Kiến Thức Nha Khoa Tổng Quát
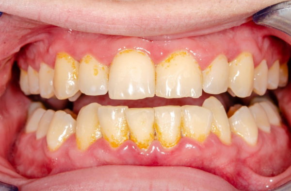
Trang tin cập nhật kiến thức nha khoa toàn diện từ chăm sóc răng miệng hằng ngày, phòng ngừa bệnh lý đến cập nhật công nghệ điều trị hiện đại. Tất cả nội dung đều được biên soạn và chọn lọc từ đội ngũ bác sĩ giàu kinh nghiệm tại Platinum Dental.

English