Cracked tooth – causes, symptoms, and treatment options for patients
A cracked tooth can start as a small issue but, if left untreated, may lead to serious discomfort and complications. Whether caused by biting hard foods or everyday wear, it’s important to have it examined promptly by a dental professional. At Platinum Dental Group in Ho Chi Minh City, our experienced dentists use advanced diagnostic technology and gentle, personalized care to restore your smile – comfortably and beautifully.
Nội dung bài viết
- 1 What is a cracked tooth?
- 2 Symptoms and common causes
- 3 Treatment procedures at Platinum Dental Group
- 4 What patients can do before visiting the dentist
- 5 Cost of treating a cracked tooth
- 6 Why choose Platinum Dental Group for cracked tooth treatment?
- 7 FAQ about cracked teeth
- 8 Restore confidence and comfort with Platinum Dental Group
What is a cracked tooth?
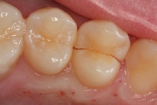
A cracked tooth occurs when a fracture develops in the enamel or deeper layers of the tooth. The crack can range from a tiny surface line (craze line) to a split that reaches the root.
In many cases, patients don’t notice the problem immediately – the pain may come and go depending on how deep the crack is or how it affects the tooth’s nerve. Detecting a cracked tooth early is essential, as the condition can worsen over time with daily chewing and temperature changes.
At Platinum Dental Group, we use precise digital imaging to identify cracks that are invisible to the naked eye, ensuring accurate diagnosis and effective treatment from the start.

Symptoms and common causes
Cracked teeth can be tricky to detect because the symptoms often appear and disappear. However, understanding what to look for can help you seek treatment before the problem worsens.
Symptoms patients may notice
Sharp pain when chewing
One of the most common signs of a cracked tooth is a sudden, sharp pain when biting or chewing-especially when you release pressure. This happens because the crack slightly opens under pressure, exposing the sensitive inner layer of the tooth (dentin) to movement or temperature changes.
Sensitivity to hot or cold foods
If you feel discomfort when enjoying hot coffee or cold drinks, it might signal a fracture in the enamel. Cracks allow temperature changes to reach the tooth’s nerve more easily, triggering short bursts of pain or sensitivity that can come and go throughout the day.
Intermittent pain, hard to pinpoint
A cracked tooth doesn’t always hurt continuously. Instead, the pain may appear randomly, making it difficult to identify the exact tooth that’s affected. This is because the crack might only cause irritation when chewing at a specific angle or when certain foods touch the area.
Rough or sharp edges on the tooth
Sometimes, you might feel a rough or sharp edge on your tooth with your tongue. This can indicate that a small piece of enamel has chipped away due to a fracture. While it may seem minor, even small cracks can worsen over time if left untreated.
See also: An overview of teeth Veneers

Common causes
Biting hard foods (ice, hard candy)
Chewing hard objects like ice cubes, popcorn kernels, or hard candy can place excessive force on your teeth, leading to cracks or fractures. Even healthy teeth can chip or split under repeated pressure from these habits.
Accidents and sports injuries
A fall, facial impact, or blow during contact sports can easily crack or break a tooth. That’s why wearing a mouthguard during physical activities is essential to protect your smile from sudden trauma.
Teeth grinding or clenching
Chronic grinding (also known as bruxism) or clenching your jaw – especially during sleep – places ongoing stress on the enamel. Over time, this pressure weakens the tooth structure, making it more susceptible to cracking.
Large fillings weakening tooth structure
Teeth that have large or old fillings can become more fragile. The remaining natural enamel may not be strong enough to handle daily chewing forces, increasing the risk of fractures or splits.

Risk factors
Age (teeth wear over time)
As we age, our teeth naturally endure years of chewing, grinding, and exposure to temperature changes. This gradual wear and tear makes cracks more likely, particularly in back molars that handle the most pressure.
Previous dental work
Teeth that have undergone root canal therapy or extensive restorations may lose some of their natural strength and flexibility. Without proper protection, such as a dental crown, they can become more prone to cracking.
Poor oral hygiene leading to weaker enamel
Neglecting daily brushing, flossing, and regular cleanings can lead to enamel erosion. When enamel weakens, teeth lose their ability to absorb pressure evenly, making them more vulnerable to fractures.
See also: Key aspects of Crown Dental solutions

Treatment procedures at Platinum Dental Group
At Platinum Dental Group, every cracked tooth treatment begins with precision diagnosis and patient-centered care. Our approach combines modern digital technology with gentle, customized treatment plans – ensuring your comfort and the long-term health of your smile.
Step 1: Consultation & digital exam
Your journey starts with a thorough consultation and examination. Our dentists use digital X-rays, intraoral cameras, and 3D scanning technology to assess the depth and direction of the crack.
This step helps us identify whether the fracture has reached the tooth’s nerve or root. Based on the findings, we create a personalized treatment plan tailored to your dental condition, aesthetic goals, and comfort level.
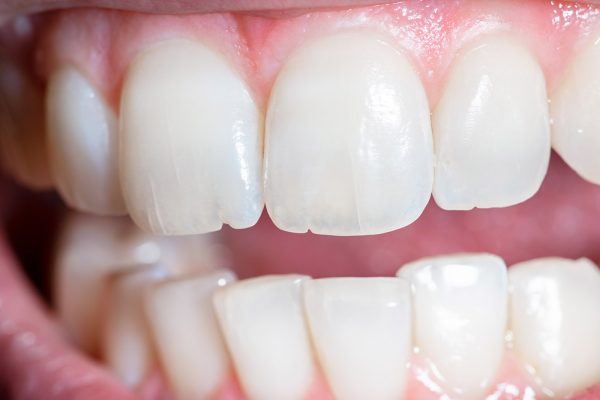
Step 2: Minor cracks – bonding or porcelain veneer
For small surface cracks that don’t affect the tooth’s inner structure, dental bonding or a porcelain veneer is usually recommended. Bonding uses high-quality resin material to seal and strengthen the enamel, restoring smoothness and protection.
For patients seeking aesthetic enhancement, our no-grind porcelain veneers are a beautiful and minimally invasive solution – restoring the tooth’s appearance without removing natural enamel.
Step 3: Moderate cracks – porcelain crown or root canal + crown
When a crack extends deeper but the root remains healthy, a porcelain crown is used to cover and protect the entire tooth. This not only prevents the crack from spreading but also restores full function and appearance.
In cases where the crack has reached the inner pulp, a root canal treatment is performed first to remove bacteria and preserve the tooth, followed by placement of a durable, custom-made crown for strength and stability.
Step 4: Severe cases – extraction + dental implant replacement
If the crack runs below the gum line or the tooth cannot be saved, extraction and dental implant replacement may be the best solution. At Platinum Dental Group, our implant specialists provide high-precision implant placement using digital planning for ideal alignment and long-term success.
The new implant-supported crown looks and functions just like a natural tooth, allowing you to smile and chew confidently again.
Step 5: Follow-up care – bite adjustment and long-term protection
After treatment, our team provides ongoing follow-up care to ensure healing and stability. This includes bite adjustments, routine checkups, and protective measures such as night guards for patients who grind their teeth.
We also guide you through proper at-home care to maintain your restored tooth or implant. Regular follow-ups help preserve your results – keeping your smile healthy, strong, and radiant for years to come.
At Platinum Dental Group, every step is handled with precision, compassion, and attention to detail – so you can feel confident that your cracked tooth will be treated with the highest standard of care.
What patients can do before visiting the dentist
If you suspect that you have a cracked tooth, it’s important to protect it and manage discomfort until you can see your dentist. Taking the right steps before your appointment can prevent the crack from worsening and reduce the risk of infection or further damage.

Rinse with warm water
Start by gently rinsing your mouth with warm water to keep the area clean. This helps remove food particles and bacteria that could irritate the crack or surrounding gums. Avoid using very hot or cold water, as temperature extremes may trigger sensitivity or pain.
Cover sharp edges with sugar-free gum or dental wax
If you feel a rough or sharp edge on the cracked tooth, cover it temporarily with sugar-free chewing gum or dental wax. This creates a smooth barrier that prevents the tooth from cutting your tongue or cheek. It’s a simple but effective way to stay comfortable until professional care is available.
Avoid chewing on the cracked tooth
Try not to bite or chew on the side of your mouth with the damaged tooth. Continuous pressure can cause the crack to deepen or split completely. Instead, chew soft foods on the opposite side and avoid hard or sticky items like nuts, ice, or caramel. This precaution can make a big difference in preserving the tooth’s remaining structure.
Save any broken fragments to bring to the dentist
If a piece of the tooth has chipped off, gently rinse it with clean water and store it in a small container. Bring the fragment with you to your dental appointment – sometimes, it can help the dentist better assess the extent of the damage or even reattach part of it.
By following these simple steps, you can minimize discomfort and protect your tooth while waiting for professional treatment. When you arrive at Platinum Dental Group, our team will carefully examine your tooth and provide the best solution to restore comfort, function, and confidence in your smile.
Cost of treating a cracked tooth
The cost of treating a cracked tooth can vary depending on the severity of the fracture, the treatment required, and the materials used. At Platinum Dental Group, we provide transparent pricing and personalized treatment plans to ensure every patient receives the best possible care for their budget.
| DETAILED AESTHETIC DENTISTRY PRICE LIST 2025 | |
| Service | Estimated Cost |
| Porcelain Veneers (no tooth shaving) | 15,000,000 VND/tooth |
| Porcelain Veneers (with tooth shaving) | 9,000,000 – 12,000,000 VND/tooth |
| Aesthetic Porcelain Crowns | From 2,500,000 – 15,000,000 VND/tooth |
| Aesthetic Tooth Filling (Composite) | From 500,000 – 2,000,000 VND/tooth |
Why choose Platinum Dental Group for cracked tooth treatment?
At Platinum Dental Group, we combine expertise, technology, and genuine care to help you restore your smile with confidence. Our team of experienced dentists specializes in both restorative and cosmetic dentistry, ensuring your cracked tooth is treated not only for function but also for aesthetics.

With a modern digital workflow, every step-from diagnosis to treatment-is precise and personalized to your dental condition. We believe every patient deserves a comfortable, stress-free experience, which is why our approach is always gentle and patient-first.
Since our establishment in 2015, we’ve successfully treated thousands of smiles and earned the trust of our community. Explore our real patient results and get a glimpse of our clinic environment-a space designed for your comfort and confidence.

FAQ about cracked teeth
What can you do for a cracked tooth?
Depending on the severity of the crack, your dentist may recommend treatments such as tooth bonding, dental crown, veneer, or root canal therapy. In cases where the tooth is severely fractured, extraction and replacement options like implants may be considered.
How urgent is treatment for a cracked tooth?
A cracked tooth should be treated as soon as possible. Delaying treatment can allow bacteria to enter the crack, leading to infection, pain, or further structural damage. Early intervention helps preserve your natural tooth and prevent costly procedures later.
How much does it cost to fix a cracked tooth?
Treatment costs vary depending on the extent of the damage and the chosen procedure. Generally, cosmetic fillings range from 500,000 – 2,000,000 VND per tooth, aesthetic crowns range from 2,500,000 – 15,000,000 VND per tooth, and veneers range from 9,000,000 – 15,000,000 VND per tooth. Your dentist will provide a detailed estimate after examination.
What questions should I ask my dentist about treatment?
You may ask:
- What type of crack do I have, and how severe is it?
- Which treatment options are suitable for my case?
- How long will the procedure and recovery take?
- What aftercare or follow-up is required?
Can a cracked tooth be repaired permanently?
While a crack cannot “heal” on its own, modern dental treatments can restore both the function and appearance of your tooth long-term. With proper care and regular check-ups, a repaired tooth can last for many years-sometimes even for life.
Restore confidence and comfort with Platinum Dental Group
A cracked tooth doesn’t have to mean discomfort or embarrassment – at Platinum Dental Group, we help you restore your smile with confidence and care. Our expert team provides personalized, gentle treatments using advanced digital technology to ensure both comfort and precision at every step.
Whether it’s a small crack or a more complex case, our goal is to help you smile, speak, and eat comfortably again – all while preserving your natural tooth whenever possible.
Book your consultation today to receive a professional assessment and treatment plan tailored to your needs.
Learn more:
- Key facts to know about Dental Implant
- Overview of the cost of a single tooth Implant
- Introduction to all on four Dental Implants near me
- General information about full mouth Dental Implants near me
Platinum Dental Group
Clinic Locations:
📍Platinum Dental Central: 127 Nguyen Cu Trinh Street, Cau Ong Lanh Ward, Ho Chi Minh City
📍Platinum Dental Thao Dien: 1H Street 10, An Khanh Ward, Ho Chi Minh City
📞 Hotline: (+84) 28 3920 9969 | 096 779 7799
✉️ Email: info@platinumdentalvietnam.com
🌐 Website: https://platinumdentalvietnam.com/
💬 Instagram: https://www.instagram.com/platinumdental.vietnam/
🔗 Facebook: https://www.facebook.com/platinumdentalvn

Tiếng Việt