Gọi tên các biến chứng sau khi bọc răng sứ thường gặp và cách phòng tránh
Nhiều người lo lắng bọc răng sứ có đau không, có biến chứng gì không. Thực tế, những rủi ro này chỉ xảy ra khi bọc răng tại cơ sở thiếu uy tín hoặc thực hiện sai quy trình. Nếu hiểu rõ các biến chứng sau khi bọc răng sứ thường gặp và cách phòng tránh, bạn hoàn toàn có thể yên tâm sở hữu hàm răng đều đẹp, chắc khỏe. Platinum Dental Group sẽ cùng bạn giải đáp chi tiết trong bài viết dưới đây.
Nội dung bài viết
- 1 Những biến chứng thường gặp sau khi bọc răng sứ
- 2 Nguyên nhân chính gây ra biến chứng
- 3 Cách phòng tránh biến chứng khi bọc răng sứ
- 3.1 Lựa chọn nha khoa, bác sĩ uy tín, có chuyên môn cao
- 3.2 Chọn loại răng sứ chất lượng, có nguồn gốc rõ ràng
- 3.3 Cân nhắc phương pháp thay thế ít xâm lấn hơn
- 3.4 Thực hiện quy trình khám và điều trị toàn diện
- 3.5 Vệ sinh răng miệng đúng cách sau khi bọc
- 3.6 Theo dõi định kỳ và xử lý biến chứng kịp thời
Những biến chứng thường gặp sau khi bọc răng sứ
Bọc răng sứ là giải pháp thẩm mỹ mang lại nụ cười trắng sáng và cải thiện chức năng ăn nhai. Tuy nhiên, nếu quy trình thực hiện không đúng chuẩn hoặc người bệnh chăm sóc chưa đúng cách, một số biến chứng có thể xảy ra, gây ảnh hưởng đến sức khỏe răng miệng cũng như chất lượng cuộc sống.
Ê buốt, đau nhức kéo dài
Sau khi bọc răng sứ, cảm giác ê buốt trong vài ngày đầu là hiện tượng bình thường vì răng cần thời gian thích nghi. Tuy nhiên, nếu tình trạng đau nhức kéo dài nhiều tuần, mức độ tăng dần hoặc kèm theo nhạy cảm khi ăn uống nóng, lạnh, đây có thể là dấu hiệu mài răng quá nhiều, lộ ngà răng hoặc thậm chí ảnh hưởng đến tủy răng. Nếu không được kiểm tra và xử lý kịp thời, biến chứng này có thể dẫn đến viêm tủy và làm giảm tuổi thọ của răng gốc.

Viêm lợi, viêm nướu và hôi miệng
Một biến chứng thường gặp khác là viêm lợi, viêm nướu kèm hôi miệng. Nguyên nhân chủ yếu là do mão sứ không khít sát với răng thật, khiến thức ăn dễ giắt lại ở kẽ răng và tạo môi trường cho vi khuẩn phát triển. Khi tình trạng này kéo dài, nướu sẽ sưng đỏ, dễ chảy máu khi chải răng và hơi thở có mùi khó chịu. Nếu không điều trị sớm, viêm nướu có thể lan rộng, gây tiêu xương ổ răng và ảnh hưởng đến tuổi thọ của cả răng thật lẫn răng sứ.
Viêm tủy, tổn thương răng gốc
Đây được xem là biến chứng nghiêm trọng nhất khi bọc răng sứ. Viêm tủy xảy ra khi răng bị mài quá sâu, chạm vào buồng tủy hoặc khi các bệnh lý như sâu răng, viêm tủy chưa được xử lý trước khi bọc. Người bệnh thường cảm thấy đau nhức dữ dội, nhất là về đêm hoặc khi ăn uống. Nếu để lâu, tủy răng có thể hoại tử, gây áp xe quanh răng và thậm chí mất răng gốc.

Vỡ, nứt răng sứ, mão sứ bong
Mặc dù răng sứ có độ bền cao, nhưng trong một số trường hợp vẫn có thể bị nứt, vỡ hoặc bong mão. Nguyên nhân thường do lực nhai quá mạnh, thói quen cắn vật cứng, tai nạn va đập hoặc sử dụng răng sứ kém chất lượng. Ngoài ra, nếu kỹ thuật gắn mão sứ không chuẩn, keo dán yếu cũng khiến răng sứ dễ bị bong ra. Biến chứng này không chỉ gây mất thẩm mỹ mà còn ảnh hưởng lớn đến khả năng ăn nhai hàng ngày.
Hở cổ chân răng, giắt thức ăn
Hở cổ chân răng là tình trạng phần mão sứ không ôm sát vào răng thật, để lộ khe hở tại viền nướu. Khi ăn uống, thức ăn rất dễ mắc vào vị trí này, gây cảm giác khó chịu và khó vệ sinh. Lâu dài, khe hở trở thành nơi tích tụ mảng bám, vi khuẩn gây sâu răng, viêm lợi và hôi miệng. Nếu không được khắc phục kịp thời, răng sứ sẽ nhanh chóng bị hỏng và cần thay mới.

Lệch khớp cắn, ăn nhai khó khăn
Khi bọc răng sứ không đúng khớp cắn, hai hàm sẽ không khép lại tự nhiên, khiến việc ăn nhai trở nên khó khăn. Người bệnh có thể cảm thấy mỏi cơ hàm, thức ăn không được nghiền nát đều hoặc thậm chí bị cắn vào niêm mạc má. Nếu tình trạng này kéo dài, lực nhai phân bổ không đều có thể làm mòn răng đối diện, ảnh hưởng khớp thái dương hàm và gây rối loạn khớp cắn.
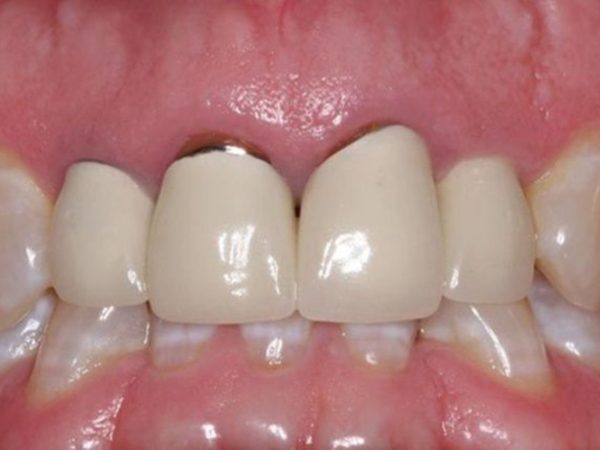
Màu đen viền nướu (với răng sứ kim loại)
Đây là biến chứng đặc trưng của răng sứ kim loại. Sau một thời gian sử dụng, phần kim loại bên trong mão sứ bị oxy hóa, khiến viền nướu chuyển sang màu đen xám. Dù không gây đau nhức hay ảnh hưởng chức năng ăn nhai, tình trạng này làm mất thẩm mỹ nghiêm trọng, đặc biệt ở vùng răng cửa. Giải pháp tối ưu hiện nay là thay thế bằng răng toàn sứ để giữ được vẻ đẹp tự nhiên và hạn chế nguy cơ đổi màu viền nướu.
Nguyên nhân chính gây ra biến chứng
Các biến chứng sau khi bọc răng sứ thường không xuất hiện ngẫu nhiên, mà bắt nguồn từ nhiều nguyên nhân liên quan đến cả kỹ thuật thực hiện lẫn quá trình chăm sóc. Hiểu rõ các yếu tố này sẽ giúp bạn phòng tránh rủi ro và lựa chọn giải pháp an toàn hơn.
Nha khoa, bác sĩ thiếu kinh nghiệm hoặc quy trình không chuẩn
Tay nghề bác sĩ và quy trình thực hiện đóng vai trò quyết định đến sự thành công của ca bọc răng sứ. Nếu bác sĩ thiếu kinh nghiệm, việc chẩn đoán sai, mài răng quá mức hoặc gắn mão không khít sát đều có thể dẫn đến biến chứng. Bên cạnh đó, một số cơ sở nha khoa không tuân thủ quy trình chuẩn y khoa, bỏ qua bước kiểm tra sức khỏe răng miệng trước khi bọc cũng khiến tình trạng răng trở nên nghiêm trọng hơn sau điều trị.

Trang thiết bị kém chất lượng, thiết bị lạc hậu
Bọc răng sứ đòi hỏi sự hỗ trợ của công nghệ và thiết bị hiện đại để đảm bảo độ chính xác trong quá trình chế tác và gắn mão sứ. Nếu nha khoa sử dụng máy móc lạc hậu, kỹ thuật thủ công hoặc phòng điều trị không đạt chuẩn vô trùng, nguy cơ sai sót, nhiễm trùng và biến chứng sau bọc răng là rất cao.
Vật liệu răng sứ kém chất lượng, không rõ nguồn gốc
Chất lượng vật liệu răng sứ ảnh hưởng trực tiếp đến tuổi thọ và độ an toàn của răng sau khi bọc. Nếu sử dụng răng sứ không rõ nguồn gốc, kém chất lượng, mão răng dễ bị nứt, vỡ, đổi màu và thậm chí có thể gây kích ứng nướu. Đây là nguyên nhân phổ biến khiến nhiều người phải thay lại răng sứ chỉ sau một thời gian ngắn.

Mài răng quá mức hoặc kỹ thuật mài sai
Trong bọc răng sứ, bác sĩ cần mài đi một phần mô răng thật để chụp mão sứ bên ngoài. Nếu kỹ thuật mài không chính xác hoặc mài quá nhiều, răng sẽ bị lộ ngà, gây ê buốt kéo dài, thậm chí ảnh hưởng đến tủy răng. Ngược lại, nếu mài không đủ, mão sứ có thể bị cộm, lệch khớp cắn và nhanh chóng hỏng.
Bệnh lý răng miệng chưa điều trị
Nhiều người mắc các bệnh lý như sâu răng, viêm lợi, viêm tủy nhưng vẫn bọc răng sứ ngay mà không được điều trị triệt để. Điều này khiến tình trạng bệnh âm thầm tiến triển bên dưới mão sứ và chỉ được phát hiện khi đã quá nặng. Đây là nguyên nhân dẫn đến nhiều ca biến chứng phức tạp như viêm tủy, áp xe hoặc viêm nha chu.
Vệ sinh răng miệng không đúng cách
Ngay cả khi quá trình bọc răng sứ diễn ra đúng kỹ thuật, thói quen vệ sinh kém cũng có thể gây ra biến chứng. Nếu không chải răng đúng cách, bỏ qua chỉ nha khoa hoặc súc miệng kháng khuẩn, mảng bám sẽ tích tụ quanh răng sứ, dẫn đến viêm lợi, hôi miệng và làm giảm độ bền của mão sứ.
Cách phòng tránh biến chứng khi bọc răng sứ
Dù bọc răng sứ có thể tiềm ẩn nhiều rủi ro, nhưng hoàn toàn có thể phòng tránh nếu bạn lựa chọn đúng địa chỉ nha khoa, áp dụng quy trình chuẩn và chăm sóc răng miệng khoa học. Dưới đây là những lưu ý quan trọng giúp bạn sở hữu nụ cười trắng sáng, khỏe mạnh mà không lo biến chứng.
Lựa chọn nha khoa, bác sĩ uy tín, có chuyên môn cao
Tay nghề bác sĩ và uy tín nha khoa là yếu tố then chốt quyết định sự thành công của ca bọc răng sứ. Bác sĩ giàu kinh nghiệm sẽ đảm bảo quy trình mài răng chuẩn xác, mão sứ được chế tác đúng khớp cắn và hạn chế tối đa xâm lấn mô răng thật. Đồng thời, bác sĩ cần đưa ra chỉ định phù hợp với từng tình trạng răng, ví dụ trường hợp răng mẻ, răng xỉn màu, răng thưa có thể bọc sứ; trong khi răng còn nguyên vẹn, chỉ muốn cải thiện màu sắc thì veneer hoặc tẩy trắng sẽ là lựa chọn an toàn hơn.
Tại Platinum Dental Group, mọi ca phục hình đều được thực hiện bởi đội ngũ bác sĩ chuyên khoa răng sứ thẩm mỹ với quy trình đạt chuẩn quốc tế, đảm bảo đúng tình trạng – đúng phương pháp, giúp khách hàng an tâm về độ an toàn và hiệu quả lâu dài.

Các bác sĩ tại Platinum Dental Group đều có kinh nghiệm lâm sàng dày dặn, từng xử lý thành công hàng nghìn ca phục hình mão sứ, dán sứ veneer. Không chỉ giỏi chuyên môn, đội ngũ bác sĩ còn có khả năng giao tiếp tiếng Anh, tiếng Pháp, giúp quá trình tư vấn và trao đổi với khách hàng quốc tế thuận tiện và rõ ràng hơn.
Một số chuyên gia có nhiều kinh nghiệm và thành tích xuất sắc trong phương pháp phục hình bọc răng sứ tại Platinum Dental Group:
- Bác sĩ CK1 Trần Lan Anh – Chuyên gia phục hình thẩm mỹ, Top 1 Veneer tại Việt Nam, 16 năm kinh nghiệm, tu nghiệp tại Pháp, Canada và Tây Ban Nha.
- Bác sĩ CKI Phùng Lê Phương Dung – Chuyên sâu chỉnh nha và phục hình thẩm mỹ, tu nghiệp Đại học Bordeaux (Pháp), giàu kinh nghiệm lâm sàng.
- Bác sĩ Đặng Mỹ Hằng – Gần 13 năm kinh nghiệm lâm sàng, nổi bật với phong cách điều trị nhẹ nhàng, tận tâm, được bệnh nhân tin tưởng.
Chọn loại răng sứ chất lượng, có nguồn gốc rõ ràng
Răng sứ toàn sứ, Zirconia hay E.max được đánh giá cao về tính thẩm mỹ, độ bền và an toàn sinh học. Ngược lại, việc sử dụng răng sứ kém chất lượng hoặc không rõ nguồn gốc có thể gây nứt vỡ, đổi màu và kích ứng nướu. Platinum Dental Group cam kết chỉ sử dụng vật liệu răng sứ chính hãng, minh bạch nguồn gốc và có chế độ bảo hành rõ ràng, mang lại sự yên tâm tuyệt đối cho khách hàng.

Cân nhắc phương pháp thay thế ít xâm lấn hơn
Không phải trường hợp nào cũng cần bọc răng toàn phần. Với những ai có răng chỉ sứt mẻ hoặc xỉn màu nhẹ, giải pháp dán sứ veneer có thể là lựa chọn tối ưu. Veneer giúp giữ lại tối đa răng thật, ít xâm lấn và vẫn đảm bảo thẩm mỹ cao. Việc được bác sĩ tư vấn đúng giải pháp sẽ giúp bạn tránh được nhiều rủi ro không cần thiết.
Thực hiện quy trình khám và điều trị toàn diện
Trước khi bọc răng sứ, việc thăm khám kỹ lưỡng để phát hiện và điều trị các bệnh lý răng miệng như sâu răng, viêm nướu hay viêm tủy là vô cùng quan trọng. Quy trình toàn diện bao gồm chụp X-quang, lấy dấu răng chính xác và lập kế hoạch điều trị cá nhân hóa. Tại Platinum Dental Group, khách hàng luôn được kiểm tra và xử lý triệt để mọi vấn đề răng miệng trước khi tiến hành bọc sứ, đảm bảo kết quả cuối cùng vừa thẩm mỹ vừa an toàn.

Vệ sinh răng miệng đúng cách sau khi bọc
Sau khi bọc răng sứ, bạn cần duy trì thói quen chăm sóc răng miệng khoa học: chải răng ít nhất 2 lần/ngày bằng bàn chải lông mềm, sử dụng chỉ nha khoa để làm sạch kẽ răng và kết hợp súc miệng kháng khuẩn. Ngoài ra, nên hạn chế thức ăn quá cứng hoặc quá dính để tránh gây áp lực lên răng sứ.
Theo dõi định kỳ và xử lý biến chứng kịp thời
Khám răng định kỳ 6 tháng/lần giúp bác sĩ kịp thời phát hiện những bất thường ở răng sứ như lệch khớp cắn, hở viền nướu hay dấu hiệu viêm nhiễm. Nếu phát hiện sớm, việc xử lý sẽ đơn giản và ít tốn kém hơn nhiều. Platinum Dental Group luôn đồng hành cùng khách hàng trong suốt quá trình chăm sóc và bảo hành răng sứ, đảm bảo nụ cười khỏe đẹp lâu dài.
Bọc răng sứ là giải pháp thẩm mỹ nha khoa mang lại nụ cười trắng sáng và sự tự tin cho nhiều người. Tuy nhiên, nếu thực hiện tại những cơ sở kém uy tín, bạn có thể gặp phải nhiều biến chứng sau khi bọc răng sứ như đau nhức kéo dài, hở viền nướu hay thậm chí mất răng thật. Để đảm bảo an toàn và duy trì hiệu quả lâu dài, bạn cần lựa chọn đúng nha khoa, đúng loại răng sứ và tuân thủ quy trình chăm sóc khoa học sau khi bọc.
Tại Platinum Dental Group, mọi ca bọc răng sứ đều được thực hiện bởi đội ngũ bác sĩ chuyên môn cao, áp dụng công nghệ hiện đại và sử dụng vật liệu chính hãng. Không chỉ chú trọng đến thẩm mỹ, chúng tôi còn cam kết an toàn cho sức khỏe răng miệng, bảo hành minh bạch và đồng hành cùng khách hàng trong suốt quá trình chăm sóc sau điều trị.
Nếu bạn đang băn khoăn không biết bọc răng sứ ở đâu an toàn, bền đẹp và tự nhiên, hãy đến ngay Platinum Dental Group để được tư vấn chi tiết và trải nghiệm dịch vụ nha khoa chuẩn quốc tế.
Xem thêm:
- Giải đáp: làm răng sứ giá bao nhiêu?
- Chi tiết cấy ghép răng Implant giá bao nhiêu?
- Giải đáp cấy ghép Implant là gì?
- Thắc mắc về trồng Implant có đau không?
- Giải thích dán sứ Veneer bao nhiêu tiền?
- Tổng quan làm răng thẩm mỹ

English