Tetracycline stained Teeth – Symptoms, Causes, and Effective Solutions
A bright, confident smile is often the best “icebreaker,” instantly helping you create a positive impression in any conversation. Yet, many people struggle with self-esteem when their teeth are discolored by tetracycline stained teeth – a condition notoriously resistant to standard whitening methods. Beyond dulling the natural brightness of your face, it can subtly affect your mood, make social interactions more stressful, and even impact professional opportunities.
Knowing what triggers tetracycline staining, how to identify its symptoms, and which treatments work best is the key to restoring bright, healthy teeth and a confident smile. Right here, Platinum Dental Group takes an in-depth look at tetracycline stained teeth and introduces proven, safe treatment options that have successfully helped many patients regain their natural radiance.
Nội dung bài viết
- 1 What are tetracyclin stained teeth?
- 2 The symptoms of tetracycline stained teeth
- 3 Main causes of tetracycline stained teeth
- 4 How tetracycline stained teeth affect patients
- 5 Treatment methods and effectiveness by severity
- 6 Some cases of tetracycline stained teeth treatment at Platinum Dental Group
- 7 Why many patients choose Platinum Dental Group for tetracycline stained teeth treatment
- 8 Some solutions to prevent tetracycline tooth staining
What are tetracyclin stained teeth?
Tetracycline stained teeth are a form of permanent tooth discoloration caused by exposure to the antibiotic tetracycline during the critical stages of enamel formation. When the medication enters the body, typically during fetal development or in children under the age of eight, tetracycline molecules can bind with calcium and become embedded within the enamel and dentin. Over time, this reaction creates distinctive yellow, brown, gray, or even blue-purple streaks that are extremely difficult to lighten with standard whitening treatments.
Unlike surface stains from food, coffee, tobacco, or poor oral hygiene, tetracycline discoloration penetrates deep into the tooth structure and often appears as irregular, widespread blotches across the entire tooth surface. This makes it one of the most challenging types of intrinsic staining to address in cosmetic dentistry.

While the condition does not cause pain or directly harm dental health, the noticeable discoloration can significantly affect self-confidence, making people hesitant to smile or engage in social interactions. Understanding what tetracycline staining is, and how it develops, is the first step toward selecting an effective treatment and regaining a confident smile.
The symptoms of tetracycline stained teeth
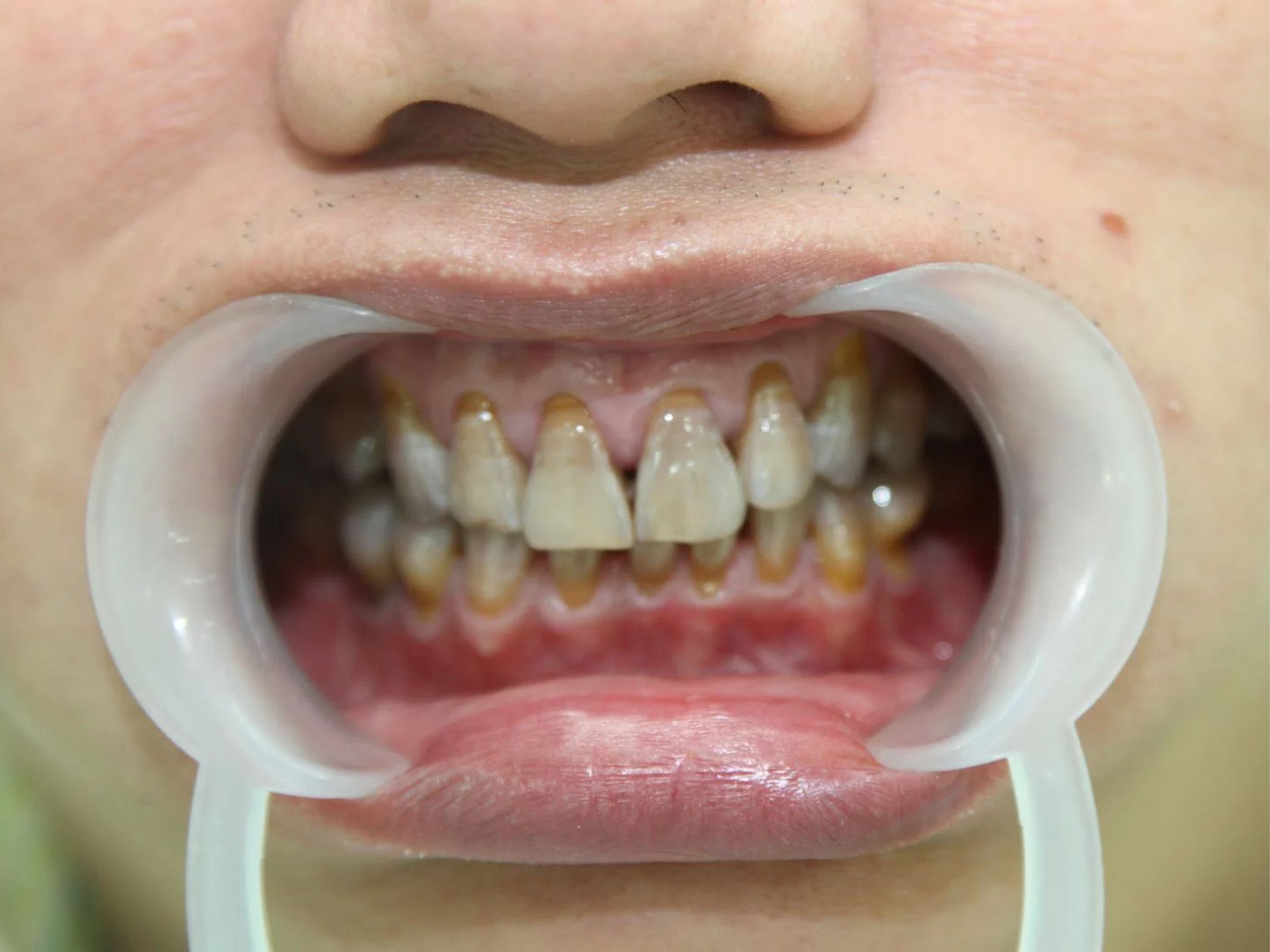
Tetracycline discoloration presents with distinct, easily identifiable features that set it apart from common surface staining. These signs can be observed with the naked eye or confirmed by a dental professional during an examination. Typical indicators include:
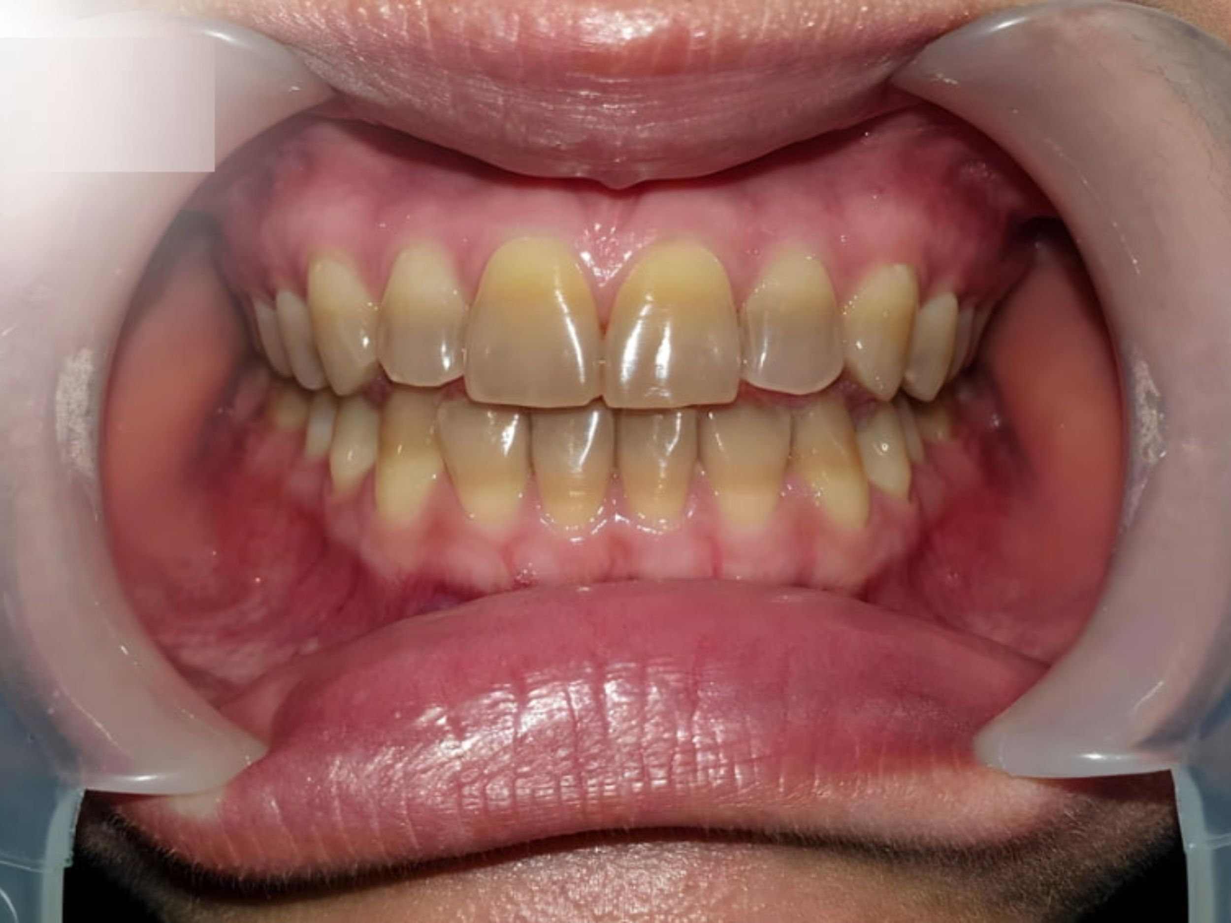
- Characteristic color changes: Teeth may take on shades ranging from pale yellow and yellow-brown to grayish-blue or deep purple. In severe cases, the discoloration appears darker and mottled across the entire tooth surface.
- Symmetrical distribution: Unlike staining caused by coffee, tea, or tobacco, which usually affects isolated areas, tetracycline staining typically occurs evenly across both the upper and lower arches.
- Altered enamel translucency: In some cases, the enamel becomes cloudy or less translucent, creating an unnatural reflection of light.
- Resistance to conventional whitening: Standard at-home or in-office bleaching treatments provide little to no improvement since the discoloration originates deep within the tooth structure.

These symptoms often appear once permanent teeth have fully erupted and can persist for life without professional intervention. Early detection allows dentists to accurately assess the severity and design an effective treatment plan.
Learn more: Core concepts and options for Veneers teeth
Main causes of tetracycline stained teeth
Tetracycline staining occurs when tetracycline antibiotics are taken during the critical stages of tooth development. At this time, the medication can bind with calcium in the bones and enamel, leading to the characteristic discoloration. Specific causes include:
- Use of tetracycline during pregnancy: If a pregnant woman takes this antibiotic during the second or third trimester, tetracycline can cross the placenta and directly affect the developing teeth of the fetus.
- Tetracycline use in children under eight years old: This is the period when both baby teeth and permanent teeth are forming. Prolonged use or high doses of the drug can cause pigments to accumulate within the tooth structure, resulting in permanent staining.
- Duration and dosage of the medication: Longer treatment periods or higher doses increase the likelihood and severity of discoloration.
- Individual enamel sensitivity: Each person’s biology differs, so the extent of staining can vary depending on how readily tetracycline binds within the teeth.
This type of discoloration isn’t caused by poor oral hygiene or everyday diet but stems primarily from past medical exposure. Because of its deep, intrinsic nature, tetracycline staining is one of the most challenging tooth discolorations to treat and often requires advanced cosmetic dental restoration.

Tetracycline stained teeth are not the result of poor oral hygiene or everyday eating and drinking. Instead, the condition stems from past medical exposure to tetracycline antibiotics during the critical stages of tooth development. So it is considered one of the most difficult types of staining to treat and typically requires advanced cosmetic dental procedures for effective correction.
How tetracycline stained teeth affect patients
Tetracycline stained teeth don’t cause pain or directly impair chewing function, but they create significant negative effects on both appearance and psychology. This condition impacts not only the brightness of the smile but also the overall harmony of the face, so it’s more than a simple cosmetic issue.
- Impact on smile and facial appearance: Blotchy, darkened discoloration makes the face look less vibrant and can create an older appearance. This reduces the harmony of the smile and overall facial aesthetics.
- Loss of self-confidence: Many people feel reluctant to smile, avoid social interactions, or try to hide their teeth while speaking. Over time, this can lower quality of life, affect work performance, and strain social relationships.
- Challenges in cosmetic treatment: Unlike yellowing from food or tobacco that can be improved with whitening, tetracycline stains penetrate deep into the dentin. This makes treatment more complex and requiring advanced techniques.
- Long-term psychological effects: Persistent embarrassment about one’s smile may lead to chronic insecurity, limit career advancement, and create difficulties in daily communication.

Because of these impacts, treating tetracycline stained teeth is not only about enhancing appearance but also about restoring confidence and improving overall quality of life. Proper treatment can help patients regain a natural smile and enjoy a more fulfilling social and professional life.
Learn more: Basic concepts and applications of crown teeth
Treatment methods and effectiveness by severity
Tetracycline staining varies in severity, ranging from mild to very severe. For this reason, dentists will recommend a treatment plan tailored to each specific case. Mild discoloration may respond to whitening, while moderate to severe cases usually require restorative solutions such as veneers or full crowns for more lasting and dramatic results.
Teeth whitening
Teeth whitening is typically applied to mild tetracycline staining. The dentist may combine in-office whitening with high-concentration agents and provide custom trays for at-home maintenance to prolong the effect.
This method offers the advantages of lower cost, minimal invasiveness, and noticeable improvement in tooth shade within a few weeks. However, in severe cases, the teeth usually lighten only partially and cannot achieve a completely bright white color.

Mild tooth sensitivity may occur during treatment but generally subsides over time. A direct examination by a dentist is necessary to determine whether whitening is suitable in each case.
Porcelain veneers
When tetracycline staining is moderate to severe, whitening is often insufficient. Porcelain veneers become the best choice in these situations. Veneers are thin porcelain shells bonded to the outer surface of the teeth, effectively covering the discolored areas. This technique preserves most of the natural tooth structure while providing high aesthetics and a natural color.
However, because veneers are ultra-thin, they may have limitations in masking very dark underlying stains. Patients considering veneers should be examined carefully by a qualified dentist to ensure proper fit, durability, and aesthetic results.

Full-coverage crowns
For severe tetracycline staining with dark gray, blue, or black blotches, full-coverage porcelain crowns offer superior masking ability. This method completely covers the tooth, improves color while also restoring shape and chewing function.

Crowns deliver dramatic, long-lasting aesthetic results with even, stable color. Compared with veneers, though, they require more tooth reduction. So choosing high-quality porcelain and precise dental technique is essential to ensure long-term success.
Some cases of tetracycline stained teeth treatment at Platinum Dental Group
Mr. Kenny chose full-arch porcelain veneers
Tetracycline discoloration is known as one of the most challenging tooth-staining conditions to correct. Mr. Kenny experienced this issue, which dulled his smile and affected his confidence in social interactions. Previously, he opted for composite bonding to mask the stains. However, after only three years, the composite began to chip, discolor, and could no longer hide the imperfections.
Solution at Platinum Dental Group: Premium porcelain veneers were applied to both arches, completely replacing the old composite layer.
Results achieved:
- Natural tooth shade (BL2), bright and well-balanced with his facial features.
- Exceptional durability with no chipping or staining.
- Proper tooth proportions for a harmonious, symmetrical smile.
- Fast completion in just 4 days with only 3 appointments.
Mr. Kenny has truly transformed with his new look. No longer worried about dark stains or hesitant to smile, he now radiates confidence and charm in every moment.

Mr. Kenny’s feedback: “Before, I was embarrassed to smile because of the dark color of my teeth. Even after composite bonding, it didn’t last and deteriorated quickly. After getting porcelain veneers at Platinum Dental Group, I was amazed by the results. My teeth look naturally bright, and I can smile freely without worrying about flaws. I feel so much more confident now, both at work and in everyday life.”
Mr. Bill Huynh and Smile Transformation Journey
Once self-conscious about his level-4 tetracyclin stained teeth, the most severe stage, Mr. Bill Huynh (Australia) came to Platinum Dental Group to regain his confident smile. Years of grayish-yellow discoloration made him hesitant to communicate, significantly affecting both his work and personal life.
After a thorough examination by Dr. Tran Lan Anh, he was prescribed a comprehensive aesthetic porcelain crown solution – 20 upper and lower teeth. The results brought an extraordinary transformation:
- Bright, natural white teeth with complete removal of heavy discoloration.
- Golden-ratio tooth shape and smile arch, perfectly balanced with his facial features.
- A younger, more radiant, and captivating appearance.
Upon completing the treatment, Mr. Bill described the experience as feeling “reborn,” now able to smile freely and confidently in every moment. At Platinum Dental Group, each restoration case is not only about aesthetic improvement but also a journey to create a more radiant version of yourself.

After finishing the treatment, Mr. Bill shared: “I never thought I could have such bright, white teeth. In the past, I always avoided smiling, but now I feel like I’m living a new life – more confident, comfortable, and much happier. Thank you, Platinum Dental Group and Dr. Lan Anh, for giving me this smile.”
16-Tooth Porcelain Veneer Case – High School Principal Ngoc Hieu
Before coming to Platinum Dental Group, Ms. Hieu’s teeth were discolored by tetracycline antibiotics, leaving them dark and uneven in shade. Although she had previously tried composite veneers to improve their appearance, the coverings quickly changed color, easily trapped food, and caused decay along the gum line.
Given the nature of her work (frequent public speaking and regular interaction with large groups) she wanted a bright, natural smile to boost her confidence. After a thorough examination and careful design, the Platinum Dental Group team selected a tooth shade and shape that harmonized beautifully with her facial features and the poised demeanor of an educator guiding younger generations. Notably, a minimal-prep veneer technique was used to preserve as much natural tooth structure as possible while still delivering outstanding aesthetic results.

Immediately after completion, Principal Ngoc Hieu shared: “I feel so much more confident when teaching and communicating with others. My new smile truly helps me feel more comfortable and radiant every single day.”
Why many patients choose Platinum Dental Group for tetracycline stained teeth treatment
Treating tetracycline stained teeth is considered one of the most challenging procedures in cosmetic dentistry. It requires highly skilled dentists, precise techniques, and premium restorative materials. Platinum Dental Group has earned the trust of countless patients for the following reasons:
Highly specialized cosmetic dentists
Platinum Dental Group brings together a team of well-trained Oral & Maxillofacial specialists with extensive experience in aesthetic restorations. Each dentist conducts thorough examinations, provides detailed consultations, and recommends the most suitable solution for every case.

At Platinum Dental Group, patients can feel completely at ease knowing they are treated by top-tier experts with many years of experience in porcelain restorations:
- Dr. Tran Lan Anh, Specialist Level I: With over 16 years of expertise in cosmetic porcelain restorations, Dr. Tran Lan Anh is recognized as Vietnam’s No.1 Veneer specialist. She has trained at the University of Bordeaux (France), the University of British Columbia (Canada), and the Digital Smile Design Institute (Spain). Renowned for prioritizing natural aesthetics and long-lasting durability, she has helped thousands of patients achieve bright, confident smiles.
- Dr. Phung Le Phuong Dung, Specialist Level I: Graduating with honors from Hue University of Medicine and Pharmacy and holding a joint degree from the University of Bordeaux (France), Dr. Phung Le Phuong Dung possesses strong knowledge in orthodontics and cosmetic restorations. She has completed numerous advanced courses in periodontics, dentofacial orthopedics, and biological orthodontics. Dedicated and meticulous, she always delivers optimal treatment plans for each patient.
- Dr. Dang My Hang: With nearly 13 years of clinical experience and a professional license from the Ministry of Health, Dr. Dang My Hang is known for precise diagnosis and skillful execution, ensuring a gentle and safe treatment experience. Her attentive approach and clear explanations help patients feel comfortable throughout their dental care journey.
Advanced technology and strict medical protocols
Platinum Dental Group clinics are equipped with state-of-the-art technology, including 3D scanners, Digital Smile Design (DSD) software, and CAD/CAM systems for precise porcelain fabrication. These innovations guarantee natural, safe, and fast aesthetic results.

Only premium imported porcelain materials with certified origins are used, such as full-ceramic, Zirconia, and E.max porcelain, all meeting international standards for durability, natural color, and excellent biocompatibility. Every step of the process follows rigorous sterilization protocols, from instruments and dental chairs to the entire clinic environment, minimizing cross-infection risks and ensuring patient safety.
Proven results from numerous successful cases
Hundreds of patients have regained bright, confident smiles after tetracycline-stain treatment at Platinum Dental Group. Successful clinical cases, clear before-and-after photos, and positive patient feedback stand as convincing proof of the clinic’s quality. Platinum Dental Group not only improves tooth color but also brings positive changes to patients’ mindset and overall confidence.

Some solutions to prevent tetracycline tooth staining
Tetracycline stained teeth can be prevented if you understand the cause and take early protective measures:
- Do not self-medicate with antibiotics: Tetracycline and its derivatives should not be used by pregnant women or children under eight years old, as they carry a high risk of causing permanent tooth discoloration.
- Consult a doctor before taking medication: If antibiotic treatment is necessary, always follow your doctor’s instructions and dosage to ensure safety.
- Maintain regular oral care: Brush at least twice a day, use dental floss, and schedule dental checkups every six months to detect and address dental issues early.
- Adopt a healthy diet: Include calcium- and vitamin D–rich foods and limit dark-colored beverages such as coffee, tea, and red wine to reduce the risk of staining.

Preventive care not only protects the enamel but also helps preserve long-term oral health and aesthetics.
Tetracycline staining does more than affect appearance—it can also lower confidence in daily interactions. However, thanks to modern dentistry and advanced cosmetic solutions at Platinum Dental Group, you can fully regain a bright, radiant smile.
Whether the discoloration is mild or severe, Platinum Dental Group’s dentists will provide a treatment plan that is safe, effective, and long-lasting. Don’t let tetracycline stains hide your smile – just let Platinum Dental Group help you reclaim your confidence with healthy, beautifully aligned teeth.
>> Read more:
- Important aspects of Implant Dental solutions
- General pricing information for tooth Implant cost
- An overview of all on 4 Dental Implants
- Overview of full mouth Dental Implants
Contact for a free consultation and appointment:
- Hotline: 028 3920 9969 – 096 779 7799.
- Address: 127 Nguyen Cu Trinh Street, District 1, Ho Chi Minh City.

Tiếng Việt