Những điều cần biết về chi phí phẫu thuật gãy xương hàm
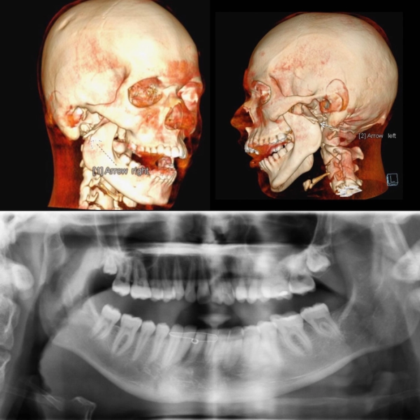
Gãy xương hàm là chấn thương nghiêm trọng có thể ảnh hưởng đến khả năng ăn nhai, phát âm và thẩm mỹ khuôn mặt. Trong nhiều trường hợp, phẫu thuật là giải pháp bắt buộc để cố định xương, phục hồi chức năng và phòng ngừa biến chứng. Tuy nhiên, chi phí phẫu thuật gãy xương hàm thường khiến nhiều bệnh nhân băn khoăn do có sự chênh lệch giữa từng cơ sở y tế và tình trạng lâm sàng khác nhau. Vậy mức chi phí cụ thể rơi vào khoảng bao nhiêu? Những yếu tố nào ảnh hưởng đến chi phí điều trị? Bài viết dưới đây của Platinum Dental sẽ giúp bệnh nhân hiểu rõ hơn để có sự chuẩn bị tài chính phù hợp trước khi điều trị.
Nội dung bài viết
- 1 Tham khảo chi phí phẫu thuật gãy xương hàm tại Việt Nam
- 2 Các yếu tố ảnh hưởng tới chi phí phẫu thuật gãy xương hàm
- 3 Các câu hỏi thường gặp
- 3.1 Platinum Dental Group có dịch vụ phẫu thuật gãy xương hàm không?
- 3.2 Gãy xương gò má phẫu thuật bao nhiêu tiền?
- 3.3 Phẫu thuật xương hàm hết bao nhiêu tiền?
- 3.4 Gãy xương hàm dưới bao lâu thì ăn được?
- 3.5 Gãy xương gò má thương tật bao nhiêu?
- 3.6 Phẫu thuật xương hàm bao lâu thì lành?
- 3.7 Gãy xương hàm dưới bao lâu thì lành?
- 3.8 Mổ xương hàm kiêng ăn gì?
Tham khảo chi phí phẫu thuật gãy xương hàm tại Việt Nam
Chi phí phẫu thuật gãy xương hàm không có mức cố định cho mọi trường hợp vì còn phụ thuộc vào mức độ gãy, phương pháp xử lý, vật liệu cố định và kế hoạch điều trị riêng của từng bệnh nhân. Nhìn chung, chi phí phẫu thuật gãy xương hàm rơi vào khoảng 90 triệu VNĐ/hàm và từ 150 – 160 triệu VNĐ/2 hàm tùy vào cơ sở thực hiện.

Tại Platinum Dental Group, chi phí được xây dựng dựa trên phác đồ cá nhân hóa, bao gồm đầy đủ quy trình chẩn đoán, tư vấn, phẫu thuật và theo dõi hậu phẫu. Để nhận báo giá chính xác theo tình trạng gãy hàm và nhu cầu điều trị của bạn, bạn có thể đặt lịch thăm khám trực tiếp tại Platinum Dental Group để được bác sĩ Dương Minh Tùng tư vấn chi tiết và xây dựng phác đồ phù hợp nhất.
Các yếu tố ảnh hưởng tới chi phí phẫu thuật gãy xương hàm
Chi phí phẫu thuật gãy xương hàm không cố định mà phụ thuộc vào nhiều yếu tố liên quan đến tình trạng chấn thương, phương pháp điều trị và điều kiện tại cơ sở y tế. Việc hiểu rõ những yếu tố này giúp bệnh nhân chủ động hơn về tài chính và lựa chọn được phương án phù hợp nhất. Dưới đây là những yếu tố chính tác động đến tổng chi phí phẫu thuật:
Mức độ gãy xương
Tình trạng gãy xương hàm có thể đơn giản hoặc phức tạp. Với trường hợp gãy kín, ít dịch chuyển, hoặc gãy một bên hàm, chi phí sẽ thấp hơn so với gãy nhiều mảnh, gãy hở hoặc kèm theo tổn thương vùng mềm, thần kinh, răng. Mức độ nghiêm trọng càng cao thì thời gian phẫu thuật, vật tư cần dùng và thời gian chăm sóc hậu phẫu cũng tăng theo.

Phương pháp phẫu thuật
Phẫu thuật điều trị gãy xương hàm có thể được thực hiện theo hai kỹ thuật chính:
- Cố định xương trong miệng (nội vi): Ít xâm lấn, thường áp dụng cho gãy đơn giản, chi phí thấp hơn.
- Mở nắn và cố định xương ngoài miệng: Áp dụng cho gãy phức tạp, cần sử dụng nẹp vít titanium hoặc cố định nhiều điểm, chi phí cao hơn.
Bên cạnh đó, ứng dụng công nghệ hỗ trợ như chụp CT 3D, mô phỏng kỹ thuật số cũng có thể làm tăng tổng chi phí điều trị.
Vật liệu sử dụng
Vật liệu cố định như nẹp vít titanium, chỉ khâu phẫu thuật, nẹp hợp kim sẽ ảnh hưởng đáng kể tới chi phí phẫu thuật gãy xương hàm. Titanium là vật liệu an toàn, bền và ít gây phản ứng phụ nên thường được ưu tiên sử dụng nhưng chi phí cao hơn so với vật liệu thông thường. Bệnh nhân có thể được tư vấn lựa chọn loại vật liệu phù hợp theo điều kiện tài chính và yêu cầu y khoa.

Cơ sở y tế và bác sĩ thực hiện
Chi phí phẫu thuật sẽ khác nhau tùy vào việc phẫu thuật diễn ra tại bệnh viện công, bệnh viện tư nhân hay trung tâm chuyên khoa răng – hàm – mặt. Những đơn vị có hệ thống phòng mổ hiện đại, quy trình vô trùng nghiêm ngặt và đội ngũ bác sĩ giàu kinh nghiệm sẽ có mức phí điều trị cao hơn, song song với đó là chất lượng dịch vụ và mức độ an toàn cao hơn.
Bảo hiểm y tế và các chi phí phát sinh khác
Trong nhiều trường hợp, bảo hiểm y tế có thể hỗ trợ một phần chi phí phẫu thuật gãy xương hàm tại cơ sở công lập hoặc bệnh viện có ký hợp đồng bảo hiểm. Tuy nhiên, các khoản chi như vật tư tiêu hao, phòng chăm sóc đặc biệt, giường bệnh yêu cầu, chi phí chẩn đoán hình ảnh, thuốc men và tái khám sau phẫu thuật thường không nằm trong danh mục chi trả. Bệnh nhân cần chuẩn bị thêm khoản chi này để tránh phát sinh ngoài dự kiến.
Xem thêm:
- Các hạng mục cấu thành chi phí bọc răng sứ
- Giải đáp thắc mắc trồng răng Implant giá bao nhiêu
- Giải thích về trồng răng Implant
- Giải đáp cấy Implant có đau không?
- Giải đáp dán răng sứ giá bao nhiêu
- Thông tin về làm răng sứ thẩm mỹ
Các câu hỏi thường gặp
Platinum Dental Group có dịch vụ phẫu thuật gãy xương hàm không?
Hiện nay, Platinum Dental Group không có dịch vụ phẫu thuật gãy xương hàm. Tại Platinum Dental Group, bệnh nhân gặp chấn thương gãy xương hàm sẽ được ThS. BS CKII Dương Minh Tùng – Giám đốc chuyên môn, trực tiếp thăm khám và đánh giá tình trạng. Sau quá trình tư vấn chi tiết, bác sĩ sẽ chỉ định các xét nghiệm cần thiết và lập kế hoạch điều trị phù hợp.

Các ca phẫu thuật gãy xương hàm đều được thực hiện tại bệnh viện lớn thuộc hệ thống chuyên khoa răng – hàm – mặt mà bác sĩ Dương Minh Tùng đang cộng tác, đảm bảo tuân thủ đầy đủ tiêu chuẩn vô trùng, an toàn và chính xác cao. Trong suốt quá trình điều trị, bệnh nhân được đội ngũ tại Platinum Dental Group đồng hành, hỗ trợ chăm sóc hậu phẫu và tái khám đúng lịch, mang đến sự an tâm và hiệu quả phục hồi tốt nhất.
Gãy xương gò má phẫu thuật bao nhiêu tiền?
Chi phí phẫu thuật gãy xương gò má có thể dao động từ khoảng 6 đến 12 triệu đồng tại bệnh viện công (chưa gồm vật tư nẹp vít), hoặc từ 25 đến 40 triệu đồng tại các bệnh viện, trung tâm hàm mặt tư nhân với dịch vụ trọn gói. Mức giá sẽ tùy thuộc vào mức độ tổn thương, phương pháp mổ và vật liệu sử dụng.
Phẫu thuật xương hàm hết bao nhiêu tiền?
Chi phí phẫu thuật xương hàm điều trị chấn thương dao động từ vài triệu đồng đến trên 40 triệu đồng tùy nơi thực hiện. Các yếu tố như gãy xương một hay nhiều điểm, có dùng nẹp titanium hay không, bác sĩ thực hiện và dịch vụ hậu phẫu sẽ quyết định tổng chi phí. Với phẫu thuật chỉnh hình hàm mặt (hô, móm, lệch hàm), chi phí có thể từ 60 đến 100 triệu đồng hoặc hơn.
Gãy xương hàm dưới bao lâu thì ăn được?
Đối với trường hợp phẫu thuật cố định bằng nẹp vít, bệnh nhân thường có thể bắt đầu ăn thức ăn mềm, lỏng sau 1 – 2 tuần. Tuy nhiên, trong 4 – 6 tuần đầu sau phẫu thuật, cần ưu tiên chế độ ăn mềm, tránh nhai mạnh để xương lành nhanh và không gây lệch nẹp. Thời gian cụ thể phụ thuộc vào mức độ gãy và tốc độ hồi phục của từng bệnh nhân.
Gãy xương gò má thương tật bao nhiêu?
Mức độ thương tật do gãy xương gò má sẽ được đánh giá dựa trên tỷ lệ tổn thương cấu trúc xương mặt, ảnh hưởng thần kinh, biến dạng thẩm mỹ và chức năng. Theo Thông tư 22/2019/TT-BYT, thương tật do tổn thương xương mặt có thể được quy định từ 11% trở lên đối với các trường hợp có biến chứng hoặc biến dạng khuôn mặt sau điều trị
Phẫu thuật xương hàm bao lâu thì lành?
Thời gian để xương hàm lành sau phẫu thuật thường kéo dài từ 6 đến 8 tuần, có thể lâu hơn đối với bệnh nhân lớn tuổi, người có bệnh lý nền hoặc hút thuốc lá. Việc tuân thủ chế độ chăm sóc, dùng thuốc và tái khám đúng lịch sẽ giúp đẩy nhanh quá trình phục hồi.
Gãy xương hàm dưới bao lâu thì lành?
Xương hàm dưới thường cần khoảng 4 đến 6 tuần để bắt đầu liền chắc, từ 8 đến 12 tuần để hồi phục gần như hoàn toàn sau phẫu thuật cố định. Trong thời gian này, bệnh nhân cần hạn chế vận động mạnh vùng hàm, tránh nhai cứng và tuân thủ mọi yêu cầu của bác sĩ.
Mổ xương hàm kiêng ăn gì?
Sau phẫu thuật xương hàm, bệnh nhân cần kiêng các thực phẩm dai, cứng hoặc dính như bánh mì, kẹo dẻo, các loại hạt cứng, đồ chiên rán… Ngoài ra, nên hạn chế đồ uống có cồn, thực phẩm cay nóng hoặc chứa nhiều gia vị để tránh kích ứng khu vực phẫu thuật. Thay vào đó, nên ưu tiên thực phẩm mềm, dễ nuốt như cháo, súp, sinh tố và thực phẩm giàu đạm để hỗ trợ tái tạo mô xương.
Hy vọng những thông tin vừa chia sẻ trong bài viết đã giúp bệnh nhân hiểu rõ hơn về chi phí phẫu thuật gãy xương hàm cũng như các yếu tố ảnh hưởng đến mức giá thực tế. Để được tư vấn chính xác, bệnh nhân nên thăm khám trực tiếp với bác sĩ chuyên khoa có kinh nghiệm để được chỉ định phương án phù hợp nhất. Đón đọc thêm các bài viết hữu ích và cập nhật thông tin chuyên môn từ Platinum Dental Group để chủ động bảo vệ sức khỏe răng hàm mặt của chính mình nhé!
PLATINUM DENTAL GROUP
Platinum Dental Central:
- Địa chỉ: 127 Nguyễn Cư Trinh, Phường Cầu Ông Lãnh, TP. HCM
- Hotline: 0967 797 799
Platinum Dental Thảo Điền:
- Địa chỉ: 1H Đường số 10, Phường An Khánh, TP. HCM
- Hotline: 096 71 78 799
Email: info@platinumdentalvietnam.com
Website: https://platinumdentalvietnam.com/
Instagram: https://www.instagram.com/platinumdental.vietnam/
Facebook: facebook.com/platinumdentalvn

English