
TRÁM RĂNG THẨM MỸ
Trám khéo, cười duyên
Chuẩn đẹp tự nhiên
Bạn có đang ngại cười vì một chiếc răng sứt nhẹ, một vết sâu nhỏ hay khe hở giữa hai răng cửa? Những khuyết điểm tưởng như rất nhỏ ấy lại đủ sức làm nụ cười mất đi vẻ tự nhiên và cuốn hút, để rồi dần dần, khiến bạn trở nên dè dặt, thiếu tự tin trong từng cuộc trò chuyện.
Trám răng thẩm mỹ ra đời để giải quyết chính những nỗi lo đó. Đây là kỹ thuật phục hình hiện đại, sử dụng vật liệu có màu sắc tương đồng với răng thật để “vá” lại những khuyết điểm nhỏ như sâu răng, sứt mẻ, mòn cổ răng hoặc răng thưa. Kết quả mang lại không chỉ là hàm răng đều đẹp hơn, mà còn là cảm giác tự tin khi ăn nói, giao tiếp, và… cười thật tươi.
Đối với những trường hợp răng bị mất mô lớn nhưng chưa cần bọc mão sứ, ngày nay, nha khoa còn có giải pháp Inlay hoặc Onlay – miếng phục hình được thiết kế riêng, ôm sát vào răng để tái tạo lại mặt nhai. Inlay hoặc Onlay là lựa chọn lý tưởng cho những ai cần phục hồi răng hàm ăn nhai mạnh, muốn một giải pháp tinh tế, không xâm lấn, nhưng vẫn đảm bảo thẩm mỹ và độ bền lâu dài.
Bạn không cần phải chờ đến khi răng đau nhức mới đi trám. Trám răng thẩm mỹ là giải pháp nhẹ nhàng, nhanh chóng giúp bạn xử lý các vấn đề nhỏ trước khi chúng trở nên nghiêm trọng hơn. Dưới đây là những trường hợp phổ biến mà bạn nên cân nhắc:
Răng sâu nhẹ, chưa đau nhưng cần xử lý sớm
Nếu răng có dấu hiệu sâu nhỏ như đốm đen li ti, vết lõm nhẹ hoặc hơi ê buốt khi ăn ngọt, lạnh. Bác sĩ sẽ làm sạch vùng tổn thương và trám lại bằng vật liệu tiệp màu, ngăn sâu lan rộng và giữ răng chắc khỏe lâu dài.
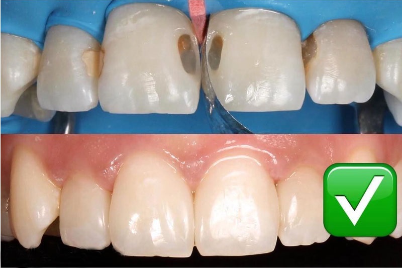
Răng bị sứt mẻ do va chạm hoặc cắn nhầm vật cứng
Một chiếc răng cửa bị mẻ, dù chỉ một góc nhỏ, cũng có thể khiến bạn mất tự tin khi cười. Trám răng giúp phục hồi lại hình dáng ban đầu một cách nhanh chóng và thẩm mỹ.
Kẽ răng thưa nhẹ, cổ răng bị mòn, gây ê buốt hoặc kém thẩm mỹ
Những khe hở giữa răng, răng bị mòn cổ do chải răng sai cách, hay tụt nướu khiến bạn ê buốt và ngại cười? Trám răng là giải pháp đơn giản để lấp đầy khoảng trống, che khuyết điểm và bảo vệ răng khỏi kích thích từ thức ăn, đồ uống.
Vết trám cũ đã xuống màu, bong tróc hoặc kém thẩm mỹ
Trám răng sau vài năm có thể bị ngả màu, sứt mẻ hoặc không còn khít. Khi đó, việc thay mới không chỉ giúp cải thiện thẩm mỹ mà còn bảo vệ răng khỏi sâu tái phát.
Răng hàm bị sâu lớn hoặc mất mô nhiều, cần phục hình chắc chắn hơnTrong trường hợp răng bị sâu rộng hoặc gãy lớn, trám thông thường có thể không đủ bền. Khi đó, bác sĩ sẽ chỉ định Inlay hoặc Onlay – miếng trám sứ chế tác riêng theo hình dáng răng thật, vừa bền chắc, vừa thẩm mỹ, đặc biệt phù hợp với răng hàm cần chịu lực nhai lớn.
Với trám trực tiếp (Composite), Thời gian: Khoảng 15 – 30 phút/răng với các bước như sau:
Bước 1
Khám và tư vấn vật liệu phù hợp
Bước 2
Làm sạch răng, tạo hình xoang trám
Bước 3
Trám vật liệu theo từng lớp, chiếu đèn định hình
Bước 4
Chỉnh khớp cắn, đánh bóng
Với trám gián tiếp (Inlay/Onlay), Thời gian: 2 buổi hẹn, mỗi buổi 30 – 45 phút với các bước như sau:
Bước 1
Lấy dấu răng hoặc scan 3D
Bước 2
Gửi labo chế tác phục hình
Bước 3
Gắn phục hình và hoàn thiện
Thông thường, nếu được thực hiện đúng kỹ thuật và chỉ định, quy trình trám răng thẩm mỹ sẽ không gây đau hay khó chịu cho người điều trị. Tuy nhiên, nếu sau khi trám răng bạn cảm thấy ê buốt hoặc đau nhức, có thể nguyên nhân đến từ việc khớp cắn chưa được điều chỉnh chuẩn xác, khiến răng trên và răng dưới va chạm không đồng đều.
Hiện tượng này được gọi là tình trạng cộm khớp cắn. Khi gặp phải vấn đề này, bạn nên quay lại nha khoa để bác sĩ kiểm tra và điều chỉnh lại miếng trám nhằm đảm bảo sự cân bằng khi ăn nhai.
Là một trong những gương mặt trẻ đầy triển vọng tại Platinum Dental, bác sĩ Bùi Quốc Duy hiện đảm nhiệm chuyên sâu về nha khoa tổng quát, phục hình và chăm sóc răng miệng trẻ em. Với tinh thần cầu tiến, sự kiên nhẫn và thấu cảm trong từng tương tác, bác sĩ luôn tạo cảm giác tin cậy và thoải mái cho mọi khách hàng.Tại Platinum Dental, bác sĩ Quốc Duy trực tiếp thực hiện:
Với phong cách điều trị kỹ lưỡng, thân thiện và hiệu quả, bác sĩ Bùi Quốc Duy luôn nỗ lực để mỗi khách hàng – từ em bé đến người lớn tuổi, đều cảm thấy yên tâm và hài lòng khi đến với Platinum. Với anh, làm nha khoa không chỉ là chữa lành răng miệng, mà còn là hành trình chăm sóc nụ cười bằng sự tận tâm và trách nhiệm.
Tại Platinum Dental, chi phí trám răng được tính rõ ràng theo vị trí răng, loại vật liệu và mức độ phục hình. Chúng tôi cam kết mang đến dịch vụ chất lượng cao với chi phí hợp lý và minh bạch.
BẢNG GIÁ TRÁM RĂNG THẨM MỸ | ||
Dịch vụ | Chi phí (VNĐ/răng) | Ghi chú |
Trám GIC xoang 1 | 400.000 | Trám bằng vật liệu GIC cho xoang nhỏ, ngừa sâu tái phát tốt |
Trám GIC xoang 2 | 500.000 | Phục hình sâu xoang vừa bằng GIC, phù hợp cho trẻ em, người ăn nhai nhẹ |
Trám Composite xoang 1 | 500.000 | Trám thẩm mỹ bằng composite, tiệp màu răng, áp dụng cho xoang nhỏ |
Trám Composite xoang 2/3/5 | 700.000 | Trám cho vùng tổn thương rộng hơn, dùng vật liệu thẩm mỹ cao |
Trám Composite xoang 4 | 1.000.000 | Dành cho xoang lớn, yêu cầu tạo hình nhiều hơn |
Trám đắp mặt Composite | 2.000.000 | Phục hình mặt ngoài răng cửa, cải thiện thẩm mỹ nụ cười |
Trám bít hố rãnh | 500.000 | Ngừa sâu răng ở trẻ em hoặc người có hố rãnh sâu |
Trám răng Inlay/Onlay Zirconia/Cerec | 6.000.000 | Trám gián tiếp cao cấp, độ chính xác và bền chắc vượt trội |
Bôi thuốc chống ê | 200.000 – 250.000 | Giảm ê buốt răng, thường kết hợp sau khi trám hoặc làm sạch răng |
PHỤC HỒI RĂNG CHO TRẺ EM & ĐIỀU TRỊ LIÊN QUAN | ||
Dịch vụ | Chi phí (VNĐ/răng) | Ghi chú |
Mão SSC cho răng sau (răng sữa) | 1.500.000 | Phục hình răng hàm sữa bị mòn, sâu lớn |
Mão SSC cho răng trước (răng sữa) | 2.000.000 | Giữ thẩm mỹ và chức năng cho răng cửa sữa bị hư tổn |
Điều trị đốm trắng độ 1 – 4 | (Liên hệ) | Xử lý tổn thương men răng theo từng cấp độ, tùy tình trạng cụ thể |
Bôi gel fluoride | 500.000/lần | Tăng cường men răng, phòng ngừa sâu răng |
Lưu ý quan trọng:
Để vết trám đạt hiệu quả cao cả về thẩm mỹ lẫn độ bền, bạn nên lưu ý một số điều sau:
Sau khi trám, nhất là với composite hoặc Inlay/Onlay mới gắn, bạn nên tránh nhai đồ cứng, dai hoặc quá nóng/lạnh ở vùng răng vừa điều trị để vật liệu ổn định tốt hơn.
Đánh răng nhẹ nhàng bằng bàn chải lông mềm, dùng chỉ nha khoa thay vì xỉa tăm, và không quên súc miệng bằng nước muối hoặc dung dịch chuyên dụng để bảo vệ vùng trám khỏi vi khuẩn tích tụ.
Tránh dùng quá nhiều cà phê, trà đậm, nước ngọt có màu hoặc hút thuốc lá – những tác nhân có thể làm vùng trám bị xỉn màu theo thời gian, đặc biệt là với trám thẩm mỹ vùng răng trước.
Dù không có cảm giác khó chịu, bạn vẫn nên kiểm tra định kỳ 6 tháng/lần để bác sĩ theo dõi độ bền của vật liệu trám, điều chỉnh nếu cần và kịp thời phát hiện các vấn đề tiềm ẩn.
Nếu sau khi trám, bạn thấy đau kéo dài, răng cộm khó chịu, ê buốt bất thường hoặc miếng trám bong rơi, hãy quay lại phòng khám để được xử lý kịp thời, tránh ảnh hưởng đến tủy hoặc mô răng thật.
Tuổi thọ của vết trám phụ thuộc vào loại vật liệu, vị trí răng và thói quen chăm sóc. Với vật liệu composite cao cấp, trám răng có thể bền từ 3 – 7 năm. Riêng Inlay/Onlay có thể sử dụng từ 10 – 15 năm hoặc hơn nếu được chăm sóc tốt và tái khám định kỳ.
Hầu hết khách hàng không cảm thấy đau khi trám răng. Một số người có thể hơi ê buốt nhẹ trong 1 – 2 ngày đầu, đặc biệt khi ăn đồ lạnh hoặc nóng, nhưng cảm giác này sẽ nhanh chóng hết. Nếu ê buốt kéo dài, nên đến nha khoa kiểm tra lại.
Trám trực tiếp bằng composite phù hợp với răng tổn thương nhẹ đến vừa. Nếu răng mất mô lớn, răng hàm chịu lực nhiều hoặc cần độ bền cao, bác sĩ sẽ chỉ định Inlay/Onlay – giải pháp chắc chắn và thẩm mỹ hơn, nhưng ít xâm lấn hơn so với bọc mão sứ.
Trong 24 giờ đầu, bạn nên tránh đồ quá cứng, quá nóng hoặc quá lạnh. Sau đó có thể ăn uống bình thường, nhưng nên hạn chế thực phẩm đậm màu (cà phê, trà, nước ngọt có ga) để duy trì độ sáng và thẩm mỹ của vết trám.
Thông thường, nếu được thực hiện đúng kỹ thuật và chỉ định, quy trình trám răng thẩm mỹ sẽ không gây đau hay khó chịu cho người điều trị. Tuy nhiên, nếu sau khi trám răng bạn cảm thấy ê buốt hoặc đau nhức, có thể nguyên nhân đến từ việc khớp cắn chưa được điều chỉnh chuẩn xác, khiến răng trên và răng dưới va chạm không đồng đều.
Hiện tượng này được gọi là tình trạng cộm khớp cắn. Khi gặp phải vấn đề này, bạn nên quay lại nha khoa để bác sĩ kiểm tra và điều chỉnh lại miếng trám nhằm đảm bảo sự cân bằng khi ăn nhai.