Shaving Teeth for Crowns: Procedure, Risks, and Trusted Providers
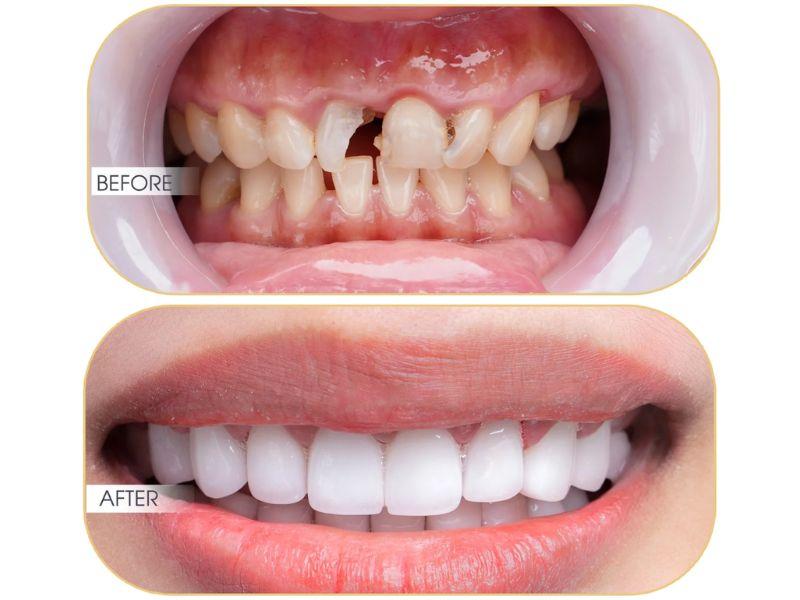
Having a shaved tooth for crown placement is a crucial step in aesthetic restoration, helping to recreate a bright white smile and fix dental imperfections. However, this is a procedure that demands high skill and precise technique to ensure oral health safety. So, what are the risks involved in shaving teeth for crowns, what does the process entail, and where is a reputable place to trust with your smile? Let’s explore the details with Platinum Dental Group in this article.
Nội dung bài viết
- 1 When Should You Consider Shaving Teeth for Crowns?
- 2 Does Having a Shaved Tooth for Crown Placement Affect Your Health?
- 3 Standard Dental Procedure for Shaving Teeth for Crowns
- 4 6 Potential Risks of Improper Tooth Shaving
- 5 Important Considerations When Shaving Teeth for Crowns
- 6 Platinum Dental Group: A Trusted Address for Shaving Teeth for Crowns
When Should You Consider Shaving Teeth for Crowns?
Porcelain crowns are a dental restoration method that delivers both aesthetic value and chewing function. However, not every case requires a shaved tooth for crown placement. Typically, a dentist will prescribe this when the natural teeth have specific defects and preparation is necessary to ensure treatment effectiveness. Here are typical situations to consider:
- People with yellowed, stained teeth difficult to whiten who want to upgrade their smile: For teeth stained by coffee, tea, tobacco, or severe tetracycline antibiotic discoloration, porcelain crowns are an effective solution to restore brightness and provide a natural, radiant smile.
- People with chipped, fractured, broken, or weak teeth: Teeth damaged by accidents, decay, or long-term wear can be restored with porcelain crowns. This protects the natural tooth tissue, increases durability, and effectively restores chewing function.
- People with missing teeth needing restoration: When one or multiple teeth are lost, clients can choose porcelain bridges or implant-supported crowns to recreate strong teeth, ensuring aesthetics and chewing ability comparable to real teeth.
Note: Not everyone is a suitable candidate for dental veneers or crowns. The grinding process requires a thorough evaluation by a specialist to ensure it is not overly invasive and to preserve the long-term function and health of your natural teeth.

Does Having a Shaved Tooth for Crown Placement Affect Your Health?
Shaving the tooth (tooth preparation) is a mandatory step in the crowning process to create space for the porcelain crown to fit tightly and securely onto the natural tooth. However, this is also why many people worry about whether shaving teeth is harmful to oral health.
In reality, having a shaved tooth for crown placement can have negative effects if performed with incorrect technique or if too much structure is removed, such as:
- Causing prolonged sensitivity and pain due to exposed dentin.
- Making the tooth weaker, prone to fractures, or sensitive to temperature.
- Increasing the risk of pulpitis (inflammation of the pulp) if the structure is deeply invaded.
However, shaving teeth for crowns will not have negative impacts if the indication is correct. When examined and performed by an experienced specialist who removes the correct proportion of enamel, the process is safe and brings many benefits:
- Maintains stable chewing function and bite alignment.
- Ensures natural aesthetics that harmonize with the face.
In other words, tooth preparation is only truly dangerous when performed by low-quality dental clinics lacking medical protocols. Therefore, for peace of mind, you should choose a reputable clinic with highly skilled doctors and modern equipment.
See also: Essential details related to tooth Veneers

Standard Dental Procedure for Shaving Teeth for Crowns
To ensure the process of having a shaved tooth for crown placement is safe and aesthetically effective, the dental clinic must adhere to standard medical protocols. Here are the standard steps at Platinum Dental Group:
Step 1: Examination & Treatment Planning
The doctor conducts a general check-up and takes X-rays or CT Cone Beam 3D scans to assess the tooth and gum structure. Based on the actual condition, the doctor determines the number of teeth needing restoration, selects the appropriate porcelain type, and simulates the result using Digital Smile Design (DSD) technology, helping the client visualize their future smile.
Step 2: Tooth Preparation (Shaving) & Impressions
The doctor removes a thin layer of enamel (minimal reduction to preserve maximum natural tooth tissue) to create space for the crown. Then, impressions are taken using modern 3D scanning technology or traditional materials. These specifications are sent to the lab to craft porcelain teeth precise to every detail.
Step 3: Attaching Temporary Teeth
While waiting for the permanent porcelain teeth, the client is fitted with temporary teeth to ensure aesthetics and temporary chewing function. This is also the stage for the doctor and client to adjust the shape, length, and color before the final crowns are crafted.
Step 4: Try-in & Adjustment
The finished porcelain crowns are tried on to check for fit, color, and bite alignment. If necessary, the doctor will make detailed adjustments to ensure comfort and the most natural aesthetic result.
Step 5: Permanent Cementation & Completion
When all factors are optimized, the doctor uses specialized dental cement to permanently fix the crowns. Finally, the bite is carefully fine-tuned to ensure stable chewing, minimize sensitivity, and maintain long-term durability.

6 Potential Risks of Improper Tooth Shaving
1. Causing Sensitivity and Hypersensitivity
Having a shaved tooth for crown placement can lead to sensitivity because the natural enamel layer is worn down. Enamel acts as the first line of defense against environmental agents like temperature, acid, and bacteria. When this layer is removed, the dentin and internal nerve system are easily stimulated, causing distinct sensitivity when exposed to hot, cold, or sour foods and drinks.
2. Erosion of Natural Enamel
Enamel is the hardest part of the tooth structure, protecting the dentin and pulp from external impacts. During the process of shaving a tooth for a crown, this enamel layer usually must be thinned or partially removed to allow the crown to adhere tightly. However, this makes the tooth more sensitive. It is worth noting that enamel cannot regenerate naturally. Once lost, the tooth is at risk of prolonged sensitivity and decay. Therefore, tooth preparation must be done cautiously by an experienced doctor to preserve the natural tooth structure.

3. Pulp Damage
Excessive shaving or improper technique can lead to serious damage to the dental pulp. The pulp contains blood vessels and nerves essential for nourishing the tooth. When the pulp is compromised, patients may experience complications like pulpitis, prolonged pain, or even pulp necrosis. Consequently, the tooth may lose sensation or develop an abscess. In many cases, root canal treatment becomes necessary, which is costly and makes the tooth structure brittle and prone to fracture over time.
4. Gingivitis and Periodontitis
If the crown is not fitted tightly or oral hygiene is poor, gaps between the crown and the natural tooth become traps for food and bacteria. This leads to gingivitis, bad breath, and potentially severe periodontal disease. Additionally, if the doctor manipulates tools incorrectly during the shaving process, the surrounding gum tissue can be damaged, causing swelling and redness.
5. Crown Failure
Porcelain crowns are prone to cracking, breaking, or loosening if crafted from poor-quality materials or installed incorrectly. If the crown is too thin or designed with incorrect proportions, it won’t ensure durability during chewing. Furthermore, if the crown isn’t fitted snugly or the bite isn’t balanced, chewing force will concentrate on one spot, increasing the risk of fracture.

6. Unsightly Dark Gum Lines
A common risk when having a shaved tooth for crown placement with improper restoration is the “dark gum line” phenomenon. This usually stems from two main causes:
- Incorrect installation technique: If the crown margin is placed too deep into the gum, fits poorly, or has excess cement, it causes plaque buildup and inflammation. As gums recede, the crown edge is exposed, creating a gray/black look.
- Using metal-fused porcelain: If gums are thin or recede, the metal rim at the tooth neck may show through, creating a “black line.”
This is a major drawback of metal porcelain teeth. The solution is to prioritize all-ceramic teeth (Zirconia, Lithium Disilicate) for aesthetic zones, combined with standard medical procedures.
See also: An overview of Teeth Crowns in restorative dentistry
Important Considerations When Shaving Teeth for Crowns
To ensure the process of having a shaved tooth for crown placement is safe and yields lasting results, patients need to pay attention to these basic principles:
- Consult thoroughly with the doctor: Before proceeding, you need a general check-up and a clear discussion about aesthetic desires and functional needs.
- Choose a reputable dental clinic: Prioritize facilities with highly skilled doctors, modern equipment, and strict adherence to sterile protocols.
- Choose the right porcelain material: Each type (Metal, Zirconia, Cercon) has pros and cons. selection depends on budget, aesthetics, and professional advice.
- Follow post-treatment instructions: Proper diet, hygiene, and lifestyle habits are essential to increase the crown’s lifespan.
- Regular check-ups: Scheduled visits help the doctor monitor the crown’s adaptation and handle issues promptly.

Platinum Dental Group: A Trusted Address for Shaving Teeth for Crowns
Choosing a dental clinic for having a shaved tooth for crown placement is not just about finding a place for aesthetic restoration, but a decision directly affecting long-term oral health. Platinum Dental Group is trusted by many clients due to these outstanding advantages:
- Personalized Smile Design with DSD Technology: Using Digital Smile Design, every smile at Platinum is simulated according to the client’s facial proportions and personality.
- Highly Specialized, Experienced Doctors: Treatment is directly administered by doctors with years of experience and training in France, Canada, and Spain. They focus not only on aesthetics but also on safety and maximum preservation of real teeth.
- Genuine, Bio-safe Materials: All porcelain materials are imported from Europe and the USA, ensuring durability, natural color, and optimal body compatibility.
- Modern Technique – Minimal Shaving, Reduced Invasion: Many clients can have restorations with little to no shaving needed, preserving the natural tooth and reducing sensitivity.
- Gentle, Painless Procedure: All operations are performed in a sterile environment with modern techniques, providing a comfortable experience even for sensitive clients.
- Transparent Warranty & Long-term Care: Platinum commits to accompanying you with a clear warranty and professional periodic check-ups.

Having a shaved tooth for crown placement brings significant aesthetic and functional value, but incorrect technique can cause numerous oral health issues. Therefore, choosing a reputable dental facility, skilled doctors, and genuine materials is the decisive factor in possessing a long-lasting beautiful smile. If you are looking for a safe dental aesthetic solution, let the experts at Platinum Dental Group accompany you in achieving a perfect smile and lasting confidence.
Learn more:
- Overview information on Dentist Implant servicesa
- Important considerations related to teeth Implants cost
- An overview of all on 4 Dental Implants
- Essential details related to full Dental Implants near me
Platinum Dental Group
Clinic Locations:
📍Platinum Dental Central: 127 Nguyen Cu Trinh Street, Cau Ong Lanh Ward, Ho Chi Minh City
📍Platinum Dental Thao Dien: 1H Street 10, An Khanh Ward, Ho Chi Minh City
📞 Hotline: (+84) 28 3920 9969 | 096 779 7799
✉️ Email: info@platinumdentalvietnam.com
🌐 Website: https://platinumdentalvietnam.com/
💬 Instagram: https://www.instagram.com/platinumdental.vietnam/
🔗 Facebook: https://www.facebook.com/platinumdentalvn

Tiếng Việt