HAI HÀM VENEER, HAI KẾT QUẢ: SỰ ĐỐI CHỨNG CHẤT LƯỢNG THỰC TẾ TRÊN CÙNG MỘT NỤ CƯỜI
Ở tuổi 70, thay vì chấp nhận những dấu vết của thời gian, cô Tuyết Mai chọn cách yêu bản thân bằng một tinh thần lạc quan và sự chăm sóc chỉn chu. Vượt nửa vòng trái đất từ Canada trở về Việt Nam, hành trình tìm lại nụ cười của cô không chỉ là một ca phục hình nha khoa, mà là câu chuyện về niềm tin và khát khao sống trọn vẹn từng khoảnh khắc.
Người ta thường nói, vẻ đẹp của người phụ nữ ở tuổi xế chiều nằm ở sự phúc hậu và phong thái tự tại. Gặp gỡ cô Tuyết Mai, đội ngũ Platinum Dental ấn tượng bởi năng lượng trẻ trung và quan điểm sống đầy cảm hứng. Cô tâm niệm rằng: “Chính thời gian bạn dành cho bông hoa ấy đã giúp nó trở thành duy nhất trên đời”.
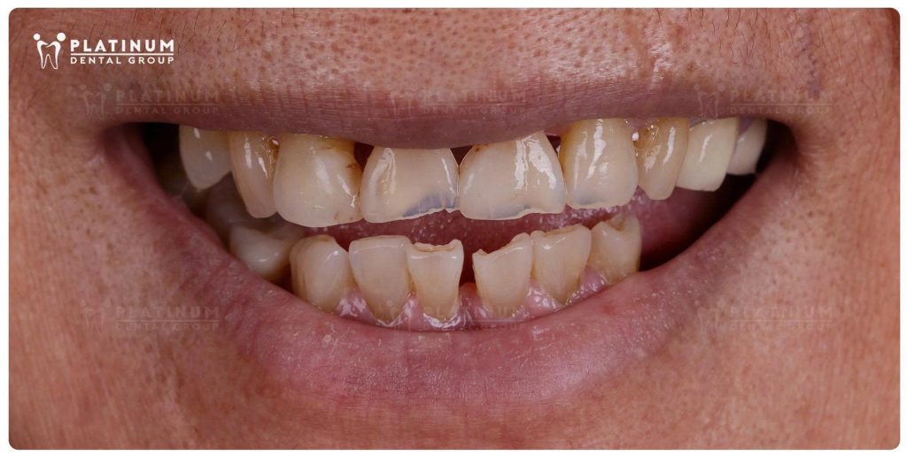
Dù định cư tại Canada nhiều năm và rất chú trọng việc giữ gìn diện mạo, cô Mai vẫn luôn mang một nỗi trăn trở về hàm răng bị xỉn màu, nhiễm sắc nặng và những mặt cắn đã mòn vẹt theo năm tháng. Suốt một thời gian dài, cô trì hoãn việc điều trị không phải vì ngại tốn kém, mà vì chưa tìm được một người bác sĩ thực sự thấu hiểu để cô đủ an tâm gửi gắm sức khỏe của mình.

Qua những lời giới thiệu uy tín, cô Tuyết Mai tìm đến BS. Trần Lan Anh. Chỉ sau một buổi tư vấn trực tiếp, mọi rào cản tâm lý của cô dường như được tháo bỏ hoàn toàn. Cô quyết định đặt niềm tin tuyệt đối vào Platinum Dental bởi hai yếu tố then chốt:

Cô Mai sẽ có hai điều trị: Phục hình sứ và trồng răng Implant. Vì thời gian cận Tết 2026 nên cô thực hiện phục hình sứ trước và sau Tết sẽ trở lại cấy ghép Implant cho vùng răng hàm.
Kế hoạch phục hình bằng mão sứ được thực hiện tỉ mỉ. Mục tiêu của Platinum Dental không phải là tạo ra một hàm răng “trắng giả” công nghiệp, mà là kiến tạo một nụ cười phản chiếu đúng thần thái của cô:
Ngày hoàn thiện, nhìn mình trong gương, cô Mai không giấu được niềm hạnh phúc. Với cô, nụ cười mới này chính là mảnh ghép cuối cùng cho công thức “trẻ mãi” của mình.






Khi được hỏi về bí quyết để giữ vững phong thái rạng ngời ở tuổi thất thập, cô cười và chia sẻ chân thành: “Bí quyết của cô đơn giản lắm: Thể dục điều độ, chăm sóc tóc và nhất định phải chăm sóc nụ cười!”

Platinum Dental xin gửi lời cảm ơn sâu sắc đến cô Tuyết Mai vì đã tin tưởng bay nửa vòng trái đất để chúng tôi có cơ hội chăm sóc nụ cười của cô. Chúc “đóa hoa” Tuyết Mai luôn rực rỡ, tràn đầy sức sống và tiếp tục lan tỏa năng lượng tích cực này đến với mọi người xung quanh.
Chi phí dịch vụ mỗi khách hàng có thể khác nhau tuỳ vào sức khoẻ răng miệng. Liên hệ Platinum Dental để được tư vấn chính xác và cập nhật các ưu đãi mới nhất