How long after tooth extraction can an implant be placed? Answer from the doctor
Are you considering tooth replacement and wondering: “How long after a tooth extraction can I safely and effectively get a Dental Implant?“
Choosing the correct timing for Dental Implant placement is a critical decision. The right timing not only helps preserve your jawbone structure but also ensures an optimal, highly durable tooth restoration that lasts for years. When it comes to how long after tooth extraction can an implant be placed, understanding the right interval plays a vital role in ensuring long-term success.
In the detailed guide below, we provide expert insights to fully address this common concern. Our goal is to equip you with the precise, reliable information you need to confidently plan your journey toward a perfect, lasting smile.
Keep reading to learn how to achieve your most accurate and comfortable smile restoration plan.
Nội dung bài viết
Should I get an implant after tooth extraction?
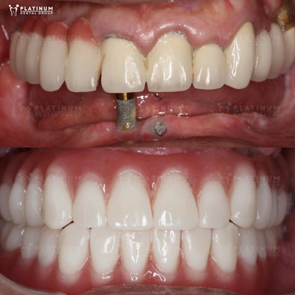
Immediate or Early Implant Placement is the most effective way to Prevent Jawbone Loss (Bone Resorption), a serious complication that begins immediately after a tooth is lost. By acting quickly, you maintain the structural integrity of your jaw, preserve gum aesthetics, and maximize the implant’s success rate – often combining the extraction and placement into fewer visits.
Waiting too long can lead to bone atrophy, potentially causing an unstable bite, gum recession, and a sunken facial appearance, which may require extensive and costly Bone Grafting later.
Secure your smile and avoid future complications. Contact us today for a consultation to determine your optimal implant timing.

Therefore, if your overall health permits, choosing Immediate Implant Placement (same-day placement) after tooth extraction offers tremendous advantages:
- Significant Time Savings: Reduces overall treatment duration from months to a few weeks.
- Bone and Tissue Preservation: Actively limits bone loss and preserves your natural gum contour.
- Optimal Aesthetics: Maximizes cosmetic results, especially crucial for visible front teeth.
- Reduced Interventions: Minimizes the number of surgeries, leading to less discomfort and potentially lower overall costs.
However, Immediate Placement is not suitable for every patient. Our specialists must perform a meticulous examination to assess key factors:
- Bone Density and Volume: The quality and amount of bone at the extraction site.
- Infection Level: The presence or severity of infection around the old tooth root.
- Overall Health: Any pre-existing medical conditions that may affect healing.
In certain cases where the soft tissue or bone is not immediately ideal, your doctor will advise placing the implant after a specific recovery period, potentially combining it with Bone Grafting. This strategy ensures maximum safety and guarantees the long-term success rate of your permanent tooth replacement.
See also: General information related to tooth Implant
How long after tooth extraction can an implant be placed?
This is the most common question patients ask immediately after tooth extraction when they start researching dental implant restoration. In reality, there is no one-size-fits-all timeline. The ideal interval between extraction and Implant Placement depends entirely on your specific biological factors, current jawbone condition, the reason for tooth loss, and your individual treatment goals. Here are four common timelines our doctors frequently consider, based on your specific clinical scenario:
Immediate Implant Placement (Right After Extraction)
In cases where the patient has excellent overall oral health, no active infection or severe inflammation, healthy gum tissue, and sufficient jawbone volume, the doctor may recommend placing the implant immediately after the tooth removal. This is known as the Immediate Implant technique. The key advantages are significantly shortened treatment time, preservation of the alveolar bone height, and prevention of post-extraction gum recession. This results in a durable and highly aesthetic restoration. However, this method is highly case-sensitive and requires an extremely careful and precise evaluation by the dentist before proceeding.
Early Placement (1-2 Months Post-Extraction)
This timeline, typically 4 to 8 weeks after extraction, is a pragmatic choice when the soft tissue surrounding the socket has healed but the jawbone is still in the early stages of remodeling. It is a suitable option for patients who require slightly more time for gum stability or if the extraction site has minor damage requiring follow-up observation. Implants placed during this early window can still achieve high success rates if the underlying bone condition is adequate, but closer monitoring is essential during the healing phase.

Optimal Placement (3–4 Months Post-Extraction)
This timeframe is often regarded by many practitioners as the “Gold Standard” for Dental Implant placement. By this stage, the alveolar bone (socket bone) has achieved stable healing, with sufficient density and hardness to securely support the implant post. The surgical procedure at this stage is typically safer, involves fewer complications, and yields a very high success rate. For individuals who had prior gum disease (periodontitis) before extraction, or who needed time to improve their overall health post-surgery, the 3–4 month mark is considered the most appropriate and secure timeline.
Delayed Placement (6–12+ Months Post-Extraction)
Patients who have been missing a tooth for a long time, or who were unable to schedule restoration immediately after extraction, will experience noticeable Jawbone Loss (Bone Resorption) in the area. In these scenarios, the surgeon will typically need to perform supplementary procedures like Bone Grafting or sinus lift surgery before the Dental Implant can be placed. The waiting period can extend from 6 to 12 months, or even longer, depending on the severity of the bone loss and the integration capacity of the grafting material. While more time-consuming, this is a necessary pathway to ensure a safe, stable, and long-lasting restoration result.
In summary, the ideal timing for Dental Implant placement after extraction varies significantly for every individual, and the final decision must be based on a professional evaluation by your dentist. Scheduling an early consultation, including 3D imaging and jawbone assessment, is the vital first step to knowing exactly when to receive your Dental Implant for the most optimal outcome.
See also: Essential details related to all on four Dental Implants
Factors affecting the timing of implant placement
Determining when to place a Dental Implant after extraction is not solely dependent on healing time; it is the result of evaluating multiple factors related to your tooth, bone, and overall systemic health. Here are the crucial elements your doctor will assess before recommending the most suitable implantation timeline:
Jawbone Condition
The jawbone is the critical “foundation” for your Implant Post. If the bone quality is good—meaning it has sufficient density and volume and has not experienced significant loss—the implantation process can often proceed earlier and with less complexity. Conversely, if substantial Bone Loss has occurred (due to prolonged tooth loss or severe prior infection), your doctor will need to plan for bone regeneration and Bone Grafting before placing the implant. In this scenario, the treatment time will be longer to ensure the implant is secured into a solid, stable bone foundation.
Cause of Tooth Loss
Not all tooth extraction cases are alike. If the tooth was lost due to trauma or fracture, the socket area may be relatively clean and free of infection, allowing for earlier Implant Placement. However, if tooth loss was due to active infection, severe periodontitis (gum disease), or a root abscess, the dentist must meticulously resolve the infected tissue before proceeding with restoration. Rushing the implantation while active infection remains uncontrolled can lead to early implant failure or serious complications.

Age and Underlying Health Conditions
Age is not an absolute barrier to receiving Dental Implants, but older patients often exhibit slower healing capabilities or may have underlying systemic conditions such as diabetes, heart disease, or osteoporosis. These factors directly influence the ability of the implant post to fuse with the jawbone (Osseointegration). In such cases, the doctor requires close monitoring and may adjust medication and the treatment timeline to ensure maximum safety and stability.
Active Infection at the Extraction Site
If the recently extracted socket shows signs of persistent inflammation, pus drainage, or ongoing infection, this is a clear contraindication for immediate Implant Placement. Placing the post into an unhealthy environment can lead to failed osseointegration, spreading infection, or future peri-implantitis. Therefore, the doctor will prioritize thoroughly treating and resolving the infection, allowing the tissue to fully recover before placement. This crucial delay maximizes the success rate and protects the patient’s overall health.
When is the Absolute Best Time for Your Implant?
According to dental prosthetics experts at Platinum Dental Group, depending on the clinical situation, there will be appropriate times to place an implant after tooth extraction. The ideal time to place an implant is usually about 3 to 4 months after tooth extraction. This is the stage when the alveolar bone has healed stably, the gum tissue has recovered well, helping the implant to easily integrate firmly with the jawbone, minimizing risks and bringing long-term effectiveness.
However, with the development of modern dental technology, immediate implant placement right after tooth extraction can also be indicated if the patient meets the conditions, such as no infection, sufficient jaw bone volume and good general health. In the hands of a highly skilled and experienced doctor, immediate implant placement not only saves treatment time but also preserves natural gum tissue, optimizing aesthetics.
The most important thing is not to guess by yourself. Only when you are examined by a specialist and evaluated comprehensively through 3D CT images will you know the best time to implant a tooth in your case.
In addition, if you have just had a tooth extracted and do not have any inflammation, abscess or complicated pathology, it is advisable to plan to implant as soon as possible. Because after losing a tooth, the jawbone will begin to gradually deteriorate day by day – this is a natural but irreversible process.

Prolonging your Implant Placement can expose you to several risks, including severe Bone Resorption, gum recession, bite misalignment (malocclusion), and adverse effects on neighboring teeth. By the time you are ready for restoration, you may require complex, time-consuming, and costly procedures like Bone Grafting or sinus lifts. Therefore, don’t wait until it becomes an urgent need. The Golden Window for Dental Implant placement is when the extraction site is still healthy, the bone has not deteriorated, and the gum tissue has not significantly retracted. This is your best opportunity to restore full chewing function and preserve the natural beauty of your smile. Schedule a consultation with a specialist immediately if you have lost a tooth or have a tooth requiring extraction.
See also: Overview of the cost of a single tooth Implant
Consulting on quality and safe implant placement at Platinum Dental Group
At Platinum Dental Group, we view Dental Implant restoration not merely as a procedure, but as a dedicated smile recovery journey—where every patient deserves to be heard, understood, and treated according to a highly individualized pathway.
We understand that no two individuals are alike. Your specific jawbone condition, the cause of tooth loss, your healing speed, and even any underlying anxieties you may have before surgery—all must be meticulously evaluated by our doctors before determining the optimal timing for your implantation.
Here, you will receive direct consultation from a team of internationally certified Implant specialists, notably Dr. Duong Minh Tung, Master Specialist Level II in Implantology with over 16 years of experience, who has successfully treated thousands of complex cases, including patients previously turned away by clinics abroad.

Supporting our diagnostic process is a suite of modern equipment, including the 3D Cone Beam CT Scanner, digital implant simulation software, and intraoral scanning technology. This technology enables our doctors to analyze the precise condition of your jawbone and formulate a truly optimal treatment plan – one that is safe, fast, and minimizes discomfort.
Specifically, at Platinum Dental Group, you will benefit from:
- Clear consultation on your ideal Implant Placement timing.
- Access to genuine, globally warrantied Dental Implant systems.
- Procedures are performed in a sterile environment that meets international medical standards.
- Direct treatment by a highly skilled and experienced Implant Specialist.
- A firm commitment to long-term aesthetic and functional results.
Whether you have just had an extraction, have been missing a tooth for years, or are weighing different restoration options, let us guide you. We are dedicated to providing you with a strong, healthy smile and complete confidence every day.
Take Control Today! Contact Platinum Dental Group immediately via our hotline at 0967 797 799 for a detailed consultation on “When is the Best Time for Dental Implant Placement After Extraction?” and start planning your perfect smile restoration today.
Learn more:
- An overview of teeth Veneers
- Key aspects of Crown Dental solutions
- General information about full mouth Dental Implants near me
Platinum Dental Group
Clinic Locations:
📍Platinum Dental Central: 127 Nguyen Cu Trinh Street, Cau Ong Lanh Ward, Ho Chi Minh City
📍Platinum Dental Thao Dien: 1H Street 10, An Khanh Ward, Ho Chi Minh City
📞 Hotline: (+84) 28 3920 9969 | 096 779 7799
✉️ Email: info@platinumdentalvietnam.com
🌐 Website: https://platinumdentalvietnam.com/
💬 Instagram: https://www.instagram.com/platinumdental.vietnam/
🔗 Facebook: https://www.facebook.com/platinumdentalvn

Tiếng Việt