PHỤC HỒI RĂNG TOÀN HÀM CHO VIỆT KIỀU MỸ: KHI HY VỌNG ĐƯỢC THẮP SÁNG TẠI PLATINUM DENTAL
“Wow… thật tuyệt. Khi nhìn lại hai bức ảnh trước và sau điều trị, tôi thực sự xúc động. Tôi đã khác rất nhiều.”
Đó là chia sẻ của Mr. Jeffrey (55 tuổi, Quốc tịch Anh) sau khi hoàn tất hành trình điều trị tại Platinum Dental.
Chúng tôi gặp Mr. Jeffrey vào một buổi chiều cuối tháng 2, khi anh mang theo một mong muốn rất đơn giản nhưng đã bị gián đoạn trong nhiều năm: được cười thoải mái và tự tin trở lại.

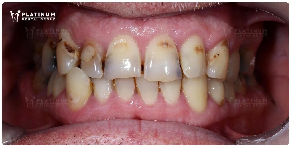
Tình trạng mất răng hàm kéo dài, cùng với các răng còn lại bị sâu và vỡ mẻ, không chỉ ảnh hưởng đến thẩm mỹ mà còn làm suy giảm nghiêm trọng chức năng ăn nhai. Những bữa ăn yêu thích dần trở nên không còn trọn vẹn, và sự tự tin trong giao tiếp cũng theo đó mà thu lại.

Sau một thời gian tìm hiểu kỹ lưỡng, Mr. Jeffrey đã quyết định lựa chọn Platinum Dental để bắt đầu hành trình điều trị toàn diện cho mình.
Sau khi thăm khám và trao đổi chuyên môn, đội ngũ bác sĩ đã xây dựng một kế hoạch điều trị phối hợp liên chuyên khoa, với mục tiêu:
Lộ trình điều trị bắt đầu với cấy ghép Implant do Bác sĩ Dương Minh Tùng thực hiện. Các điều trị gồm có nâng xoang, ghép xương và trồng Implant tại vùng răng hàm đã mất.

Bác sĩ Quốc Duy thực hiện phục hình mão sứ cho các răng sâu, vỡ mẻ lớn của hàm trên đồng thời cân chỉnh lại cung cười.

Toàn bộ quá trình được lên kế hoạch chặt chẽ ngay từ đầu, đảm bảo sự tương trợ giữa Implant và phục hình sứ, từ đó giúp tái lập khớp cắn ở trạng thái ổn định, thoải mái và bền vững lâu dài.

Kết quả sau điều trị không chỉ thể hiện ở sự thay đổi về thẩm mỹ. Đó còn là cảm giác ăn nhai ổn định hơn, thoải mái hơn trong sinh hoạt hằng ngày. Là sự tự tin khi giao tiếp trở lại. Và là khoảnh khắc Mr. Jeffrey xúc động khi nhìn thấy chính mình trong gương với nụ cười mới.

Mỗi khách hàng đến với Platinum Dental đều mang theo những vấn đề và mong muốn rất riêng. Vì vậy, chúng tôi luôn tiếp cận mỗi trường hợp bằng sự thấu hiểu, kết hợp cùng chuyên môn và kế hoạch điều trị cá nhân hóa.


Tại Platinum Dental, điều chúng tôi hướng đến không chỉ là một kết quả thẩm mỹ, mà là một giải pháp điều trị đúng, an toàn và bền vững, giúp khách hàng có thể sử dụng lâu dài và tự tin hơn trong cuộc sống.
Nếu bạn đang gặp những vấn đề về mất răng, ăn nhai kém hoặc chưa hài lòng với nụ cười của mình, đội ngũ bác sĩ chuyên gia tại Platinum Dental luôn sẵn sàng đồng hành cùng bạn trên hành trình điều trị phù hợp nhất từ những tư vấn đúng với tình trạng, phương án điều trị phù hợp và toàn diện, quá trình được kiểm soát và đảm bảo.
👉 Liên hệ Platinum Dental để được tư vấn và đặt lịch thăm khám.
Chi phí dịch vụ mỗi khách hàng có thể khác nhau tuỳ vào sức khoẻ răng miệng. Liên hệ Platinum Dental để được tư vấn chính xác và cập nhật các ưu đãi mới nhất