HÀNH TRÌNH IMPLANT ĐẶC BIỆT: 65 TUỔI, MÓM XƯƠNG VÀ MẤT NHIỀU RĂNG
Hơn cả khôi phục hàm răng, đó là hoàn thiện mong ước về một “hàm nhai bình thường”
Không phải là phép màu, đây là kết quả của sự tận tâm, kinh nghiệm cấy ghép implant, và công nghệ hiện đại mà Ths.Bs Dương Minh Tùng đã ứng dụng.
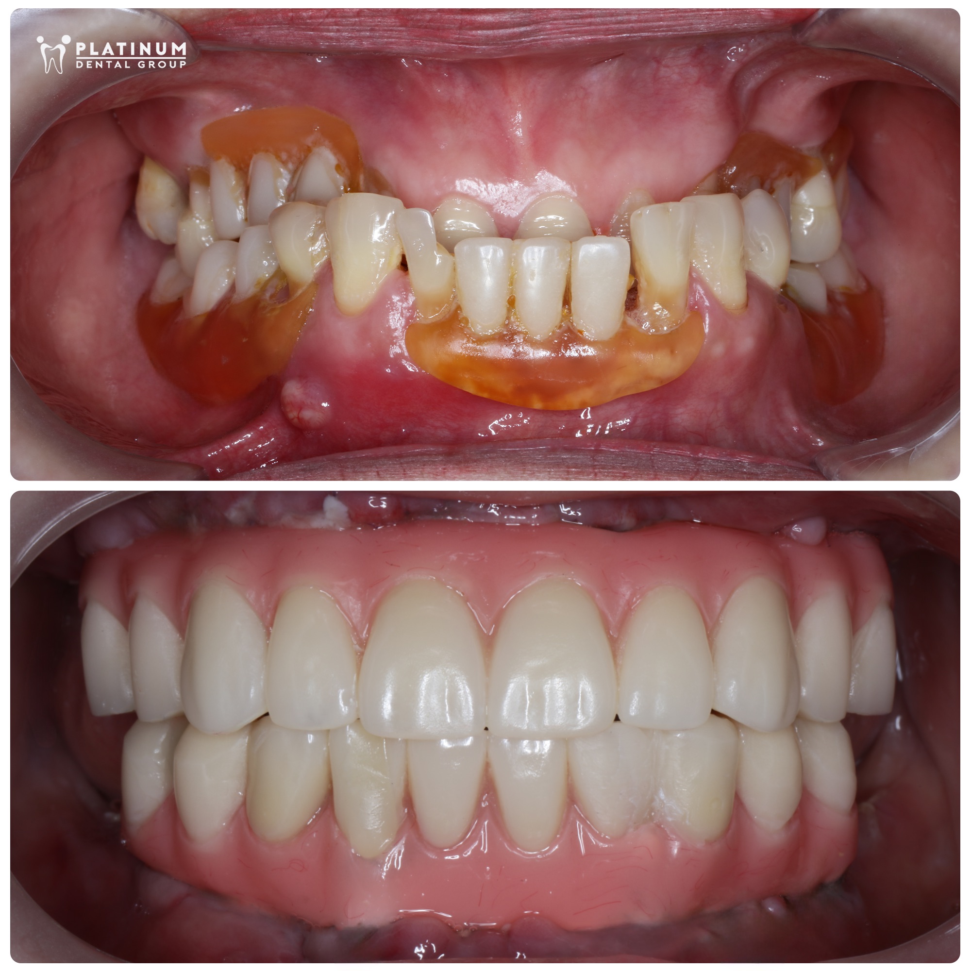
Câu chuyện bắt đầu vào một ngày tháng 9, cô Thoa (66 tuổi đến từ Vũng Tàu) gửi đến bác sĩ Tùng tin nhắn với mong ước có được hàm răng “như những người bình thường”, điều tưởng như vốn có của mỗi người nhưng không may mắn, cô Thoa bị móm xương bẩm sinh từ nhỏ. Trải qua ⅔ cuộc đời, biến chứng của khớp cắn ngược khiến cho các răng lần lượt mất sớm, cô phải dùng hàm giả tháo lắp. Vốn dĩ việc ăn nhai của khớp cắn ngược đã khó, khi mất răng và dùng hàm tháo lắp lại càng khó hơn khiến cô “rất buồn mấy chục năm không dám đi dự tiệc”.

Tại Platinum Dental, qua thăm khám bác sĩ Tùng nhận định trường hợp của cô Thoa là ca cấy ghép Implant khá đặc biệt:
- Móm xương, cắn ngược
- Mất gần như toàn bộ răng, các răng còn lại bị nha chu
- Có hàm giả tháo lắp

Với kinh nghiệm gần 20 năm phẫu thuật chỉnh hàm và cấy ghép implant, bằng tư duy phân tích sâu, tầm nhìn bao quát, bác sĩ Tùng đã lập kế hoạch cấy ghép implant chi tiết và có tầm nhìn dài hạn cho phục hình sau cùng, đảm bảo trồng lại răng cho cô Thoa và tái thiết lập khớp cắn “bình thường” như mong muốn của cô. Cụ thể:
- Loại bỏ các răng xô lệch còn lại trên cung hàm
- Cấy ghép 4 trụ implant hàm trên và 4 trụ implant hàm dưới dựa trên hướng xương và tính toán cho phục hình sau cùng
- Răng tạm tức thì sau cấy ghép, đảm bảo cô không trống răng
- Răng tạm cố định sau 2 ngày, sử dụng trong thời gian 4 – 6 tháng chờ tích hợp xương hàm

Để thực hiện trọn vẹn và thành công được tất cả những kế hoạch trên, ngay từ bước ghi nhận dữ kiện với CBCT, scan răng, facescan đều được thực hiện đầy đủ. Bác sĩ Tùng lên kế hoạch cấy ghép chi tiết với Navident – hệ thống định vị động cấy ghép implant và thực hiện cấy ghép trụ chính xác, nhanh chóng trong khoảng 3 tiếng đồng hồ.

Kết quả bước đầu mang lại sự thay đổi diện mạo tức thì, cô hồi phục nhanh, ít đau và bắt đầu cảm nhận được sự khác biệt có răng và không còn móm. Điều cô mong mỏi suốt mấy chục năm một hàm nhai có thể hoạt động bình thường đang dần trở thành hiện thực. Khi Implant tích hợp chắc chắn, răng sứ cố định sẽ hoàn thiện toàn bộ chức năng và thẩm mỹ cho cô.

Trồng Implant cho ca móm xương mất răng toàn bộ không chỉ là kỹ thuật đặt trụ, mà là quá trình tái tạo lại điểm tựa của khuôn mặt và khôi phục chất lượng sống một cách toàn diện. Trường hợp của cô Thoa là minh chứng rõ ràng nhất: Với sự đánh giá đúng, tư duy bao quát và điều trị chính xác từ Bác sĩ Tùng, những thách thức tưởng như không thể vẫn có thể được tháo gỡ tại Platinum Dental.
Tại Platinum Dental, không chỉ là móm xương mà có những cô chú bị hô xương hay mất răng toàn bộ trường hợp khá phức tạp nhưng đều được điều trị an toàn, thành công với kết quả tốt, vững ổn. Để có thể chắc chắn mang đến từng điều trị cấy ghép implant an toàn cho bệnh nhân, bác sĩ Dương Minh Tùng cùng với công nghệ phòng khám đầu tư

English