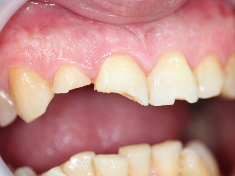
What Is a Tooth Broken Root Still in Gums? Is It Dangerous?
A tooth broken root still in gums describes a condition where the crown of the tooth has fractured or broken off, but the root remains embedded in the jawbone. Many people wonder if a broken tooth like this is dangerous. If not treated promptly, what serious complications can the remaining root cause? In the article below, let’s explore this condition in detail with Platinum Dental Group!
Nội dung bài viết
- 1 Causes of a Tooth Breaking While the Root Remains
- 2 Can a Broken Tooth with the Root Remaining Grow Back?
- 3 Treatment Methods for a Tooth Broken Root Still in Gums
- 4 Why Should You Treat a Tooth Broken Root Still in Gums Immediately?
- 5 Examination and Treatment Process at Platinum Dental Group
- 6 How Much Does It Cost to Treat a Broken Tooth with a Retained Root?
- 7 Aftercare Following Treatment of a Tooth Broken Root Still in Gums
- 8 When Should You Go to the Dentist to Handle a Tooth Broken Root Still in Gums?
- 9 Frequently Asked Questions About Broken Teeth with Retained Roots
Causes of a Tooth Breaking While the Root Remains
Understanding the causes helps you prevent this issue and choose the appropriate treatment method if you encounter a situation where a tooth broken root still in gums occurs.
Accidents and Trauma to the Face or Teeth
Strong impacts from falls, traffic accidents, or sports injuries are leading causes of teeth snapping off. When the force is too great, the crown can easily break away from the gum line, leaving only the root deep in the jawbone. In many cases, the dental pulp and surrounding gum tissue are also damaged, causing pain and swelling. If not treated promptly, the remaining root can become infected, affecting adjacent teeth. Therefore, after any trauma, you should visit a dental clinic immediately for an examination and early intervention.
Long-term Untreated Tooth Decay
Tooth decay progresses silently but causes severe consequences if ignored for too long. When bacteria attack deep into the dentin and pulp, the tooth structure weakens and easily crumbles during chewing. At this point, a tooth broken root still in gums is almost inevitable, accompanied by sharp pain, bad breath, and gingivitis. The abandoned root can become a bacterial breeding ground, causing pulpitis or a dental abscess. Early treatment not only helps save the healthy part of the root but also prevents dangerous complications.
See also: Important information about tooth Implants

Weak Teeth Due to Periodontal Disease or Pulpitis
Periodontal disease and pulpitis are two “silent enemies” that destroy oral health. They damage the tissues supporting the tooth, causing enamel to weaken and become prone to cracking. Even if the tooth breaks leaving the root, the surrounding tissue may have already suffered bone loss or inflammation, making restoration difficult. If not treated thoroughly, the remaining root will gradually lose its connection with the gums, leading to looseness and tooth loss. Regular periodontal check-ups are the best way to detect issues early and protect healthy roots.
Habits of Chewing Hard Foods or Teeth Grinding
Many people have habits of chewing ice, cracking seeds, opening bottles with their teeth, or grinding their teeth (bruxism) while sleeping without realizing the consequences. These repetitive actions cause tooth enamel to wear down, crack, and break easily. Gradually, the tooth may snap off horizontally, leaving only the root in the gums. This condition not only affects aesthetics but also causes prolonged aching and sensitivity. To protect your teeth, you should break these bad habits and use a night guard if prescribed by a doctor.
Flawed Dental Procedures or Trauma During Treatment
Some cases of a tooth broken root still in gums stem from incorrect dental techniques. Excessive drilling, improper extraction, or substandard fillings can weaken the tooth structure, making it prone to breakage later. Additionally, trauma during root canal therapy, porcelain crowning, or bridge placement can also cause root fractures. This is why choosing a reputable dental clinic and experienced doctors is extremely important. A safe, precise treatment process will help maximize the protection of your natural tooth roots.
Can a Broken Tooth with the Root Remaining Grow Back?
When facing a tooth broken root still in gums, many people hope the tooth can grow back to its original state. However, the reality is that permanent teeth cannot regenerate once broken, as tooth tissue and enamel do not have natural regenerative capabilities.
That said, if the remaining root is still strong, doctors can still utilize it to restore the tooth through modern methods such as porcelain crowns, post-and-core restorations, or fillings. These techniques help restore aesthetics, improve chewing ability, and preserve the maximum amount of natural tooth tissue.

Conversely, in cases where the root is inflamed, weak, or infected, completely extracting the root is the safe choice to prevent the spread of inflammation and jawbone resorption. Therefore, early examination will help the doctor accurately assess the situation and provide the most suitable treatment plan for you.
See also: Overview of full mouth Dental Implants
Treatment Methods for a Tooth Broken Root Still in Gums
Depending on the extent of the damage and the condition of the remaining root, the doctor will prescribe the most suitable treatment method for the patient.
Dental Fillings (Bonding)
This is a simple and economical method, usually applied when the break is small and shallow, and both the root and pulp are still healthy. The doctor will use specialized filling material (such as composite) to build up the lost tooth structure, restoring its natural shape. This method helps preserve natural tooth tissue, improves aesthetics, and avoids sensitivity. However, fillings are only suitable for mild fractures and are not applicable for teeth with pulpitis or cracks extending deep into the root.
Porcelain Crown on the Remaining Root
If you have a tooth broken root still in gums but the root is still solid and has sufficient length, a porcelain crown is the ideal choice. The doctor will reduce (prep) the remaining tooth structure and place a porcelain crown over it, protecting the root while providing a natural look just like a real tooth. This method is highly durable, allows for comfortable chewing, and maintains stable color for many years. Additionally, porcelain crowns help hide the defect of the broken tooth, bringing a more confident smile.

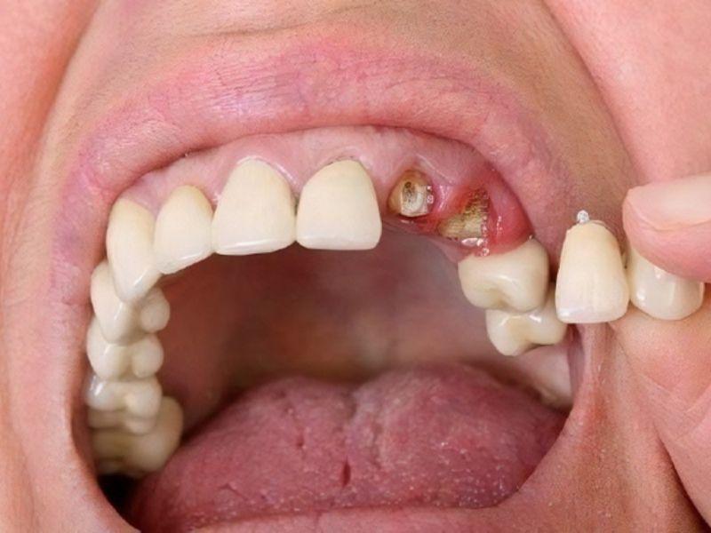
Extracting the Old Root and Placing a Dental Implant
In cases where the root is inflamed, deeply cracked, or loose, extracting the root is necessary to avoid infecting adjacent teeth. After extraction, the doctor will proceed with a dental Implant, surgically placing a titanium post into the jawbone to replace the lost root and restoring the tooth with a porcelain crown. This is an advanced method that restores both the root and the crown, providing a solid chewing sensation like a real tooth. Furthermore, Implants help prevent jawbone loss and maintain facial structure.
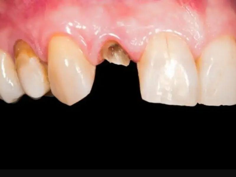
Post and Core Restoration After Root Canal Treatment
When the root is still good but the dental pulp is dead, the doctor will perform endodontic treatment (root canal) first. Afterward, a “post and core” (false stump) will be placed into the natural root canal, acting as a support pillar for the porcelain crown. This approach helps retain the natural root while restoring shape and chewing function. This method is suitable for those who want to preserve their teeth as much as possible rather than extracting them.
Porcelain Dental Bridge (If Implants Are Not Prioritized)
When a patient does not qualify for an Implant (due to health, cost, or weak jawbone), a porcelain bridge is a reasonable alternative. The doctor will grind down two adjacent teeth to serve as anchors, then attach a row of connected porcelain teeth to bridge the gap of the broken tooth. This method helps quickly improve aesthetics and restore stable chewing ability. However, it requires the anchor teeth to be healthy and can partially affect natural tooth enamel.
Why Should You Treat a Tooth Broken Root Still in Gums Immediately?
Many people are complacent when they see a broken tooth where the root is still in the gums, thinking it is not a serious problem. However, delaying treatment for a tooth broken root still in gums can lead to a series of dangerous complications for oral health and facial aesthetics. Here are the reasons you should visit a dentist for treatment as soon as possible:
Prevent Infection, Pulpitis, and Bone Loss
The remaining root after the crown breaks is very susceptible to bacterial invasion. If not cleaned and restored promptly, bacteria will attack the root canal, causing pulpitis, dental abscesses, and even spreading to the jawbone. This condition not only causes severe pain but can also lead to bone resorption, making future tooth replacement more difficult and costly.
Prevent Effects on Adjacent Teeth
An inflamed or infected root will create a bacterial nest that spreads to neighboring teeth, causing looseness, gum recession, or periodontitis. Additionally, the gap left by the lost crown causes adjacent teeth to shift, leading to a misaligned bite, reducing chewing efficiency, and affecting the structure of the entire jaw. If left for a long time, you may need orthodontic treatment or more extensive restorative work to regain the original balance.

Limit Aesthetic Impact and Loss of Confidence
Broken teeth, especially in the front incisor area, not only affect your smile but also make the face look unbalanced and older than your age. When the root is inflamed, the gums can become red, swollen, or recede, creating a clear aesthetic defect. This situation makes many people lose confidence when communicating, afraid to smile or talk, negatively impacting their psychology and daily work.
Maintain Chewing Function and Facial Structure
When the crown is broken, chewing force is not distributed evenly, leading to sensitivity, difficulty eating, and even damage to surrounding gum tissue. If not treated early, the root may become loose or suffer from chronic pulpitis, making eating inconvenient and causing prolonged fatigue.
Examination and Treatment Process at Platinum Dental Group
To ensure safety and achieve optimal treatment results, the process for handling a tooth broken root still in gums at our clinic is carried out according to scientific and standard steps. At Platinum Dental Group, every stage is strictly controlled by doctors to maximize the preservation of natural tooth tissue while restoring aesthetics and function for the patient.
Step 1: General Examination and X-ray of the Root
First, the doctor will conduct a clinical examination of the entire oral cavity to assess the condition of the broken tooth, gum tissue, and jawbone. Then, the patient will undergo an X-ray (CT Cone Beam 3D) to accurately determine:
- The length and stability of the remaining root.
- The extent of damage to the dental pulp or periapical tissue.
- The presence of infection, bone loss, or abscesses around the root.
The X-ray results help the doctor pinpoint the cause and extent of the damage, serving as a basis for planning the most appropriate treatment.
Step 2: Detailed Assessment of Root, Pulp, and Bone Status
After obtaining the scan results, the doctor will evaluate the overall condition of the tooth:
- If the root is healthy and the pulp is not inflamed, it can be preserved via filling or crowning.
- If the pulp is inflamed or necrotic, root canal treatment is required before restoration.
- In cases where the root is weak, broken below the gum line, or suffering from severe bone loss, the doctor will recommend extraction and Implant placement to avoid complications.
The goal of this step is to determine the precise direction of treatment—preservation or replacement—to provide long-term effectiveness for the patient.

Step 3: Propose Optimal Treatment Plan
Based on the assessment, the doctor will consult in detail on each method, including pros and cons, costs, and implementation time. Common options include:
- Composite filling if the break is small and the pulp is good.
- Porcelain crown if the root is solid and has sufficient length.
- Post and core followed by a crown (after root canal) if the pulp is dead but the root is still good.
- Implant placement if the severely damaged root must be extracted.
The doctor will help the patient choose the plan best suited to their tooth condition, aesthetic needs, and financial capability.
Step 4: Treatment and Regular Follow-up
After agreeing on the plan, the doctor will proceed with treatment under a strictly sterile process, ensuring safety, precision, and painlessness. Upon completion, the patient receives instructions for home care and schedules regular follow-up appointments to check recovery progress and evaluate the durability of the restoration or Implant.
A professional, methodical treatment process not only thoroughly resolves the issue of a tooth broken root still in gums but also prevents complications and maintains long-term oral health. Therefore, when you discover a broken tooth, you should go to a reputable dental clinic for X-rays, examination, and timely treatment.
How Much Does It Cost to Treat a Broken Tooth with a Retained Root?
The cost depends on the extent of tooth damage, the restoration method prescribed, and the materials you choose. Below is a reference price list for common treatment options:
Cost of Dental Fillings
Fillings are a good choice for small breaks, but if a significant amount of the tooth is lost, a crown is recommended for long-term durability. Suitable for mild breaks where the pulp and root remain healthy.
- Price range: Approximately 400,000 – 6,000,000 VND/tooth.
Cost of Porcelain Crowns
Porcelain crowns are the optimal choice for restoring both aesthetics and chewing function while retaining the natural root. Suitable for a tooth broken root still in gums where the root is strong and long enough to support the crown.
| Service | Service Price (VND) | Warranty |
| Metal Porcelain | 2,500,000 | 7 years |
| All-Ceramic UNC – Korea | 6,000,000 | 12 years |
| All-Ceramic Zirconia – Germany | 8,000,000 | 7 years |
| All-Ceramic EMAX – USA | 9,000,000 | 10 years |
| All-Ceramic Lava 3M – USA | 12,000,000 | 10 years |
| All-Ceramic Orodent – Italy | 15,000,000 | 12 years |
Cost of Dental Implants
If you want a long-term and sustainable restoration, Implants are currently the best solution. This method is suitable for cases where the root is damaged, severely inflamed, or must be completely extracted.
Reference Implant Price List:
| Service | Implant Post Type | Origin | Package Price (VND) | Warranty |
| Single Implant | Implant DIO UV | Korea | 18 – 25 million/post | 5-7-10 years |
| Implant ETK | France | 30 – 36 million/post | 5-7-10 years | |
| Implant Straumann | Switzerland | 38 – 45 million/post | 5-7-10 years | |
| Abutment + Cercon Crown on Implant | Implant DIO UV | Korea | 8 million/post | 5 years |
| Implant ETK | France | 10 million/post | 7 years | |
| Implant Straumann | Switzerland | 13 million/post | 10 years | |
| ALL ON 4 | Implant DIO UV | Korea | 150 – 160 million/jaw | 10 years |
| Implant ETK | France | 200 – 240 million/jaw | 10 years | |
| Implant Straumann | Switzerland | 230 – 270 million/jaw | 10 years | |
| ALL ON 6 | Implant DIO UV | Korea | 180 – 200 million/jaw | 10 years |
| Implant ETK | France | 280 – 315 million/jaw | 10 years | |
| Implant Straumann | Switzerland | 340 – 390 million/jaw | 10 years |
Cost of Post and Core + Porcelain Crown
This method suits teeth that have had root canal treatment, where the root is still good, and the patient wants to keep the natural root.
- Pros: Securely fixes the crown, fully restores shape and chewing ability.
- Cons: Requires root canal treatment first; takes longer than filling.
- Price range: Approximately 1,000,000 – 2,000,000 VND/tooth (excluding the cost of the porcelain crown).
Aftercare Following Treatment of a Tooth Broken Root Still in Gums
After treatment, proper home care plays a crucial role in the recovery process. A reasonable diet and scientific oral hygiene will help the restoration stay durable, keep gums healthy, and prevent complications.
Reasonable Diet
- Avoid overly hard or chewy foods: Do not chew ice, bones, melon seeds, or sugar cane… as they can damage the restoration or crack the porcelain teeth.
- Limit extremely hot or cold foods: Sudden temperature changes can cause sensitivity and affect the adhesion of filling materials, crowns, or Implant posts.
- Reduce sweets, carbonated drinks, coffee, and alcohol: These items increase the risk of tooth decay, staining, and gum inflammation around the treated area.
- Prioritize soft, easy-to-chew foods: In the first few days after treatment, eat porridge, soup, smoothies, boiled vegetables, or soft dishes to reduce pressure on the teeth.
- Supplement with Calcium and Vitamin C rich foods: Helps keep gums and jawbone healthy, supporting faster tooth recovery.

Proper Oral Hygiene
- Brush gently 2-3 times/day with a soft-bristled toothbrush, especially around the treated area.
- Use fluoride toothpaste to strengthen enamel and prevent decay.
- Use dental floss and antibacterial mouthwash daily to clean between teeth and prevent bacteria accumulation around the root or gums.
- If you have just had an Implant or crown, use an interdental brush or water flosser to gently clean the restoration area without damaging the gums.
- Avoid using hard bamboo toothpicks as they easily cause bleeding, gum recession, or gaps at the tooth neck.
Regular Follow-up Visits as Prescribed
- After treatment, attend follow-up appointments on schedule (usually after the first 1-3 months) for the doctor to check the recovery of the tooth and gums.
- For porcelain crowns or Implants, a check-up every 6 months is essential to assess stability and perform deep cleaning.
- Patients need to report to the doctor immediately if there are abnormal signs such as pain, gum swelling, prolonged sensitivity, or loose teeth.
See also: Important information about all on 4 Dental Implants near me
When Should You Go to the Dentist to Handle a Tooth Broken Root Still in Gums?
Experts recommend that patients visit a dental clinic immediately if they experience the following signs:
Pain, Gum Swelling, or Sensitivity When Chewing
This is a warning sign that the pulp or tissue around the root is infected. Bacteria may have invaded the remaining root, causing dull pain or severe pain when chewing. If left for a long time, the infection can spread, forming a periapical abscess, causing the gums to swell, discharge pus, and even affect the jawbone. If you feel pain or swelling, go to the dentist immediately; absolutely do not self-medicate or apply hot compresses at home.
Tooth Discoloration, Bad Odor, or Loose Root
The remaining root after the crown breaks is often a place where food and bacteria accumulate. When not cleaned thoroughly, decomposing bacteria cause bad breath, or the infected pulp will turn the tooth black or gray. This is a sign the pulp is dead or necrotic, requiring root canal treatment as soon as possible to prevent the infection from spreading. If you notice bad breath, red swollen gums, or discharge from the broken tooth area, you should get checked immediately so the doctor can clean and treat the infection source thoroughly.

Gum Recession Around the Root Causing Aesthetic Issues
When the remaining root is no longer tightly connected to the gum tissue or alveolar bone, the tooth will gradually become loose, the gums will recede, and the root may even become exposed. This is a manifestation of severe periodontitis or bone loss around the tooth.
If not intervened early, the root may fall out completely, affecting adjacent teeth and deforming the bite. In this case, the doctor will assess the level of bone loss and indicate root extraction followed by an Implant or dental bridge for restoration.
Frequently Asked Questions About Broken Teeth with Retained Roots
Should I extract the remaining root?
Whether to extract or keep the root depends on its health:
- Healthy, non-inflamed, solid root: The doctor will try to preserve and restore it using methods like fillings or crowns.
- Weak, loose, or infected root: Extraction is necessary to prevent the spread of inflammation, protect adjacent teeth, and avoid jawbone loss.
Can a decayed tooth broken down to the root be filled?
If the root is still solid and the pulp is not dead, the doctor can fill or crown it to restore shape and chewing function. In cases where the pulp is dead or the root is infected, you need a root canal first or an extraction if preservation is impossible.
What should I do if my tooth breaks horizontally?
When a tooth breaks horizontally, do not try to treat it at home because the remaining root is very susceptible to infection if handled incorrectly. Ideally, you should go to a reputable dental clinic immediately for an X-ray to assess the damage, deciding whether to keep the root or extract it. Based on this result, they will offer the optimal restoration plan, such as filling, crowning, post and core, or Implant. Early intervention helps preserve the maximum amount of natural tooth, prevents infection and bone loss, and restores the aesthetics of your smile.
A tooth broken root still in gums not only affects aesthetics but also directly impacts oral health. To protect your natural teeth and avoid dangerous complications, you should seek early examination at Platinum Dental Group, where experienced doctors will accurately assess and choose the optimal recovery plan, helping you regain a confident, safe, and long-lasting smile. Contact us now via hotline 0967 797 799 for the fastest support!
Explore:
- Core concepts and options for Veneers teeth
- General pricing information for tooth Implant cost
- Basic concepts and applications of crown teeth
Platinum Dental Group
Clinic Locations:
📍Platinum Dental Central: 127 Nguyen Cu Trinh Street, Cau Ong Lanh Ward, Ho Chi Minh City
📍Platinum Dental Thao Dien: 1H Street 10, An Khanh Ward, Ho Chi Minh City
📞 Hotline: (+84) 28 3920 9969 | 096 779 7799
✉️ Email: info@platinumdentalvietnam.com
🌐 Website: https://platinumdentalvietnam.com/
💬 Instagram: https://www.instagram.com/platinumdental.vietnam/
🔗 Facebook: https://www.facebook.com/platinumdentalvn

Tiếng Việt