Swollen gums – causes, treatments, and expert care at Platinum Dental Group
Swollen gums are one of the most common signs of gingivitis and other forms of gum disease. However, gum inflammation can also indicate underlying health conditions such as infection, vitamin deficiencies or hormonal changes. Left untreated, this condition may cause discomfort, affect the supporting tooth structures and eventually lead to tooth loss. Through this guide, Platinum Dental Group will help you recognize early warning signs and learn how to protect your gum health effectively.
Nội dung bài viết
- 1 What do swollen gums mean?
- 2 What causes swollen gums?
- 3 How to manage and treat swollen gums
- 4 Treatment procedure for swollen gums at Platinum Dental Group
- 5 Can gum swelling go away on its own?
- 6 Prevention tips for healthy gums
- 7 Frequently asked questions (FAQ)
- 8 Why should you choose Platinum Dental Group for swollen gum treatment?
What do swollen gums mean?
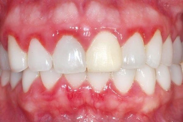
Swollen gums, also known as gingival inflammation, are one of the most common signs of gum disease. This condition occurs when the soft tissue around the teeth becomes irritated, leading to tenderness, puffiness and visible swelling. In some cases, gum swelling may be temporary, but persistent inflammation often signals an underlying oral health problem that requires professional evaluation.
Inflamed gums typically appear reddish or purplish due to increased blood flow in response to irritation. They may look smooth, shiny, enlarged and can bleed easily when brushing or flossing. Discomfort, sensitivity, or a feeling of tightness along the gumline are also common symptoms.
According to the American Academy of Periodontology, untreated gingival inflammation can progress to periodontitis, a more serious infection that damages the bone and connective tissue supporting the teeth. Beyond oral health, chronic gum disease has been linked to several systemic conditions, including diabetes, cardiovascular disease, respiratory infections, osteoporosis and adverse pregnancy outcomes such as preterm birth.
See also: Common topics around Implant teeth

What causes swollen gums?
Swollen gums can develop for various reasons, ranging from everyday habits to underlying health issues. Understanding these causes is essential for effective prevention and early treatment.
Poor oral hygiene and plaque buildup
The most common trigger for swollen gums is inadequate oral hygiene, which allows plaque and tartar to accumulate along the gumline. Plaque is a sticky biofilm of bacteria that irritates the surrounding tissue, leading to redness, tenderness and swelling. If not removed through proper brushing, flossing, and professional cleanings, plaque eventually hardens into tartar, a mineralized deposit that cannot be brushed away. This buildup continuously irritates the gums, creating chronic inflammation and the early stages of gum disease.
Gingivitis and periodontitis
When plaque is left untreated, it leads to gingivitis, the initial stage of gum disease. This condition causes gum tissue to become inflamed, red and prone to bleeding when brushing or flossing. If gingivitis is not addressed, it can advance to periodontitis, a serious infection that damages the bone and connective tissue supporting the teeth. Over time, this can result in gum recession, tooth mobility and eventual tooth loss.
Vitamin deficiencies (Vitamin C and Folic Acid)
Nutritional health always plays an important role in maintaining healthy gums. Deficiencies in vitamin C or folic acid can weaken gum tissue and slow its ability to heal. Vitamin C is essential for collagen synthesis and tissue repair, so a severe lack can cause scurvy, characterized by bleeding, swollen gums and delayed wound healing. Similarly, low levels of folic acid may reduce cellular regeneration in the gingiva, increasing the risk of chronic inflammation.
Hormonal changes (pregnancy, puberty, menopause)
Hormonal fluctuations can make the gums more reactive to plaque and bacteria. During pregnancy, puberty or menopause, increased levels of estrogen and progesterone enhance blood flow to the gums, making them more sensitive and likely to swell. Pregnancy gingivitis is a common example, often appearing in the second trimester with symptoms such as redness, swelling and bleeding. Good oral hygiene and regular dental checkups are especially important during these hormonal phases.
Dental appliances (braces, dentures, retainers)
Sometimes, the source of gum irritation comes from dental devices themselves. Braces, dentures or retainers can trap food and plaque, creating an environment that fosters inflammation. In addition, if these appliances fit improperly or exert uneven pressure, they can cause localized gum trauma and swelling. Even mild allergic reactions to appliance materials can contribute to redness and sensitivity around the gums.
Infections or abscesses
Some cases result from infection deep within the tissues. Gum or tooth abscesses are pockets of pus caused by bacterial infection. A periodontal abscess forms in the space between the tooth and gum, while a periapical abscess develops at the tip of a tooth’s root due to pulp infection. These conditions are often painful and require immediate professional treatment to prevent further tissue damage or systemic infection.
See also: General pricing information for tooth Implant cost

How to manage and treat swollen gums
Dealing with swollen gums effectively depends on the underlying cause and the severity of inflammation. Mild cases may improve with proper home care and oral hygiene, but persistent or severe swelling often requires professional treatment.
At-home remedies: ways to relieve gum pain quickly
Certain natural remedies can temporarily ease gum pain and swelling before you see a doctor. These methods help reduce bacterial buildup, calm irritation, and promote gum healing.
- Saltwater rinse: Rinsing with a warm saltwater solution is one of the simplest and most effective home remedies for swollen gums. Salt acts as a natural disinfectant, helping eliminate bacteria and reduce inflammation. Just mix half a teaspoon of salt into a glass of lukewarm water and rinse gently for 30 seconds, twice daily.
- Tea bags: Tea leaves contain tannic acid, a natural anti-inflammatory compound that can help soothe irritated gums. After steeping a tea bag, allow it to cool slightly and place it on the affected area for a few minutes. Green tea or black tea are both beneficial options to minimize swelling.
- Honey application: Honey has natural antibacterial and anti-inflammatory properties that can calm swollen gums. After brushing, apply a thin layer of pure honey directly onto the affected area. This helps reduce swelling and promotes tissue healing when used consistently.
- Aloe Vera Gel: Aloe vera is known for its soothing and antimicrobial effects. Applying fresh aloe vera gel to the inflamed gums can help reduce pain and promote faster healing. For best results, use the gel twice a day and maintain proper brushing and flossing habits.
Note: These home remedies provide only temporary relief. They don’t replace professional diagnosis or treatment, especially if swelling persists or worsens.
See also: An overview of all on 4 Dental Implants
Professional treatments at the dentist
While home care can manage mild inflammation, professional intervention is essential for diagnosing and treating the root cause of gum swelling. Visiting your doctor promptly increases the chance of complete recovery and prevents the condition from progressing into periodontitis.
During your visit, the doctor will perform a thorough clinical examination and professional cleaning to remove plaque and tartar deposits that cannot be eliminated through routine brushing. Techniques such as air-flow polishing with Swiss technology are often used to gently clean bacterial biofilm and stains while protecting enamel and soft tissue.
If gum disease is diagnosed, treatment may include:
- Scaling and root planing to remove tartar and smooth root surfaces.
- Antibacterial rinses or medications to control infection.
- Oral hygiene instruction, including proper flossing and brushing techniques to prevent recurrence.
In cases where gum swelling is localized to one tooth, the cause may be a dental abscess. The doctor may recommend root canal therapy to eliminate infection or, in severe cases, tooth extraction if the tooth cannot be saved.

Treatment procedure for swollen gums at Platinum Dental Group
At Platinum Dental Group, every treatment for swollen gums is carried out under international clinical standards, using advanced diagnostic tools and modern minimally invasive techniques. The goal is not only to eliminate infection and inflammation but also to restore long-term gum health and comfort for each patient.
Step 1: Comprehensive examination and digital diagnosis
The treatment begins with a thorough oral and periodontal examination. The doctor evaluates the gums for signs of redness, swelling, and bleeding, and may use a periodontal probe to measure pocket depth and assess the extent of inflammation.
Digital imaging and intraoral cameras help identify hidden plaque, tartar deposits, and early bone changes that are not visible to the naked eye. This step provides an accurate diagnosis and forms the foundation for a customized treatment plan tailored to your specific condition.
Step 2: Ultrasonic scaling and deep cleaning
Professional scaling is the core of gum treatment. Using advanced ultrasonic scalers, the doctor gently removes plaque and hardened tartar from both above and below the gumline without damaging soft tissue.
This deep cleaning process helps eliminate bacteria responsible for inflammation, reduces gum swelling, and promotes natural healing of the surrounding tissues. For optimal comfort, the procedure is performed with light, high-frequency vibrations and precision-controlled water flow.
At Platinum Dental Group, the treatment is further enhanced with airflow technology. This is a gentle yet powerful stream of air, water, and fine powder that effectively removes stubborn stains, biofilm, and debris from the tooth surface and hard-to-reach areas.
Step 3: Polishing and surface smoothing
After scaling, the tooth surface may feel slightly rough due to tartar removal. The doctor performs polishing using a specialized brush and polishing paste to smooth and brighten the enamel. A polished surface not only enhances the appearance of your teeth but also minimizes bacterial reattachment, reducing the likelihood of plaque and calculus buildup in the future.
Step 4: Personalized home care guidance
Sustainable gum health depends on proper home care. Following treatment, the doctor provides personalized instructions on maintaining daily oral hygiene. These include correct brushing techniques, effective flossing methods and product recommendations tailored to your gum condition. Consistent home care supports faster recovery and prevents recurrence of inflammation.
Step 5: Ongoing follow-up and preventive care
Regular follow-up visits allow the doctor to monitor healing progress, ensure stable gum attachment and detect early signs of reinfection. For patients with recurring gum sensitivity or deeper pockets, periodic air-flow polishing and professional cleanings are scheduled every 3 to 6 months. This preventive approach ensures durable results and maintains a healthy smile over time.

Can gum swelling go away on its own?
In mild cases, gum swelling may subside naturally once proper oral hygiene is restored. Brushing gently twice a day, flossing daily, and using an antiseptic mouth rinse can help reduce bacterial buildup and promote healing. Maintaining a nutrient-rich diet, particularly one high in vitamins C and D, also supports gum health and tissue repair.
However, if the gums remain swollen or become painful, tender or produce pus, this may indicate an active infection that requires professional care. Such symptoms often point to periodontal disease or an abscess, both of which can damage nearby bone and tooth structures if untreated.
For your safety and long-term oral health, it’s best to consult a qualified doctor rather than rely on self-care alone. Clinics equipped with advanced imaging systems and modern sterilization technology, like Platinum Dental Group, can accurately determine the cause and provide appropriate treatment before the condition progresses.
Prevention tips for healthy gums
Healthy gums are essential for a strong foundation and a confident smile. The best way to prevent gum problems is through consistent daily care and regular professional checkups. Below are simple yet effective steps to help keep your gums healthy and disease-free.
Brush twice daily with a soft-bristle toothbrush
Brushing your teeth after every meal helps remove food particles and plaque trapped along the gumline. Be sure to brush gently using a soft-bristle toothbrush that fits comfortably in your mouth. Don’t forget to clean your tongue as well, as it can harbor bacteria that contribute to bad breath and gum inflammation.
Consider using an electric or battery-powered toothbrush, which has been shown to remove more plaque and reduce gingivitis more effectively than manual brushing. Replace your toothbrush or brush head every three to four months or sooner if the bristles become frayed.
Floss and Rinse Daily
Flossing is one of the most effective ways to prevent tartar buildup and gum irritation. It removes debris and plaque that brushing alone cannot reach, especially between teeth and under the gumline.
Follow up with an antiseptic mouthwash to reduce bacteria and strengthen gum health. Mouthwashes containing chlorhexidine or essential oils are particularly effective against the bacteria that cause gum disease. Remember, always use the rinse as directed and avoid swallowing it.
Schedule regular dental checkups every 6 months
Routine dental visits are vital for maintaining long-term gum health. During checkups, your doctor can identify early signs of gingivitis or periodontitis and recommend appropriate treatment before the condition worsens. Professional cleanings also remove plaque and tartar from areas that brushing and flossing cannot reach, keeping your gums healthy and firm.
Eat a vitamin-rich diet and stay hydrated
A balanced diet supports healthy gums just as much as daily hygiene does. Limit sugary and starchy foods that feed bacteria and encourage plaque buildup. Instead, focus on fresh fruits, vegetables, lean proteins and whole grains, which provide the nutrients necessary for tissue repair and immune defense.
Vitamins C and D are particularly important for gum health, as they strengthen connective tissue and help your body fight infection. Drinking plenty of water throughout the day also keeps your mouth hydrated and helps wash away bacteria.
Avoid smoking and excessive alcohol
Tobacco and alcohol are among the most harmful factors for gum health. Smoking restricts blood flow to the gums, delays healing and increases susceptibility to infection. Alcohol, on the other hand, can dry out the mouth and alter its natural bacterial balance, leading to inflammation.

Frequently asked questions (FAQ)
Why do my gums bleed when brushing?
Gums may bleed during brushing primarily because of plaque buildup, which irritates the gum tissue and leads to gingivitis, the earliest stage of gum disease. Other contributing factors include brushing or flossing too aggressively, using a new or worn toothbrush or certain medications that affect gum sensitivity. Hormonal changes, such as during pregnancy, and vitamin deficiencies, especially in vitamin C or K, can also make gums more prone to bleeding.
Is gum swelling during pregnancy normal?
Yes, gum swelling during pregnancy, known as pregnancy gingivitis, is both normal and common. Increased hormone levels and enhanced blood flow make the gums more sensitive and reactive to plaque. To minimize discomfort, practice gentle brushing and flossing with a soft-bristled toothbrush, rinse with warm salt water and maintain a diet rich in fruits and vegetables. You should also have regular dental checkups during pregnancy. Untreated gingivitis can progress into more advanced gum disease and affect overall oral health.
What is the fastest way to reduce gum swelling at home?
To relieve gum swelling quickly, apply a cold compress on the outside of your cheek for several minutes to reduce inflammation and discomfort. Additionally, rinsing your mouth with warm salt water helps kill bacteria and promote healing. However, if the swelling persists or worsens, it is best to visit a doctor. Home remedies only provide temporary relief and may not address the underlying cause.
Do swollen gums always mean gum disease?
Not always. While gum disease is one of the most frequent causes of swelling, other factors can also lead to inflamed gums. These include hormonal changes, vitamin deficiencies, irritation from dental appliances like braces or dentures or even a lodged piece of food between teeth.
Nonetheless, persistent swelling should never be ignored, as it can be an early sign of gingivitis, which may progress into periodontitis if left untreated. Early evaluation and professional cleaning can help prevent further complications.
Why should you choose Platinum Dental Group for swollen gum treatment?
At Platinum Dental Group, every detail of your treatment is designed around precision, comfort, and long-term oral health. The clinic is equipped with state-of-the-art technology, including digital X-rays, 3D Cone Beam CT imaging, and intraoral cameras, allowing doctors to make accurate diagnoses, shorten treatment time and enhance recovery outcomes.
Our team of highly qualified dental specialists has extensive experience in general, cosmetic, and endodontic care. Each patient receives a thorough examination and a personalized treatment plan tailored to their specific condition.
A Trusted Dental Destination – Platinum Dental Group
With precise clinical techniques and gentle procedures, our doctors provide a smooth, nearly pain-free experience. This patient-centered approach minimizes discomfort while maximizing effectiveness and safety.
After every appointment, patients receive detailed post-treatment guidance on proper oral hygiene and recovery care. Regular follow-ups and professional monitoring help maintain long-term results and prevent recurrence.

At Platinum Dental Group, we’re always ready to help you manage swollen gums effectively. With a team of experienced specialists and state-of-the-art facilities, we provide comprehensive care for gum inflammation and a wide range of other oral health concerns. Don’t let gum problems worse, schedule an appointment with us today for a thorough examination and expert treatment from our highly skilled dental doctors.
Learn more:
- Core concepts and options for Veneers teeth
- Basic concepts and applications of crown teeth
- Overview of full mouth Dental Implants
Platinum Dental Group
Clinic Locations:
📍Platinum Dental Central: 127 Nguyen Cu Trinh Street, Cau Ong Lanh Ward, Ho Chi Minh City
📍Platinum Dental Thao Dien: 1H Street 10, An Khanh Ward, Ho Chi Minh City
📞 Hotline: (+84) 28 3920 9969 | 096 779 7799
✉️ Email: info@platinumdentalvietnam.com
🌐 Website: https://platinumdentalvietnam.com/
💬 Instagram: https://www.instagram.com/platinumdental.vietnam/
🔗 Facebook: https://www.facebook.com/platinumdentalvn

Tiếng Việt