“I Truly Love My New Smile” – Ms. Daily Hernandez’s Veneer Experience
Saving a Compromised Smile
When True Care Starts with Doing It Right
P.T’s journey at Platinum Dental Group wasn’t simply a cosmetic crown case it was proof of a principle we stand by every day: in healthcare, there is no room for rushing, shortcuts, or “quick fixes.” A smile that truly lasts must be built on a healthy foundation.
When “quick and cheap” becomes a long-term problem
In cosmetic dentistry, most people worry about pain or damaging their natural teeth. But in reality, the bigger concern often shows up later: darkened gums, chronic inflammation, persistent discomfort, and bad breath common consequences of fast, low-cost dentistry done without proper standards.
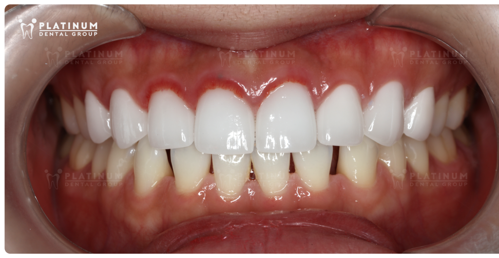
P.T came to us with a smile that no longer felt like hers, and symptoms she could not ignore:
- Severe gum inflammation: the front gums were swollen, red, and bled easily.
- Biologic width violation: previous tooth preparation went beyond safe limits, disrupting the natural protective zone of the gums.
- Unstable root canal work: several key teeth had incomplete treatment, causing recurring sensitivity and pain.
- Forced aesthetics: the old crowns looked mismatched in color and shape, creating an unnatural result.

Our approach: “Healthy gums first then beauty”
After evaluating P.T’s condition, Dr. Trần Lan Anh was clear from the start: We do not place new crowns over diseased gums.
At Platinum, we don’t “cover” problems with a brighter layer on top we treat the root cause first. Because the most beautiful smile is the one that is healthy.
A careful step-by-step recovery plan
P.T’s restoration required time, precision, and patience:
1) Rebuilding the foundation
We corrected the gum contour and re-established the biologic width to eliminate inflammation and allow the tissues to heal properly.
2) Strengthening the natural teeth
Root canal retreatment and post reinforcement were completed where necessary often the most time-intensive part, but essential to prevent future pain and ensure long-term stability.
3) Designing aesthetics the right way
Only after the gums were healthy and stable did we begin the final aesthetic design. The new crowns were customized in shade and shape based on facial proportions and harmony bringing P.T back to a refined, natural version of her own smile.


The Platinum difference: done right, built to last
P.T’s case is a reminder of what “rush dentistry” can cost not just financially, but physically and emotionally. At Platinum Dental Group, we take a different path: one defined by medical ethics and long-term results.
- Bite balance is a priority: a true cosmetic result must also function well. We plan occlusion carefully so patients can chew comfortably without jaw fatigue or future trauma.
- We don’t do shortcuts: if a request isn’t safe for the natural teeth, we will say no because preservation comes first.
- We treat for real life, not a holiday photo: our goal is a smile you can live with eat well, sleep peacefully, and feel confident for years.

Seeing P.T’s healed gums and relieved smile reinforces what we believe: trust is earned through honesty and results that last. If you’re choosing a clinic for restorative or cosmetic dentistry, don’t only look for the “prettiest” promises. Choose the place that is committed to doing it right from the beginning.

Tiếng Việt