“Tôi đã khác rất nhiều…” – Hành trình Implant và Mão sứ cùng khách hàng đến từ Vương Quốc Anh
Với nhiều cô chú, trồng răng Implant chỉ được nghĩ đến khi ăn nhai quá khó khăn. Nhưng với cô V.K, hành trình này lại trở thành một “bước ngoặt” ở tuổi 50 không chỉ để ăn ngon hơn, mà còn tìm lại sự tự tin với gương mặt hài hòa, trẻ trung.
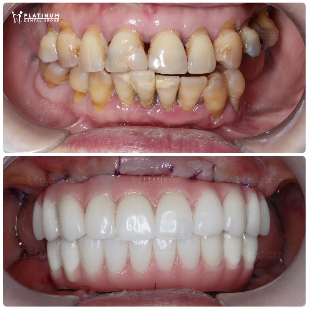
Khi đến thăm khám, cô V.K gặp nhiều vấn đề:

Chia sẻ với bác sĩ, mong muốn ban đầu của cô rất đơn giản: hết đau, ăn nhai thoải mái hơn để sinh hoạt dễ dàng ở tuổi trung niên.
Sau khi đánh giá tổng thể tình trạng răng – xương – khớp cắn, bác sĩ Dương Minh Tùng đã xây dựng kế hoạch trồng răng Implant All-on-4 cho cả hai hàm, tính toán kỹ lưỡng hướng cắm trụ và phục hình trên nền hô xương, đưa trục răng và khớp cắn về vị trí phù hợp. Sự tính toán này trở nên chính xác hơn khi kết hợp cùng hệ thống định vị động trong cấy ghép Implant, vừa phục hồi khả năng ăn nhai toàn hàm, vừa điều chỉnh lại nền hàm hô, hướng đến khớp cắn hài hòa.
👉 Điều bất ngờ đến rất sớm.
Chỉ sau 1 tuần cấy ghép và có hàm răng tạm, sự thay đổi đã thể hiện rõ:



Cô K rất bất ngờ và cảm xúc với sự thay đổi của mình. Từ mục tiêu ban đầu chỉ là ăn nhai tốt hơn và không còn đau, kết quả mang lại đã vượt xa mong đợi, gương mặt của cô V.K như trẻ lại cả chục tuổi.

Kết quả này cho thấy điều trị của bác sĩ Tùng đã hoàn thiện rất tốt. Khi nền nâng đỡ được tái lập đúng, thẩm mỹ gương mặt cũng được cải thiện một cách tự nhiên.
Có răng nhai khỏe, ăn ngon miệng, ngủ ngon giấc và cười tự tin hơn mỗi ngày, những điều tưởng chừng rất bình thường, nhưng lại vô cùng quý giá ở tuổi 50 với những cô chú không may răng hư hỏng nặng hoặc đã mất răng trong thời gian dài.
Platinum Dental luôn sẵn sàng lên kế hoạch trồng răng tối ưu nhất cho cô chú. Nếu đang tìm kiếm địa chỉ nha khoa uy tín với bác sĩ dày dặn kinh nghiệm, ứng dụng công nghệ hiện đại để trải nghiệm trồng răng nhẹ nhàng, chính xác, hiệu quả, hãy inbox cho Platinum Dental ngay nhé!
Chi phí dịch vụ mỗi khách hàng có thể khác nhau tuỳ vào sức khoẻ răng miệng. Liên hệ Platinum Dental để được tư vấn chính xác và cập nhật các ưu đãi mới nhất