Phía sau hành trình “cứu vãn” nụ cười lỗi: Khi sự tận tâm bắt đầu từ việc làm đúng
Hành trình của bạn P.T tại Platinum Dental Group không chỉ là một ca phục hình sứ, mà là lời khẳng định cho triết lý: Trong y khoa, không có chỗ cho sự vội vàng hay làm ẩu. Mọi nụ cười bền vững đều phải bắt đầu từ một nền tảng sức khỏe đúng nghĩa.
Khi cái đẹp bị đánh đổi bởi sự thiếu chuẩn xác
Trong nha khoa thẩm mỹ, nỗi sợ lớn nhất của khách hàng thường là đau hay hỏng răng thật. Nhưng thực tế còn đáng lo ngại hơn thế: Nhiều khách hàng tìm đến Platinum Dental trong tình trạng nướu thâm đen, viêm đỏ và những cơn đau nhức âm ỉ kéo dài hệ lụy của những ca làm răng sứ “nhanh” và “rẻ” trên thị trường.
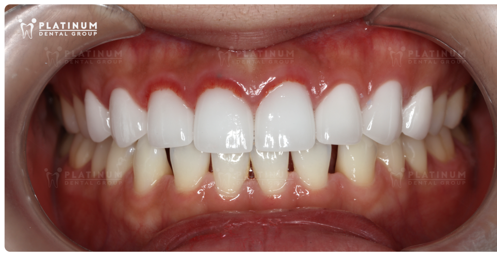
Trường hợp của bạn P.T là một ví dụ điển hình. Tìm đến chúng tôi với một nụ cười không còn rạng rỡ, P.T đang phải chịu đựng:
- Viêm nướu nặng: Vùng răng cửa luôn trong tình trạng sưng đỏ, dễ chảy máu.
- Xâm lấn khoảng sinh học: Kỹ thuật mài răng trước đó đã vượt quá giới hạn cho phép, phá vỡ hàng rào bảo vệ tự nhiên của cơ thể.
- Hệ thống tủy răng bất ổn: Các răng quan trọng bị xử lý tủy không triệt để, gây nhức buốt từng cơn.
- Thẩm mỹ khiên cưỡng: Màu sắc và hình dáng răng cũ hoàn toàn lệch tông với gương mặt, tạo cảm giác thiếu tự nhiên.

Triết lý tại Platinum: “Nướu phải khỏe trước khi răng muốn đẹp”
Tiếp nhận ca điều trị của P.T, BS CKI Trần Lan Anh đã thẳng thắn đưa ra phác đồ: Không vội vàng gắn sứ mới lên một nền nướu đang bệnh. Tại Platinum, chúng tôi không “che đậy” sai lầm bằng một lớp sứ bóng bẩy bên ngoài, chúng tôi điều trị từ gốc rễ.
Hành trình phục hồi cho P.T đã diễn ra vô cùng kỹ lưỡng:
- Khôi phục nền tảng: điều chỉnh nướu để tái tạo lại khoảng sinh học, chữa dứt điểm tình trạng viêm.
- Gia cố nền móng: Xử lý lại tủy răng và đóng chốt vững chắc cho răng thật. Đây là giai đoạn tốn nhiều thời gian và công sức nhất, nhưng là bước bắt buộc để đảm bảo khách hàng không bị đau nhức về sau.
- Cá nhân hóa thẩm mỹ: Khi nướu đã hồng hào và khỏe mạnh, lớp sứ mới mới được thiết kế. Màu sắc và hình dáng được tính toán dựa trên tỷ lệ gương mặt, giúp P.T tìm lại phiên bản tự nhiên và thanh tú nhất của chính mình.


Làm đúng ngay từ đầu: Sự khác biệt của Platinum Dental
Câu chuyện của P.T là lời cảnh tỉnh cho xu hướng làm răng “siêu tốc” bất chấp sức khỏe. Tại Platinum Dental Group, chúng tôi chọn một con đường khác – con đường của Chuẩn mực và Y đức:
- Khớp cắn là ưu tiên số 1: Một nụ cười sứ đúng nghĩa không chỉ để ngắm, mà phải để ăn ngon. Chúng tôi tính toán khớp cắn sinh lý cực kỳ khắt khe để đảm bảo khách hàng ăn nhai thoải mái, không mỏi hàm hay sang chấn sau này.
- Nói không với làm ẩu: Chúng tôi sẵn sàng từ chối những yêu cầu làm nhanh nếu điều đó gây hại cho răng thật của khách hàng. Triết lý bảo tồn tối đa luôn được đặt lên hàng đầu.
- Làm đúng để khỏe lâu dài: Chúng tôi không làm răng cho “vài ngày Tết”, chúng tôi làm răng để khách hàng “ăn ngon, ngủ yên” suốt nhiều năm tháng.

Nhìn nụ cười nhẹ nhõm và vùng nướu lành lặn của P.T sau điều trị, chúng tôi càng tin rằng: Lòng tin của khách hàng chỉ có thể được xây dựng bằng sự trung thực và kết quả điều trị bền vững. Nếu bạn đang tìm kiếm một địa chỉ nha khoa để gửi gắm sức khỏe, hãy nhớ: Đừng chỉ chọn nơi làm đẹp nhất, hãy chọn nơi làm đúng nhất ngay từ đầu.

English