Pros and Cons of Dental Implants: A Detailed Guide from a Dentist
Tooth loss not only affects aesthetics but also reduces chewing function and facial structure. Dental implants are currently the optimal solution, helping to restore teeth permanently, naturally and long-lasting, chosen by many patients. During the research process, one question that many patients wonder is whether dental implants are truly beneficial. This article will answer from A-Z about the pros and cons of dental implants, helping you consider carefully before deciding, and at the same time, share important notes to achieve the best results when performing at Platinum Dental Group.
Nội dung bài viết
Outstanding advantages of dental implants
Dental Implants are not just about restoring lost teeth, but also bring many comprehensive benefits to oral health and facial aesthetics. Before deciding to do it, understanding these advantages will help you evaluate the true value of Implants, from the ability to chew, to protect the jawbone, to aesthetics and long-term safety. Below are the outstanding benefits that Implants bring:
Restore chewing function like real teeth
One of the greatest benefits of implants is the complete restoration of chewing ability. The sturdy titanium post helps the implant tooth withstand force well, almost like a real tooth, allowing you to eat comfortably without worrying about pain or slipping teeth. Compared to porcelain bridges or removable dentures, implants provide a more natural chewing feeling, helping to protect digestive health and eat more diversely.

Prevent jawbone loss, maintain facial structure
When teeth are lost for a long time, the jawbone will gradually disappear, causing the cheeks to become sunken and the face to lose its beauty. Implants replace the tooth root, stimulate the jawbone, prevent bone loss, and thereby preserve the natural facial structure. This is an outstanding benefit that traditional methods, such as removable dentures, cannot bring.
Preserve real teeth, without invading adjacent teeth
Unlike porcelain bridges, implants do not require grinding down healthy adjacent teeth, preserving maximum natural teeth. This helps maintain long-term oral health and reduces the risk of tooth decay or damage to adjacent teeth.
High aesthetic, natural
Dental implants are designed with porcelain crowns that are similar in color and shape to real teeth, making them difficult to distinguish from real teeth. When smiling or communicating, implants provide a natural look, enhancing confidence and aesthetics, especially important for teeth in visible positions.

Long life, long lasting effect
With quality materials and proper care, dental implants can last for over 20 years, even a lifetime. This lifespan is superior to porcelain bridges (7-10 years) or removable dentures (3-5 years), helping you save on replacement costs and maintain long-term effectiveness.
Improve pronunciation, communicate confidently
Missing teeth, especially front teeth, can cause difficulty in pronunciation, a lisp or lack of confidence when communicating. Implants help restore natural pronunciation, creating a feeling of certainty and comfort, helping you feel more confident in your work and daily life.
Safe and harmless to the body
Titanium posts are highly biocompatible and do not react with the body. When performed by an experienced doctor and in a sterile environment, implants are a safe solution, with a success rate of over 95%.
Maintaining a stable bite: When a tooth is lost for a long time and is not restored promptly, the adjacent teeth tend to tilt and shift, creating a misaligned bite. Restoring lost teeth with implants helps stabilize the teeth’s position and protect the bite.
Disadvantages to consider before getting an implant
Before deciding to do it, it is necessary to clearly understand the advantages and disadvantages of dental implants so that you can prepare mentally, financially and plan your dental care. Although implants bring many outstanding benefits, there are still some limitations that need to be carefully considered.
Costs more than other methods
Implants are a modern solution, using high-quality materials and complex procedures, so the cost is often higher than porcelain bridges or removable dentures. The price varies depending on the number of teeth to be restored, the type of implant and the dentist performing the procedure. Financial preparation in advance will help the treatment process go smoothly and without interruption.

Long treatment time
The implant process does not take place in one day. After the implant is placed, it takes 3-6 months for the implant to integrate with the bone, and then the porcelain crown can be installed. This is a factor that makes some people consider it compared to faster methods, but in return, the implant has long-term effectiveness.
Requires highly qualified and experienced doctors and modern equipment
An implant is a complex dental technique, requiring experienced doctors and modern equipment. If performed at an unreliable facility, the risk of failure or complications will increase, affecting oral health.

Not suitable for everyone
Although Implant is considered the optimal dental restoration solution, not everyone can do it right away. Cases with chronic diseases that are not well controlled, such as diabetes, cardiovascular disease or blood clotting disorders; heavy smokers, alcoholics; or patients with severe teeth grinding habits, jawbones with insufficient density and volume… are all at high risk of the implant not achieving the desired results. Therefore, before treatment, the doctor will conduct a general examination, assess the overall and oral health to come up with a suitable treatment plan, ensuring safety and long-term results.
Risk of postoperative complications if not taken care of or if choosing an unreliable facility
If you do not follow the post-implant care instructions, you may experience infection, non-integration of the implant, or prolonged pain. Choosing a reputable dental clinic and taking proper care of your teeth will minimize these complications.
Tooth life depends on many factors
Although implants can last a long time, their actual lifespan depends on your oral care regimen, eating habits, and overall health. Understanding the pros and cons of dental implants will help you prepare well and maintain long-term results.
Dental implants vs. dental bridges and removable dentures
When losing teeth, many people hesitate between implants, porcelain bridges or removable dentures. Each method has its own advantages and disadvantages, affecting cost, longevity, aesthetics and jawbone health. Below is a quick comparison table to help you evaluate and choose the right solution:
| Target | Implant | Porcelain dental bridge | Removable teeth |
| Expense | Highest | Medium | Lowest |
| Durability | 20 years – lifetime | 7-10 years | 3-5 years |
| Prevent bone loss | Yes | No | No |
| Preserve real teeth | Yes | No (Adjacent teeth must be ground down) | Yes |
| Aesthetics | Natural, hard to distinguish | Relativity | Poor, easy to expose |
| Completion time | 3-6 months | 1-2 weeks | 1-2 weeks |
For those who prioritize long-term effectiveness, aesthetics and jawbone health, Implant is still the optimal choice, despite the higher cost.
Things to keep in mind when deciding to have an implant
A Dental Implant is an investment of time, money and health. To achieve optimal results and minimize risks, you need to pay attention to some important points before and after the procedure.
Full consultation and examination before treatment
Before implant placement, a general examination and X-ray or Cone Beam CT scan help the doctor accurately assess bone density, gum condition and jaw structure. From there, the doctor will plan appropriate treatment, minimize complications and ensure a high success rate.

Choose a reputable dental clinic and highly qualified doctors
Implant is a complex technique, so you should choose a licensed dental facility, modern equipment and experienced doctors. A strict sterilization process and precise technique will help the implant integrate well into the bone, reducing the risk of infection or failure after implantation.
Understand total costs and have a reasonable financial plan
The cost of implanting an implant is often higher than other methods, so you need to understand the total price, additional costs and plan your finances accordingly. Some dental clinics have installment payment programs or preferential packages to make the treatment process more convenient.

Comply with post-implant care
Proper oral care after dental implant surgery is important to prolong the life of your teeth. You should:
- Eat soft foods for the first few days, avoiding foods that are too hard or sticky.
- Clean your mouth thoroughly, brush your teeth gently and rinse with saline.
- Regular check-ups as directed by your doctor to monitor bone integration and gum condition.
Fully following these instructions will help you optimize the effectiveness of the implant, reduce the risk of complications and ensure long-lasting, durable new teeth.
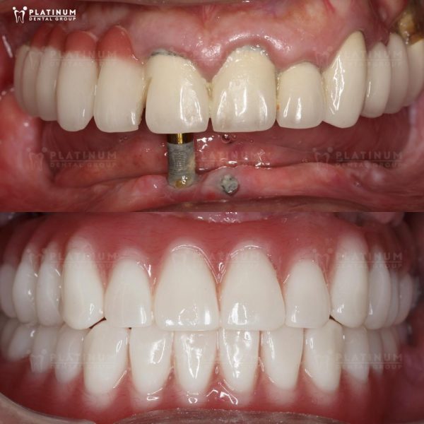
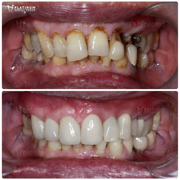
Dental Implant at Platinum Dental Group
At Platinum Dental Group, we understand that dental implant surgery is an important decision that affects your health, appearance, and confidence. Therefore, each treatment is performed with the highest standards of safety and effectiveness.

Outstanding strengths of Platinum Dental Group
- Highly specialized doctors: A team of experienced doctors, trained in implant surgery, ensures each treatment is accurate and successful. A thorough examination process by Master, Dr. Duong Minh Tung, Master – Specialist Level II in Implantology, with over 15 years of surgical experience and international training. The doctor assesses the condition and provides an optimal treatment plan, bringing long-term benefits to patients with tooth loss.
- Modern equipment: 3D CT scanner system, sterile operating room and advanced Implant technology help optimize the bone integration process and minimize risks.
- Quality Implant Materials: Using genuine titanium posts and porcelain crowns, biocompatible, safe, long-lasting and naturally aesthetic.
- Comprehensive care process: From consultation, examination, and implantation to post-operative monitoring, Platinum Dental Group ensures customers are thoroughly guided and attentively cared for.
When choosing Platinum Dental Group for dental implants, you will experience a comprehensive service from consultation, examination, implantation, to post-operative care, with a team of experienced doctors and modern equipment, ensuring a high success rate and absolute safety. We use genuine, durable and naturally aesthetic implant materials, while being transparent about costs and warranty policies, helping customers feel secure throughout the treatment process.

Dental Implant is the optimal solution to restore chewing function, protect the jawbone and enhance aesthetics. Platinum Dental Group hopes to help you choose the right method, prepare well financially, mentally and take care of your teeth after treatment.
At Platinum Dental Group, with a team of highly specialized doctors, modern equipment and genuine Implant materials, you can be completely assured of safety, effectiveness and long-term aesthetics. For detailed advice and to choose the most suitable dental implant solution, please contact Platinum Dental Group – your companion on the road to owning a confident smile and healthy teeth via hotline 0967 797 799 – 0967 178 799.
Learn more:
- Key considerations when choosing an Implants Dentist
- Essential details related to tooth Veneers
- Important considerations related to teeth Implants cost
- An overview of Teeth Crowns in restorative dentistry
- An overview of all on 4 Dental Implants
- Essential details related to full Dental Implants near me

PLATINUM DENTAL GROUP
Platinum Dental Central:
- Address: 127 Nguyen Cu Trinh, Cau Ong Lanh Ward, Ho Chi Minh City
- Hotline: 0967 797 799
Platinum Dental Thao Dien:
- Address: 1H Road No. 10, An Khanh Ward, Ho Chi Minh City
- Hotline: 096 71 78 799
Email: info@platinumdentalvietnam.com/
Website: http://platinumdentalvietnam.com/
Instagram: http://www.instagram.com/platinum.vietnam/
Facebook: facebook.com/platinumdentalvn

Tiếng Việt