Ms. Naime Jacka: Rediscovering 20 Years of Youth Through Dental Tourism at Platinum Dental
Why did the lower veneers (done at Platinum) remain flawless after two years, while the upper ones (done elsewhere) faced constant issues? Discover the compelling story of Ms. Van Huong, an overseas Vietnamese patient from the U.S.
Trust isn’t built on advertisements; it is earned through the tangible experiences a patient feels over time. The journey of Ms. Van Huong serves as a powerful testament to the long-term durability and expertise offered at Platinum Dental Group.
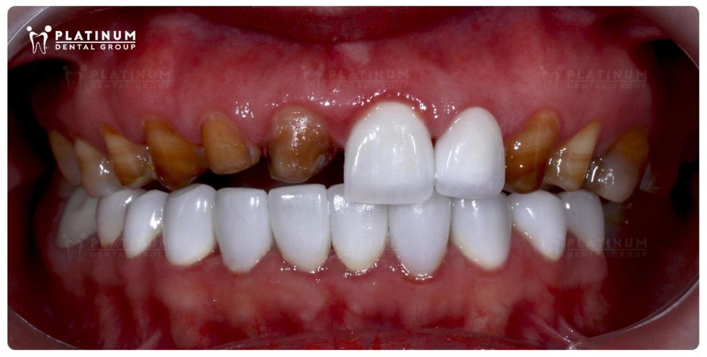
Dealing with severe tooth discoloration, Ms. Van Huong originally had porcelain veneers placed on her upper arch at another clinic. Unfortunately, the results fell short of her expectations.


Following a family recommendation, she visited Platinum Dental to have veneers done for her lower arch. Unintentionally, this created a perfect “side-by-side” comparison on her own smile over the next 24 months:

The stark contrast in durability and function over those two years solidified Ms. Van Huong’s absolute confidence in Platinum Dental. She realized that a beautiful smile is only the beginning the true value lies in long-term stability and the precision of the doctor’s technique.
During the recent 2026 Lunar New Year, Ms. Huong flew back to Vietnam and returned to Platinum Dental for the second time. This time, she entrusted us to completely redo her upper arch, finally putting an end to years of frustration and fully embracing a worry-free smile.


Ms. Van Huong’s story embodies Platinum’s core philosophy: high-quality veneer treatment should not only look radiant on Day 1 but must provide comfort, peace of mind, and longevity for years to come.
Results like the “test case” of Ms. Van Huong prove that our team is on the right track. Beyond achieving harmony in shape and shade, our doctors prioritize the structural integrity of the restoration for long-term use.
This success is rooted in a meticulous process:
By combining clinical meticulousness with cutting-edge dental technology including 3D Digital Scanning, an in-house laboratory for instant adjustments, and the T-Scan system for digital bite analysis we optimize every detail. These elements ensure that every case we handle meets our three golden standards: Health, Aesthetics, and Durability.