Chỉnh răng hô hàm trên – Hướng dẫn chi tiết từ A đến Z
Tình trạng hô hàm trên khiến không ít người cảm thấy tự ti về ngoại hình của mình, khi khuôn mặt trở nên mất cân đối và nụ cười thiếu tự nhiên. Đừng quá lo lắng, bởi với sự phát triển vượt bậc của nha khoa hiện đại, việc chỉnh răng hô hàm trên ngày nay đã trở nên nhẹ nhàng và mang lại hiệu quả thẩm mỹ vượt trội. Trong bài viết này, Platinum Dental Group sẽ giúp bạn tìm hiểu chi tiết về nguyên nhân gây hô, cũng như quy trình chỉnh răng hô hiệu quả, để bạn sớm lấy lại nụ cười tự tin và khuôn mặt hài hòa.
Nội dung bài viết
- 1 Hô hàm trên là gì?
- 2 Nguyên nhân gây ra tình trạng hô hàm trên
- 3 Các biểu hiện của hô hàm trên
- 4 Phương pháp chỉnh răng hô hàm trên
- 5 Quy trình khám và điều trị hô hàm trên tại Platinum Dental Group
- 6 Chi phí chỉnh răng hô hàm trên
- 7 Những điều cần lưu ý trước và sau khi chỉnh răng hô hàm trên
- 7.1 Lựa chọn nha khoa uy tín, bác sĩ có chứng chỉ chuyên sâu về chỉnh nha – phẫu thuật hàm
- 7.2 Tuân thủ đúng chỉ định của bác sĩ, không tự ý tháo mắc cài hoặc bỏ tái khám
- 7.3 Vệ sinh răng miệng kỹ, tránh ăn đồ cứng hoặc quá dẻo trong thời gian niềng
- 7.4 Sau khi điều trị, duy trì đeo hàm duy trì theo hướng dẫn để tránh tái hô
- 8 Chỉnh răng hô hàm trên với công nghệ hiện đại tại Platinum Dental Group
- 9 Câu hỏi thường gặp
- 10 Kết luận
Hô hàm trên là gì?
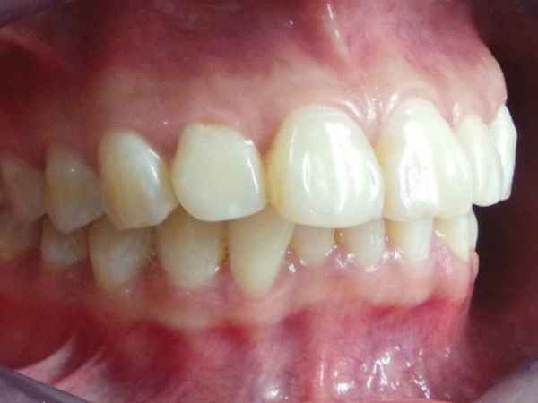
Hô hàm trên (hay còn gọi là vẩu hàm trên) là tình trạng răng, xương hàm hoặc cả răng và xương hàm trên nhô ra phía trước quá mức so với vị trí bình thường của hàm dưới. Đây là một dạng sai lệch khớp cắn, không chỉ ảnh hưởng đến thẩm mỹ gương mặt mà còn tác động đến chức năng nhai và phát âm. Ở người lớn tuổi hoặc khi bị sụt cân, tình trạng hô thường càng lộ rõ hơn.

Phân loại hô hàm trên
Để việc chỉnh răng hô hàm trên đạt hiệu quả tối ưu, bác sĩ sẽ phân loại chính xác nguyên nhân gây hô:
- Hô do răng: Đây là dạng phổ biến, xảy ra khi trục răng bị nghiêng hoặc chìa ra phía trước, trong khi xương hàm phát triển bình thường và không bị hô.
- Hô do xương: Xương hàm trên phát triển quá mức, làm khuôn mặt nhô ra.
- Hô do cả răng và xương: Đây là dạng nặng nhất, khi cả xương hàm lẫn răng đều nhô ra phía trước, tạo cảm giác khuôn mặt nhô rõ rệt khi nhìn nghiêng.
Nguyên nhân gây ra tình trạng hô hàm trên
Để lựa chọn phương pháp chỉnh răng hô hàm trên phù hợp, việc xác định nguyên nhân là bước vô cùng quan trọng. Dưới đây là những nguyên nhân phổ biến mà bạn cần lưu ý.
Di truyền
Di truyền là nguyên nhân chiếm tỉ lệ cao nhất gây hô hàm trên. Nếu cha mẹ có cấu trúc hàm bị hô, con cái rất dễ kế thừa đặc điểm này. Tình trạng hô do di truyền thường đi kèm yếu tố xương, khiến răng và hàm phát triển lệch. Hiểu rõ yếu tố di truyền sẽ giúp bác sĩ lập kế hoạch điều trị chính xác và an toàn hơn.
Thói quen xấu khi còn nhỏ
Trẻ nhỏ thường hình thành những thói quen xấu như mút tay, mút núm vú giả, ngậm bút, ngậm đồ chơi hay cắn móng tay. Khi các thói quen này kéo dài, xương hàm trên bị tác động, phát triển lệch hướng và dẫn đến tình trạng hô. Việc phát hiện sớm và can thiệp kịp thời giúp ngăn ngừa hô tiến triển nặng hơn. Phụ huynh cần theo dõi và hướng dẫn trẻ bỏ thói quen xấu, kết hợp khám nha khoa định kỳ. Tập thói quen đúng từ nhỏ chính là nền tảng giúp hàm răng phát triển chuẩn và cân đối.

Tác động từ bên ngoài
Các va chạm mạnh, tai nạn, gãy răng, viêm nha chu hay răng mọc lệch, mọc thừa hoặc thiếu đều có thể khiến khớp cắn bị lệch, làm hàm trên nhô ra. Đây thường là nguyên nhân hiếm, không phổ biến bằng di truyền và thói quen. Việc phục hình răng kịp thời và theo dõi sát sao sẽ giúp ngăn ngừa hô phát triển nặng hơn. Bên cạnh đó, chăm sóc răng miệng đúng cách cũng giúp duy trì khớp cắn ổn định. Hiểu rõ các tác động từ bên ngoài giúp bạn và bác sĩ lựa chọn phương pháp điều trị tối ưu.
Thói quen chức năng
Ngoài di truyền, sai lệch mọc răng hay thói quen xấu, một số trường hợp răng hô hình thành do thói quen chức năng từ thời thơ ấu, chẳng hạn như thở miệng, đẩy lưỡi khi nuốt hoặc ngậm môi. Những thói quen này tạo áp lực liên tục lên răng và xương hàm, khiến răng cửa nhô ra trước, hàm trên phát triển quá mức và khớp cắn bị lệch. Nếu không được điều chỉnh kịp thời, thói quen chức năng có thể dẫn đến hô răng hoặc hô phối hợp răng – hàm, ảnh hưởng đến thẩm mỹ khuôn mặt và chức năng ăn nhai lâu dài.
Với nguyên nhân chủ yếu từ xương hàm, niềng răng đơn thuần thường không thể cải thiện hoàn toàn tình trạng hô. Trong những trường hợp này, bác sĩ sẽ đánh giá kỹ lưỡng và cân nhắc kết hợp phẫu thuật hàm để tái cấu trúc xương, cân chỉnh khớp cắn, mang lại thẩm mỹ tối ưu và chức năng ăn nhai ổn định lâu dài.
Các biểu hiện của hô hàm trên
Hô hàm trên không chỉ ảnh hưởng đến thẩm mỹ mà còn tác động đến chức năng nhai và phát âm. Một số biểu hiện dễ nhận thấy bao gồm:
- Hàm trên nhô ra rõ rệt so với hàm dưới.
- Khuôn mặt nhìn nghiêng có cảm giác “lồi”, không cân đối.
- Môi trên nhọn, khó khép kín khi nghỉ ngơi.
- Răng chìa ra, trục răng nghiêng về phía trước.
- Gặp khó khăn khi ăn nhai, đôi khi đau khớp thái dương hàm.
- Cằm thụt lùi, cằm lẹm và ngắn
Nếu bạn thấy mình có những dấu hiệu trên, việc chỉnh răng hô hàm trên sớm sẽ giúp cải thiện đáng kể ngoại hình và sức khỏe răng miệng.
Trẻ từ 6 – 12 tuổi là giai đoạn lý tưởng để điều chỉnh răng hô do xương hàm. Khi xương hàm vẫn đang phát triển, các bác sĩ có thể sử dụng khí cụ chức năng để cân chỉnh hàm và khớp cắn một cách hiệu quả, giúp giảm thiểu nguy cơ phải phẫu thuật hàm khi trưởng thành.
Điều trị sớm không chỉ cải thiện thẩm mỹ khuôn mặt mà còn giúp chức năng ăn nhai ổn định, trẻ tự tin hơn khi giao tiếp và nụ cười duyên dáng hơn. Đừng để lỡ thời điểm vàng – khám và tư vấn sớm để bé có nụ cười hoàn hảo!

Phương pháp chỉnh răng hô hàm trên
Hiện nay, với sự phát triển của nha khoa hiện đại, có nhiều phương pháp chỉnh răng hô hàm trên phù hợp, tùy thuộc vào mức độ hô và nguyên nhân cụ thể. Từ các giải pháp thẩm mỹ đơn giản đến can thiệp phức tạp, mỗi phương pháp đều có những ưu điểm riêng biệt.
Niềng răng – Chỉnh nha hiệu quả, bền vững
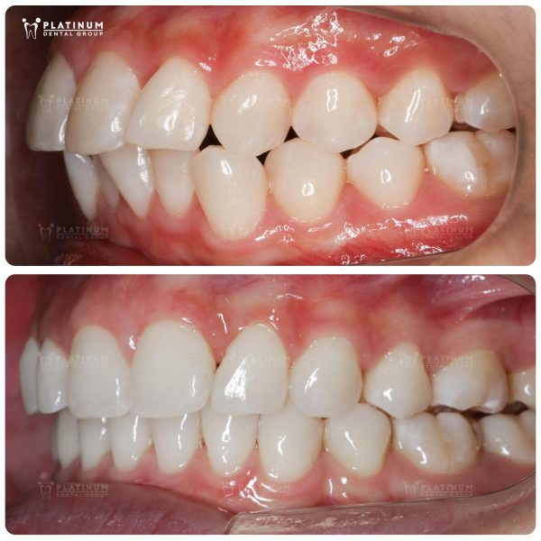
Niềng răng là phương pháp chỉnh nha hiệu quả, giúp dịch chuyển răng về vị trí chuẩn khớp cắn, cải thiện thẩm mỹ và duy trì kết quả lâu dài. Với trẻ em, các bác sĩ thường sử dụng khí cụ chức năng, như Headgear, Quad-helix, kết hợp mắc cài để điều chỉnh sự phát triển xương hàm, sắp xếp răng và phòng ngừa hô nặng khi trưởng thành.
Đối với người trưởng thành, niềng răng có thể thực hiện bằng mắc cài kim loại, mắc cài sứ hoặc niềng trong suốt Invisalign, phù hợp với nhu cầu thẩm mỹ và ngân sách. Phương pháp này không chỉ khôi phục nụ cười tự nhiên, mà còn bảo vệ men răng và chức năng ăn nhai. Niềng răng là lựa chọn lý tưởng cho những ai muốn cải thiện vẻ đẹp gương mặt, khớp cắn chuẩn và kết quả bền vững trong thời gian dài.

Phẫu thuật hàm – Dành cho trường hợp hô nặng
Nếu tình trạng hô hàm trên là do xương hàm phát triển quá mức, phẫu thuật hàm sẽ là giải pháp cần thiết. Phẫu thuật này giúp điều chỉnh vị trí hàm về đúng cấu trúc, giúp khuôn mặt trở nên cân đối và hài hòa hơn. Phẫu thuật hàm không chỉ cải thiện thẩm mỹ mà còn giúp cải thiện chức năng nhai cho người bệnh. Tuy nhiên, phương pháp này thường yêu cầu thời gian phục hồi lâu hơn và cần được thực hiện bởi bác sĩ có tay nghề cao. Sau khi phục hồi, bạn sẽ thấy sự thay đổi rõ rệt về khuôn mặt và chất lượng cuộc sống.
Kết hợp niềng và phẫu thuật – Giải pháp tối ưu cho ca phức tạp
Đối với những ca hô phức tạp, khi tình trạng hô xuất phát từ cả răng và xương, bác sĩ sẽ chỉ định kết hợp niềng răng và phẫu thuật hàm. Phương pháp này mang lại kết quả toàn diện, giúp chỉnh sửa cả cấu trúc xương và xếp đều răng, từ đó đảm bảo thẩm mỹ và tính ổn định lâu dài. Việc kết hợp cả hai phương pháp sẽ giúp bạn khôi phục hoàn toàn chức năng nhai và cải thiện hình dáng khuôn mặt. Đây là lựa chọn tối ưu cho những trường hợp hô nặng hoặc bất đối xứng, cần sự can thiệp toàn diện để đạt được kết quả hoàn hảo.
Quy trình khám và điều trị hô hàm trên tại Platinum Dental Group
Để đảm bảo quá trình chỉnh răng hô hàm trên diễn ra chính xác và an toàn, bạn sẽ phải trải qua các giai đoạn sau:
Khám và chẩn đoán
Quá trình điều trị hô hàm trên bắt đầu bằng khám và chẩn đoán kỹ lưỡng. Bác sĩ sẽ tiến hành thăm khám tổng quát, chụp phim X-quang với máy CBCT 3D, quét răng kỹ thuật số (scan răng), chụp hình trong miệng và ngoài mặt. Những dữ liệu này giúp bác sĩ phân tích cấu trúc xương hàm, vị trí răng, khớp cắn và mối quan hệ giữa các mô mềm, từ đó xác định mức độ hô, nguyên nhân gây hô và lên kế hoạch niềng răng chỉnh hô chi tiết, cá nhân hóa. Nhờ việc ứng dụng công nghệ chẩn đoán hiện đại, quá trình điều trị trở nên chính xác, hiệu quả và an toàn, đảm bảo mang lại kết quả tối ưu về thẩm mỹ và chức năng.
Lập kế hoạch điều trị cá nhân hóa
Sau khi có kết quả chẩn đoán, bác sĩ sẽ xây dựng phác đồ điều trị cá nhân hóa cho từng bệnh nhân. Kế hoạch này được thiết kế dựa trên mức độ hô, tình trạng răng miệng và nhu cầu thẩm mỹ, giúp đảm bảo hiệu quả tối ưu và mang lại kết quả như mong muốn. Mỗi bước trong quá trình điều trị đều phù hợp với cơ địa và mong muốn của bệnh nhân.
Trong những trường hợp cần kết hợp phẫu thuật hàm, bệnh nhân sẽ được chụp thêm phim toàn bộ gương mặt kết hợp face scan 3D để bác sĩ đánh giá chi tiết cấu trúc xương, tỉ lệ khuôn mặt và lên kế hoạch phẫu thuật chính xác, đảm bảo kết quả thẩm mỹ tối ưu và chức năng ăn nhai ổn định lâu dài.

Thực hiện chỉnh nha hoặc phẫu thuật
Tùy vào mức độ hô và nguyên nhân, bác sĩ sẽ chỉ định niềng răng, phẫu thuật hàm hoặc kết hợp cả hai để đạt kết quả tối ưu.
- Chỉnh nha: Quá trình niềng răng được thực hiện bởi bác sĩ chuyên khoa chỉnh nha tại Platinum Dental Group. Bệnh nhân sẽ được tái khám định kỳ mỗi 4–6 tuần để bác sĩ kiểm tra sự dịch chuyển răng, điều chỉnh mắc cài hoặc khí cụ, đảm bảo răng di chuyển đúng vị trí, khớp cắn chuẩn và đạt hiệu quả thẩm mỹ lâu dài.
- Ở trẻ em: có thể sử dụng các khí cụ như Headgear, Quad-helix hoặc mắc cài để định hướng hàm và sắp xếp răng.
- Ở người trưởng thành: áp dụng mắc cài kim loại, mắc cài sứ hoặc niềng trong suốt Invisalign, tùy nhu cầu thẩm mỹ và điều kiện của bệnh nhân.
- Phẫu thuật hàm: Nếu cần can thiệp hàm để điều chỉnh xương, bệnh nhân sẽ được Platinum Dental Group thăm khám kỹ lưỡng, chuẩn bị dữ kiện phim CBCT 3D, scan răng và facescan 3D toàn bộ gương mặt. Thạc sĩ, Bác sĩ CKII Dương Minh Tùng sẽ trực tiếp thực hiện phẫu thuật tại bệnh viện liên kết đạt chuẩn vô khuẩn, đảm bảo an toàn tối đa, đồng thời phối hợp với bác sĩ chỉnh nha để đạt kết quả hài hòa về khớp cắn, thẩm mỹ khuôn mặt và chức năng ăn nhai.
Giai đoạn duy trì và tái khám
Sau khi kết thúc quá trình điều trị, bệnh nhân sẽ cần đeo hàm duy trì để giữ cho răng ổn định và tránh tái phát tình trạng hô. Đồng thời, bạn sẽ phải tái khám định kỳ để bác sĩ kiểm tra sự ổn định của kết quả và đảm bảo răng miệng luôn khỏe mạnh.
Chi phí chỉnh răng hô hàm trên
Niềng răng hô bao nhiêu tiền là thắc mắc chung của rất nhiều bệnh nhân. Trên thực tế, giá chỉnh răng hô hàm trên phụ thuộc vào nhiều yếu tố khác nhau: mức độ hô, phương pháp điều trị, phương pháp chỉnh nha và cơ sở nha khoa.
Tại Platinum Dental Group, chi phí chỉnh răng hô hiện nay dao động từ 50 – 150 triệu đồng. Cụ thể:
Chi phí niềng răng hô hàm trên – Các phương pháp niềng răng
Chi phí niềng răng hô hàm trên tại Platinum Dental Group phụ thuộc vào phương pháp niềng và mức độ hô của từng bệnh nhân:
- Niềng răng mắc cài kim loại: Sử dụng hệ thống mắc cài truyền thống bằng kim loại, hiệu quả cao, chi phí khoảng 50.000.000 – 60.000.000 VND/2 hàm.
- Niềng răng mắc cài sứ: Mắc cài bằng sứ trong suốt, thẩm mỹ hơn, giá khoảng 50.000.000 – 70.000.000 VND/2 hàm.
- Niềng răng mắc cài tự buộc (tự động): Giảm ma sát, rút ngắn thời gian điều trị, chi phí khoảng 50.000.000 – 70.000.000 VND/2 hàm.
- Niềng răng trong suốt Invisalign: Gần như vô hình, thuận tiện, tháo lắp dễ dàng, giá từ 60.000.000 – 139.000.000 VND/2 hàm tùy tình trạng răng và số lượng khay điều trị.

Chi phí phẫu thuật hàm – Trường hợp hô nặng
Chi phí phẫu thuật hàm thường cao hơn so với niềng răng, vì đây là một can thiệp phẫu thuật đòi hỏi kỹ thuật cao. Tùy vào tình trạng cụ thể của bệnh nhân, chi phí có thể dao động 90 triệu/hàm, 120 – 150 triệu/2 hàm. Phẫu thuật hàm không chỉ giúp điều chỉnh lại xương hàm mà còn giúp cân đối khuôn mặt, mang lại sự hài hòa tổng thể cho người bệnh.
Các yếu tố ảnh hưởng đến chi phí – Mức độ hô, cơ sở nha khoa, vật liệu
Như đã nói ở trên, chi phí chỉnh răng hô hàm trên phụ thuộc vào nhiều yếu tố khác nhau. Mức độ hô của răng (hô nhẹ, vừa, nặng) sẽ quyết định phương pháp và thời gian điều trị, từ đó ảnh hưởng đến tổng chi phí. Ngoài ra, cơ sở nha khoa và vật liệu sử dụng (mắc cài sứ, mắc cài kim loại hay niềng Invisalign) cũng tác động trực tiếp đến giá cả. Việc lựa chọn cơ sở nha khoa uy tín, có trang thiết bị hiện đại, đội ngũ bác sĩ chuyên khoa giỏi có thể thay đổi mức chi phí tổng thể, đổi lại, sẽ đảm bảo kết quả điều trị an toàn và hiệu quả.
Những điều cần lưu ý trước và sau khi chỉnh răng hô hàm trên
Khi quyết định chỉnh răng hô hàm trên, ngoài việc lựa chọn phương pháp điều trị phù hợp, bạn cũng cần lưu ý đến một số yếu tố quan trọng để đảm bảo quá trình điều trị diễn ra hiệu quả và an toàn. Dưới đây là những điểm cần chú ý:
Lựa chọn nha khoa uy tín, bác sĩ có chứng chỉ chuyên sâu về chỉnh nha – phẫu thuật hàm
Không phải trường hợp hô nào cũng cần phẫu thuật hàm. Phần lớn các ca hô đều có thể điều trị hiệu quả chỉ với chỉnh nha thông thường, chỉ một số trường hợp quá nặng mới cần can thiệp phẫu thuật. Chính vì vậy, việc lựa chọn một địa chỉ nha khoa uy tín và bác sĩ giàu kinh nghiệm là yếu tố then chốt giúp bạn được chẩn đoán chính xác và tìm ra giải pháp phù hợp nhất.
Tại Platinum Dental Group, đội ngũ bác sĩ có chứng chỉ chuyên sâu về chỉnh nha và phẫu thuật hàm sẽ trực tiếp thăm khám, đánh giá nguyên nhân và mức độ hô, từ đó xây dựng phác đồ cá nhân hóa. Nhờ kinh nghiệm chuyên môn vững chắc và trang thiết bị hiện đại, Platinum Dental đảm bảo mang đến kết quả điều trị tối ưu, an toàn và bền lâu, giúp khách hàng sở hữu nụ cười hài hòa và tự tin.
Tuân thủ đúng chỉ định của bác sĩ, không tự ý tháo mắc cài hoặc bỏ tái khám
Trong quá trình điều trị, việc tuân thủ đúng chỉ định của bác sĩ là vô cùng quan trọng. Bạn không nên tự ý tháo mắc cài, thay đổi phương pháp hoặc bỏ qua các buổi tái khám định kỳ. Chỉ khi tuân thủ đúng lịch trình và lời khuyên của bác sĩ, quá trình niềng răng mới diễn ra thuận lợi và nhanh chóng. Việc bỏ qua bước tái khám có thể khiến tình trạng răng miệng không được theo dõi sát sao, gây ảnh hưởng đến kết quả cuối cùng.
Vệ sinh răng miệng kỹ, tránh ăn đồ cứng hoặc quá dẻo trong thời gian niềng
Vệ sinh răng miệng sạch sẽ và kỹ lưỡng trong suốt quá trình điều trị niềng răng là điều cần thiết để tránh viêm nướu, sâu răng và các vấn đề khác. Bạn nên chải răng ít nhất hai lần mỗi ngày, sử dụng chỉ nha khoa và nước súc miệng để giữ vệ sinh cho răng miệng. Đồng thời, trong thời gian niềng, bạn cần tránh ăn đồ quá cứng hoặc quá dẻo để không làm hỏng mắc cài hoặc dây cung, và giảm nguy cơ gây đau nhức cho răng miệng.
Sau khi điều trị, duy trì đeo hàm duy trì theo hướng dẫn để tránh tái hô
Sau khi kết thúc quá trình niềng răng, để giữ răng ổn định và tránh tình trạng tái hô, bạn sẽ cần đeo hàm duy trì theo đúng chỉ dẫn của bác sĩ. Giai đoạn này rất quan trọng để bảo vệ kết quả điều trị lâu dài, tránh tình trạng răng di chuyển trở lại vị trí ban đầu. Bác sĩ sẽ hướng dẫn bạn thời gian và cách thức đeo hàm duy trì, giúp bạn duy trì nụ cười đều đẹp suốt đời.

Chỉnh răng hô hàm trên với công nghệ hiện đại tại Platinum Dental Group
Tại Platinum Dental Group, quá trình điều trị răng hô hàm trên được hỗ trợ bởi hệ thống công nghệ hiện đại, giúp bác sĩ thu thập dữ kiện chính xác và lập kế hoạch điều trị tối ưu. Cụ thể bao gồm:
- Máy chụp phim CBCT 3D và các loại phim X-quang toàn cảnh, phim sọ nghiêng, giúp khảo sát cấu trúc xương hàm, vị trí răng, khớp cắn và các yếu tố giải phẫu liên quan.
- Máy Scan răng iTero 3D, lấy dấu răng chính xác, hỗ trợ mô phỏng dịch chuyển răng và thiết kế phác đồ niềng răng cá nhân hóa.
- Facescan 3D, ghi nhận toàn bộ hình dáng khuôn mặt, giúp bác sĩ đánh giá mối quan hệ giữa răng, hàm và gương mặt, đảm bảo kết quả thẩm mỹ tự nhiên.
Nhờ vào các dữ liệu này, bác sĩ có thể chẩn đoán chính xác nguyên nhân hô, lựa chọn phương pháp điều trị phù hợp và theo dõi tiến trình chỉnh nha từng chi tiết nhỏ, mang lại hiệu quả tối ưu và giảm thiểu sai sót.



Bên cạnh đó, với đội ngũ bác sĩ chuyên môn cao, giàu kinh nghiệm, cùng trang thiết bị chuẩn quốc tế, mỗi khách hàng tại Platinum Dental đều được điều trị theo phác đồ cá nhân hóa phù hợp với tình trạng và nhu cầu riêng biệt. Điều này giúp đảm bảo quá trình điều trị diễn ra an toàn, nhanh chóng và đạt được kết quả thẩm mỹ tuyệt vời.
Câu hỏi thường gặp
Chỉnh răng hô không cần niềng được không?
Đa phần các trường hợp răng hô, đặc biệt là hô hàm trên, có thể điều chỉnh hiệu quả bằng niềng răng, giúp dịch chuyển răng về vị trí chuẩn khớp cắn, cải thiện thẩm mỹ gương mặt và chức năng ăn nhai. Niềng răng là phương pháp an toàn, ít xâm lấn và cho kết quả lâu dài, đồng thời hạn chế tối đa nhu cầu can thiệp phẫu thuật.
Trong một số trường hợp đặc biệt, bác sĩ có thể cân nhắc thêm các thủ thuật hỗ trợ hoặc phẫu thuật nhỏ, nhưng đối với hầu hết bệnh nhân, niềng răng vẫn là lựa chọn ưu tiên để mang lại nụ cười hài hòa và cân đối. Việc thăm khám và đánh giá kỹ lưỡng bởi bác sĩ chuyên khoa sẽ giúp xác định chính xác mức độ hô, tình trạng răng miệng và lập kế hoạch điều trị phù hợp nhất cho từng người.
Có phải nhổ răng khi niềng cho hô hàm trên không?
Việc nhổ răng khi niềng răng hô hàm trên không phải là bắt buộc ở tất cả các trường hợp. Nhổ răng chỉ được áp dụng khi cần tạo khoảng trống để dịch chuyển các răng về vị trí đúng, giúp khớp cắn trở nên chuẩn xác hơn. Bác sĩ sẽ đánh giá kỹ lưỡng tình trạng răng miệng và cấu trúc xương hàm của bạn trước khi quyết định có cần nhổ răng hay không.

Trong một số trường hợp, nếu răng mọc lệch hoặc thiếu không gian, nhổ răng là yêu cầu cần thiết để đạt kết quả thẩm mỹ và chức năng ăn nhai tốt hơn. Tuy nhiên, nếu không cần thiết, bác sĩ sẽ tìm các phương pháp khác để điều chỉnh răng mà không phải nhổ.
Thời gian chỉnh răng hô hàm trên bao lâu?
Thời gian chỉnh răng hô hàm trên phụ thuộc vào mức độ nghiêm trọng của tình trạng hô và phương pháp điều trị mà bạn lựa chọn. Trung bình, quá trình niềng răng sẽ kéo dài từ 18 – 30 tháng. Tuy nhiên, nếu bạn có tình trạng hô nhẹ và chỉ cần chỉnh sửa răng, thời gian điều trị có thể ngắn hơn. Ngược lại, nếu bạn phải kết hợp niềng răng và phẫu thuật hàm, thời gian điều trị có thể dài hơn. Bác sĩ sẽ tư vấn cụ thể về thời gian điều trị sau khi đánh giá tình trạng cụ thể của bạn, giúp bạn hiểu rõ và chuẩn bị tốt cho quá trình chỉnh sửa.
Kết luận
Chỉnh răng hô hàm trên hay bất kỳ phương pháp niềng răng nào không chỉ là thay đổi thẩm mỹ mà trước tiên hướng tới việc khôi phục khớp cắn khỏe mạnh, đảm bảo chức năng ăn nhai và phát âm chuẩn. Khi khớp cắn được ổn định, nụ cười tự nhiên và cân đối sẽ theo đó mà hình thành.
Tại Platinum Dental Group, đội ngũ bác sĩ chuyên sâu về chỉnh nha và phẫu thuật hàm luôn đồng hành cùng bạn, xây dựng kế hoạch điều trị cá nhân hóa, vừa bảo vệ sức khỏe răng miệng, vừa tối ưu kết quả thẩm mỹ. Hãy liên hệ ngay hôm nay để đặt lịch thăm khám và bắt đầu hành trình sở hữu khớp cắn khỏe – nụ cười rạng rỡ cùng các chuyên gia của chúng tôi nhé!
PLATINUM DENTAL GROUP
Platinum Dental Central:
- Địa chỉ: 127 Nguyễn Cư Trinh, Phường Cầu Ông Lãnh, TP. HCM
- Hotline: 0967 797 799
Platinum Dental Thảo Điền:
- Địa chỉ: 1H Đường số 10, Phường An Khánh, TP. HCM
- Hotline: 096 71 78 799
Email: info@platinumdentalvietnam.com
Website: https://platinumdentalvietnam.com/
Instagram: https://www.instagram.com/platinumdental.vietnam/
Facebook: facebook.com/platinumdentalvn
Xem thêm:
- Tổng quan về chi phí bọc răng sứ trọn gói
- Trồng răng Implant toàn hàm giá bao nhiêu
- Giải thích về trồng răng Implant
- Giải thích “trồng răng Implant có đau ko“?
- Giải đáp dán răng sứ giá bao nhiêu
- Giải đáp bọc răng sứ thẩm mỹ

English