Chipped Tooth: Causes, Treatment & Smile Restoration at Platinum Dental Group
A chipped tooth may seem like a small issue, but even a tiny crack can affect both your smile and your confidence. Whether it happens while biting something hard or after an unexpected accident, a chipped tooth can cause discomfort, sensitivity, and aesthetic concerns – especially when it’s on a front tooth. At Platinum Dental Group, our experienced dentists provide personalized, minimally invasive treatments from simple bonding to advanced no-grind porcelain veneers to restore your tooth’s natural beauty and strength. Here’s everything you need to know about the causes, risks, and most effective ways to fix a chipped tooth.
Nội dung bài viết
- 1 What is a chipped tooth?
- 2 Symptoms and causes of a chipped tooth
- 3 Is a chipped tooth dangerous?
- 4 How dentists diagnose a chipped tooth
- 5 Treatment options at Platinum Dental Group
- 6 At-home care before visiting the dentist
- 7 Prognosis and prevention
- 8 Why choose Platinum Dental Group for chipped tooth treatment?
- 9 FAQs about chipped tooth
- 10 Restore your smile with Platinum Dental Group
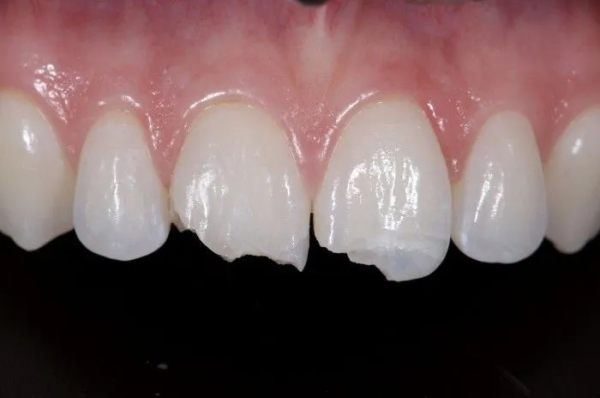
What is a chipped tooth?
A chipped tooth occurs when a small part of the tooth’s enamel – the hard, protective outer layer – breaks off due to external impact or everyday wear. The damage may range from a minor surface chip to a deeper fracture that exposes the inner dentin.

A chipped tooth is particularly concerning when it affects the front teeth (aesthetic zone), as even a small imperfection can change the way a smile looks and feels. Beyond aesthetics, a chipped edge can also impact how the teeth bite together, leading to discomfort or uneven wear over time.
Although a small chip might seem harmless at first, leaving it untreated can cause further cracking or decay as the enamel becomes more vulnerable. Early examination and treatment help preserve both function and appearance, preventing more complex dental issues later on.
Symptoms and causes of a chipped tooth
A chipped tooth can show different signs depending on how much of the enamel is damaged. Recognizing these symptoms early helps prevent further complications and ensures proper treatment.
Common symptoms patients may notice
- Sharp or rough edges: The broken area of the tooth often feels jagged or uneven, which may irritate the tongue or the inside of the cheek during speaking or eating.
- Tooth sensitivity: When the enamel layer is compromised, the underlying dentin becomes exposed. This can lead to temporary sensitivity to hot, cold, or sweet foods and drinks.
- Visible damage or aesthetic changes: In cases affecting the front teeth, even a small chip can alter the smile’s appearance. Patients may notice a visible notch, crack line, or uneven tooth edge.
- Pain or discomfort: If the chip extends deeper into the dentin or reaches the pulp (the nerve area inside the tooth), patients may experience pain, especially when biting or chewing.

Common causes of a chipped tooth
- Biting down on hard foods: Chewing on ice, hard candies, or nuts can put excessive pressure on teeth, especially those with weakened enamel, leading to sudden chipping.
- Accidents and sports injuries: Physical trauma, such as a fall or an impact during sports, is one of the most common reasons for a chipped or fractured tooth.
- Teeth grinding (bruxism) or clenching: Constant grinding or clenching causes microcracks and enamel wear over time, making teeth more prone to chipping.
- Tooth decay weakening the enamel: Cavities or untreated decay can erode enamel from within, reducing the tooth’s strength and making it easier to break.
- Everyday mishaps: Using teeth as tools – such as opening bottles or biting into packaging – or accidental slips and falls can also result in chipped teeth.
See also: Core concepts and options for Veneers teeth
Risk factors increasing the likelihood of chipping
- Weakened enamel from acid erosion or cavities: Frequent exposure to acidic foods and beverages (like soda, citrus, or vinegar) gradually erodes enamel, making it thinner and more fragile.
- Poor oral hygiene: Inadequate brushing or flossing allows plaque buildup and decay, which compromise tooth structure.
- Age-related enamel thinning: Over time, enamel naturally wears down, particularly in adults over 40, making teeth more susceptible to minor fractures.
- Worn or old dental work: Existing fillings, crowns, or restorations that have aged or loosened can reduce overall tooth strength and increase the risk of chipping.
Early identification of these symptoms and causes allows timely dental care, helping restore both the function and aesthetics of the tooth effectively.
Is a chipped tooth dangerous?
A chipped tooth may appear to be a minor issue at first glance, but it can become more serious if left untreated. The level of concern depends on how deep the chip extends into the tooth structure.
When only the outer enamel is affected, the damage is mostly cosmetic and may cause mild sensitivity or rough edges. However, if the chip reaches the dentin or pulp layer, it can expose the inner nerves and blood vessels of the tooth. This exposure increases the risk of infection, pain, and further cracking.
Even small chips can gradually worsen over time due to chewing pressure or temperature changes. Bacteria may also enter through microscopic cracks, leading to decay or pulp inflammation. In severe cases, this can result in the need for root canal treatment or even tooth loss.
For that reason, a chipped tooth should always be evaluated by a dentist as soon as possible. Early treatment not only prevents complications but also helps restore the natural appearance and strength of the tooth effectively.


How dentists diagnose a chipped tooth
At Platinum Dental Group, diagnosing a chipped tooth begins with a comprehensive dental examination to assess the extent of damage and identify any hidden fractures.
First, the dentist performs a visual exam using magnification and intraoral lighting to detect chips, cracks, or enamel irregularities that may not be visible to the naked eye. The surrounding gums and bite alignment are also checked to ensure no secondary damage has occurred.
Next, a digital X-ray is taken to evaluate the tooth’s internal structure and confirm whether the chip has affected the dentin, pulp, or surrounding bone. This step helps determine if additional treatments such as a crown or root canal are needed.
In some cases, a bite test may be performed to assess tooth stability and pinpoint sensitivity when pressure is applied.
Treatment options at Platinum Dental Group
Platinum Dental Group offers a range of treatment options tailored to the size, location, and severity of each chipped tooth. Every case is carefully assessed to ensure both the function and appearance of the smile are fully restored.
Dental bonding for small chips
For minor enamel chips, dental bonding is a simple and effective treatment. The dentist applies a tooth-colored composite resin to the damaged area, carefully shaping and polishing it to blend seamlessly with the natural tooth.
This procedure typically takes just one visit, is completely painless, and restores both aesthetics and comfort immediately. Bonding is ideal for small chips on front or side teeth where the damage doesn’t affect chewing strength.
Porcelain Veneer or crown for moderate chips
For moderate chips, especially in the aesthetic zone (front teeth), Porcelain Veneers are one of the most popular and effective solutions. These ultra-thin porcelain shells are bonded to the front surface of the tooth, instantly restoring a smooth, natural-looking appearance.
At Platinum Dental Group, patients benefit from our expertise in no-prep Veneers – a modern technique that preserves the natural tooth structure without the need for grinding. This method delivers a long-lasting result with minimal discomfort, while maintaining the health of the underlying tooth.
In cases where the chip is more extensive or compromises the tooth’s strength, a dental crown may be recommended. A crown fully covers the tooth, protecting it from further damage and restoring both function and aesthetics.
Many patients with chipped front teeth choose Porcelain Veneers at Platinum Dental Group because of their seamless, natural finish and minimally invasive process, allowing them to smile with confidence once again.
Root canal + crown for severe chips
When a chipped tooth extends deep into the dentin or pulp, the inner nerve tissue becomes exposed – leading to pain, sensitivity, and a higher risk of infection. In these cases, root canal treatment combined with a dental crown is the most effective way to preserve the tooth.
At Platinum Dental Group, the dentist first performs a root canal procedure to remove the damaged or infected pulp, then cleans and seals the root canals carefully to prevent reinfection. This process eliminates discomfort while maintaining the natural tooth root.
Once the tooth has been stabilized, a custom-made dental crown is placed over it to restore strength, shape, and function. The crown also provides complete protection, allowing the tooth to handle normal chewing forces and look completely natural within the smile.
This two-step approach not only saves the tooth from extraction but also ensures long-term durability and aesthetics – a key part of Platinum Dental Group’s commitment to gentle, patient-focused care.
At-home care before visiting the dentist
While waiting to see a dentist, there are a few simple but important steps that help protect the chipped tooth and reduce discomfort. Proper temporary care prevents further damage and keeps the surrounding gums and tissues safe.

Patient-first checklist:
- Rinse with warm salt water: Gently rinse the mouth to keep the area clean and reduce the risk of infection. Avoid using alcohol-based mouthwash, which can irritate sensitive tissues.
- Cover any sharp or rough edges: If the broken tooth has jagged edges that irritate the tongue or cheek, apply a small piece of sugar-free chewing gum or dental wax over it as a temporary cover.
- Avoid chewing on the affected side: Refrain from biting or chewing hard foods such as nuts, ice, or crusty bread. Stick to soft foods and chew carefully on the opposite side to prevent the chip from worsening.
- Manage pain or sensitivity: If mild discomfort occurs, over-the-counter pain relief may be used as directed. Cold compresses can also help reduce swelling from accidental trauma.
- Keep the broken piece if possible: If a fragment of the tooth has fallen off, gently rinse it with clean water and bring it to the dental clinic. In some cases, the dentist may be able to reattach it.
Even when symptoms seem mild, scheduling a prompt dental visit is essential. Early evaluation ensures proper restoration and protects the tooth from infection or further cracking.
See also: Basic concepts and applications of crown teeth
Prognosis and prevention
After professional treatment, most patients with a chipped tooth can expect strong, natural-looking results that restore both function and aesthetics. Whether repaired with dental bonding, a Porcelain Veneer, or a crown, the restored tooth will blend seamlessly with the rest of the smile and allow normal chewing and speaking without discomfort.
With proper care and maintenance, these restorations can last for many years. Regular dental visits also help ensure the tooth remains stable and that no new cracks or decay develop around the repaired area.
To minimize the risk of future chips or fractures, dentists at Platinum Dental Group recommend a few simple preventive habits:
- Avoid biting hard foods or objects: Stay cautious with ice, bones, or hard candy, as these can easily crack or chip enamel.
- Wear a night guard if grinding: Patients who grind or clench their teeth during sleep should wear a custom-made night guard to protect the enamel from constant pressure.
- Practice good oral hygiene: Brush twice a day with a soft-bristled toothbrush and fluoride toothpaste to strengthen the enamel.
- Schedule regular dental checkups: Routine cleanings and examinations every six months help detect early signs of wear, decay, or minor cracks before they worsen.
With the right preventive care, patients can enjoy a healthy, confident smile and reduce the chance of future dental emergencies.
Why choose Platinum Dental Group for chipped tooth treatment?
At Platinum Dental Group, chipped tooth cases are treated with a balance of aesthetic artistry and clinical precision, ensuring both the beauty and long-term health of every restored tooth. Each treatment is personalized – from small chips on front teeth to more complex fractures – to help patients regain a confident, natural-looking smile.
Expert dentists in cosmetic and restorative dentistry
The Platinum Dental team has extensive experience in repairing chipped teeth. Their expertise ensures that each restoration, whether with Porcelain Veneer, dental bonding, or a crown, looks and feels completely natural.

Advanced technology for precise diagnosis and results
Every chipped tooth treatment begins with digital diagnostics, including iTero 5 intraoral scanning, 3Shape TRIOS, and 3D Cone Beam CT imaging. These tools allow doctors to assess the extent of the damage accurately and plan the most suitable restoration – while ensuring patient comfort throughout the process.
Minimally invasive, natural-looking restorations
For aesthetic-zone cases, Platinum Dental specializes in no-prep Porcelain Veneers – a gentle technique that preserves natural enamel while transforming the smile instantly. For larger fractures, the clinic’s custom porcelain crowns provide both strength and long-lasting aesthetics. The results are seamless and designed to match each patient’s natural tooth color, shape, and texture.
Gentle care and patient comfort
Every chipped tooth treatment is performed under a pain-free, gentle approach, supported by modern sedation and sterilization systems that meet European standards. The clinic’s welcoming environment and caring staff make every visit comfortable and stress-free – even for those who feel anxious about dental care.
Trusted by local and international patients
Located in District 1, Ho Chi Minh City, Platinum Dental Group has become a trusted destination for both Vietnamese and international clients seeking reliable, aesthetic dental treatment. Thousands of patients have restored their chipped or broken teeth here, regaining confidence in their smiles and comfort in everyday life.
FAQs about chipped tooth
Is it okay to leave a tooth chipped?
Leaving a chipped tooth untreated is not recommended, even if it seems minor. A small chip can expose the inner layer of the tooth, making it more sensitive to temperature changes and prone to decay. Over time, the crack may spread, leading to pain, infection, or even tooth loss. Early treatment helps protect both the tooth structure and the overall bite.
How long will a chipped tooth last?
With proper dental restoration, a chipped tooth can last for many years. Treatments like dental bonding may last 3–7 years, while Porcelain Veneers and crowns can remain strong and beautiful for 10–15 years or longer with good oral hygiene and regular dental checkups.
How expensive is it to fix a chipped tooth?
The cost depends on the extent of the damage and the chosen treatment method. Minor chips treated with bonding are generally more affordable, while Porcelain Veneers or crowns for aesthetic restoration may cost more due to the material quality and lab customization. At Platinum Dental Group, all treatment plans are clearly explained in advance to ensure transparency and comfort for patients.
How urgent is a chipped tooth?
A chipped tooth should be treated as soon as possible. Even small chips can worsen if exposed to pressure or bacteria, leading to sensitivity or infection. Immediate evaluation allows the dentist to restore the tooth before complications arise.
Can a dentist fix a tiny chip?
Yes. A dentist can easily repair small chips using cosmetic bonding – a quick, minimally invasive procedure that smooths and reshapes the tooth in just one visit. For chips on front teeth or aesthetic areas, Porcelain Veneers are often recommended for a more durable and seamless result.
Whether the damage is small or extensive, prompt professional care ensures the best long-term outcome and helps restore both the function and appearance of the smile.
Restore your smile with Platinum Dental Group
A chipped tooth doesn’t have to affect your confidence – with the right treatment, you can restore a beautiful, natural-looking smile quickly and comfortably. At Platinum Dental Group, our signature no-grind porcelain veneer technique offers a gentle, aesthetic solution that preserves your natural tooth structure while enhancing your smile.
Our veneer process:
Step 1: Consultation & digital smile design
Your journey begins with an in-depth consultation and a personalized Digital Smile Design. This allows you to preview your future smile before any procedure begins.
Step 2: Minimal preparation (no grinding for aesthetic cases)
For most aesthetic cases, we use a no-grind or minimal-prep approach, ensuring your natural enamel remains intact while creating the perfect surface for veneer bonding.
Step 3: Veneer placement with instant smile transformation
Each veneer is meticulously crafted to match your facial features and natural tooth color. The placement process is quick, precise, and provides instant aesthetic transformation.
Step 4: Follow-up care for long-term results
We schedule a follow-up visit to ensure your veneers fit perfectly and maintain their brilliance for years to come.
With fast treatment, natural aesthetics, and outstanding patient satisfaction, Platinum Dental Group helps you regain your confidence and enjoy a flawless, lasting smile.
Book your veneer consultation today and let Platinum Dental Group restore your perfect smile.
Learn more:
- Essential details about Implant tooth options
- General pricing information for tooth Implant cost
- Important information about all on 4 Dental Implants near me
- Overview of full mouth Dental Implants
Platinum Dental Group
Clinic Locations:
📍Platinum Dental Central: 127 Nguyen Cu Trinh Street, Cau Ong Lanh Ward, Ho Chi Minh City
📍Platinum Dental Thao Dien: 1H Street 10, An Khanh Ward, Ho Chi Minh City
📞 Hotline: (+84) 28 3920 9969 | 096 779 7799
✉️ Email: info@platinumdentalvietnam.com
🌐 Website: https://platinumdentalvietnam.com/
💬 Instagram: https://www.instagram.com/platinumdental.vietnam/
🔗 Facebook: https://www.facebook.com/platinumdentalvn

Tiếng Việt