Veneer chuẩn khớp cắn bí quyết để nụ cười đẹp bền, không lo mẻ vỡ
Nhiều khách hàng nghĩ Veneer chỉ cần che màu và “làm răng dài lại” là đủ, nhưng với các trường hợp răng mòn nặng, điều quyết định sự bền chắc và thoải mái sau phục hình lại nằm ở một yếu tố cốt lõi: khớp cắn.
Đây là câu chuyện của chị Như Tâm một ca điều trị giúp bạn hiểu vì sao Veneer muốn đẹp lâu dài thì phải được thiết kế đúng khớp cắn, để vừa thẩm mỹ vừa ăn nhai ổn định và hạn chế tối đa nguy cơ mẻ vỡ theo thời gian.
Vấn đề chị Tâm gặp phải
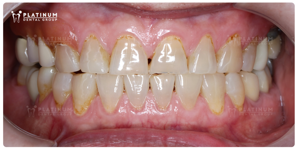
Khi đến Platinum Dental, chị Tâm có tình trạng mòn mặt cắn toàn bộ hai hàm khiến răng trông ngắn, tỷ lệ nụ cười thay đổi và cảm giác ăn nhai không còn như trước. Bên cạnh đó, răng xỉn màu làm nụ cười thiếu sức sống. Chị mong muốn thực hiện dán sứ Veneer theo hướng xâm lấn tối thiểu để cải thiện thẩm mỹ.

Tuy nhiên, theo bác sĩ Lan Anh, nếu chỉ tập trung “làm răng trắng hơn và dài hơn” mà không thiết kế lại khớp cắn, lực nhai có thể phân bổ sai, khiến phục hình sứ chịu quá tải. Hệ quả thường gặp là Veneer dễ mẻ hoặc vỡ sau một thời gian sử dụng, đồng thời cơ hàm có thể bị căng mỏi vì phải thích nghi với một khớp cắn chưa cân bằng.
Góc nhìn điều trị của Bác sĩ Trần Lan Anh
Với Bác sĩ Trần Lan Anh, thẩm mỹ là điều cần đảm bảo, nhưng quan trọng hơn là khớp cắn và sự cân bằng của toàn bộ hệ răng, cơ, xương hàm sau khi phục hình. Một nụ cười đẹp cần đi kèm cảm giác thoải mái khi vận động hàm, ăn nhai ổn định và có nền tảng chức năng đúng để kết quả bền lâu.
Vì vậy, thay vì chỉ “đắp” thẩm mỹ lên tình trạng mòn răng, bác sĩ hướng đến việc thiết lập lại khớp cắn chuẩn, từ đó mới xây dựng được một nụ cười vừa đẹp vừa khỏe.
Mục tiêu của ca điều trị này là tạo dáng răng mới bằng Veneer sao cho thẩm mỹ tinh tế và tự nhiên, nhưng đồng thời phải bền chắc và ổn định trong chức năng. Nói cách khác, Veneer phải được thiết kế để giảm thiểu nguy cơ mẻ gãy và giúp bệnh nhân ăn nhai thoải mái, không bị căng mỏi cơ hàm về sau.
Giải pháp và kế hoạch
Bước quan trọng nhất trong ca của chị Tâm là đánh giá toàn diện khớp cắn để lập kế hoạch tối ưu và bảo tồn nhất. Dựa trên hiểu biết chuyên sâu về tương quan khớp cắn và sự phối hợp giữa răng, cơ, xương hàm, Bác sĩ Lan Anh tiến hành thiết lập lại tỷ lệ giữa hai hàm và chiều cao răng ở vị trí cân bằng nhất. Khi chiều cao và tương quan hai hàm được đưa về điểm cân bằng, cơ hàm có xu hướng thư giãn và hoạt động thoải mái hơn, giảm cảm giác căng mỏi.
Chính nền tảng khớp cắn ổn định này tạo ra “không gian chức năng” cần thiết để bác sĩ có thể thiết kế Veneer dài hơn vừa phải, giúp cung cười trẻ trung hơn mà vẫn đảm bảo lực nhai phân bổ hợp lý. Nhờ vậy, thẩm mỹ được nâng lên nhưng không đánh đổi bằng nguy cơ quá tải lên sứ.

Kết quả sau điều trị
Sau khi hoàn tất, việc thiết lập khớp cắn đúng giúp chị Tâm cảm thấy thoải mái trong các vận động hàm hằng ngày và ăn nhai tốt hơn. Nụ cười trở nên sáng hơn, trẻ trung hơn, hài hòa hơn với gương mặt. Quan trọng nhất là phục hình được thiết kế theo đúng khớp cắn, giúp hạn chế tối đa nguy cơ Veneer mẻ vỡ theo thời gian và mang lại sự an tâm khi sử dụng lâu dài.


Tại Platinum Dental, Veneer không đơn thuần là “làm răng đẹp”. Mỗi ca đều được cá nhân hóa và thực hiện kỹ lưỡng để vừa đạt thẩm mỹ tự nhiên, vừa thiết lập lại sự cân bằng khớp cắn, giúp hệ cơ hàm vận hành hài hòa, khỏe mạnh và thoải mái lâu dài.
Nếu bạn đang gặp tình trạng răng mòn, răng ngắn, xỉn màu và muốn tìm một giải pháp Veneer bảo tồn tối đa nhưng vẫn đảm bảo bền chắc, bạn có thể liên hệ để được Bác sĩ Trần Lan Anh trực tiếp thăm khám, phân tích khớp cắn chuyên sâu và tư vấn phác đồ phù hợp.

English