Nụ cười tươi tràn đầy tự tin của cô Annett đến từ Úc
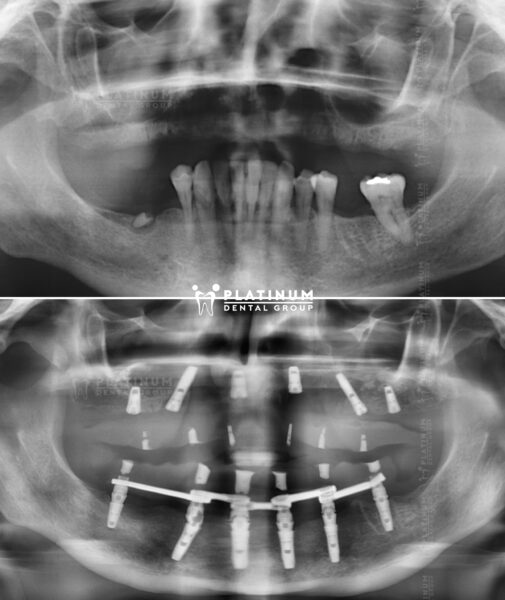
Cô Annett không tưởng tượng được hàm răng đầy đặn và thoả sức cười tươi như thế này sau khi cắm implant tại nha khoa Platinum. Một sự thay đổi đáng kinh ngạc!!!
Cô Annett không tưởng tượng được hàm răng đầy đặn và thoả sức cười tươi như thế này sau khi cắm implant tại nha khoa Platinum. Một sự thay đổi đáng kinh ngạc!!!






English