“Tôi đã khác rất nhiều…” – Hành trình Implant và Mão sứ cùng khách hàng đến từ Vương Quốc Anh
Từ tình trạng viêm nha chu nặng và bị từ chối cấy ghép Implant ở nhiều nơi, anh L.V đã tìm thấy “lời giải” cho nụ cười của mình sau hành trình 1 năm kiên trì cùng ThS.BS Dương Minh Tùng.
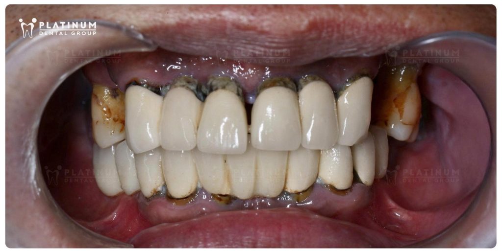
Anh L.V trở về từ Mỹ với một tình trạng răng miệng đáng lo ngại: Viêm nha chu nặng khiến toàn bộ răng cả hai hàm đều lung lay, không còn khả năng giữ lại. Phức tạp hơn, phim chụp X-quang cho thấy một nang xương khá lớn trong xương hàm, đây chính là “rào cản” khiến anh bị nhiều nha khoa từ chối điều trị Implant.
“Trường hợp này không thể cấy Implant, chỉ có thể làm hàm giả tháo lắp” Câu trả lời đồng nhất từ nhiều nơi khiến anh L.V gần như mất hy vọng về việc có lại một hàm răng cố định, chắc khỏe để ăn nhai tự nhiên.

Cơ duyên dẫn lối anh L.V đến với Platinum Dental Group. Tại đây, sau khi thăm khám kỹ lưỡng và đánh giá toàn diện các chỉ số xương hàm, ThS.BS Dương Minh Tùng đã đưa ra một phán quyết thay đổi cục diện: Ca điều trị này rất thách thức, nhưng hoàn toàn có thể thực hiện phục hình cố định trên Implant nếu có lộ trình bài bản.
Phác đồ điều trị chuyên sâu được thiết lập riêng cho anh L.V:

Một năm sau, khi các trụ Implant đã tích hợp hoàn hảo vào xương hàm đúng như dự kiến, anh L.V trở về Việt Nam để thực hiện bước cuối cùng: Phục hình hàm cố định sau cùng.

Kết quả lâm sàng cho thấy các trụ Implant ổn định tuyệt đối, không phát sinh bất kỳ biến chứng nào. Anh L.V chia sẻ trong niềm vui: “Một năm qua anh thấy rất ổn, ăn nhai tốt. Lần này về hoàn thiện phục hình, hàm răng mới rất đẹp, vừa vặn và thoải mái như răng thật vậy.”

Hạnh phúc không chỉ dừng lại ở nụ cười mới của anh L.V. Chính sự thay đổi ngoạn mục và chất lượng điều trị thực tế đã tạo nên một niềm tin lớn: Trong chuyến về nước lần này, anh đã đưa vợ đến Platinum Dental để cùng thực hiện cấy ghép Implant.

Hành trình của vợ chồng anh L.V là minh chứng rõ nét nhất cho năng lực chuyên môn của đội ngũ bác sĩ tại Platinum Dental. Chúng tôi không chỉ mang đến giải pháp y khoa, mà còn mang lại hy vọng cho những trường hợp khó nhất.
Nếu bạn là Việt kiều đang băn khoăn về việc điều trị Implant tại quê nhà, câu chuyện của anh L.V chính là câu trả lời xác thực nhất cho chất lượng và sự tận tâm mà bạn đang tìm kiếm.
BẠN CÓ ĐANG GẶP TÌNH TRẠNG MẤT RĂNG TOÀN HÀM HOẶC BỊ TỪ CHỐI CẤY IMPLANT? [Đăng ký tư vấn trực tuyến cùng ThS.BS Dương Minh Tùng ngay]
Chi phí dịch vụ mỗi khách hàng có thể khác nhau tuỳ vào sức khoẻ răng miệng. Liên hệ Platinum Dental để được tư vấn chính xác và cập nhật các ưu đãi mới nhất