“I feel like a different person” – Mr. Jeffrey’s Journey
“Wow… this is incredible. Looking at my smile before and after treatment, I honestly feel emotional. I look so different.”
That was Mr. Jeffrey’s reaction after completing his treatment journey at Platinum Dental.
At 55 years old and visiting from the UK, Mr. Jeffrey came to us with a simple wish one that had been put off for years: to smile confidently again.
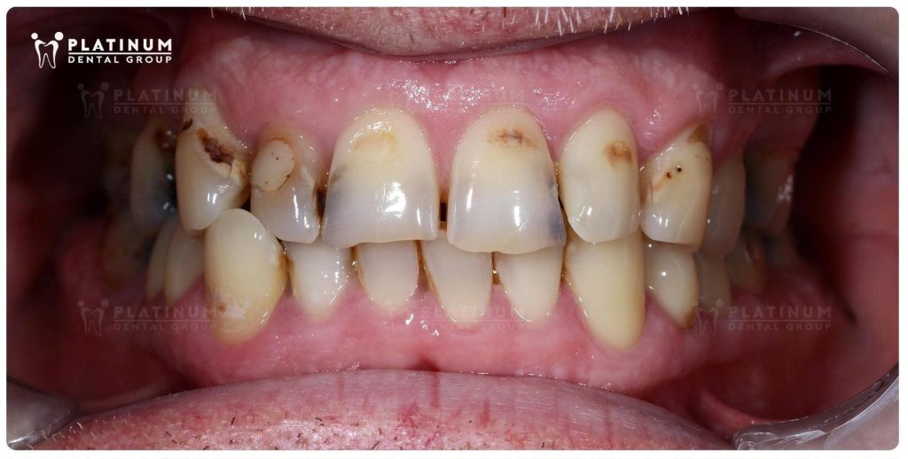
For a long time, he had been living with missing back teeth, while several of his remaining teeth were badly decayed and fractured. Over time, this affected far more than just the appearance of his smile. His chewing function had become seriously compromised, meals were no longer enjoyable, and his confidence had gradually faded.


After taking the time to carefully research his options, Mr. Jeffrey chose Platinum Dental for a comprehensive treatment plan.
A multidisciplinary treatment plan
Following a thorough clinical assessment and professional consultation, our team developed a multidisciplinary treatment plan focused on three key goals:
- restoring chewing function
- re-establishing a stable bite
- creating a natural, harmonious smile
His treatment included:
Dr. Duong Minh Tung
Performed the sinus lift, bone grafting, and dental implant placement in the areas where the molars had been lost.

Dr. Quoc Duy
Restored the heavily damaged teeth with porcelain crowns and refined the smile line for a more balanced appearance.


From the planning stage onward, every step was carefully coordinated to ensure that the implants and final restorations worked in harmony. This allowed us to rebuild a bite that felt stable, comfortable, and durable giving Mr. Jeffrey the confidence to return home and enjoy daily life with greater ease.
More than just a new smile
The outcome was about much more than aesthetics alone.
It meant being able to chew more comfortably again. It meant feeling more at ease in everyday interactions. And it meant the emotional moment of seeing his new smile in the mirror.

The Platinum Dental approach
At Platinum Dental, we understand that every patient comes with a different history, different concerns, and different goals. That is why we approach each case with careful listening, clinical precision, and a treatment plan tailored to the individual.


Our focus is not simply on creating a beautiful smile, but on delivering results that are well-planned, safe, functional, and built to last.
If you are dealing with missing teeth, reduced chewing ability, or a loss of confidence in your smile, our specialist team at Platinum Dental is here to support you with a treatment plan designed around your needs.
Contact Platinum Dental to schedule your consultation.

Tiếng Việt