Bắc cầu răng sứ: Quy trình, chi phí và hiệu quả thực tế
Trong số các phương pháp phục hồi răng đã mất hiện nay, bắc cầu răng sứ là lựa chọn được nhiều cô chú anh chị quan tâm nhờ thời gian thực hiện nhanh, hiệu quả ăn nhai tốt và chi phí hợp lý. Tuy nhiên, để đạt được kết quả bền vững và an toàn, việc hiểu rõ quy trình, chi phí cũng như chỉ định phù hợp là điều cần thiết. Bài viết dưới đây của Platinum Dental Group sẽ giúp cô chú anh chị có cái nhìn đầy đủ và chính xác về phương pháp bắc cầu răng sứ quy trình thực hiện và hiệu quả thực tế trong phục hồi chức năng răng miệng. Khám phá ngay nhé!
Nội dung bài viết
Bắc cầu răng sứ là gì?
Khái niệm
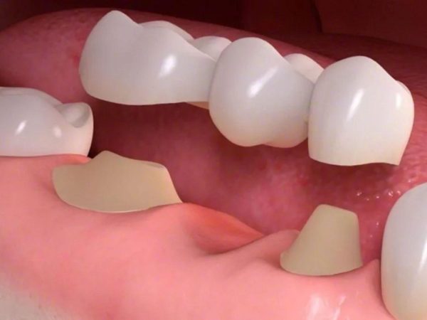
Bắc cầu răng sứ (Dental Bridge) là một kỹ thuật phục hồi răng cố định, được sử dụng để thay thế một hoặc nhiều răng đã mất bằng cách gắn các mão sứ liền nhau thành “cầu”. Cầu này được cố định chắc chắn nhờ hai răng thật ở hai bên khoảng mất răng, gọi là răng trụ.
Khi thực hiện, bác sĩ sẽ mài nhỏ hai răng trụ để tạo điểm tựa, sau đó gắn cầu răng sứ lên trên. Phần răng giả ở giữa giúp lấp đầy khoảng trống, đảm bảo tính thẩm mỹ và khôi phục khả năng ăn nhai gần như răng thật.

Phương pháp này thường được xem là giải pháp trung gian giữa hàm giả tháo lắp và trồng răng Implant, vì vừa mang lại cảm giác tự nhiên hơn hàm tháo lắp, vừa có chi phí thấp hơn so với Implant.
Đối tượng áp dụng
Bắc cầu răng sứ phù hợp với các cô chú anh chị:
- Mất 1 hoặc vài răng liền kề, nhưng răng hai bên vẫn còn khỏe và đủ điều kiện làm trụ.
- Xương hàm và mô nướu ổn định, chưa bị tiêu xương nhiều.
- Không muốn hoặc chưa đủ điều kiện để thực hiện phẫu thuật cấy Implant.
- Mong muốn phục hồi răng nhanh chóng, đảm bảo thẩm mỹ và ăn nhai tốt trong thời gian ngắn.
Phương pháp này thường được chỉ định trong các trường hợp mất răng hàm nhỏ hoặc răng cửa có yêu cầu cao về thẩm mỹ nhưng vẫn cần đảm bảo chức năng nhai.
So sánh sơ bộ với các phương pháp khác
Để giúp cô chú anh chị hiểu rõ hơn, bảng dưới đây thể hiện sự khác biệt giữa bắc cầu răng sứ, trồng răng Implant và hàm giả tháo lắp:
| Tiêu chí | Bắc cầu răng sứ | Trồng răng Implant | Hàm giả tháo lắp |
| Độ bền trung bình | 7 – 10 năm | 20 năm trở lên | 3 – 5 năm |
| Độ thẩm mỹ | Cao, gần giống răng thật | Rất cao, tự nhiên như răng thật | Trung bình |
| Tác động lên răng thật | Phải mài 2 răng trụ | Không ảnh hưởng răng kế cận | Không ảnh hưởng |
| Khả năng ngăn tiêu xương | Không | Có, nhờ trụ Titanium thay thế chân răng | Không |
| Cảm giác ăn nhai | Tốt | Tốt nhất | Thấp |
| Chi phí thực hiện | Trung bình | Cao hơn | Thấp nhất |
| Thời gian điều trị | 2 – 3 buổi hẹn | 2 – 6 tháng (tùy tích hợp xương) | 1 – 2 buổi hẹn |
Nhìn chung, bắc cầu răng sứ là lựa chọn phù hợp cho những cô chú anh chị mong muốn phục hồi răng nhanh chóng, chi phí hợp lý, nhưng vẫn đảm bảo thẩm mỹ và chức năng ăn nhai tương đối tốt. Tuy nhiên, nếu cô chú anh chị mong muốn duy trì kết quả lâu dài và bảo tồn răng thật, trồng răng Implant sẽ là phương án tối ưu hơn.

Khi nào nên và không nên thực hiện bắc cầu răng sứ?
Không phải mọi trường hợp mất răng đều có thể thực hiện bắc cầu răng sứ. Để đảm bảo an toàn và đạt hiệu quả phục hồi tối ưu, bác sĩ sẽ cần đánh giá kỹ tình trạng răng trụ, xương hàm và mô nướu trước khi chỉ định phương pháp này.
Trường hợp nên làm
Bắc cầu răng sứ được xem là giải pháp phù hợp với những cô chú anh chị có mất răng mức độ nhẹ đến trung bình, cụ thể:
- Mất 1 hoặc vài răng liền kề, nhưng hai răng kế cận vẫn còn chắc khỏe, không sâu, không viêm tủy.
- Xương hàm vùng mất răng còn tốt, chưa bị tiêu hoặc sụp nướu đáng kể.
- Mô nướu ổn định, không viêm sưng, không có bệnh lý nha chu tiến triển.
- Cô chú anh chị mong muốn phục hồi nhanh, không phẫu thuật, và chi phí hợp lý hơn so với Implant.
- Trường hợp cần phục hồi tạm thời trước khi có điều kiện thực hiện trồng răng Implant lâu dài
Tuy nhiên, các bác sĩ khuyến khích cô chú nên lựa chọn giải pháp tối ưu hơn như trồng răng Implant để phục hồi răng mất lâu bền, không ảnh hưởng đến mô răng thật của các răng kế cận.

Trường hợp chống chỉ định hoặc cần cân nhắc
Một số tình huống sau không nên hoặc cần thận trọng khi thực hiện bắc cầu răng sứ:
- Răng trụ yếu hoặc bị tổn thương: sâu lớn, viêm tủy, viêm nha chu, lung lay, hoặc đã điều trị tủy nhiều lần. Việc mài thêm răng trụ có thể khiến răng yếu hơn, giảm độ bền của cầu.
- Mất nhiều răng liên tiếp (từ 3 răng trở lên), đặc biệt ở vùng chịu lực nhai lớn. Khi đó, răng trụ không đủ khả năng nâng đỡ toàn bộ cầu răng.
- Xương hàm tiêu nhiều hoặc nướu tụt sâu: không đủ nền vững chắc để gắn cầu, dễ gây hở nướu, viêm lợi và kém thẩm mỹ.
- Bệnh lý nha chu, tiểu đường, hoặc viêm nướu chưa điều trị ổn định: tăng nguy cơ viêm nhiễm, ảnh hưởng đến tuổi thọ cầu răng.
- Thói quen nghiến răng, nhai lệch hoặc ăn nhai quá mạnh: có thể làm nứt gãy răng trụ hoặc cầu sứ theo thời gian.

Tại Platinum Dental Group, đội ngũ bác sĩ luôn đặt yếu tố an toàn và tính bền vững lâu dài của răng miệng lên hàng đầu khi tư vấn phương án phục hồi răng đã mất. Đối với kỹ thuật bắc cầu răng sứ, mặc dù có thể giúp khôi phục thẩm mỹ và chức năng ăn nhai trong thời gian ngắn, nhưng phương pháp này vẫn tồn tại một số hạn chế như phải mài răng thật, không ngăn được tiêu xương và tuổi thọ chỉ ở mức trung bình. Vì vậy, với những cô chú anh chị mong muốn phục hồi bền chắc, bảo tồn răng tự nhiên và ngăn ngừa tiêu xương hàm, bác sĩ thường khuyến nghị trồng răng Implant như một giải pháp tối ưu hơn.
Trước khi đưa ra chỉ định cuối cùng, bác sĩ tại Platinum sẽ tiến hành khám tổng quát, chụp X-quang hoặc CT Cone Beam 3D, đánh giá kỹ tình trạng răng trụ, nướu và xương hàm. Từ đó, cô chú anh chị sẽ được tư vấn cá nhân hóa lộ trình điều trị phù hợp nhất, đảm bảo hiệu quả, thẩm mỹ và sức khỏe răng miệng lâu dài.
Quy trình thực hiện bắc cầu răng sứ
Để đảm bảo tính thẩm mỹ, độ bền và an toàn cho răng thật, quy trình bắc cầu răng sứ cần được thực hiện cẩn trọng dưới sự giám sát của bác sĩ chuyên khoa. Tại Platinum Dental Group, toàn bộ các bước đều được tiến hành theo quy trình tiêu chuẩn quốc tế, giúp cô chú anh chị hiểu rõ và an tâm trong suốt quá trình điều trị.
Kiểm tra sức khỏe răng miệng, chụp X-quang, đánh giá răng trụ và xương hàm
Trước tiên, bác sĩ sẽ tiến hành kiểm tra toàn bộ tình trạng răng miệng: răng trụ, nướu, khớp cắn và xương hàm. Hình ảnh X-quang hoặc CT Cone Beam 3D được sử dụng để đánh giá độ chắc khỏe của răng trụ, phát hiện các vấn đề tiềm ẩn như sâu, viêm tủy hoặc tiêu xương.

Dựa trên kết quả này, bác sĩ sẽ tư vấn liệu răng trụ có đủ điều kiện để thực hiện cầu sứ hay nên chuyển hướng sang phương pháp khác phù hợp hơn, chẳng hạn như trồng răng Implant.
Mài 2 răng kế cạnh răng mất để làm trụ, lấy dấu hàm
Sau khi đã xác định đủ điều kiện thực hiện, bác sĩ sẽ mài hai răng kế bên khoảng mất răng để tạo hình làm trụ đỡ. Quá trình mài được thực hiện bằng thiết bị chuyên dụng, dưới sự kiểm soát chặt chẽ nhằm hạn chế tối đa việc xâm lấn mô răng thật.
Tiếp đó, bác sĩ tiến hành lấy dấu răng bằng công nghệ scan kỹ thuật số giúp ghi nhận chính xác hình dạng, kích thước và khớp cắn, tạo tiền đề cho việc chế tác cầu sứ vừa vặn, tự nhiên.
Lắp mão tạm, chế tác mão sứ
Trong thời gian chờ labo chế tác răng sứ, cô chú anh chị sẽ được lắp răng tạm bằng nhựa nha khoa để bảo vệ răng trụ, duy trì thẩm mỹ và chức năng ăn nhai cơ bản. Phần mão sứ thật được chế tác dựa trên dữ liệu kỹ thuật số, giúp đảm bảo độ khít sát, màu sắc và hình dáng tương đồng với răng thật của cô chú anh chị.

Gắn cầu răng sứ cố định
Khi cầu sứ hoàn thiện, bác sĩ sẽ kiểm tra độ khít, màu sắc và sự cân bằng khớp cắn trước khi gắn cố định bằng xi măng nha khoa chuyên dụng. Quá trình này đòi hỏi độ chính xác cao để đảm bảo cô chú anh chị có thể ăn nhai thoải mái, không cộm cấn và đạt thẩm mỹ tối đa.
Sau khi hoàn tất, bác sĩ hướng dẫn cô chú anh chị cách vệ sinh, chăm sóc và chế độ ăn phù hợp trong những ngày đầu.
Hướng dẫn chăm sóc sau khi gắn
Sau khi phục hồi, cô chú anh chị cần chú trọng vệ sinh răng miệng để tránh tích tụ mảng bám quanh cầu sứ gây viêm nướu hoặc hôi miệng. Bác sĩ tại Platinum Dental Group thường khuyến nghị:
- Chải răng nhẹ nhàng bằng bàn chải lông mềm, sử dụng chỉ nha khoa và bàn chải kẽ để làm sạch dưới cầu.
- Hạn chế ăn thực phẩm quá cứng hoặc dẻo trong 48 giờ đầu.
- Tái khám định kỳ để kiểm tra độ bền cầu và sức khỏe răng trụ.
Bắc cầu răng sứ có tốt không?
Bắc cầu răng sứ là một trong những phương pháp phục hồi răng đã mất truyền thống, mang lại hiệu quả nhất định về thẩm mỹ và khả năng ăn nhai. Tuy nhiên, bắc cầu răng sứ có tốt không còn phụ thuộc vào nhiều yếu tố như: tình trạng răng thật, tay nghề bác sĩ, vật liệu sử dụng và chế độ chăm sóc sau khi phục hồi
Ưu điểm
- Khôi phục thẩm mỹ nhanh: Cô chú anh chị có thể sở hữu lại nụ cười tự tin chỉ sau vài buổi điều trị.
- Cải thiện khả năng ăn nhai: Khi răng bị mất được thay thế, chức năng nhai cơ bản được phục hồi.
- Chi phí hợp lý: So với một số kỹ thuật tiên tiến khác, chi phí bắc cầu răng sứ thấp hơn, phù hợp với những trường hợp cần phục hồi tạm thời.
- Thời gian thực hiện ngắn: Quá trình thực hiện thường chỉ kéo dài 2-3 buổi hẹn, không cần phẫu thuật.

Nhược điểm
- Phải mài răng thật: Hai răng kế cận cần được mài nhỏ để làm trụ cho cầu sứ. Việc này có thể ảnh hưởng đến cấu trúc và độ bền của răng tự nhiên.
- Không ngăn được tiêu xương hàm: Do không có chân răng nhân tạo thay thế, xương hàm ở vị trí mất răng vẫn có xu hướng tiêu dần theo thời gian.
- Tuổi thọ không lơn: Trung bình từ 5-10 năm, sau đó cầu răng có thể cần thay mới do sứt mẻ, hở viền hoặc lỏng trụ.
- Khó vệ sinh: Khoảng trống giữa nướu và cầu răng dễ tích tụ mảng bám, nếu không được vệ sinh đúng cách có thể gây viêm nướu hoặc hôi miệng.
Theo các bác sĩ tại Platinum Dental Group, bắc cầu răng sứ vẫn là phương án phục hồi phù hợp trong một số trường hợp nhất định, đặc biệt khi cô chú anh chị không đủ điều kiện để cấy ghép Implant. Tuy nhiên, về lâu dài, phương pháp này khó bảo tồn răng thật và xương hàm, do đó bác sĩ thường khuyến nghị cân nhắc kỹ giữa yếu tố chi phí – hiệu quả – độ bền trước khi lựa chọn.
Với định hướng điều trị hiện đại, Platinum Dental Group luôn ưu tiên giải pháp phục hồi răng đã mất toàn diện, giúp cô chú anh chị không chỉ khôi phục thẩm mỹ mà còn duy trì sức khỏe răng miệng lâu dài.
Chi phí bắc cầu răng sứ
Tại Platinum Dental Group, chi phí bắc cầu răng sứ thường dao động từ 8.000.000 – 15.000.000 VNĐ/mão sứ, tùy loại vật liệu và yêu cầu thẩm mỹ. Với cầu răng từ 3 đơn vị trở lên, cô chú anh chị sẽ được bác sĩ thăm khám, chụp phim và tư vấn chi tiết kế hoạch điều trị trước khi xác định chi phí chính xác.
| Dịch vụ | Giá dịch vụ | Bảo hành |
| Răng sứ Cercon Zirconia HT (Đức) | 8.000.000/ Răng | 7 năm |
| Răng sứ Lava 3M (Mỹ) | 12.000.000/ Răng | 10 năm |
| Răng sứ Zolic (Thụy Sỹ) | 15.000.000/ Răng | 12 năm |
| Tháo mão cầu răng | 300.000/ Răng | Không bảo hành |
| Chốt / Cùi giả Zirconia | 3.000.000/ Răng | Không bảo hành |
| Chốt sợi thủy tinh | 1.500.000/ Răng | Không bảo hành |
Các yếu tố ảnh hưởng đến chi phí bắc cầu răng sứ có thể kể đến như sau:
- Số lượng răng cần làm cầu: Cầu răng sứ gồm ít nhất 3 đơn vị (2 răng trụ và 1 răng thay thế). Nếu mất nhiều răng liên tiếp, số lượng mão sứ sẽ tăng, kéo theo chi phí cao hơn.
- Loại vật liệu sứ: Sứ kim loại, sứ titan hay toàn sứ có giá thành khác nhau. Trong đó, răng toàn sứ thường được khuyến khích vì tính thẩm mỹ cao, an toàn và độ bền tốt hơn.
- Tình trạng răng trụ: Nếu răng trụ bị sâu, viêm tủy hoặc yếu, bác sĩ cần điều trị trước khi tiến hành phục hồi, làm tăng thêm chi phí.
- Kỹ thuật và thiết bị hỗ trợ: Cầu răng sứ được thực hiện trên hệ thống máy quét dấu răng và labo hiện đại sẽ mang lại độ chính xác cao, song chi phí cũng có thể cao hơn so với phương pháp truyền thống.
Những điều cần lưu ý sau khi bắc cầu răng sứ
Sau khi hoàn thành phục hồi bằng cầu răng sứ, việc chăm sóc và duy trì đúng cách đóng vai trò rất quan trọng để đảm bảo độ bền, tính thẩm mỹ và sức khỏe răng miệng lâu dài. Dưới đây là những lưu ý bác sĩ tại Platinum Dental Group thường nhấn mạnh tới cô chú anh chị.
Vệ sinh và chăm sóc sức khỏe răng miệng hàng ngày
Cầu răng sứ tuy được gắn cố định nhưng vẫn cần vệ sinh kỹ lưỡng như răng thật để tránh tích tụ mảng bám, gây viêm lợi hoặc hôi miệng.
- Đánh răng ít nhất 2 lần/ngày bằng bàn chải lông mềm và kem đánh răng chứa fluoride.
- Sử dụng chỉ nha khoa, tăm nước hoặc bàn chải kẽ để làm sạch vùng dưới nhịp cầu, nơi dễ đọng thức ăn nhất.
- Hạn chế dùng răng sứ để cắn vật cứng như đá, xương, kẹo cứng hoặc mở nắp chai để tránh sứt mẻ răng.
- Súc miệng bằng dung dịch sát khuẩn nhẹ sau mỗi bữa ăn giúp giảm vi khuẩn và giữ nướu khỏe mạnh.

Kiểm tra định kỳ nha khoa
Sau khi bắc cầu răng sứ, cô chú anh chị nên tái khám định kỳ 6 tháng/lần hoặc theo lịch hẹn của bác sĩ. Việc kiểm tra định kỳ giúp:
- Đánh giá độ khít sát của cầu răng và tình trạng nướu xung quanh.
- Phát hiện sớm các vấn đề như viêm lợi, sâu răng trụ hoặc hở viền nướu.
- Vệ sinh chuyên sâu bằng dụng cụ nha khoa, giúp duy trì độ bền và thẩm mỹ cho răng sứ.
Tại Platinum Dental Group, quy trình tái khám được thực hiện nhanh gọn, kết hợp kiểm tra X-quang (nếu cần) để đảm bảo răng phục hồi vẫn hoạt động tốt và không có biến chứng tiềm ẩn.
Dấu hiệu cần lưu ý và xử lý sớm
Trong quá trình sử dụng, nếu cô chú anh chị nhận thấy các biểu hiện sau, cần liên hệ ngay với bác sĩ:
- Cầu răng bị lỏng, ê buốt hoặc đau khi nhai.
- Nướu quanh răng sứ sưng đỏ, chảy máu hoặc có mùi hôi kéo dài.
- Xuất hiện cảm giác cấn khớp cắn hoặc lệch khi ăn nhai.
Việc thăm khám sớm giúp bác sĩ kịp thời xử lý, tránh ảnh hưởng đến răng trụ hoặc cấu trúc nướu xung quanh.

Các câu hỏi thường gặp
Bắc cầu răng sứ có bền không?
Tuổi thọ trung bình của cầu răng sứ thường kéo dài từ 5 – 10 năm, tùy theo chất liệu sứ, tình trạng răng trụ và cách chăm sóc răng miệng của cô chú anh chị. Nếu được thực hiện đúng kỹ thuật và vệ sinh tốt, cầu răng có thể sử dụng ổn định trong thời gian dài. Tuy nhiên, theo thời gian, răng trụ có thể yếu dần hoặc nướu tụt, dẫn đến cần thay mới phục hồi.
Bắc cầu răng sứ có an toàn không?
Phương pháp này an toàn khi được thực hiện bởi bác sĩ có kinh nghiệm và tuân thủ đúng quy trình vô khuẩn. Tuy nhiên, việc mài răng thật để làm trụ là bước xâm lấn, nên cần được thăm khám kỹ để đánh giá răng trụ có đủ khỏe hay không. Cô chú anh chị nên thực hiện tại cơ sở nha khoa uy tín như Platinum Dental Group để đảm bảo an toàn và độ chính xác cao trong từng thao tác.
Bắc cầu răng sứ có gây hôi miệng không?
Nếu cầu răng được lắp chuẩn khít và cô chú anh chị vệ sinh răng miệng đúng cách, thì sẽ không gây hôi miệng. Tuy nhiên, nếu vệ sinh chưa kỹ, thức ăn tích tụ dưới nhịp cầu dễ tạo môi trường cho vi khuẩn phát triển, gây mùi và viêm lợi. Do đó, việc sử dụng chỉ nha khoa, bàn chải kẽ và nước súc miệng diệt khuẩn là rất cần thiết để duy trì hơi thở thơm mát và nướu khỏe mạnh.
Bắc cầu răng sứ có bị tiêu xương không?
Có. Vì cầu răng sứ không thay thế được chân răng thật, nên sau một thời gian, xương hàm tại vị trí mất răng sẽ dần tiêu biến. Điều này có thể ảnh hưởng đến thẩm mỹ khuôn mặt và độ ổn định của cầu răng. Nếu cô chú anh chị mong muốn ngăn ngừa tiêu xương và duy trì cấu trúc hàm ổn định, bác sĩ thường khuyến nghị lựa chọn trồng răng Implant giúp thay thế toàn bộ chân răng và thân răng.
Nên bắc cầu răng sứ hay trồng răng implant?
Cả hai phương pháp đều có ưu điểm riêng, tùy theo tình trạng răng miệng và điều kiện sức khỏe của mỗi cô chú anh chị.
- Bắc cầu răng sứ phù hợp khi răng trụ còn khỏe, cần phục hồi nhanh với chi phí thấp hơn.
- Trồng răng Implant là giải pháp tiên tiến hơn, giúp khôi phục cả chân răng và thân răng, duy trì cấu trúc xương hàm, ăn nhai chắc chắn và thẩm mỹ lâu dài.
Bắc cầu răng sứ là giải pháp phục hồi nhanh, giúp khôi phục thẩm mỹ và chức năng ăn nhai trong thời gian ngắn. Tuy nhiên, phương pháp này vẫn có hạn chế về tuổi thọ và không ngăn được tiêu xương hàm. Để đảm bảo hiệu quả lâu dài và bảo tồn răng thật, cô chú anh chị nên được tư vấn kỹ lưỡng về các lựa chọn phục hồi.
Tại Platinum Dental Group, đội ngũ bác sĩ chuyên khoa sẽ thăm khám, đánh giá tình trạng răng miệng và tư vấn lộ trình phục hồi cá nhân hóa, giúp cô chú anh chị lựa chọn phương án an toàn, thẩm mỹ và bền vững nhất. Đặt lịch khám và tư vấn miễn phí ngay hôm nay để nhận đánh giá chính xác và giải pháp phục hồi răng đã mất phù hợp nhất.
PLATINUM DENTAL GROUP
Platinum Dental Central:
- Địa chỉ: 127 Nguyễn Cư Trinh, Phường Cầu Ông Lãnh, TP. HCM
- Hotline: 0967 797 799
Platinum Dental Thảo Điền:
- Địa chỉ: 1H Đường số 10, Phường An Khánh, TP. HCM
- Hotline: 096 71 78 799
Email: info@platinumdentalvietnam.com
Website: https://platinumdentalvietnam.com/
Instagram: https://www.instagram.com/platinumdental.vietnam/
Facebook: facebook.com/platinumdentalvn
Xem thêm:
- Lưu ý khi bọc răng sứ giá rẻ
- Cập nhật bảng giá trồng răng Implant trọn gói
- Tổng quan trồng răng bằng cấy ghép Implant?
- Thắc mắc: làm Implant có đau không?
- Bọc răng sứ Veneer giá bao nhiêu?
- Tổng quan làm răng thẩm mỹ

English