[PATIENT STORY] FULL-MOUTH REHABILITATION FOR OVERSEAS VIETNAMESE: RESTORING HOPE AT PLATINUM DENTAL GROUP
After struggling with severe periodontitis and being turned down by numerous clinics, Mr. L.V. finally found the “answer” for his smile through a year-long journey with Master/Dr. Tung Duong.
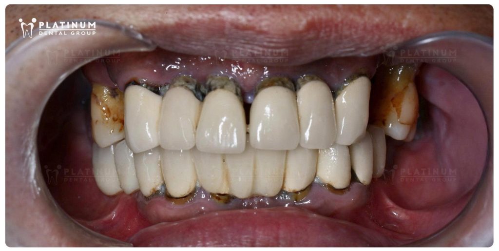
The Challenge: A Highly Complex Clinical Case
Mr. L.V. returned to Vietnam from the U.S. facing a daunting dental condition. Severe periodontitis had caused all his teeth to become loose, leaving them beyond saving. Even more complicating was the presence of a large bone cyst in his jaw a major “red flag” that led many clinics to refuse him dental implant treatment.
“Implants are not an option here; you’ll have to settle for removable dentures.” This consistent response from various specialists left Mr. L.V. nearly losing hope of ever having fixed, strong teeth for natural eating and speaking.
![[PATIENT STORY] FULL-MOUTH REHABILITATION FOR OVERSEAS VIETNAMESE: RESTORING HOPE AT PLATINUM DENTAL GROUP 1 The Challenge: A Highly Complex Clinical Case](https://platinumdentalvietnam.com/wp-content/uploads/2026/03/full-mouth-rehabilitation-for-overseas-vietnamese-restoring-hope-at-platinum-dental-group-1-1024x515.jpg)
“It’s a complex case, but we can do it.”
Fate led Mr. L.V. to Platinum Dental Group. Here, after a meticulous examination and a comprehensive assessment of his jawbone density, Master/Dr. Tung Duong delivered a game-changing verdict: while the case was indeed challenging, a fixed implant restoration was entirely possible with a structured, professional roadmap.
A specialized treatment plan was customized for Mr. L.V.:
- Foundation Preparation: Surgery to remove the bone cyst and extract the non-salvageable teeth to ensure a sterile environment for the implants.
- Structural Implantation: Placement of 5 implants in the upper jaw and 6 implants in the lower jaw (the optimal method for full-mouth tooth loss).
- Immediate Temporary Restoration: Right after surgery, a stable temporary bridge was fitted, allowing him to return to the U.S. and continue his daily life and work while waiting for osseointegration (the bone-to-implant healing process).
![[PATIENT STORY] FULL-MOUTH REHABILITATION FOR OVERSEAS VIETNAMESE: RESTORING HOPE AT PLATINUM DENTAL GROUP 2 "It’s a complex case, but we can do it."](https://platinumdentalvietnam.com/wp-content/uploads/2026/03/full-mouth-rehabilitation-for-overseas-vietnamese-restoring-hope-at-platinum-dental-group-2-1024x1024.jpg)
Results After One Year: Lasting Quality and Growing Trust
One year later, once the implants had perfectly integrated with the jawbone as planned, Mr. L.V. returned to Vietnam for the final step: The Permanent Fixed Restoration.
![[PATIENT STORY] FULL-MOUTH REHABILITATION FOR OVERSEAS VIETNAMESE: RESTORING HOPE AT PLATINUM DENTAL GROUP 3 One year later, once the implants had perfectly integrated with the jawbone as planned, Mr. L.V. returned to Vietnam for the final step: The Permanent Fixed Restoration.](https://platinumdentalvietnam.com/wp-content/uploads/2026/03/full-mouth-rehabilitation-for-overseas-vietnamese-restoring-hope-at-platinum-dental-group-3-1024x1024.png)
Clinical results showed the implants were exceptionally stable with no complications. Mr. L.V. shared his joy: “It’s been a year, and everything feels great I can eat and chew perfectly. Coming back this time to finalize the bridge, my new teeth look beautiful, fit perfectly, and feel just as comfortable as my natural teeth once did.”
![[PATIENT STORY] FULL-MOUTH REHABILITATION FOR OVERSEAS VIETNAMESE: RESTORING HOPE AT PLATINUM DENTAL GROUP 4 Clinical results showed the implants were exceptionally stable with no complications](https://platinumdentalvietnam.com/wp-content/uploads/2026/03/full-mouth-rehabilitation-for-overseas-vietnamese-restoring-hope-at-platinum-dental-group-4-1024x1024.png)
The happiness didn’t stop with Mr. L.V.’s new smile. The spectacular transformation and the tangible quality of the treatment built such strong trust that on this trip, he brought his wife to Platinum Dental to begin her own implant journey.
![[PATIENT STORY] FULL-MOUTH REHABILITATION FOR OVERSEAS VIETNAMESE: RESTORING HOPE AT PLATINUM DENTAL GROUP 5 The happiness didn't stop with Mr. L.V.’s new smile](https://platinumdentalvietnam.com/wp-content/uploads/2026/03/full-mouth-rehabilitation-for-overseas-vietnamese-restoring-hope-at-platinum-dental-group-5-1024x1024.png)
A Message to our Overseas Community
The journey of Mr. L.V. and his wife is the clearest testament to the expertise of the medical team at Platinum Dental. We don’t just provide dental solutions; we restore hope to even the most difficult cases.
If you are living abroad and considering dental implants in your home country, Mr. L.V.’s story is the most authentic answer to the quality and dedication you are seeking.
ARE YOU FACING FULL-MOUTH TOOTH LOSS OR HAVE YOU BEEN REJECTED FOR IMPLANTS? [Book an Online Consultation with Master/Dr. Tung Duong Now]

Tiếng Việt