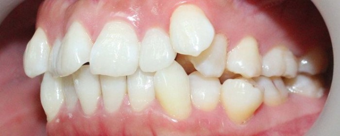
- Răng mọc lệch trên cùng một cung hàm, vị trí đưa vào hay chỉa ra khá lộn xộn
- Răng bị thưa và xuất hiện kẻ hở giữa các răng.

Bên cạnh lợi ích không mất quá nhiều thời gian để cho hiệu quả, không mang khí cụ hay chăm sóc đặc biệt thì phương pháp bọc sứ cho những tình trạng trên vẫn có những yếu điểm so với niềng răng. Người dùng cần thăm khám kỹ lường và lựa chọn cho mình phương thức phù hợp với tình trạng của mình nhất để mang lại trải nghiệm tốt nhất về sau.

Hiểu nôm na về phương thức bọc răng sứ thì đó là quá trình tạo dựng và phục hình cho răng của người bệnh. Những chiếc mão sứ sẽ dựa trên tình trạng răng miệng thực tế của người bệnh mà thiết kế cho phù hợp về màu sắc, hình dáng cũng như kích thước. Phương pháp này sẽ được thực hiện bằng cách mài nhỏ răng và sau đó sẽ dùng các mão sứ để bọc lại phần chân răng này, được cố định bằng chất kết dính chuyên dụng. Phương pháp này đòi hỏi những bác sĩ có chuyên môn cao, có kinh nghiệm thực hiện với độ chi tiết cao để đạt hiệu quả tốt nhất và an toàn cho người bệnh.

Chi phí chỉnh răng mọc lệch
Chỉnh răng mọc lệch như đã đề cập ở trên thì người dùng có thể lựa chọn phương thức niềng răng hoặc bọc sứ, tùy thuộc vào nhu cầu thực tế của mỗi người.
Giá thành niềng răng hiện nay khá cao dao động từ 30 đến 80 triệu, dựa trên tình trạng răng, loại niềng cũng như những vấn đề phát sinh. Một lưu ý là việc niềng răng thường phải niềng hết hai hàm để đảm bảo khớp cắn nên khó linh động về chi phí nếu như người dùng không có ý định chỉnh hết hàm thay vì chỉ tập chung giải quyết răng mọc lệch.
Phương pháp bọc sứ hiện nay thay thế tốt cho niềng răng trong điều chỉnh răng mọc lệch. Chi phí tối ưu khi người bệnh có thể bọc những răng lệch mà không phải thực hiện hết tất cả, gây tốn kém.
Dưới đây là bảng giá bọc răng sứ cập nhật mới nhất tại platinumdentalvietnam.com:

Xem thêm:
- Thông tin tổng quan về giá răng sứ tại Platinum Dental Group
- Trồng răng Implant bao nhiêu 1 cái
- Giải đáp trồng răng Implant là gì?
- Trải nghiệm “cắm Implant có đau ko“?
- Thông tin về giá dán sứ Veneer
- Giải đáp bọc răng sứ thẩm mỹ

English